Een occulte capitatumfractuur

Klinische praktijk
Abstract
Sahel Zoakman
Steven J. Rhemrev

Samenvatting

Achtergrond

De evaluatie van patiënten met een polsletsel is een diagnostische uitdaging. Met alleen lichamelijk onderzoek is de diagnose niet te stellen en fracturen in de polsregio zijn niet altijd zichtbaar op röntgenfoto’s.

Casus

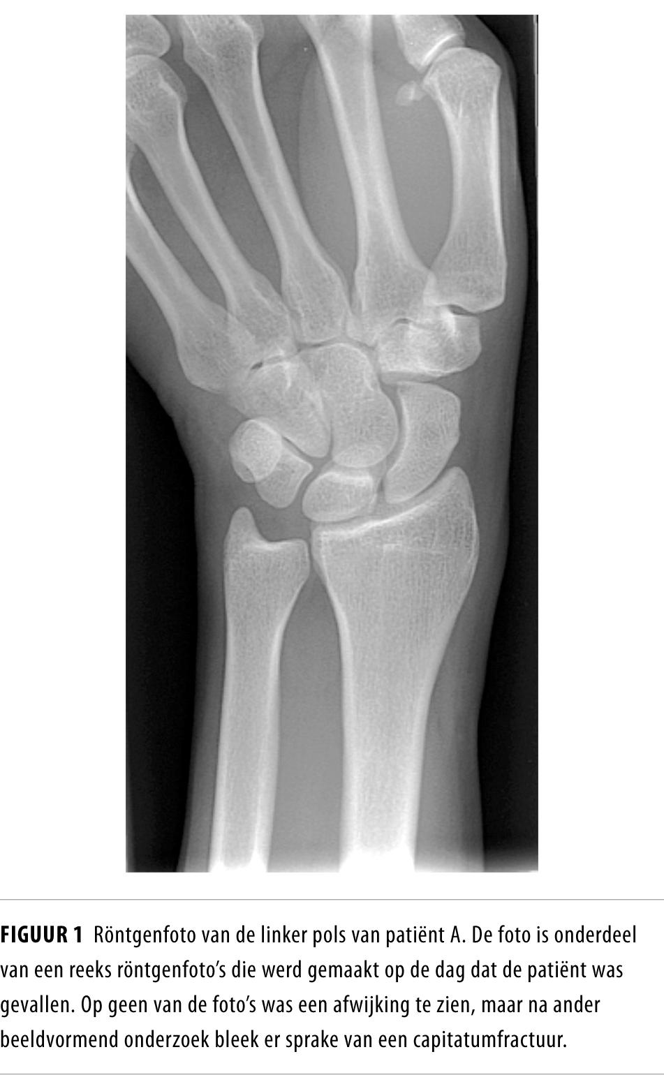
Wij presenteren een patiënt met een polstrauma die werd opgevangen op de Spoedeisende Hulp. Het traumamechanisme en de klinische bevindingen wezen sterk op een scafoïdfractuur. Op de röntgenfoto’s was geen afwijking te zien, maar toch werd de fractuur behandeld met gips. Op de CT-scan bleek later inderdaad een niet-gedisloceerde fractuur in het os capitatum aanwezig. Deze diagnose werd enige dagen later bevestigd met botscintigrafie. De patiënt is restloos genezen.

Conclusie

Capitatumfracturen zijn ernstige carpale letsels, die net zo agressief behandeld moeten worden als scafoïdfracturen. Met conventioneel röntgenonderzoek kan een polsfractuur niet worden uitgesloten; bij twijfel is het aan te raden laagdrempelig beeldvormend onderzoek (bijvoorbeeld CT of MRI) te verrichten.

Auteursinformatie

Het Röpcke-Zweers Ziekenhuis, afd. Spoedeisende Hulp, Hardenberg.

Drs. S. Zoakman, anios spoedeisende hulp.

Medisch Centrum Haaglanden, afd. Heelkunde, Den Haag.

Dr. S.J. Rhemrev, traumatoloog.

