Verrassende klinische presentaties van amoebiasis

Wie verre reizen maakt…

Klinische praktijk
Abstract
Jan Tegtmeier
Edith M. Koehler
Cees Th.B.M. van Deursen
Jacqueline Buijs
Download PDF

Dames en Heren,

Infecties met de parasiet Entamoeba histolytica komen wereldwijd veel voor, met name in subtropische en tropische gebieden. Jaarlijks overlijden naar schatting 40.000 tot 100.000 mensen aan deze aandoening.1 Door mobiliteit en migratie worden wij ook in Nederland regelmatig met deze ziekte geconfronteerd. In deze klinische les willen we enkele buitengewone presentaties van amoebiasis bespreken.

Toets voor nascholing (verlopen)

Aan dit artikel was een toets gekoppeld waarmee je nascholingspunten kon verdienen.

Bekijk de toets
Kernpunten

Amoebiasis kan andere ziektebeelden nabootsen.

De diagnose ‘amoebiasis’ wordt gesteld op een combinatie van reisanamnese, een klinisch beeld van colitis of abces en uitslagen van serologisch of antigeenonderzoek en PCR.

Een infectie met Entamoeba histolytica moet altijd behandeld worden.

Bij een niet-invasieve infectie met Entamoeba histolytica volstaat behandeling met een contactamoebicide (clioquinol).

Bij een invasieve infectie moet na behandeling met een weefselamoebicide (metronidazol) altijd nabehandeling met een contactamoebicide (clioquinol) volgen.

artikel

Patiënt A, een 65-jarige Nederlandse man, bezocht onze polikliniek in verband met buikpijn. Zijn voorgeschiedenis vermeldde een partiële leverresectie vanwege een amoebenabces, dat volgens de patiënt was opgetreden ‘na eten van geïmporteerd vlees uit Taiwan’. De leverresectie had meer dan 35 jaar geleden plaatsgevonden; nadere gegevens daarover waren niet bekend. Tevens werd hij sinds 10 jaar succesvol behandeld voor colitis ulcerosa die werd gecompliceerd door reactieve polyartritis. Zijn medicatie was azathioprine, sulfasalazine en hydroxychloroquine. Hij reisde al jaren regelmatig naar Spanje en Turkije.

Tijdens vakantie in Spanje, 2 maanden geleden, had hij last gekregen van buikpijn en bloedverlies per anum. Een CT-onderzoek ter plaatse had een verdikking van het colon ascendens getoond. Endoscopisch waren enkele kleine ulcera gezien; histopathologisch onderzoek van biopten hieruit toonde een ontstekingsbeeld zonder tekenen van dysplasie. De behandelende arts in Spanje had amoebiasis als oorzaak van de klachten overwogen en een kuur metronidazol voorgeschreven. Er was een goede klinische respons en de patiënt was teruggereisd naar Nederland. Na terugkomst had hij opnieuw buikpijn en diarree gekregen, waarop de huisarts hem naar onze polikliniek had verwezen.

Bij lichamelijk onderzoek was de buik drukpijnlijk. Laboratoriumonderzoek toonde cholestatische afwijkingen van de leverenzymen en een verhoogde CRP- en LDH-waarde (tabel). CT-onderzoek toonde aanwijzingen voor ontsteking ter plaatse van het coecum.

Tabel
Uitslagen van laboratoriumonderzoek en beeldvormend onderzoek bij presentatie
Tabel | Uitslagen van laboratoriumonderzoek en beeldvormend onderzoek bij presentatie

Bij coloscopie zagen wij ulceraties in het colon (figuur 1). Histopathologisch onderzoek van biopten uit het colon gaf aanwijzingen voor amoebeninfectie. De uitslagen van serologisch onderzoek en PCR op feces waren eveneens positief voor E. histolytica . Er bleek dus sprake te zijn van een invasieve amoebeninfectie. De behandeling met azathioprine en sulfasalazine werd gestaakt en vervangen door een kuur metronidazol (750 mg 3 dd gedurende 7 dagen), gecombineerd met clioquinol 250 mg 3 dd gedurende 10 dagen. Hiermee werd de patiënt klachtenvrij.

