Zeldzaam fenomeen bij een blanco medische voorgeschiedenis

Acute buik door inwendige herniatie

Ilustratie van maag, galblaas en lever
Abstract
Hector W.L. de Beaufort
Vincent P. Groot
Thomas L. Bollen
Koen F. Berben
M.J. (René) Wiezer
Download PDF

Samenvatting

Achtergrond

Een ongebruikelijke oorzaak van buikpijn is een inwendige herniatie van de dunne darm door het foramen van Winslow, de opening tussen het peritoneum en de bursa omentalis die zich caudaal van de lever en dorsaal van het omentum minus bevindt.

Casus

De patiënt is een 45-jarige man die ’s nachts op de Spoedeisende Hulp kwam met acuut ontstane buikpijn op basis van een herniatie van de dunne darm door het foramen van Winslow. Tijdens spoedlaparoscopie werd de dunne darm met een naald gedecomprimeerd, waarna deze kon worden gereponeerd. Het punctiedefect werd overhecht. Op dag 8 na de operatie kon patiënt in goede klinische toestand worden ontslagen.

Conclusie

Inwendige herniatie van de dunne darm door het foramen van Winslow is een zeldzame oorzaak van een acute buik. De behandeling is chirurgisch, waarbij de dunne darm via laparoscopie dan wel laparotomie wordt gereponeerd.

Kernpunten
  • Inwendige herniatie van de dunne darm door het foramen van Winslow is een zeldzame oorzaak van een acute buik.
  • Op CT is inwendige herniatie van de dunne darm door het foramen van Winslow te herkennen aan de aanwezigheid van mesenterium tussen de v. cava inferior en de v. porta.
  • De behandeling van herniatie door het foramen van Winslow is chirurgisch, waarbij laparoscopisch of via laparotomie de dunne darm wordt gereponeerd.

artikel

Wanneer een patiënt met een gastric bypass in de voorgeschiedenis met buikpijn op de Spoedeisende Hulp komt, staat ‘inwendige herniatie’ hoog in de differentiaaldiagnose. Bij een patiënt met een blanco voorgeschiedenis is deze diagnose erg ongebruikelijk. Toch is dit wel degelijk mogelijk, zoals wij laten zien aan de hand van een patiënt bij wie inwendige herniatie optrad van de dunne darm door het foramen van Winslow (foramen epiploicum), de opening tussen het peritoneum en de bursa omentalis die zich vlak onder de lever en achter het omentum minus bevindt (figuur 1).

Figuur 1
Het foramen van Winslow
Figuur 1 | Het foramen van Winslow
Schematische weergave van het foramen van Winslow (foramen epiploicum). Het foramen wordt aan de voorzijde begrensd door de v. porta (gelegen in het ligamentum hepatodudenale) en aan de achterzijde door de v. cava inferior. Het foramen geeft toegang tot de bursa omentalis, de ruimte tussen maag en pancreas.

Ziektegeschiedenis

Patiënt, een 45-jarige man met blanco medische voorgeschiedenis, kwam ’s nachts op de Spoedeisende Hulp met acuut ontstane, hevige buikpijn, zonder braken of veranderingen in het ontlastingspatroon. Bij lichamelijk onderzoek was er geen sprake van koorts of tachycardie. Er waren geen afwijkingen van de peristaltiek, maar wel drukpijn in de gehele rechter buikhelft, zonder aanwijzingen voor peritoneale prikkeling. De uitslagen van het laboratoriumonderzoek waren niet afwijkend, afgezien van een leukocytose van 14,7 x109/l en een urinesediment vol erytrocyten. Hierna leek de diagnose rond en werd de patiënt op de afdeling Urologie opgenomen met de werkdiagnose ‘urolithiasis’. Het plan was daarbij om in de ochtend na opname verdere diagnostiek te verrichten in de vorm van een CT zonder contrast van het abdomen.

