Aminosalicylaten bij de ziekte van Crohn: geringe indicatie, ernstige bijwerkingen

Klinische praktijk
Abstract
Steven B. Uittenbogaart
Michael Klemt-Kropp
Download PDF

artikel

Dames en Heren,

Sulfasalazine en mesalazine worden al decennia lang gebruikt bij de behandeling van patiënten met een inflammatoire darmziekte (IBD). Deze middelen worden over het algemeen goed verdragen, maar beide hebben een breed scala aan bijwerkingen. Aminosalicylaten zijn de eerste-keusbehandeling van colitis ulcerosa.

Voor de ziekte van Crohn is echter nooit overtuigend aangetoond dat sulfasalazine en mesalazine het ziektebeloop daadwerkelijk kunnen beïnvloeden. Desondanks worden deze middelen bij patiënten met de ziekte van Crohn nog vaak ingezet.

Deze les beginnen wij met 3 casussen die de diversiteit van de bijwerkingen weergeven. Vervolgens bespreken we de verschillende indicaties voor gebruik, bijwerkingen en overwegingen bij controle van deze medicatie.

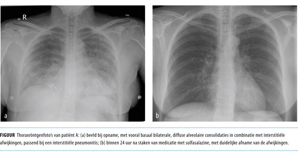
Patiënt A betreft een 43-jarige vrouw, bekend wegens de ziekte van Crohn, die op dat moment in remissie was. Zij gebruikte mesalazine als onderhoudsbehandeling. In verband met gewrichtsklachten was de mesalazine vervangen door sulfasalazine. 7 dagen na de medicatiewissel meldde patiënte zich op de Spoedeisende Hulp. Zij had sinds 5 dagen koorts tot 41°C, huiduitslag en een niet-productieve hoest. Bij lichamelijk onderzoek werd een zieke vrouw gezien met een lichaamstemperatuur van 39°C, tachycardie, tachypneu en met diffuus verspreide erythemateuze huiduitslag. Bij auscultatie waren grove ronchi beiderzijds basaal te horen. Laboratoriumonderzoek toonde een verhoogde CRP-concentratie (269 mg/l) en een ongestoord leukocytengetal van 7,5 x 109/l, zonder eosinofilie. De thoraxröntgenfoto liet bilaterale, diffuse alveolaire consolidaties zien in combinatie met interstitiële afwijkingen (figuur a). Op verdenking van een atypische pneumonie werd patiënte opgenomen en kreeg zij behandeling met ceftriaxon en gentamicine. De sulfasalazine werd gecontinueerd.

Figuur 1

De volgende dag werd patiënte vanwege respiratoire insufficiëntie overgeplaatst naar de Intensive Care voor intubatie en beademing. Vanwege aanhoudende koorts werden op de derde opnamedag de antibiotica omgezet naar amoxicilline-clavulaanzuur en ciprofloxacine, werd de sulfasalazine gestopt en werd prednisolon in hoge dosis gestart. De dag erop was patiënte koortsvrij, kon zij gedetubeerd worden en toonde de thoraxfoto sterke afname van de alveolaire consolidaties (zie figuur b). In de bloed- en sputumkweken groeiden geen micro-organismen. Serologisch onderzoek voor atypische verwekkers en respiratoire virussen had negatieve uitslagen.

Nadat patiënte verder herstelde, werd op opnamedag 10 de prednisolon gestaakt en de sulfasalazine herstart. De volgende dag was zij hypotensief en tachycard, had zij hoge koorts en reactiveerde de erythemateuze huiduitslag. Door deze onbedoelde re-expositie werd duidelijk dat er sprake was van een sulfasalazine-geïnduceerde interstitiële pneumonitis. Na het opnieuw staken van de sulfasalazine herstelde patiënte snel. Poliklinisch heeft zij nog enige tijd mesalazine gebruikt, zonder problemen.

Patiënt B is een 56-jarige man, sinds 8 jaar bekend wegens de ziekte van Crohn. Recentelijk had hij een endoscopisch bevestigde exacerbatie van de darmziekte. De behandelaar schreef mesalazine tabletten en klysma’s voor.

Na de start van de therapie kreeg patiënt heftige buikpijn en nam de frequentie van de ontlasting verder toe. Na 2 weken waren de klachten dusdanig dat hij werd opgenomen. Omdat de verergering van de buikpijn en de diarree gelijktijdig met het starten van de mesalazine optrad, werd dit geduid als bijwerking van mesalazine en niet geïnterpreteerd als therapiefalen. De mesalazine werd gestaakt en vervangen door beclomethasonklysma’s. Binnen 24 uur was de buikpijn verdwenen en de ontlastingsfrequentie verminderd. Na enkele weken was patiënt klachtenvrij.