Figuur 1
Ulceraties in het colon bij patiënt A
Figuur 1 | Ulceraties in het colon bij patiënt A
Beeld bij coloscopie. Histopathologisch onderzoek van biopten uit de colonwand was suggestief voor amoebeninfectie, een diagnose die later bevestigd werd met serologisch onderzoek en PCR.

Gezien dit uitzonderlijke beloop lieten wij de colonbiopten van 10 jaar eerder reviseren. Daarin werd retrospectief de aanwezigheid van E. histolytica bevestigd. Deze patiënt had dus al zeer lang colitis veroorzaakt door E. histolytica . Opmerkelijk is dat dit beeld klinisch succesvol behandeld kon worden met azathioprine en sulfasalazine.

Patiënt B, een 69-jarige man, had bij het bevolkingsonderzoek voor colorectaal carcinoom een positieve uitslag van de test op occult bloed. Naar aanleiding daarvan zagen wij hem op onze polikliniek. Hij was 5 jaar eerder geopereerd in verband met een geperforeerde appendicitis; zijn medische voorgeschiedenis was verder blanco.

Bij coloscopie zagen wij een tumor in het caecum. De uitslagen van lhet aboratoriumonderzoek waren niet afwijkend (zie de tabel), en ook de CEA-waarde was niet afwijkend. CT-onderzoek toonde een tumor in het caecum met lokaal en mesenteriaal vergrote lymfklieren. Er waren geen aanwijzingen voor metastasen. Histopathologisch onderzoek van biopten uit de colonwand toonde een ulcererende ontsteking zonder aanwijzingen voor maligniteit.

Gezien deze opmerkelijke bevindingen werd de voorgeschiedenis met de appendicitis verder uitgediept. Destijds was hij met buikpijn en koorts naar het ziekenhuis gekomen. Een CT van het abdomen had het beeld getoond van een appendicitis met een verdikte caecumwand. Aanvullende coloscopie had ulceraties in het caecum en colon ascendens getoond, waarbij in eerste instantie aan ziekte van Crohn was gedacht. Vervolgens was een laparotomie verricht waarbij een geperforeerde appendicitis met abcesvorming werd gezien; de uitslag van het histopathologisch onderzoek luidde: purulente ontsteking. In de colonbiopten was een actieve chronische ontsteking gezien, zonder specifieke kenmerken. De patiënt was postoperatief met amoxicilline/clavulaanzuur behandeld, en in goede conditie ontslagen.

Aanvullend namen wij een uitgebreidere reisanamnese af. Hieruit kwam naar voren dat de patiënt jarenlang regelmatig naar Azië, Afrika en Zuid-Amerika reisde. Vervolgens werd histopathologisch onderzoek en PCR verricht op het materiaal van de colonbiopten en de appendectomie van 5 jaar geleden. Er bleek in alle materialen sprake te zijn van infectie met E. histolytica . Wij concludeerden dat de tumor in het caecum een uiting was van amoebiasis. De patiënt werd behandeld met metronidazol 750 mg 3dd gedurende 10 dagen, gevolgd door paromomycine 500 mg 3dd gedurende 10 dagen. Bij een follow-up coloscopie na 6 weken was de tumor verdwenen en werden histo-pathologisch geen parasieten meer aangetoond.

Patiënt C, een 62-jarige man, kwam naar de Spoedeisende Hulp met koorts, diarree en buikpijn sinds 2 weken. Zijn voorgeschiedenis was blanco; hij had een half jaar eerder een coloscopie ondergaan in verband met diarree. Bij de coloscopie waren geen afwijkingen gezien.

Uit de anamnese bleek dat hij sinds 2 maanden terug was van een reis naar Gambia. Behoudens koorts waren er bij lichamelijk onderzoek geen afwijkingen. Laboratoriumonderzoek toonde forse afwijkingen van de leverenzymwaarden, verhoogde waarden van de inflammatieparameters en een normocytaire anemie (zie de tabel). De patiënt werd opgenomen voor verdere diagnostiek.

