Tumorgroei in de wachttijd voor radiotherapie bij patiënten met een orofarynxcarcinoom

Onderzoek
Abstract
A. Waaijer
C.H.J. Terhaard
H. Dehnad
G.J. Hordijk
M.S. van Leeuwen
Download PDF

Samenvatting

Doel

Kwantificeren van mogelijke toename van tumorvolume in de wachttijd voor radiotherapie bij patiënten met een plaveiselcelcarcinoom in de orofarynx.

Opzet

Retrospectieve studie.

Methode

De tumorvolumen gemeten op de diagnostische CT-scan en op de planning-CT-scan werden vergeleken. In de studie werden 13 patiënten geïncludeerd met een orofarynxtumor, bij wie de diagnostische CT-scan (CT-1) en de planning-CT-scan (CT-2) in het Universitair Medisch Centrum Utrecht waren vervaardigd. Het tumorvolume werd berekend door sneden op de CT-scan in te tekenen en de oppervlakten te vermenigvuldigen met de afstand tussen de sneden. Volumen werden ingetekend door drie onafhankelijke waarnemers. Tumorgroei gedurende de wachttijd werd gedefinieerd als het verschil in tumorvolume op CT-2 en CT-1, gemeten als gemiddelde van 3 waarnemingen.

Resultaten

De gemiddelde wachttijd tussen CT-1 en CT-2 bedroeg 33 dagen. De gemiddelde wachttijd tussen het stellen van de histopathologische diagnose en het starten met radiotherapie bedroeg 56 dagen. Drie groepen konden worden onderscheiden; een groep waarin groei minder dan 25 optrad (n = 4), een groep waarin groei optrad tussen 25 en 100 (n = 5) en een groep waarin meer dan 100 groei optrad (n = 4). Daarnaast moest voor 3 tumoren ten gevolge van tumorprogressie het TNM-stadium worden aangepast.

Conclusie

Gedurende de wachttijd voor radiotherapie voor behandeling van patiënten met een plaveiselcelcarcinoom in de orofarynx was er bij 8 van de 13 patiënten meer dan 50 tumorvolumetoename.

artikel

Inleiding

In Nederland wordt jaarlijks bij meer dan 2000 nieuwe patiënten een hoofd-halscarcinoom gediagnosticeerd. Een deel van hen wordt behandeld met radiotherapie. De behandelingsresultaten van grote tumoren lijken verder te verbeteren door combinatie van radiotherapie en adjuvante chemotherapie.1 Behandelingsprotocollen worden hierdoor aangepast en veel patiënten kiezen dan ook voor bestraling in plaats van een ingrijpende en soms verminkende operatie. Dit heeft tot gevolg dat de druk op de beschikbaarheid van CT- en bestralingsapparatuur groter wordt en er wachttijden voor diagnostiek en behandeling ontstaan. Zowel apparatuur als personeelstekorten spelen hierbij een rol.2 Het spreekt voor zich dat een lange wachttijd voor behandeling een grote psychische belasting bij patiënten veroorzaakt. Daarnaast dringt de vraag zich op of een lange wachttijd negatieve gevolgen voor de gezondheid van de patiënt heeft als gevolg van tumorprogressie in deze periode.

De wachttijd zoals vastgesteld door de commissie-Dunning en omschreven in De ideale zorglijn volgens de Nederlandse Werkgroep Hoofd-Halstumoren mag maximaal 30 kalenderdagen bedragen. Deze maximaal toelaatbare tijd werd in 2001 in alle Nederlandse hoofd-halscentra overschreden. Het is reeds duidelijk dat bij enkele patiënten gedurende de wachttijd de afwijking inoperabel werd.2 Over de consequenties van wachttijd voor radiotherapie is nog weinig bekend. Wel is algemeen bekend dat de prognose van plaveiselceltumoren afneemt bij tumorprogressie (T-classificatie) en indien meer lymfekliermetastasen ontstaan (N-classificatie).3-5