Contact drs. S. Zoakman (sahel_zoakman@live.nl)

Verantwoording

Belangenconflict en financiële ondersteuning: geen gemeld.
Aanvaard op 1 juli 2013

Auteur Belangenverstrengeling
Sahel Zoakman ICMJE-formulier
Steven J. Rhemrev ICMJE-formulier
Heb je nog vragen na het lezen van dit artikel?
Check onze AI-tool en verbaas je over de antwoorden.
ASK NTVG

Ook interessant

Reacties


 
Graag reageren wij op de door collega's Zoakman en Rhemrev gepresenteerde casus, waarin zij een fractuur van het os capitatum beschrijven. De gepresenteerde casus illustreert de relatief lage sensitiviteit van conventionele beeldvorming voor geïsoleerde carpusfracturen. Het advies om bij de klinische verdenking op carpalialetsel laagdrempelig over te gaan tot het gebruik van CT of MRI is derhalve terecht.
 
Nadere beschouwing van het bijgeleverde CT-beeld met verklarende illustratie deed ons echter twijfelen aan de juistheid van de interpretatie hiervan. Het als os capitatum aangeduide bot, waarin de fractuur gemarkeerd staat, is in onze optiek het os trapezoïdeum. Het als os hamatum aangeduide bot is daarmee in werkelijkheid het os trapezium en het als os triquetrum gemarkeerde bot de basis van os metacarpale I. De aan de ulnaire zijde gelegen hypothenarmusculatuur links op de afbeelding lijkt deze interpretatie te ondersteunen.
 
Of er daadwerkelijk sprake is van een os trapezoïdeumfractuur is op basis van de afbeelding niet te beoordelen. De afbeelding van de botscinthigrafie biedt hierbij geen differentiërende informatie. Ook het feit dat na immobilisatie de klachten verbeterden geeft geen sturing: een recent verschenen case report suggereert dat deze therapie ook effectief is voor fracturen van het os trapezoïdeum. [1] Hiermee is de behandeling van geïsoleerde niet-gedisloceerde fracturen van het os capitatum en het os trapezoïdeum gelijk.
 
De casus toont aan dat ook bij het gebruik van CT en MRI een goede afstemming tussen behandelend arts en radioloog essentieel is voor het opsporen van carpalialetsel. Daarbij dient men te blijven beseffen dat een diagnose gesteld wordt op basis van een combinatie van het klinisch beeld en aanvullend onderzoek en dat ook deze geavanceerde technieken geen absolute zekerheid bieden.
 
Drs. T. Barwari, coassistent radiologie, Academisch Medisch Centrum, Amsterdam
Prof. dr. M. Maas, hoogleraar musculoskeletale radiologie, Academisch Medisch Centrum, Amsterdam

 

 

Referenties:
[1] Blomquist et al. Isolated fractures of the trapezoid as a sports injury. Skeletal Radiology (2013) 42:735–739

Twee radiologen (dienstdoende radioloog van  Medisch Centrum Haaglanden en Dr.Grutters van het Röpcke-Zweers ziekenuis) hebben onafhankelijk van elkaar CT-plaatjes van deze patiënt beoordeeld. Naar hun optiek gaat het om een niet-gediscloceerde capitatumfractuur.

 

Volgens de nuclaire geneeskundige van MCH ging het om een evident capitatumfractuur.

 

Drs. S.Zoakman, arts-assistent SEH, het Röpcke-Zweers Zieknhuis.

Gratis Ask NTVG uitproberen?

Maak met 2 klikken een gratis account aan

Account aanmaken

Heb je al een account of een abonnement? Inloggen

Altijd toegang tot alle publicaties van het NTVG?

Abonneer vandaag nog!

Online toegang tot alle artikelen
Gepersonaliseerde alerts voor artikelen en dossiers
Artikelen voor opleiding en nascholing mét geaccrediteerde toetsen
Onbeperkt luisteren naar de NTVG-podcast
Antwoorden op al je vragen via de AI-toepassing 'Ask NTVG'

Neem het digitaal ntvg abonnement

€ 15,93 per maand!

Ik wil digitaal
NTVG nummer 2 2026
NTVG nummer 3 2026
NTVG nummer 4 2026