Patiënt C betreft een 23-jarige vrouw, die sinds 6 maanden behandeld werd met orale mesalazine voor de ziekte van Crohn met actieve ziekte ter hoogte van de flexura lienalis tot in colon descendens. Vanwege een exacerbatie met frequente bloederige ontlasting was 3 weken vóór presentatie budesonide toegevoegd aan de behandeling.

Bij polibezoek had patiënte sinds enkele dagen aanvalsgewijze buikpijn, uitstralend naar rug en schouderbladen. Enkele dagen hiervóór was zij zelf gestopt met de budesonide vanwege misselijkheid, gewichtsverlies en algehele malaise. Haar ontlastingspatroon was onveranderd.

Aanvullend bloedonderzoek toonde verhoogde uitslagen (referentiewaarde tussen haakjes) van amylase (238 U/l (0-100)), lipase (517 U/l (12-45)) en CRP (71 mg/l (0-5)). De uitslagen van bilirubine, transaminasen, γ-GT en alkalisch fosfatase lagen binnen het referentiegebied. Echografie liet een gezwollen pancreas zien zonder afwijkingen aan de galwegen. Aanvullend onderzoek naar auto-immune pancreatitis had negatieve bevindingen.

Wij concludeerden dat patiënte een medicamenteus geïnduceerde pancreatitis had. Vanwege de pancolitis werd gestart met een prednisonkuur. Budesonide en mesalazine waren al gestopt bij opname. Binnen enkele dagen was patiënte klachtenvrij.

Beschouwing

Gebruik van sulfasalazine en mesalazine bij IBD

De 5-aminosalicylzuur(5-ASA)-preparaten sulfasalazine en mesalazine worden al decennia veelvuldig voorgeschreven bij inflammatoire darmziekten. Voor de behandeling van colitis ulcerosa zijn ze bewezen effectief en de behandeling van eerste keus.1 5-ASA wordt ook vaak ingezet als behandeling voor patiënten met de ziekte van Crohn, zoals bij bovenstaande casussen. Wetenschappelijke ondersteuning hiervoor ontbreekt echter. Uit een recente meta-analyse blijkt dat 5-ASA voor de ziekte van Crohn niet effectief is ten opzichte van placebo en inferieur is aan glucocorticoïden.2 Mogelijk is er wel een bescheiden rol voor het onderhouden van chirurgisch geïnduceerde remissie bij patiënten met ziekte in het terminale ileum en die niet in aanmerking komen voor immunosuppressieve medicatie.3 Opvallend is dat geen van de hier besproken patiënten een goede indicatie voor 5-ASA had.

Voor de behandeling van perifere en axiale artritis als gevolg van IBD zijn er nooit voordelen aangetoond van sulfasalazine boven mesalazine. Fysiotherapie en analgetica worden geadviseerd, naast behandeling van de onderliggende IBD. NSAID’s kunnen kortdurend worden gebruikt, maar men moet dan bedacht zijn op mogelijke opvlamming van de IBD.4

Farmacologie van sulfasalazine en mesalazine

Sulfasalazine was het eerste beschikbare 5-ASA-preparaat. Het bestaat uit 5-aminosalicylzuur (dat is mesalazine), via een azoverbinding gebonden aan sulfapyrine, een antibioticum. Sulfapyrine voorkomt resorptie van het geneesmiddel in de dunne darm en geeft 5-ASA af in het terminale ileum na splitsing van de azoverbinding door bacteriële enzymen. Voor IBD is 5-ASA de werkzame component, terwijl van sulfapyridine bekend is dat het frequent bijwerkingen kan veroorzaken. In de darm heeft 5-ASA op de plaats van afgifte een lokaal anti-inflammatoire en immunosuppressieve werking.5 De werking van aminosalicylaten wordt uitgelegd in een filmpje op www.youtube.com/watch?v=-ittHMcSbCk.

Om de bijwerkingen van sulfapyridine te vermijden, zijn verschillende orale preparaten ontworpen die 5-ASA, oftewel mesalazine, gereguleerd afgeven (tabel 1). De nieuwste ontwikkeling bestaat uit preparaten met ‘intelligente’ afgiftesystemen, die gereguleerde afgifte op de juiste plaats in het colon mogelijk maken met eenmaal daags doseren. Mesalazine is ook beschikbaar als zetpil en klysma voor distale colitis ulcerosa. De combinatie van orale en lokale therapie kan betere resultaten geven dan monotherapie, waarschijnlijk door hogere intraluminale concentraties van het middel.6

Figuur 2

Bijwerkingen van sulfasalazine en mesalazine

Voor de bijwerkingen van aminosalicylzuurpreparaten worden verschillende typen onderscheiden, namelijk dosis- en productgerelateerde bijwerkingen, allergische reacties en idiosyncratische reacties.