Een eerder verrichte studie uit ons ziekenhuis meldde in 1996 een gemiddelde wachttijd van 43 dagen tussen het vaststellen van de diagnose met histopathologisch onderzoek en het starten van de behandeling bij larynxtumoren in stadium T1N0M0, waarbij geen negatieve relatie werd aangetoond tussen wachttijd en behandelingsresultaat na een follow-up van 4,4 jaar.6 Dit betrof echter kleine tumoren, waarvoor in het algemeen een zeer gunstige prognose geldt en de wachttijd niet wordt verlengd door extra wachttijd voor planning van CT-onderzoek. Mogelijk is de wachttijd van groter belang voor middelgrote tumoren (T2-T3), waarbij de kans op curatie met radiotherapie 60-70 is, welke kans echter bij een verder gevorderd stadium daalt onder de 50.5 Literatuuronderzoek wijst uit dat er een negatieve relatie tussen tumorvolume en prognose bestaat.7-9

Wij besloten tumorgroei in de wachttijd vóór radiotherapie te kwantificeren. Omdat sinds 1996 naast de diagnostische CT een tweede onderzoek, planning-CT, beschikbaar is, is vergelijking van het tumorvolume op twee tijdstippen mogelijk. De zogenaamde planning-CT-scan wordt voorafgaand aan de behandeling vervaardigd in de positie waarin de patiënt bestraald wordt. Door de radiotherapeut worden de tumorvolumen ingetekend op de CT-sneden, zodat bij het plannen van de bestraling een optimale techniek kan worden gekozen. Voor deze studie werden patiënten met een orofarynxcarcinoom geselecteerd, omdat bij hen de ziekte vaak in een gevorderd stadium gediagnosticeerd wordt en een deel van deze tumoren met primaire radiotherapie wordt behandeld. Uit de literatuur is bekend dat het meten van tumorvolumen niet altijd eenvoudig is en een bepaalde mate van subjectiviteit met zich meebrengt.10 Om deze reden werd ervoor gekozen de waarnemingen op beide tijdstippen door 3 onafhankelijke waarnemers te laten verrichten.

patiënten en methoden

Patiënten

Inclusiecriteria waren primair plaveiselcelcarcinoom van de orofarynx zonder metastasen op afstand. Behandeling diende te hebben bestaan uit primaire radiotherapie en eventueel chemotherapie met curatieve intentie. In de periode 1996-2000 werden 46 patiënten met een dergelijke orofarynxtumor primair behandeld met radiotherapie. Van deze groep was bij 23 patiënten een planning-CT-scan gemaakt. Om verschillen in scanprotocol niet van invloed te laten zijn werden voor deze studie alleen die patiënten geselecteerd bij wie zowel de diagnostische CT-scan als de planning-CT-scan in ons ziekenhuis was vervaardigd. Doordat een grote groep patiënten hetzij een diagnostische MRI had ondergaan, hetzij werd verwezen met een goede diagnostische CT-scan en in deze periode nog niet bij iedere patiënt planning-CT werd verricht, werd een aantal patiënten alsnog geëxcludeerd. Uiteindelijk werden 13 patiënten met een orofarynxcarcinoom die waren behandeld in de onderzoeksperiode in deze studie geïncludeerd.

Metingen

Van iedere patiënt werd op de diagnostische CT-scan (CT-1) en de planning-CT-scan (CT-2) de omvang van de tumor en de lymfeklieren ingetekend door met behulp van een computermuis de tumor te omlijnen op de transversale sneden. Door de computer werd van deze sneden het ingetekende oppervlak uitgerekend en vermenigvuldigd met de afstand tussen de sneden om het volume te berekenen in kubieke centimeters. De afstand tussen de sneden bedroeg bij de CT-1 2 mm, bij de CT-2 3 of 5 mm. Lymfeklieren werden als ‘tumorpositief’ beschouwd indien ze een diameter hadden > 1 cm.

Van alle patiënten werden op beide scans door 3 onafhankelijke waarnemers (2 radiotherapeuten en een assistent-geneeskundige) de tumoren ingetekend. Om het volume van de tumor en de lymfeklieren zo goed mogelijk in te tekenen werd gebruikgemaakt van aanvullende informatie in de vorm van het radiologieverslag van de CT-1 en het endoscopieverslag. De CT-1 en CT-2 werden gepaard beoordeeld om nieuw ontstane lymfeklieren van reeds bestaande klieren te onderscheiden.

