Een spontaan iliopsoashematoom

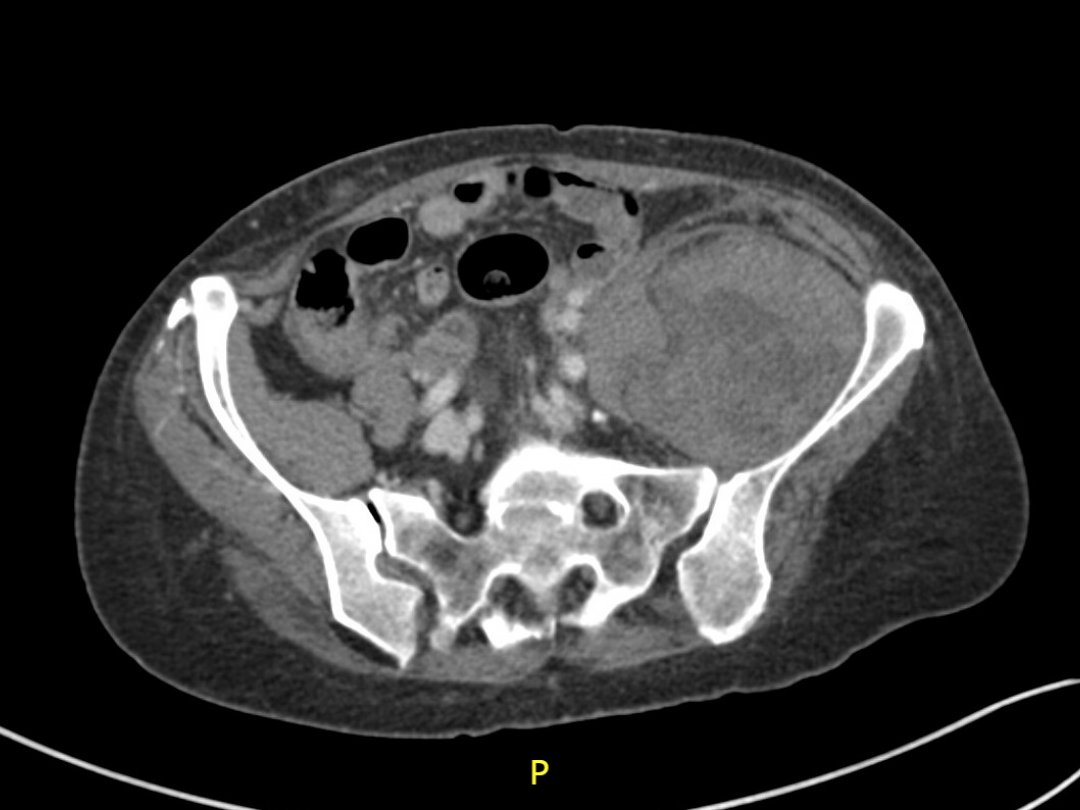
CT-angiogram van het abdomen.
Abstract
Ruben Bruynseraede
Sandra Verelst
Elise Robben
Didier Bielen

Samenvatting

Achtergrond

Een iliopsoasbloeding is een spontane of traumatische bloeding in de M. psoas of M. iliacus. Deze aandoening komt vooral voor bij ouderen die antistolling gebruiken of een stollingsstoornis hebben. De mortaliteit en morbiditeit zijn hoog. Klinische tekenen zijn heup- of rugpijn, soms met neurologische uitval in het been.

Casus

Een 70-jarige vrouw, die werd behandeld met een vitamine K-antagonist, presenteerde zich met spontane pijn aan de linker heup en bovenbeen. Bij klinisch onderzoek merkten we vooral pijn bij actieve heupflexie en passieve heupextensie. Bij CT-angiografie zagen we een M.-iliacushematoom, met een actieve arteriële bloeding. De patiënte onderging een urgente embolisatie van de aanvoerende pelviene-arterietakken.

Conclusie

Tijdige herkenning van een iliopsoasbloeding kan complicaties en levensbedreigende situaties voorkomen. Deze diagnose moet altijd overwogen worden wanneer ouderen die anticoagulantia gebruiken of een stollingsstoornis hebben, klagen over spontane pijn in de heup of rug, al dan niet in combinatie met neurologische uitvalsverschijnselen.

Auteursinformatie

UZ Leuven, Leuven. Afd. Spoedgevallendienst: dr. R. Bruynseraede, arts-assistent urgentiegeneeskunde; prof.dr. S. Verelst, specialist urgentiegeneeskunde. Afd. Fysische Geneeskunde: dr. E. Robben, fysisch geneesheer. Afd. Medische Beeldvorming: prof.dr. D. Bielen, radioloog.

Contact R. Bruynseraede (rubenbruynseraede@hotmail.com)

Belangenverstrengeling

Belangenconflict en financiële ondersteuning: geen gemeld.

Auteur Belangenverstrengeling
Ruben Bruynseraede ICMJE-formulier
Sandra Verelst ICMJE-formulier
Elise Robben ICMJE-formulier
Didier Bielen ICMJE-formulier
Dit artikel is gepubliceerd in het dossier
Huisartsgeneeskunde
Heb je nog vragen na het lezen van dit artikel?
Check onze AI-tool en verbaas je over de antwoorden.
ASK NTVG

Ook interessant

Reacties

Gratis Ask NTVG uitproberen?

Maak met 2 klikken een gratis account aan

Account aanmaken

Heb je al een account of een abonnement? Inloggen

Altijd toegang tot alle publicaties van het NTVG?

Abonneer vandaag nog!

Online toegang tot alle artikelen
Gepersonaliseerde alerts voor artikelen en dossiers
Artikelen voor opleiding en nascholing mét geaccrediteerde toetsen
Onbeperkt luisteren naar de NTVG-podcast
Antwoorden op al je vragen via de AI-toepassing 'Ask NTVG'

Neem het digitaal ntvg abonnement

€ 15,93 per maand!

Ik wil digitaal
NTVG nummer 2 2026
NTVG nummer 3 2026
NTVG nummer 4 2026