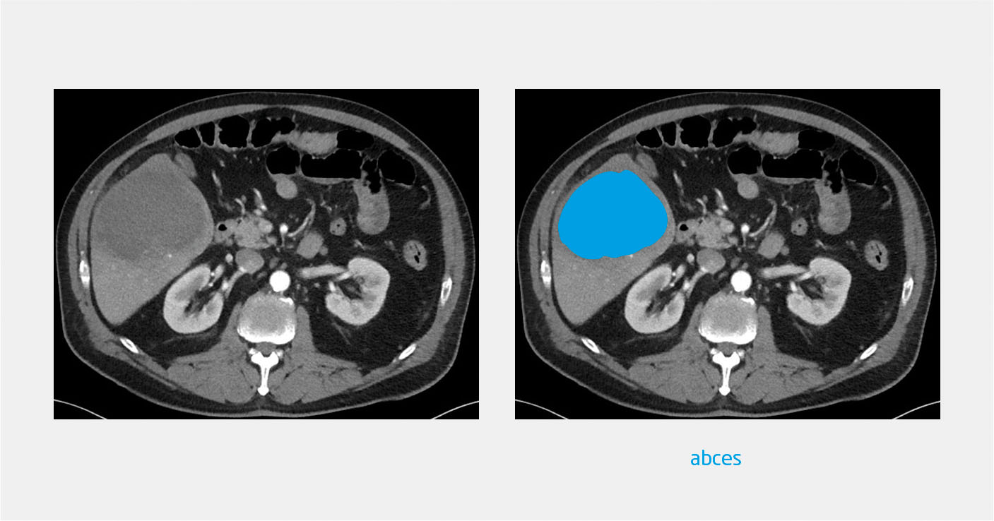
CT van het abdomen toonde een grote afwijking in de lever, verdacht voor abces (figuur 2). Op empirische gronden kreeg de patiënt amoxicilline/clavulaanzuur (1200 mg 4 dd iv) voorgeschreven, gecombineerd met ciprofloxacine (400 mg 2 dd iv). Bij drainage van het abces werd bruin, stroperig vocht geaspireerd. Vanwege dit aspect – ‘ansjovispasta’ genoemd – in combinatie met de reisanamnese overwogen wij de diagnose ‘ E. histolytica -infectie. Aanvullend microscopisch onderzoek en PCR van het abcesvocht en PCR op de feces bevestigden deze diagnose. De behandeling werd voortgezet in de vorm van metronidazol (750 mg 3 dd gedurende 7 dagen), gevolgd door clioquinol 250 mg 3 dd gedurende 10 dagen, waarna de patiënt klachtenvrij werd.

Figuur 2
Een groot abces in de lever bij patiënt C
Figuur 2 | Een groot abces in de lever bij patiënt C
CT-scan van het abdomen (transversale coupe). Uit microscopisch onderzoek en PCR van het abcesvocht bleek het om een amoebenabces te gaan, veroorzaakt door Entamoeba histolytica.

Gezien de bevindingen en het risicogedrag van de patiënt op zijn reizen werd aanvullende hiv-diagnostiek ingezet, waaruit bleek dat de patiënt hiv-positief was (CD4-getal: 550/mm3). Aangezien de patiënt 6 maanden voor zijn reis nog een coloscopie had ondergaan, werden de biopten gereviseerd. Met histologisch onderzoek en PCR konden wij echter ook retrospectief geen amoebeninfectie aantonen.

Beschouwing

Een E. histolytica -infectie verloopt in 90% van de gevallen asymptomatisch. Het is belangrijk onderscheid te maken tussen infectie met de niet-pathogene vorm Entamoeba dispar en E. histolytica . E. histolytica zorgt wereldwijd jaarlijks voor ongeveer 50 miljoen infecties; elk jaar overlijden ruim 100.000 patiënten aan deze infectie.1 De grote meerderheid van infecties doet zich voor in ontwikkelingslanden. In de periode 2003-2007 was de incidentie van deze infectie in Nederland ongeveer 7 gevallen per miljoen inwoners per jaar.2 Invasieve infecties kunnen zich intestinaal en in zeldzame gevallen extra-intestinaal voordoen. Het leverabces is de meest voorkomende extra-intestinale manifestatie.3

Hoe ontstaat een amoebeninfectie?