Analyse

Volumetoename gedurende de wachttijd werd uitgedrukt als het verschil in volume gemeten op CT-1 en CT-2. De tijd tussen CT-1 en CT-2 vormde echter een onderdeel van het gehele diagnostische traject. De duur van het gehele diagnostische traject werd gedefinieerd als de tijd tussen het stellen van de diagnose met histopathologisch onderzoek en de aanvang van de therapie. Voor iedere patiënt werd ten tijde van CT-1 en CT-2 het TNM-stadium11 vastgesteld. Toename van tumorvolume werd uitgedrukt als het gemiddelde van 3 waarnemingen en zowel het absolute verschil als het procentuele verschil werd als volgt berekend:

Voor lymfeklieren werd dezelfde procedure verricht als ze op CT-1 als ‘tumorpositief’ waren beoordeeld.

Nadat alle metingen verricht waren, werden de berekende volumina van de 3 waarnemers met elkaar vergeleken. Wanneer per patiënt bij 3 verschillende waarnemingen verschillen van meer dan 25 waren berekend of anderszins twijfel over de tumor- of klierbegrenzing bestond, werden de intekeningen met een radioloog besproken en opnieuw geëvalueerd.

resultaten

Van de 13 geïncludeerde patiënten waren er 10 man en 3 vrouw; de leeftijd varieerde van 47 tot 99 jaar (mediaan: 66; gemiddelde: 68). TNM-tumorstadia waren als volgt vertegenwoordigd: 2 stadium II, 4 stadium III en 7 stadium IV. De gemiddelde tijd tussen CT-1 en CT-2 was 33,4 dag (mediaan: 35; uitersten: 12-47). De gemiddelde tijd tussen het vaststellen van de histopathologische diagnose en het starten van de radiotherapie was 56,3 dag (mediaan: 54; uitersten: 45-69).

Tabel 1 toont een overzicht van de patiënten, waarbij werden opgenomen de tumorlokalisatie, het aantal dagen tussen de beide CT-scans en de tijd tussen het stellen van de diagnose en het starten van de behandeling. Tevens wordt hierin de stadiumindeling volgens de beide CT-scans weergegeven. Bij 3 patiënten vond progressie van het T-stadium plaats. Er werden 11 nieuwe aangetaste lymfeklieren vastgesteld, waardoor bij 4 patiënten progressie van het N-stadium optrad. In totaal vond op basis hiervan bij 3 patiënten progressie plaats naar een volgend stadium volgens de TNM-classificatie.10

De toename van het tumorvolume, in absolute getallen uitgedrukt, varieerde van 0,8 tot 54,7 cm3 (mediaan: 7,3 cm3; gemiddelde: 13,3 cm3). Er werden op de diagnostische scans in totaal 12 positieve klieren gezien. Absolute volumetoename hiervan varieerde van –3,8 cm3 tot 148,7 cm3 (mediaan: 0,4 cm3; gemiddelde: 15,0 cm3). Procentuele groei van de tumoren varieerde van 10,5 tot 234,8 (mediaan: 60,7; gemiddelde: 70,8). Bij de lymfeklieren was dit –17,1 tot 123,4 (mediaan: 5,1; gemiddelde: 24,8).

