Diagnose en behandeling van xanthogranulomateuze pyelonefritis

Een hardnekkige urineweginfectie

Klinische praktijk
Abstract
Tanja Oostergo
John B.W. Rietbergen
Yvonne C. Schrama
Leestijd
12 minuten
Citeren

Samenvatting

Achtergrond

Xanthogranulomateuze pyelonefritis (XGP) is een zeldzame inflammatoire aandoening van het nierparenchym, die samenhangt met lang bestaande subtotale obstructie van de urinewegen en urineweginfecties. Omdat de symptomen aspecifiek zijn, wordt de diagnose vaak met vertraging gesteld.

Casus

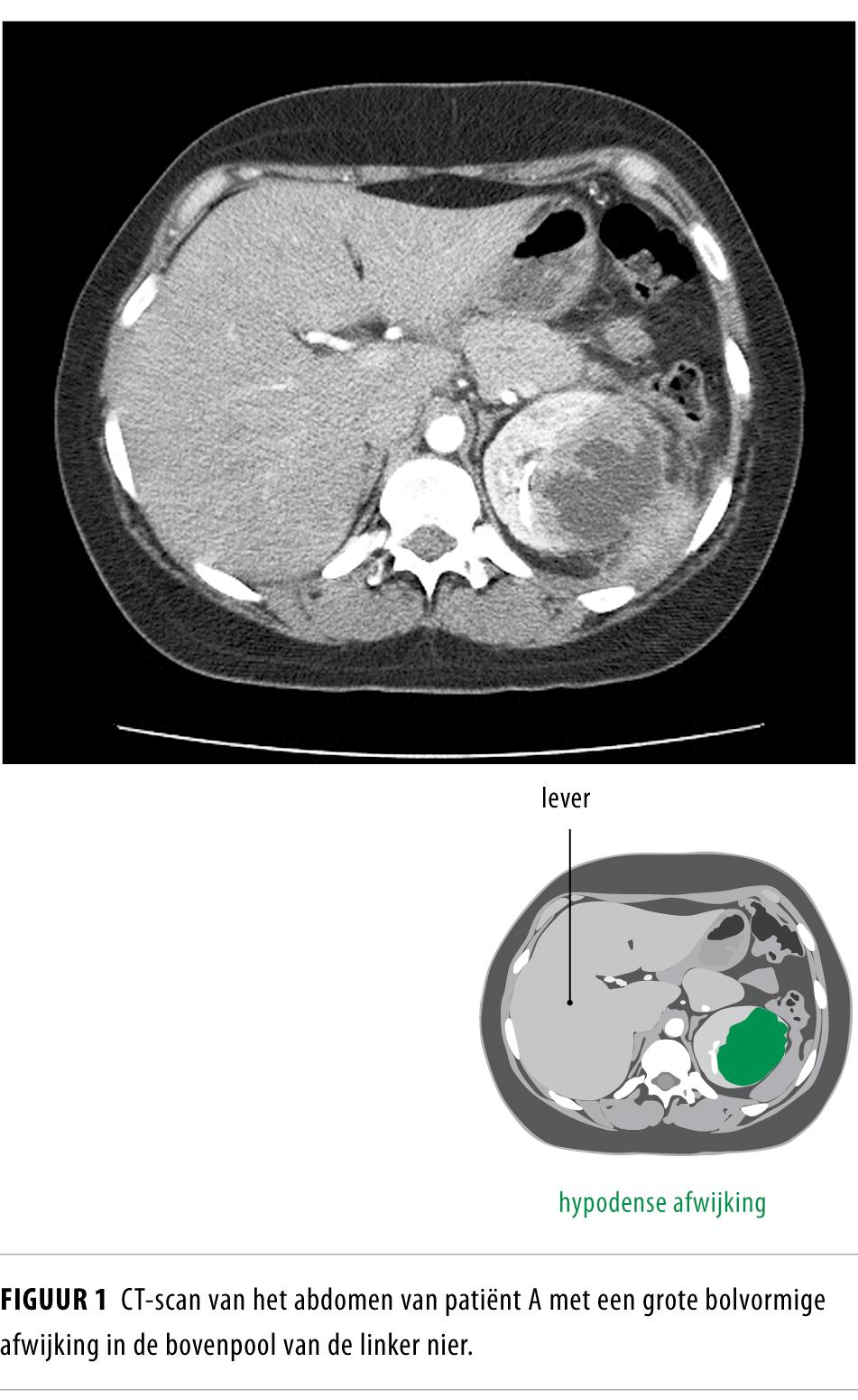
Wij beschrijven 2 patiënten met moeilijk te behandelen en frequent recidiverende urineweginfecties. De diagnose ‘xanthogranulomateuze pyelonefritis’ is gesteld op basis van het beeldvormend onderzoek waarbij een diffuus gezwollen nier en urolithiasis werden gezien. Beide patiëntes konden succesvol worden behandeld door drainage van de aangedane nier met een ureterale dubbel-J-katheter en antibiotica.

Conclusie

Bij patiënten met recidiverende pyelonefritis of pyelonefritis die slecht reageert op antibiotische behandeling is beeldvormend onderzoek van belang. Hiermee kunnen vroegtijdig obstructies van de urinewegen en complicaties van een pyelonefritis, zoals XGP, worden gediagnosticeerd. Adequate behandeling van XGP met antibiotica en drainage van de aangedane nier kan soms een nefrectomie voorkomen.

Auteursinformatie

Sint Franciscus Gasthuis, Rotterdam.

Afd. Urologie: dr. J.B.W. Rietbergen, uroloog.

Afd. Nefrologie: dr. Y.C. Schrama, internist-nefroloog.

Contact drs. T. Oostergo (t.oostergo@sfg.nl)

Verantwoording

Belangenconflict en financiële ondersteuning: geen gemeld.
Aanvaard op 22 januari 2013

Auteur Belangenverstrengeling
Tanja Oostergo ICMJE-formulier
John B.W. Rietbergen ICMJE-formulier
Yvonne C. Schrama ICMJE-formulier

Ook interessant

Reacties

Gratis Ask NTVG uitproberen?

Maak met 2 klikken een gratis account aan

Account aanmaken

Heb je al een account of een abonnement? Inloggen

Altijd toegang tot alle publicaties van het NTVG?

Abonneer vandaag nog!

Online toegang tot alle artikelen
Gepersonaliseerde alerts voor artikelen en dossiers
Artikelen voor opleiding en nascholing mét geaccrediteerde toetsen
Onbeperkt luisteren naar de NTVG-podcast
Antwoorden op al je vragen via de AI-toepassing 'Ask NTVG'

Neem het digitaal ntvg abonnement

€ 15,93 per maand!

Ik wil digitaal
NTVG nummer 3 2026
NTVG nummer 4 2026
NTVG nummer 5 2026