De infectie wordt veroorzaakt door ingestie van E. histolytica -cysten. In het darmlumen komt de trofozoïet vrij (figuur 3); deze kan door cellysis het darmepitheel invaderen. Hierdoor kan de intestinale infectie voortschrijden, waardoor een amoebencolitis of een andere complicatie ontstaat. Bij een extra-intestinale infectie verspreidt de trofozoïet zich naar het peritoneum, de lever of elders. Tegelijkertijd vindt in het darmlumen nieuwvorming van cysten plaats, die via de feces uitgescheiden worden. De microbiële flora en het immuunsysteem van de gastheer lijken een cruciale rol te spelen bij het ontstaan van een invasieve infectie. Het is opmerkelijk dat een leverabces 10 keer vaker voorkomt bij mannen dan bij vrouwen of kinderen. Mogelijk spelen hierbij hormonale factoren of alcoholconsumptie een rol.3,4

Figuur 3
Trofozoïet vanin feces.
Figuur 3 | Trofozoïet vanin feces.
Microscopische opname van een fecespreparaat (kleuring: ijzerhaematoxyline-Kinyoun; microscopische vergroting: 1000x).

Diagnostiek

Voor het stellen van de diagnose kan het zinvol zijn om verschillende diagnostische technieken te combineren. Een getrainde onderzoeker kan amoebiasis door microscopisch onderzoek van de feces vaststellen. Het is echter niet mogelijk om microscopisch onderscheid te maken tussen E. dispar en E. histolytica .

Naast antigeendetectie in feces of bloed is ook serologisch onderzoek een geschikte methode om E. histolytica aan te tonen. Tegenwoordig wordt steeds meer gebruik gemaakt van PCR op feces of ander patiëntenmateriaal. Antigeendetectie, serologisch onderzoek en PCR zijn superieur ten opzichte van microscopie. De diagnostische waarde van deze 3 technieken is ongeveer even goed.4 Voor de detectie van leverabcessen zijn echografie en CT zeer sensitief; in combinatie met positieve uitslag van serologisch onderzoek op E. histolytica staat de diagnose vast.

Behandeling

Gezien het risico op invasieve infecties wordt geadviseerd om alle patiënten met een potentiële E. histolytica -infectie te behandelen. Bij een niet-invasieve infectie volstaat behandeling met een contactamoebicide middel, bijvoorbeeld paromomycine of clioquinol gedurende 7 respectievelijk 10 dagen. Invasieve infecties worden eerst behandeld met een weefselamoebicide middel (metronidazol gedurende 5-10 dagen), gevolgd door een nabehandeling met een contactamoebicide middel. Deze nabehandeling voorkomt ook een recidiefinfectie.5,6 Aangezien drainage van een leverabces niet noodzakelijk is voor de diagnose, wordt deze ingreep alleen geadviseerd bij aanwijzingen voor dreigende perforatie – bijvoorbeeld bij abcessen met een diameter > 10 cm – of bij falende therapie.6

Casusbespreking

Patiënt A werd meer dan 10 jaar succesvol behandeld voor colitis ulcerosa. Naar aanleiding van een exacerbatie vond hernieuwde diagnostiek plaats. In verband met de voorgeschiedenis werden oude biopten gereviseerd; deze revisie toonde aan dat er destijds al sprake was van een amoebeninfectie. Meerdere casuïstische mededelingen laten zien dat het onderscheid tussen ‘inflammatory bowel disease’ (IBD) en een amoebencolitis moeilijk te maken kan zijn op grond van het klinisch beeld en de bevindingen bij endoscopie.4,7 Een duidelijk gegeven bij deze patiënt was wel het amoebenabces in de voorgeschiedenis.