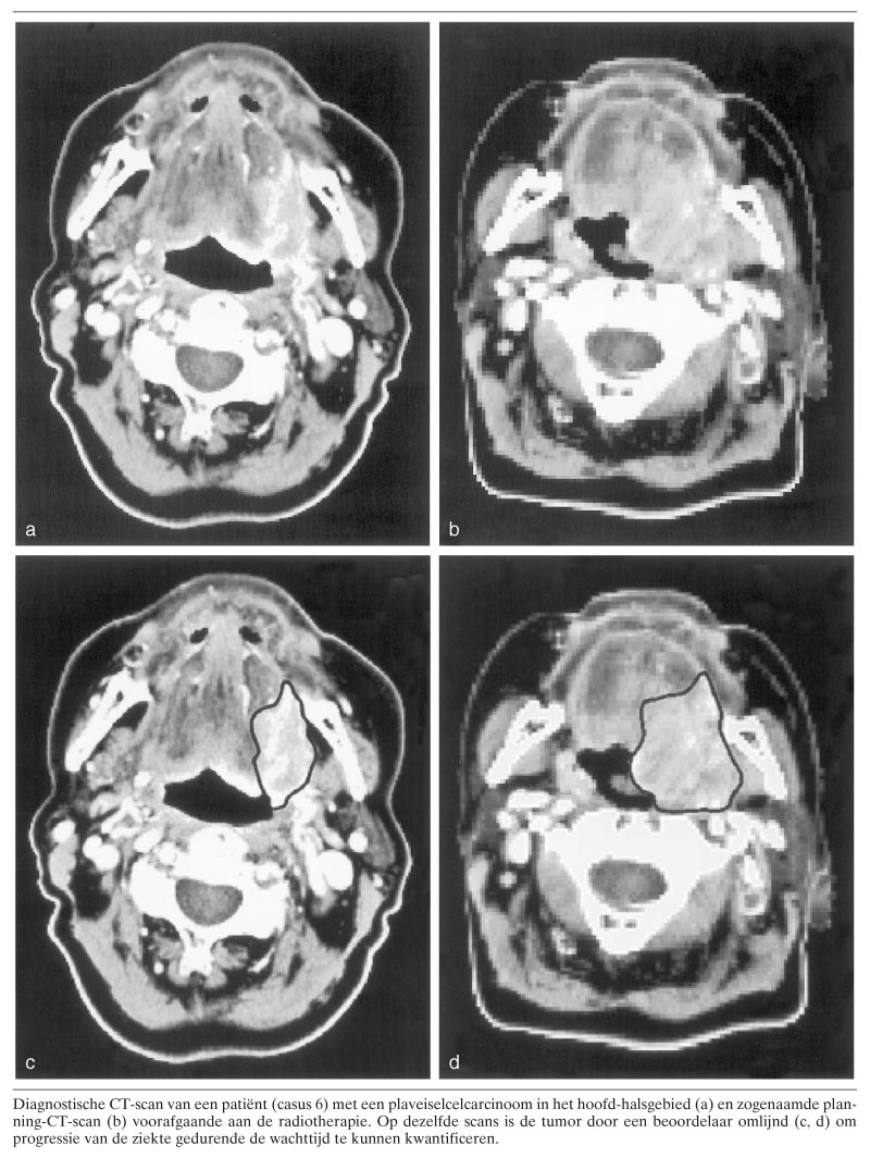
Tabel 2 toont de absolute en procentuele veranderingen van het tumorvolume als gemiddelde van 3 waarnemingen. Bij 1 klier vond groei van meer dan 100 plaats; deze werd daarom ook opgenomen in tabel 2. Op basis van de toename van het tumorvolume waren 3 groepen te onderscheiden (zie tabel 2): in de eerste groep (n = 4) was geen evidente groei waarneembaar. De tumorvolumeverandering bedroeg minder dan 25. In de tweede groep (n = 5) was er groei tussen 25 en 100. In één geval (casus 12) was er een minimale lokale tumorvolumeverandering, maar werd, op basis van de fors toegenomen omvang van een klier, de patiënt in deze groep geplaatst. In de derde groep (n = 4) werd groei vastgesteld van gemiddeld meer dan 100 van het oorspronkelijke volume. De figuur illustreert de duidelijk waarneembare groei in casus 6.

Van de 13 casussen werden er 7 opnieuw geëvalueerd met de radioloog. Hierbij moest men 4 maal constateren dat tumorbegrenzing niet met volledige zekerheid kon worden vastgesteld. Van deze patiënten vielen uiteindelijk 3 in de eerste groep (casus 2, 5 en 11) en 1 in de tweede groep (casus 10). Bij de resterende 3 patiënten (casus 3, 4 en 8) was na korte discussie duidelijkheid over de tumorbegrenzing; dit had geen consequenties voor de groep waarin deze patiënten werden geplaatst.

beschouwing

De vraag die uit de wachttijdproblematiek voortvloeit, is of deze leidt tot aantoonbare nadelige gevolgen voor de gezondheid van de patiënt. De wachtlijst heeft al tot gevolg gehad dat bij een aantal patiënten met een hoofd-halscarcinoom de ziekte inoperabel werd of dat een uitgebreidere operatie noodzakelijk was.2 Over de consequenties van uitstel van behandeling bij patiënten die op de wachtlijst staan voor radiotherapie is echter weinig bekend. Wel is het duidelijk dat een grotere tumor de prognose doet afnemen.7-9 12

Sinds 1996 werd bij een aantal patiënten op 2 tijdstippen een CT-scan vervaardigd, waardoor volumemeting op verschillende tijdstippen gedurende de wachttijd mogelijk was. Wij startten dit retrospectieve onderzoek om mogelijke progressie ten gevolge van toename van tumorvolume te kwantificeren.

