Reukstoornissen in de klinische praktijk

Illustratie van een ananas
Abstract
Pieter Kemp
Amber Bucker
Maarten Gerdes
Download PDF

Beste collega’s,

In deze klinische les gaan we het hebben over reukstoornissen. Ruim tien procent van de Nederlanders heeft een objectiveerbare reukstoornis. Behalve frequente oorzaken als beschadiging van de reukzenuw na een infectie, ontsteking van het neusslijmvlies en trauma zijn er ook oorzaken waarover nog weinig bekend is. Aan de hand van drie casussen beschrijven we de gevolgen voor patiënten en eventuele behandelopties.

Kernpunten
  • Een reukstoornis is een veelvoorkomende klacht met een grote invloed op het dagelijks leven, zoals het onvermogen tot herkennen van omgevingsgevaren en verminderde eetlust en kwaliteit van leven.
  • Reukstoornissen worden onderscheiden in kwalitatieve of kwantitatieve en conductieve of perceptieve reukstoornissen.
  • Het is belangrijk de oorzaak van een reukstoornis te achterhalen, omdat het een uiting kan zijn van diverse progressieve ziekten en omdat de behandeling hiervan afhankelijk is.
  • Reuktraining is een eenvoudig uit te voeren, bewezen effectieve behandeling voor de meeste perceptieve reukstoornissen.
  • Bij twijfel over de oorzaak, onvoldoende verbetering na behandeling of ernstige klachten kan een verwijzing naar de kno-arts zinvol zijn.

artikel

Een reukstoornis is een veelvoorkomende klacht die gevolgen kan hebben voor de kwaliteit van leven, de veiligheid en de voeding van een patiënt. De meest frequente oorzaken van een reukstoornis zijn beschadiging van de reukzenuw na een virale bovensteluchtweginfectie, ontsteking van het neusslijmvlies en een trauma. Sinds covid-19 worden zorgverleners vaker met de klacht geconfronteerd: zo rapporteert tot 20% van de covidpatiënten na zes maanden nog reukklachten.1 Alle patiënten met een reukstoornis krijgen een hierop gerichte anamnese, KNO-onderzoek en een reuktest. Verder aanvullend onderzoek wordt op indicatie verricht.

Er zijn echter veel meer oorzaken van een reukstoornis, en daarover is nog veel onbekend. Dit illustreren wij aan de hand van drie casussen.

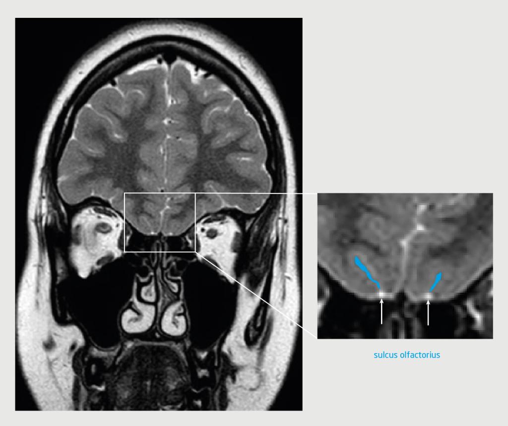
Patiënt A, een 19-jarige vrouw, kwam op de polikliniek KNO omdat ze van jongs af aan geen reukvermogen had. Zij was onderdeel van een eeneiige tweeling; haar zus kon wel goed ruiken. De reuktest liet een score zien die paste bij een afwezig reukvermogen (anosmie). Het KNO-onderzoek inclusief nasendoscopie liet een vrije middelste neusgang en reukspleet zien. We vermoedden een congenitale anosmie en verrichtten een MRI-scan. Deze liet beiderzijds een volledig afwezige bulbus olfactorius zien. De sulcus olfactorius was wel aanwezig (figuur 1).