Dosis- en productafhankelijke bijwerkingen Meest voorkomend zijn dosis- en productafhankelijke bijwerkingen. Meer dan een derde van de patiënten die sulfasalazine gebruiken, ondervindt misselijkheid, dyspepsie, braken, hoofdpijn of vermoeidheid. Van de patiënten met deze bijwerkingen heeft een deel geen last meer na overstappen op andere 5-ASA-preparaten.7

Gastro-enterologen worden in de dagelijkse praktijk regelmatig geconfronteerd met mogelijke bijwerkingen van 5-ASA. Bij de beslissing om 5-ASA te continueren zullen zij een afweging moeten maken tussen de bijwerkingen die de patiënt ervaart en de baten die het middel geeft. Aanpassing van de dosis of keuze voor een ander product kan verbetering geven evenals desensibilisatie.8

Allergische reacties Voorbeelden van allergische reacties zijn huiduitslag, urticaria, angio-oedeem en koorts. Een rechallenge met een lagere dosering, een ander product of desensibilisatie kan ook hier overwogen worden.8

Idiosyncratische reacties Idiosyncratische reacties zijn zeldzame, ernstige, patiëntgebonden reacties. De precieze incidentie van allergische en idiosyncratische reacties is niet bekend. Vaak is de oorzaak van een complicatie bij IBD moeilijk aan te wijzen. Patiënten gebruiken vaak meerdere medicamenten en wat een bijwerking kan zijn, kan ook een extra-intestinale manifestatie van de IBD zijn.

Allergische en idiosyncratische reacties zijn voor vele orgaansystemen beschreven bij 5-ASA (tabel 2). De voorbeelden uit onze les worden hieronder uitgebreider besproken. Andere zaken waarop bij gebruik van 5-ASA gecontroleerd moet worden zijn hematologische afwijkingen zoals agranulocytose, anemie en trombocytopenie en nierfunctiestoornissen.8,9 Indien idiosyncratische reacties optreden, dient verder gebruik van 5-ASA vermeden te worden.

Figuur 3

Pulmonale toxiciteit Pulmonale toxiciteit van sulfasalazine zoals bij patiënte A is een zeldzame idiosyncratische reactie. In de literatuur worden met name sulfasalazine-geïnduceerde interstitiële pneumonitis en fibroserende alveolitis beschreven. De meest voorkomende symptomen zijn dyspneu, koorts, droge hoest, crepitaties bij auscultatie en infiltraten in de long, zichtbaar bij röntgenonderzoek. Bij ongeveer de helft van de patiënten wordt eosinofilie beschreven.10

Bij mesalazine zijn vergelijkbare pulmonale reacties beschreven,11 wat aantoont dat zowel sulfapyridine als 5-ASA pulmonale toxiciteit kan veroorzaken. Bij patiënte A was de sulfapyridine de uitlokkende component, hetgeen werd bewezen door de onbedoelde rechallenge na hervatten van de medicatie en goede tolerantie voor mesalazine.

Paradoxale verergering van colitis Toename van buikpijn en ontlastingsfrequentie – eventueel met bloedbijmenging – zoals bij patiënt B, komt voor bij zowel sulfasalazine als mesalazine. Wanneer men hier niet op bedacht is, kan dit gemakkelijk als verergering van de IBD worden geduid, met als consequentie een escalatie door de therapie. Typisch is dat klachten 24 tot 48 h na inname van medicatie optreden en binnen 24 tot 48 h na staken weer verdwijnen.8

Acute pancreatitis Medicamenteus geïnduceerde acute pancreatitis bij IBD-patiënten is een idiosyncratische reactie beschreven bij sulfasalazine en mesalazine, evenals bij azathioprine, mercaptopurine en metronidazol. Daarnaast heeft deze patiëntengroep een verhoogde kans op cholelithiasis en gestoorde immunologische reacties.12 Bij patiënte C was behalve de medicatie geen ander uitlokkend moment. In deze casus lijkt de budesonide gezien de timing verdacht, maar deze bijwerking is voor dit middel nog nooit beschreven. Van mesalazine is bekend dat het ook na langdurig gebruik nog acute pancreatitis kan veroorzaken.13