Van 13 patiënten met een orofarynxcarcinoom werd zowel op de diagnostische scan als op de planningscan het volume bepaald door 3 onafhankelijke waarnemers. De gemiddelde tijd tussen beide CT-scans bedroeg 33 dagen. De gemiddelde wachttijd tussen het stellen van de diagnose (met histopathologisch onderzoek) en het starten met therapie bedroeg 56 dagen. De Nederlandse Werkgroep voor Hoofd-Halstumoren adviseerde een maximum van 30 dagen vóór het starten met de therapie.2 Deze tijd werd in ons onderzoek derhalve met 26 dagen ruim overschreden.

Uit ons onderzoek bleek dat er een toename optrad van het tumorvolume gedurende de wachttijd vóór radiotherapie. Het verschil in tumorvolume op de diagnostische scan en de planningscan bedroeg bij 4 van de 13 patiënten meer dan 10 cm3, hetgeen een procentuele groei van 60 tot 234 inhield. Bij nog eens 2 patiënten was er eveneens verdubbeling van het oorspronkelijke volume. Daarnaast ontwikkelden zich bij 2 patiënten met een N0-status tumorpositieve lymfeklieren gedurende de wachttijd, wat een ernstige verslechtering van de prognose betekent.4 5 De mate van groei bleek in deze beperkte studie niet te relateren aan de lengte van de wachttijd.

Uitstel van behandeling bij patiënten met een hoofd-halstumor vormt ook in andere landen een probleem. In Canada en Groot-Brittannië wordt eveneens melding gemaakt van lange wachtlijsten voor radiotherapie.13-15 Er werd aangetoond dat er verslechtering van de prognose optreedt bij patiënten met een tumor in het hoofd-halsgebied bij een wachttijd langer dan 40 dagen.16 Ook modellen wijzen erop dat tumorgroei in de wachttijd mogelijk leidt tot afname van de prognose.17 Tot nog toe is er echter slechts één studie die een toename in tumorvolume aantoonde gedurende de wachttijd voor radiotherapie, waardoor 21 van de patiënten niet meer voor radiotherapie in aanmerking kwam.15 Dit betrof patiënten met niet-kleincellig longcarcinoom.

Wij stelden bij 8 van de 13 patiënten een toename van het tumorvolume vast van meer dan 50 en bij 3 patiënten progressie bij de stadiumindeling. Dit impliceert een afname in de kans op volledige genezing.7-9 12 Deze resultaten komen sterk overeen met in de literatuur beschreven consequenties van wachttijden, zowel uit theoretische modellen als klinische observaties.15-17 Hoewel wij slechts een beperkte groep patiënten konden evalueren, menen wij dat de resultaten serieus dienen te worden genomen.

Daarnaast is het van belang dat de geobserveerde tumorgroei plaatsvond in de tijdspanne, gemiddeld 33 dagen, tussen 2 CT-onderzoeken. De periode tussen het vaststellen van de diagnose en het starten van therapie is echter anderhalf keer zo lang, doordat er wachtlijsten bestaan voor zowel scopie, CT als radiotherapie. De totale wachttijd wordt ten gevolge van deze procedures verlengd met 23 dagen. Dit wijst erop dat in het volledige diagnostische traject een nog grotere groei zal hebben plaatsgevonden dan nu werd gemeten.