Figuur 1
De hersenen van de patiënte met congenitale anosmie
Figuur 1 | De hersenen van de patiënte met congenitale anosmie
T2-gewogen turbospinecho-MRI van de hersenen van patiënt A (coronale coupe). Ter hoogte van de voorste schedelbasis is beiderzijds de bulbus olfactorius afwezig (witte pijl). De sulcus olfactorius (blauwe lijn) oogt beiderzijds normaal. Bij patiënten met het syndroom van Kallmann kan deze soms ook afwijkend of zelfs afwezig zijn.

Complete agenesie van de bulbus olfactorius is zeer zeldzaam. Het kan voorkomen als een geïsoleerde aandoening of in combinatie met andere cerebrale en genetische afwijkingen. Het Kallmann-syndroom is de meest voorkomende oorzaak. Dit wordt gekenmerkt door hypogonadotroop hypogonadisme met onderontwikkeling van de uiterlijke geslachtskenmerken. Bij de patiënte bracht een hormonale screening echter geen afwijkingen aan het licht. Er waren evenmin afwijkingen in de ontwikkeling van de secundaire geslachtskenmerken.

Er is nog weinig bekend over de exacte etiologie van een geïsoleerde agenesie van de bulbus olfactorius. Het is moeilijk te verklaren hoe het kan dat de tweelingzus van de patiënte geen anosmie had, gezien het feit dat het een eeneiige tweeling betrof.

De patiënte werd geïnformeerd en geïnstrueerd over de gevolgen van anosmie; denk hierbij aan het onvermogen om omgevingsgevaren als brand, een benzine- of gaslek en bedorven voedsel waar te nemen.

Patiënt B, een 70-jarige vrouw, bezocht de polikliniek KNO vanwege een verminderd reukvermogen na algehele anesthesie voor een enkeloperatie. Voorafgaand aan de ingreep had zij aangegeven goed te kunnen ruiken. Bij nasendoscopie zagen wij geen afwijkingen en de reuktest liet een score zien die past bij hyposmie (verminderd reukvermogen). Een elders verrichte MRI-scan toonde aan dat de bulbus olfactorius normaal was aangelegd en liet geen afwijkingen van de neusbijholten zien.

Het verband tussen algehele anesthesie en het ontwikkelen van een – al dan niet tijdelijke – reukstoornis is beschreven. Er is echter nog veel onduidelijk over het onderliggende mechanisme; het directe verband is alleen aangetoond in dierstudies.

We adviseerden de patiënte revalidatie met behulp van reuktraining.

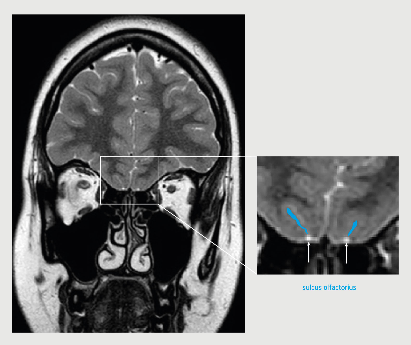
Patiënt C, een 53-jarige vrouw met idiopathische intracraniële hypertensie, bezocht de polikliniek KNO vanwege een afwezigheid van reukvermogen. Dit had zich langzaam progressief ontwikkeld. Zij had geen rinosinogene klachten en het KNO-onderzoek liet een vrije reukspleet en rustig slijmvlies zien. De score op de reuktest paste bij anosmie. Een MRI-scan liet beiderzijds een verwijd cavum van Meckel zien, een partieel ‘empty sella sign’ en een prominente hoeveelheid liquor bilateraal rondom de n. opticus en n. oculomotorius ter hoogte van de sinus cavernosus, passend bij intracraniële hypertensie. De n. olfactorius had beiderzijds een hypoplastisch aspect, waarschijnlijk door compressie bij chronisch verhoogde druk (figuur 2).

Figuur 2
De hersenen van de patiënte met intracraniële hypertensie
Figuur 2 | De hersenen van de patiënte met intracraniële hypertensie
T2-gewogen turbospinecho-MRI van de hersenen van patiënt C (coronale coupe). Op deze scan van de voorste schedelbasis ter hoogte van de fossa olfactorius is bilateraal een hypoplastische, concave bulbus olfactorius te zien.