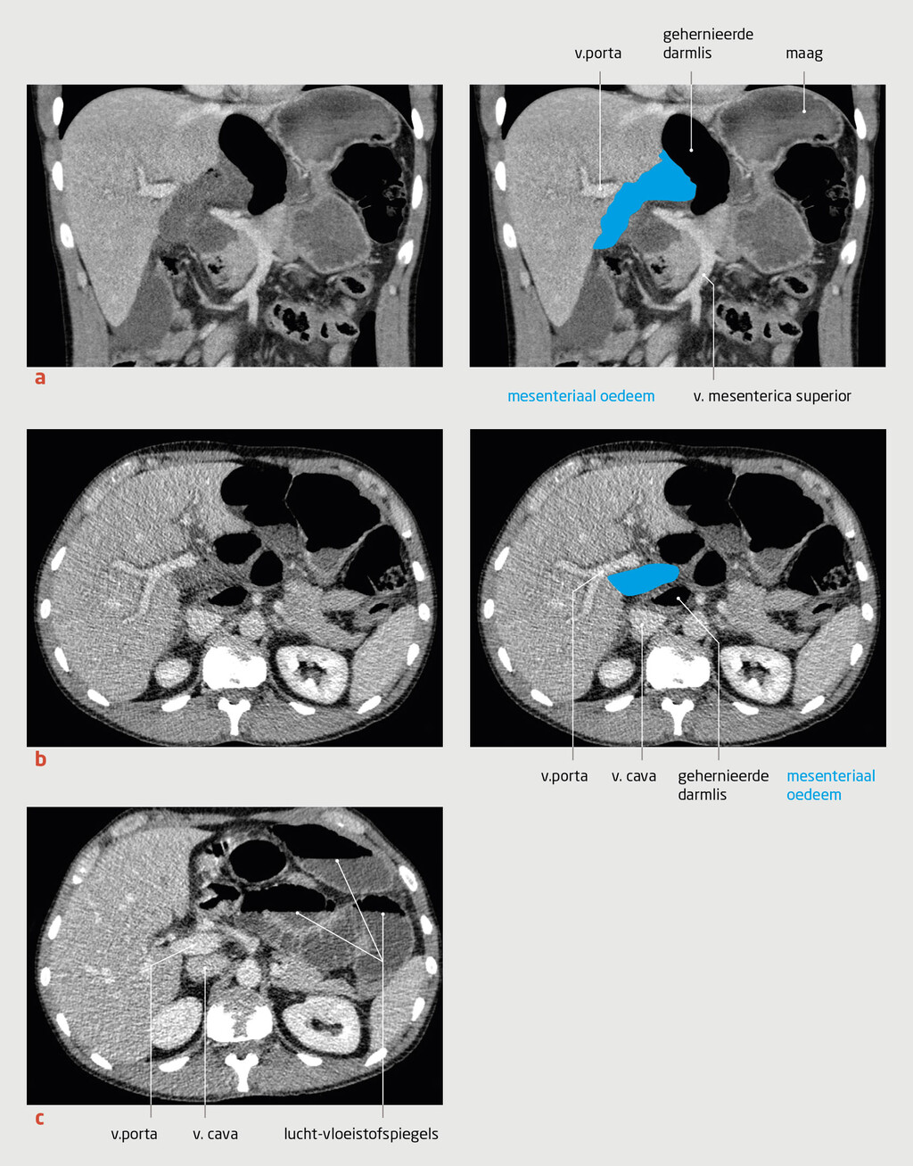
In de uren daarna bleef de patiënt pijn houden, ondanks pijnstilling met opiaten en scopolaminebutyl. Hoewel er geen afwijkingen waren in de vitale parameters, maakte de patiënt een toenemend zieke indruk, waardoor andere oorzaken van een acute buik waarschijnlijker werden. We besloten daarom niet langer te wachten met de CT van het abdomen en hierbij ook contrast te geven. Nu werd de diagnose duidelijk. De CT-scan liet namelijk een herniatie van de dunne darm door het foramen van Winslow zien, met tekenen van ischemie van het gehernieerde stuk darm (figuur 2a en 2b).

Figuur 2
Herniatie van dunne darm door het foramen van Winslow
Figuur 2 | Herniatie van dunne darm door het foramen van Winslow
CT-scans met contrast van het abdomen van de patiënt met acute buikpijn. (a) Preoperatieve opname, coronale coupe; de dunnedarmlis is gehernieerd door het foramen van Winslow (foramen epiploicum) en ligt nu tussen de lever en de maag, met daarbij veel mesenteriaal oedeem. (b) Preoperatieve opname, axiale coupe; de gehernieerde darmlis ligt tussen de v. cava en de v. porta. Het mesenteriale oedeem is een teken van ischemie. (c) CT bij heropname, axiale coupe; de gedilateerde darmlissen met lucht-vloeistofspiegels wijzen op een ileusbeeld, maar de v. porta en v. cava liggen vlak naast elkaar. Er is dus geen recidief van herniatie door het foramen van Winslow.