De klinische consequentie, gekwantificeerd in verminderde kans op curatie, van de geobserveerde tumorgroei in de wachtperiode zal in groter studieverband moeten worden uitgewerkt. Desondanks is duidelijk dat wachttijd voor een aantal patiënten met een tumor in de orofarynx in een belangrijke verslechtering van de prognose resulteert. Het lijkt moeilijk te voorspellen voor welke patiënten deze consequentie geldig is. Orofarynxtumoren kennen een grillige groei en worden soms pas in een laat stadium gediagnosticeerd. Wanneer de tumor echter in een prognostisch gunstig tumorstadium gediagnosticeerd wordt, moet ieder uitstel van behandeling voorkomen worden. De resultaten van deze verkennende studie moeten onzes inziens dan ook worden beschouwd als aanwijzing voor klinisch relevante tumorprogressie tijdens de thans gangbare wachttijden voor radiotherapie.

Belangenconflict: geen gemeld. Financiële ondersteuning: geen gemeld.

Literatuur
  1. Fein DA, Lee WR, Amos WR, Hinerman RW, Parsons JT,Mendenhall WM, et al. Oropharyngeal carcinoma treated with radiotherapy: a30-year experience. Int J Radiat Oncol Biol Phys 1996;34:289-96.

  2. Nederlandse Werkgroep Hoofd-Hals Tumoren (NWHHT).Evaluatie knelpunten in de zorg voor de hoofd-hals oncologische patiënt.Utrecht: NWHHT; 2001.

  3. Grabenbauer GG, Steininger H, Meyer M, Fietkau R, BrunnerT, Heinkelmann P, et al. Nodal density and total tumor volume as prognosticfactors after radiation therapy of stage III/IV head and neck cancer.Radiotherapy Oncol 1998;47:175-83.

  4. Klop WMC, Balm AM, Keus RB, Hilgers FM, Tan IB.Diagnostiek en behandeling van 39 patienten met halskliermetastasen vanplaveiselcelcarcinoom van onbekende primaire origine, verwezen naar hetNederlands Kanker Instituut/Antoni van Leeuwenhoek Ziekenhuis, 1979/'98.Ned Tijdschr Geneeskd2000;144:1355-60.

  5. Hordijk GJ, Ravasz LA. Het hoofd-halscarcinoom. Utrecht:Bohn, Scheltema & Holkema; 1989.

  6. Brouha XDR, Coul B Op de, Terhaard CHJ, Hordijk GJ. Doeswaiting time for radiotherapy affect local control of T1N0M0 glotticlaryngeal carcinoma? Clin Otolaryngol 2000;25:215-8.

  7. Bogaert W van der, Schueren E van der, Horiot JC, et al.The EORTC randomized trial on three fractions per day and misonidazole inadvanced head and neck cancer. Radiother Oncol 1995;35:100-6.

  8. Dubben M, Thames HD, Beck-Bornholdt BP. Tumor volume: abasic and specific response predictor in radiotherapy. Radiotherapy Oncol1998;47:167-74.

  9. Johnson CR, Khandelwal SR, Schmidt-Ullrich RK, et al. Theinfluence of quantitative tumor volume measurements on local control inadvanced head and neck cancer using concomitant boost acceleratedsuperfractionated irradiation. Int J Radiat Oncol Biol Phys1995;32:635-41.

  10. Hermans R, Feron M, Bellon E, Dupont P, Bogaert W vander, Baert AL. Laryngeal tumor volume measurements determined with CT. Int JRadiat Oncol Biol Phys 1998;40:553-7.

  11. Union Internationale Contre le Cancer (UICC). TNMClassification of Malignant Tumours. 5th ed. New York: Wiley-Liss;1997.

  12. Tan IB, Roodenburg JLN, Copper MP, Coebergh JWW, Waal Ivan der. Vroegdiagnostiek en preventie van maligne tumoren in hethoofd-halsgebied. Ned TijdschrGeneeskd 2001;145:567-72.

  13. Mackillop WJ, Zhou Y, Quirt CF. A comparison of delays inthe treatment of cancer with radiation in Canada and the United States. Int JRadiat Oncol Biol Phys 1995;32:531-9.

  14. Mackillop WJ, Fu H, Quirt CF, Dixon P, Brundage M, ZhouY. Waiting for radiotherapy in Ontario. Int J Radiat Oncol Biol Phys1994;30:221-8.