Idiopathische intracraniële hypertensie wordt gekenmerkt door een verhoogde intracraniële druk zonder onderliggende tumor of andere hersenaandoening en met normale liquorsamenstelling.2 De verhoogde intracraniële druk leidt tot druk op de hersenzenuwen waarbij naast de n. opticus ook hersenzenuwen als de n. olfactorius langdurig compressie kunnen ervaren. Bij patiënten met idiopathische intracraniële hypertensie is een significant verminderd volume van de bulbus olfactorius gevonden, en dat volume houdt direct verband met het reukvermogen.3 Therapeutische opties zijn herhaalde lumbaalpuncties of medicatie als acetazolamide en topiramaat.

Het was aannemelijk dat het reukvermogen van de patiënte zou verbeteren door behandeling.4 Gezien het feit dat zij geen andere symptomen ervoer, zoals visusverlies of hoofdpijn, koos zij er in overleg met haar neuroloog voor om vooralsnog af te zien van behandeling.

Beschouwing

Een reukstoornis heeft een grote invloed op het dagelijks leven van patiënten. Zo kunnen ze hun partner of kind niet meer ruiken en nemen ze omgevingsgevaren als rook, gas en bedorven voedsel niet meer waar. Hun smaakbeleving is minder, doordat smaak voor een groot deel wordt bepaald door geur. Dit kan leiden tot een verminderde eetlust en minder plezier in eten. Tot slot roepen geuren vaak emoties en herinneringen op; ook dat missen mensen met anosmie. Studies rapporteren dat 25 tot 33% van de patiënten depressieve symptomen ervaren en dat een reukstoornis vaak gepaard gaat met een verminderde kwaliteit van leven.5

Classificatie

Een reukstoornis wordt geclassificeerd op basis van de klachten van de patiënt en het resultaat van de reuktest. Er wordt een onderscheid gemaakt tussen een kwantitatieve en een kwalitatieve stoornis, waarbij een combinatie van beide ook mogelijk is (tabel).

Tabel
Verschillende soorten reukstoornissen
Tabel | Verschillende soorten reukstoornissen

Bij een kwalitatieve stoornis verandert de aard van de geur. Zo worden bij parosmie bepaalde geuren anders waargenomen. Meestal beschrijven patiënten dat geuren onaangenaam vervormd worden, bijvoorbeeld dat de geur van koffie wordt ervaren als die van ammoniak. Parosmie komt met name voor bij een postvirale reukstoornis en heeft een goede prognose; de klachten verminderen meestal binnen enkele maanden en verdwijnen uiteindelijk.

Phantosmie is het ervaren van een geurhallucinatie, wat wil zeggen dat er een geur wordt waargenomen die in werkelijkheid niet aanwezig is. Phantosmie kan ontstaan na een virale bovensteluchtweginfectie of na traumatisch hoofdletsel, maar doet zich ook voor bij neurologische en psychiatrische stoornissen. Bij de meeste patiënten gaat het echter om idiopathische phantosmie, waarbij de klachten meestal binnen enkele jaren spontaan verdwijnen.

Reukstoornissen kunnen ook onderverdeeld worden in conductieve of perceptieve stoornissen, dit op basis van de onderliggende oorzaak. Bij een conductieve stoornis komen geuren niet of minder goed bij de reukspleet aan. Bij een perceptieve stoornis komen de geuren daar wel aan, maar functioneert het reuksysteem zelf niet.