Wij gingen met spoed over tot laparoscopie. Het gehernieerde stuk dunne darm was ischemisch en bovendien sterk uitgezet. Hierdoor kon het niet met simpele tractie worden gereponeerd. In plaats van over te gaan op laparotomie besloten we om het omentum minus te openen en de dunne darm met een naald te decomprimeren. Er werd ruim 200 ml dunnedarminhoud afgezogen, waarna het wél lukte om de dunne darm te reponeren. Deze kleurde snel bij en hoefde daarom niet te worden gereseceerd. Het punctiedefect werd overhecht. Omdat wij het risico op een recidief verwaarloosbaar klein achtten, werd het foramen van Winslow niet gesloten, om letsel aan omliggende structuren – ductus choledochus, v. porta, a. hepatica – te vermijden.

Omdat er een minimale hoeveelheid darminhoud naar de buikholte was gelekt, werd de patiënt nog drie dagen met intraveneuze antibiotica behandeld. Gedurende vijf dagen was er sprake van een paralytische ileus, waarna hij orale voeding kon hervatten. Op dag 8 na de operatie werd de patiënt in goede klinische toestand ontslagen. De patiënt liet via de huisarts zijn urinesediment nog eens controleren, maar dit liet geen microscopische hematurie meer zien en daarom werd geen verdere diagnostiek hiernaar verricht.

Tien weken later meldde de patiënt zich opnieuw op de Spoedeisende Hulp met buikpijn, misselijkheid en braken sinds drie dagen. Omdat wij een recidief van de inwendige herniatie vermoedden, werd opnieuw CT verricht (figuur 2c). Deze toonde echter een beeld dat meer paste bij een strengileus, die conservatief kon worden behandeld met het jodiumhoudende contrastmiddel amidotrizoïnezuur (Gastrografin) en een maaghevel. Aangezien een strengileus zo vroeg na een laparoscopische ingreep zeldzaam is, zou deze ileus ook verklaard kunnen worden als een zichzelf reponerend recidief van de inwendige herniatie. Drie maanden na de laatste opname werd de patiënt teruggezien op de polikliniek en was hij nog steeds klachtenvrij. Hierna werd hij uit verdere controle ontslagen.

Beschouwing

Er is sprake van inwendige herniatie als een intra-abdominaal orgaan door een opening in het peritoneum of mesenterium beweegt en vast blijft zitten. Dit uit zich doorgaans in buikpijn, misselijkheid of braken. Inwendige herniatie kan levensbedreigend zijn als het gehernieerde orgaan geïncarcereerd en ischemisch raakt. Daarom is tijdige herkenning van de aandoening van belang.

De meeste gevallen van inwendige herniatie worden tegenwoordig gezien na een operatie, met name na operaties waarbij een Roux-en-Y-anastomose is aangelegd, wat bij bariatrische chirurgie vaak gebeurt.1,2 ‘Spontane’ inwendige herniaties zijn zeer zeldzaam, waardoor tijdige herkenning moeilijk kan zijn. In het algemeen kan men stellen dat de waarde van anamnese, lichamelijk onderzoek en bloedonderzoek beperkt is bij acute buikpijn en aanvullende diagnostiek is dus al snel gerechtvaardigd.3

De urgentie van dit aanvullend onderzoek is van veel factoren afhankelijk. Bij onze patiënt werden wij op het verkeerde been gezet door de afwezigheid van verschillende symptomen – hij braakte niet en had geen verandering in het ontlastingspatroon, geen koorts, tachycardie of peritoneale prikkeling – in combinatie met de microscopische hematurie. Daardoor is er een aantal uur tijdverlies opgetreden. Uiteraard is de a-priorikans dat een gezonde 45-jarige niet-roker darmischemie heeft, erg laag. Bovendien is bij patiënten met darmischemie het lichamelijk onderzoek aanvankelijk vaak weinig afwijkend en is met name het progressieve karakter van de pijn richtinggevend. De progressie van de pijn vormde ook bij onze patiënt de reden om de CT te verrichten. Mogelijk zouden dus ook zonder het dwaalspoor van de hematurie enkele uren klinische observatie nodig zijn geweest om de diagnose te stellen.