Welke factor de acute opvlamming van symptomen bij patiënt A veroorzaakt heeft, is niet duidelijk geworden; gedacht wordt aan een co- of superinfectie, mede door de invloed van immuunmodulerende middelen. Een andere hypothese is dat deze patiënt een subklinische infectie had die onder invloed van de medicatie voor zijn colitis symptomatisch was geworden.8 Anderzijds kan het mogelijk zijn dat de amoebiasis juist door de immuunmodulerende middelen langdurig asymptomatisch bleef. Vermoedelijk heeft het recidief van de klachten bij patiënt A na de metronidazolkuur in Spanje te maken met een ineffectieve behandeling. Hij was immers niet nabehandeld met een contactamoebicide.

De casus van patiënt B maakt duidelijk dat ook in gestandaardiseerde zorgprogramma’s een zorgvuldige anamnese en dossierstudie essentieel is: zonder de positieve reisanamnese en de voorgeschiedenis van appendicitis was het denkbaar dat deze patiënt langer op de goede diagnose had moeten wachten, of zelfs onnodige therapieën voor een foutieve diagnose had ondergaan. Het is opmerkelijk dat hij jarenlang klachtenvrij is gebleven. Wellicht heeft de antibiotische behandeling na de appendectomie hier een rol in gespeeld. Deze casus onderstreept ook dat histologisch onderzoek zonder een gerichte vraagstelling aan de patholoog, de behandelaar op het verkeerde spoor kan zetten.

Bij patiënt C ten slotte was er naast een amoebencolitis sprake van de meest voorkomende extra-intestinale manifestatie van een E. histolytica infectie: het leverabces. Aangezien de colonbiopten van 6 maanden vóór zijn komst naar de SEH geen amoeben bevatten, moet er sprake zijn geweest van een recente infectie. Hij reisde meerdere keren per jaar naar Afrika, maar was tot kort voor de ziekenhuisopname klachtenvrij. De snelheid waarmee dit grote amoebenabces in de lever is ontstaan, is ongebruikelijk. Mogelijk heeft de hiv-infectie daarbij een rol gespeeld. In endemische gebieden kan E. histolytica namelijk ook seksueel worden overgedragen.9 Verder zijn er aanwijzingen dat bij hiv-positieve patiënten een E. histolytica -infectie vaker voorkomt en vaker tot invasieve infecties leidt.10

Conclusie

Het is al lange tijd bekend dat met de globalisering en het reizen naar tropische bestemmingen ook ziekten uit deze gebieden zich in ons land kunnen manifesteren. Infecties met amoeben nemen hierbij een bijzondere plaats in, omdat deze zich kunnen voordoen als een ‘gewone’ colitis, tumor of abces. Dit kan leiden tot verkeerde diagnoses en behandelingen, met uitstel van de effectieve therapie tot gevolg.

We realiseren ons dat veel klinische lessen eindigen met de oproep om bedacht te zijn op het onderwerp van de les. Wij willen hier echter vooral een pleidooi houden voor het toepassen van een zorgvuldige anamnese, inclusief reisanamnese, en een goede uitwerking van de differentiële diagnose, zelfs al lijkt de diagnose in eerste instantie al duidelijk. Een belangrijk les is dat deze informatie, ook al was de reis naar de tropen jaren geleden, toch van cruciaal belang kan zijn voor een juiste diagnose en passende behandeling.

Literatuur
  1. World Health Organization. Amoebiasis. WHO Weekly Epidemiological Record. 1997;72:97-100.

  2. Van Pelt W, Friesema I, Doorduyn Y, de Jager C, van Duynhoven Y. Trends in Gastro-enteritis in Nederland. Notitie met betrekking tot 2007. Briefrapport 210221001/2009. Bilthoven: RIVM; 2012.

  3. Haque R, Huston CD, Hughes M, Houpt E, Petri WA. Amebiasis. N Engl J Med. 2003;1565-73. Medline

  4. Stanley SL Jr. Amoebiasis. Lancet. 2003;361:1025-34. doi:10.1016/S0140-6736(03)12830-9. Medline

  5. SWAB richtlijn Antimicrobiële therapie voor acute infectieuze diarree. Rotterdam: Stichting Werkgroep Antibioticabeleid (SWAB); 2014.

  6. Van Hellemond JJ, van Genderen P, Hekker TAM, et al. Therapierichtlijn parasitaire infecties 2016. Nederlandse Vereniging voor Parasitologie; 2016.