Verschil ernstige bijwerkingen sulfasalazine en mesalazine Patiënten kunnen dosis gerelateerde bijwerkingen van sulfasalazine ervaren als het gevolg van een vertraagd metabolisme van sulfapyridine.8 Na de ontwikkeling van andere 5-ASA-preparaten werd gedacht dat men ook minder allergische en idiosyncratische reacties zou zien. Maar in een recente meta-analyse waarbij sulfasalazine met mesalazine werd vergeleken werden niet meer bijwerkingen gezien in de sulfasalazinegroep. Hierbij moet opgemerkt worden dat in de trials vaak patiënten werden geïncludeerd met een al bewezen tolerantie voor sulfasalazine.14 Eén Britse studie toonde zelfs voor mesalazine een hogere incidentie van interstitiële nefritis en pancreatitis.9 De studie maakte echter gebruik van spontane rapportage, hetgeen onbetrouwbaar kan zijn. Andere studies tonen geen verschil in incidentie aan voor interstitiële nefritis.15 Over het algemeen lijken de patronen van ernstige bijwerkingen veel overeenkomsten te hebben. Onze casus van patiënte A met sulfasalazine geïnduceerde pneumonitis toont wel aan dat sulfapyridine in specifieke gevallen aangewezen kan worden als uitlokkende component.

Dames en Heren, 5-aminosalicylzuurpreparaten worden veel voorgeschreven bij patiënten met inflammatoire darmziekten. Over het algemeen is het een veilige therapie, die de basis van behandeling van colitis ulcerosa vormt. Maar voor de ziekte van Crohn is geen bewijs van effectiviteit voor remissie-inductie noch voor onderhoudstherapie. Als eerstelijnsbehandeling zijn 5-ASA-preparaten dus niet geschikt voor de ziekte van Crohn. De bijwerkingen die de patiënten uit deze les ontwikkelden, hadden vermeden kunnen worden, aangezien zij geen goede indicatie voor 5-ASA hadden.

Er zijn geen studies die overtuigend verschil aantonen tussen mesalazine en sulfasalazine qua effectiviteit en veiligheid. Gezien het frequent vóórkomen van dosisgerelateerde bijwerkingen bij sulfasalazine is mesalazine een veilige keuze voor patiënten met colitis ulcerosa. Bij behandeling met 5-ASA moet men beducht zijn voor de bijwerkingen, die op korte en lange termijn kunnen optreden. Het onderscheid met symptomen van IBD is soms moeilijk te maken. Paradoxale verergering door de 5-ASA-therapie zelf en acute pancreatitis kunnen symptomen van IBD imiteren. Ook dient men erop bedacht te zijn dat 5-ASA niet-intestinale complicaties kan veroorzaken, zoals interstitiële pneumonitis.

De ernst van de reacties varieert van lichte dosisgerelateerde bijwerkingen tot ernstige idiosyncratische reacties. Indien er een sterke indicatie voor 5-ASA is, zoals bij patiënten met colitis ulcerosa, kan men bij geringe bijwerkingen overstappen op een ander middel of overwegen de dosis aan te passen.

Leerpunten

  • De 5-aminosalicylzuur(5-ASA)-preparaten zijn effectief en veilig als inductie- en onderhoudstherapie voor patiënten met colitis ulcerosa.

  • Bij de ziekte van Crohn is 5-ASA alleen geïndiceerd als onderhoudsbehandeling van chirurgisch geïnduceerde remissie van colitis in het terminale ileum.

  • Vanwege het bijwerkingenprofiel wordt de voorkeur gegeven aan een ander 5-ASA-preparaat dan sulfasalazine.

  • Ook na langer gebruik kunnen 5-ASA-preparaten ernstige bijwerkingen veroorzaken.

  • Patiënten kunnen idiosyncratische reacties op sulfasalazine vertonen, terwijl zij mesalazine veilig kunnen gebruiken.

  • Bijwerkingen van 5-ASA-preparaten kunnen soms lastig onderscheiden worden van de verschijnselen van de onderliggende inflammatoire darmziekte.

Literatuur
  1. Sutherland L, Macdonald JK. Oral 5-aminosalicylic acid for induction of remission in ulcerative colitis. Cochrane review. Cochrane Database Syst Rev. 2006;(2):CD000543 Medline.

  2. Lim WC, Hanauer S. Aminosalicylates for induction of remission or response in Crohn’s disease. Cochrane review. Cochrane Database Syst Rev. 2010;(12):CD008870 Medline.