Het is niet altijd even eenvoudig om de diagnose ‘inwendige herniatie’ op basis van CT te stellen. Vaak kan de diagnose pas worden gesteld als er tekenen van obstructie van de dunne darm zichtbaar zijn, zoals gedilateerde darmlissen, een verplaatste vaatsteel en verminderde aankleuring van de darmwand. Kenmerkend voor herniatie door het foramen van Winslow is de aanwezigheid van mesenterium tussen de v. cava inferior en de v. porta (zie figuur 2b).

De behandeling is chirurgisch, waarbij de inwendige hernia wordt gereponeerd en avitale delen van de darm zo nodig worden gereseceerd. De klassiek benadering hiervoor is een laparotomie, maar er zijn wereldwijd ook een twintigtal laparoscopische reposities beschreven.4 Decompressie van de uitgezette darm met een naald is ongebruikelijk, maar al wel eerder beschreven in het specifieke geval van herniatie door het foramen van Winslow.5 Bij een kleine minderheid van de patiënten werd het foramen van Winslow gesloten; meestal werd het opengelaten, omdat de opening doorgaans zeer klein is en er geen gevallen van recidiefherniatie door het foramen van Winslow bekend zijn.

Conclusie

Inwendige herniatie van de dunne darm door het foramen van Winslow is een zeldzame oorzaak van een acute buik. Het kan lastig zijn om het te onderscheiden van andere oorzaken van acute buik. De diagnose kan met CT gesteld worden. De behandeling is chirurgisch, waarbij via laparoscopie dan wel laparotomie de dunne darm wordt gereponeerd.

Literatuur
  1. Ghiassi S, Nguyen SQ, Divino CM, Byrn JC, Schlager A. Internal hernias: clinical findings, management, and outcomes in 49 nonbariatric cases. J Gastrointest Surg. 2007;11:291-5. doi:10.1007/s11605-007-0086-2. Medline

  2. Doishita S, Takeshita T, Uchima Y, et al. Internal hernias in the era of multidetector CT: correlation of imaging and surgical findings. Radiographics. 2016;36:88-106. doi:10.1148/rg.2016150113. Medline

  3. Laméris W, van Randen A, van Es HW, et al; OPTIMA study group. Imaging strategies for detection of urgent conditions in patients with acute abdominal pain: diagnostic accuracy study. BMJ. 2009;338:b2431. doi:10.1136/bmj.b2431. Medline

  4. Honma S, Itohara T, Sha S, Onoyama H. Laparoscopic surgery in a patient with foramen of Winslow hernia due to large uterine fibroids: a case report and literature review. Surg Case Rep. 2021;7:77. doi:10.1186/s40792-021-01162-2. Medline

  5. Daher R, Montana L, Abdullah J, d’Alessandro A, Chouillard E. Laparoscopic management of foramen of Winslow incarcerated hernia. Surg Case Rep. 2016;2:9. doi:10.1186/s40792-016-0139-4. Medline

Auteursinformatie

St. Antonius Ziekenhuis, Nieuwegein, afd. Chirurgie: dr. H.W.L. de Beaufort en dr. V.P. Groot, aiossen; dr. M.J. Wiezer, chirurg; afd. Radiologie: dr. T.L. Bollen, radioloog. Apotheek Sam van Houten, Amsterdam: drs. K.F. Berben, apotheker.

Contact H.W.L. de Beaufort (h.de.beaufort@antoniusziekenhuis.nl)

Belangenverstrengeling

Belangenconflict en financiële ondersteuning: geen gemeld.

Auteur Belangenverstrengeling
Hector W.L. de Beaufort ICMJE-formulier
Vincent P. Groot ICMJE-formulier
Thomas L. Bollen ICMJE-formulier
Koen F. Berben ICMJE-formulier
M.J. (René) Wiezer ICMJE-formulier
Heb je nog vragen na het lezen van dit artikel?
Check onze AI-tool en verbaas je over de antwoorden.
ASK NTVG

Ook interessant

Reacties