  7. Ibrahim TM, Iheonunekwu N, Gill V, Vantapool H. Differentiating amoebic ulcero-haemorrhagic recto-colitis from idiopathic inflammatory bowel disease: still a diagnostic dilemma. West Indian Med J. 2005;54:210-2. doi:10.1590/S0043-31442005000300011. Medline

  8. Shirley DA, Moonah S. Fulminant Amebic Colitis after Corticosteroid Therapy: A Systematic Review. PLOS Negl Trop Dis. 2016;10:e0004879. doi:10.1371/journal.pntd.0004879. Medline

  9. Lo Y-C, Ji D-D, Hung C-C. Prevalent and incident HIV diagnoses among Entamoeba histolytica -infected adult males: a changing epidemiology associated with sexual transmission – Taiwan, 2006-2013. PLoS Negl Trop Dis. 2014;8:e3222. doi:10.1371/journal.pntd.0003222. Medline

  10. James R, Barratt J, Marriott D, Harkness J, Stark D. Seroprevalence of Entamoeba histolytica infection among men who have sex with men in Sydney, Australia. Am J Trop Med Hyg. 2010;83:914-6. doi:10.4269/ajtmh.2010.10-0231. Medline

Auteursinformatie

Zuyderland Medisch Centrum, afd. Interne Geneeskunde, Sittard-Geleen: drs. J. Tegtmeier, aios interne geneeskunde; dr. E.M. Koehler, aios mdl-ziekten (thans: Erasmus MC); dr. C.Th.B.M. van Deursen (tevens: vakgroep Interne Geneeskunde, Maastricht UMC+) en dr. J. Buijs, internisten.

Contact J. Tegtmeier (tegtmeier.jan@gmail.com)

Belangenverstrengeling

Belangenconflict en financiële ondersteuning: geen gemeld.

Auteur Belangenverstrengeling
Jan Tegtmeier ICMJE-formulier
Edith M. Koehler ICMJE-formulier
Cees Th.B.M. van Deursen ICMJE-formulier
Jacqueline Buijs ICMJE-formulier
Geïnfecteerd of gemetastaseerd?
Heb je nog vragen na het lezen van dit artikel?
Check onze AI-tool en verbaas je over de antwoorden.
ASK NTVG

Ook interessant

Reacties

Jan
J. van der Meulen

De auteurs besluiten hun beschrijving van patiënt A: "Opmerkelijk is dat dit beeld klinisch succesvol behandeld kon worden met azathioprine en sulfasalazine." Voor ondergetekende, van wie het korte termijn geheugen misschien wat achteruit gaat, is dat echter niet zo opmerkelijk. Sulfasalazine, een combinatie van een salicylaat en een sulfonamide, komt voor ongeveer 90% in het colon. Het wordt daar omgezet in 5-aminosalicylzuur en sulfapyridine, waarover al in 1942 is gerapporteerd dat het de groei van Entamoeba histolytica remt (1).

Referentie:

1. Rodaniche EC, Kirsner JB. The effect of sulfonamide compounds on the growth of Entamoeba histolytica in culture. The Journal of Parasitology. 1942; 28: 441-449.

J. van der Meulen, SCEN-arts

Jan
Tegtmeier

De door collega Van der Meulen geciteerde studie rapporteert verminderde groei van Entamoeba histolytica in vitro. Studies over de in vivo werking hebben wij niet kunnen vinden. Verder gebruikte patiënt A nog hydroxychloroquine hetgeen een weefselamoebicide werking heeft (1, 2).

Mogelijk heeft de combinatie van deze twee middelen er inderdaad voor gezorgd dat de amoebiasis zo lang onderdrukt is geweest. 

Referenties:

1.      Farmacotherapeutisch kompas.

2.      Cohen HG, Reynolds TB. Comparison of metronidazole and chloroquine for the treatment of amoebic liver abscess. A controlled trial. Gastroenterology. 1975 Jul;69(1):35-41

Jan Tegtmeier, internist i.o., Zuyderland Medsich Centrum