  15. O’Rourke N, Edwards R. Lung cancer treatmentwaiting times and tumor growth. Clin Oncol 2000;12:141-4.

  16. Fortin A, Bairati I, Albert M, Moore L, Allard J, CoutureC. Effect of treatment delay on outcome of patients with early-stagehead-and-neck carcinoma receiving radical radiotherapy. Int J Radiat OncolBiol Phys 2002;52:929-36.

  17. Mackillop WJ, Bates JHT, O'Sullivan B, Withers BR.The effect of delay in treatment on local control by radiotherapy. Int JRadiat Oncol Biol Phys 1996;34:243-50.

Auteursinformatie

Universitair Medisch Centrum Utrecht, Postbus 85.500, 3508 GA Utrecht.

Afd. Kinderheelkunde: mw.A.Waaijer (thans: afd. Radiologie), assistent-geneeskundige.

Afd. Radiotherapie: dr.C.H.J.Terhaard en H.Dehnad, radiotherapeuten-oncologen.

Afd. Keel-, Neus- en Oorheelkunde: prof.dr.G.J.Hordijk, kno-arts.

Afd. Radiodiagnostiek: dr.M.S.van Leeuwen, radioloog.

Contact prof.dr.G.J.Hordijk

Heb je nog vragen na het lezen van dit artikel?
Check onze AI-tool en verbaas je over de antwoorden.
ASK NTVG

Ook interessant

Reacties

L.A.H.
Monnens

Nijmegen, juli 2003,

Ik ben ervan geschrokken dat, zoals Waaijer et al. meedelen (2003:1277-82), er bij 8 van de 13 patiënten een toename was van het tumorvolume van meer dan 50% en bij 3 patiënten progressie bij de stadiumindeling tijdens de wachttijd voor radiotherapie. Terwijl de Nederlandse Werkgroep voor Hoofd-Halstumoren (NWHHT) een maximale wachttijd van 30 dagen adviseert, werd deze wachttijd bij de 13 patiënten ruim overschreden (45-69 dagen). De schrijvers concluderen dat er bij hun patiënten een afname bestond in de kans op volledige genezing. Wat ik in het artikel mis, zijn de plannen van de betrokken schrijvers om het huidige rampscenario te verbeteren. Verwijzing naar andere instanties is een bekende weg. Wat hebben zijzelf gedaan om deze gebrekkige geneeskunde te voorkomen of te vermijden?

L.A.H. Monnens

Utrecht, oktober 2003,

De opzet van de studie en het artikel was het evalueren van mogelijke tumorvolumeverandering in de wachttijd voor radiotherapie bij een geselecteerde populatie patiënten met een orofarynxcarcinoom. Net als voor collega Monnens was het voor ons uiteraard een schokkende ontdekking dat er sprake was van een dusdanige progressie, dat bij enkele patiënten een afname in de kans op volledige genezing waarschijnlijk was. Dit hebben wij direct willen publiceren om de ernst van het bestaan van wachttijden in de zorg voor hoofd-halscarcinoompatiënten te benadrukken.

Het beschrijven van mogelijkheden om de huidige situatie te veranderen was niet het doel van de studie. De NWHHT voert momenteel overleg met de Vereniging Academische Ziekenhuizen over de benodigde instrumenten om de wachttijden in de oncologische hoofd-halszorg te verkorten. De afdeling Radiotherapie van het Universitair Medisch Centrum Utrecht (UMCU) werkt reeds aan uitbreiding van de bestralingscapaciteit door het plaatsen van nieuwe, eigen CT-scanners en uitbreiding van bestralingsapparatuur.

Gezien het feit dat de wachttijd langer is dan aanbevolen, menen ook wij dat verkorting van het diagnostisch traject bij deze patiënten een noodzakelijke voorwaarde is. Het uitvoeren van plannen om dit te verbeteren, stuit echter op vele, soms bureaucratische obstakels binnen het UMCU. Op dit moment kunnen wij dan ook nog geen helder plan tonen en zijn de wachttijden in ons ziekenhuis nog niet binnen de door de NWHHT gestelde norm van maximaal 30 dagen (tijd tussen het stellen van de diagnose en de aanvang van de therapie). Doorverwijzing naar andere centra bleek een tijdelijke, doch niet altijd bruikbare oplossing.

A. Waaijer