  3. Ford AC, Khan KJ, Talley NJ, Moayyedi P. 5-aminosalicylates prevent relapse of Crohn’s disease after surgically induced remission: systematic review and meta-analysis. Am J Gastroenterol. 2011;106:413-20 Medline. doi:10.1038/ajg.2010.317

  4. Fornaciari G, Salvarani C, Beltrami M, Macchioni P, Stockbrugger RW, Russel MG. Muscoloskeletal manifestations in inflammatory bowel disease. Can J Gastroenterol. 2001;15:399-403 Medline.

  5. Rousseaux C, Lefebvre B, Dubuquoy L, et al. Intestinal anti-inflammatory effect of 5-aminosalicylic acid is dependent on peroxisome proliferator-activated receptor-gamma. J Exp Med. 2005;201:1205-15 Medline. doi:10.1084/jem.20041948

  6. Marteau P, Probert CS, Lindgren S, et al. Combined oral and enema treatment with Pentasa (mesalazine) is superior to oral therapy alone in patients with extensive mild/moderate active ulcerative colitis: a randomised, double blind, placebo controlled study. Gut. 2005;54:960-5 Medline. doi:10.1136/gut.2004.060103

  7. Rao SS, Cann PA, Holdsworth CD. Clinical experience of the tolerance of mesalazine and olsalazine in patients intolerant of sulphasalazine. Scand J Gastroenterol. 1987;22:332-6 Medline. doi:10.3109/00365528709078600

  8. Stein RB, Hanauer SB. Comparative tolerability of treatments for inflammatory bowel disease. Drug Saf. 2000;23:429-48 Medline. doi:10.2165/00002018-200023050-00006

  9. Ransford RA, Langman MJ. Sulphasalazine and mesalazine: serious adverse reactions re-evaluated on the basis of suspected adverse reaction reports to the Committee on Safety of Medicines. Gut. 2002;51:536-9 Medline. doi:10.1136/gut.51.4.536

  10. Parry SD, Barbatzas C, Peel ET, Barton JR. Sulphasalazine and lung toxicity. Eur Respir J. 2002;19:756-64 Medline. doi:10.1183/09031936.02.00267402

  11. Tanigawa K, Sugiyama K, Matsuyama H, et al. Mesalazine-induced eosinophilic pneumonia. Respiration. 1999;66:69-72 Medline. doi:10.1159/000029341

  12. Pitchumoni CS, Rubin A, Das K. Pancreatitis in inflammatory bowel diseases. J Clin Gastroenterol. 2010;44:246-53 Medline. doi:10.1097/MCG.0b013e3181cadbe1

  13. Toubanakis C, Batziou E, Sipsas N, Galanopoulos G, Tzivras M, Archimandritis A. Acute pancreatitis after long-term therapy with mesalazine, and hyperamylasaemia associated with azathioprine in a patient with ulcerative colitis. Eur J Gastroenterol Hepatol. 2003;15:933-4 Medline. doi:10.1097/00042737-200308000-00019

  14. Nikfar S, Rahimi R, Rezaie A, Abdollahi M. A meta-analysis of the efficacy of sulfasalazine in comparison with 5-aminosalicylates in the induction of improvement and maintenance of remission in patients with ulcerative colitis. Dig Dis Sci. 2009;54:1157-70 Medline. doi:10.1007/s10620-008-0481-x

  15. Logan RF, van Staa TP. Sulphasalazine and mesalazine: serious adverse reactions re-evaluated on the basis of suspected adverse reaction reports to the Committee on Safety of Medicines. Gut. 2003;52:1530-1 Medline. doi:10.1136/gut.52.10.1530

Auteursinformatie

Isala klinieken, afd. Interne geneeskunde, Zwolle.

Drs. S.B. Uittenbogaart, anios Interne geneeskunde.

Medisch Centrum Alkmaar, afd. Maag-, darm- en leverziekten, Alkmaar.

Dr. M. Klemt-Kropp, mdl-arts.

Contact drs. S.B. Uittenbogaart (suittenbogaart@gmail.com)

Verantwoording

Laurens J. Bos, radioloog Medisch Centrum Alkmaar, beoordeelde de thoraxröntgenfoto’s.
Belangenconflict: geen gemeld. Financiële ondersteuning: geen gemeld.
Aanvaard op 17 oktober 2011

Heb je nog vragen na het lezen van dit artikel?
Check onze AI-tool en verbaas je over de antwoorden.
ASK NTVG

Ook interessant

Reacties