Diagnostiek

Om het ervaren reukverlies te objectiveren, krijgen patiënten altijd een reuktest. Hierbij moeten ze de geur van geurstiften identificeren. Daarnaast vindt er nasendoscopie plaats, waarbij onder andere de middelste neusgangen en de reukspleet geïnspecteerd worden. Op basis van de anamnese, de reuktest en het KNO-onderzoek is er meestal een duidelijke oorzaak voor een reukstoornis te identificeren. Laboratoriumonderzoek en beeldvormend onderzoek worden slechts op indicatie verricht. Zo kan bij aanwijzingen voor een conductieve oorzaak gekozen worden voor een CT-sinus, en bij het vermoeden van een neurologische of congenitale origine voor een MRI van de voorste schedelgroeve. Laboratoriumonderzoek wordt afgenomen als er bijvoorbeeld aan een endocriene oorzaak van het reukverlies wordt gedacht.

Oorzaken

Een virale bovensteluchtweginfectie, zoals covid-19, is de meest voorkomende oorzaak van een reukstoornis. De prognose is over het algemeen goed. Een derde van de patiënten ervaart parosmie en herstel kan tot twee jaar na de bovensteluchtweginfectie plaatsvinden. Ondanks het frequente voorkomen is er nog veel onbekend over de exacte etiologie.

Conductief reukverlies wordt met name veroorzaakt door ontsteking van het slijmvlies van de neus. Door zwelling van het slijmvlies komen geuren minder goed aan bij de reukspleet. Daarnaast vindt er door chronische inflammatie verandering plaats van het reukepitheel zelf. Minder frequent voorkomende oorzaken van conductief reukverlies zijn een tumor of medische handelingen zoals een endoscopische neusbijholteoperatie of septumcorrectie.

Een posttraumatische reukstoornis komt frequent voor. Door een verschuiving van de voorhoofdskwab ten opzichte van de schedelbasis kunnen de fila olfactoria afscheuren. In de meerderheid van de gevallen is het reukverlies volledig en blijvend.

Neurodegeneratieve ziekten zijn een andere regelmatig voorkomende oorzaak van een reukstoornis. De ziekte van Parkinson is hiervan de meest bekende. De ziekte van Parkinson gaat vrijwel altijd gepaard met een reukstoornis, die 4 tot 6 jaar voor de eerste motorische symptomen begint.

Daarnaast zijn er endocriene oorzaken beschreven, zoals hypothyreoïdie en de ziekte van Cushing.

Tot slot kan blootstelling aan toxische stoffen reukstoornissen veroorzaken: denk aan cocaïne, tabak en producten uit de metaalindustrie. Gebruik van bepaalde medicatiegroepen gaat ook gepaard met reukstoornissen: denk aan diverse soorten antibiotica, antidepressiva en chemotherapie.6 Hierbij is het echter onduidelijk of het een associatief of causaal verband betreft. Na algehele anesthesie rapporteert ongeveer 3,5% van de patiënten tijdelijk smaak- of reuksymptomen.7 Propofol stimuleert de remmende werking van gamma-aminoboterzuur (GABA). Dat beïnvloedt het gehele reuksysteem, waaronder de synapsen van de bulbus olfactorius. Uit dierstudies kwam naar voren dat zowel fentanyl als propofol kunnen leiden tot een verminderd reukvermogen.8

Behandeling

Bij een reukstoornis zijn de behandelmogelijkheden afhankelijk van de oorzaak.

Een conductieve reukstoornis is meestal zeer goed te behandelen. Bij chronische rinosinusitis bestaat de behandeling bijvoorbeeld uit intranasale corticosteroïden, zo nodig in combinatie met systemische corticosteroïden. Een veelvoorkomende dosering van een stootkuur prednison is 30 mg per dag gedurende 7-10 dagen. Een stootkuur kan het reukvermogen bij een postvirale oorzaak tijdelijk verbeteren. Het effect is echter vaak maar van korte duur en verdwijnt als de behandeling niet gecontinueerd wordt. Recent onderzoek liet bij patiënten met een reukstoornis na een covid-19-infectie geen effect zien van behandeling met systemische corticosteroïden.9

Verder wordt een conductieve reukstoornis ook wel behandeld met antibiotica – soms langdurig – of chirurgie. Sinds kort worden in specifieke therapieresistente gevallen ook biologicals gegeven.

Voor de meeste perceptieve reukstoornissen is reuktraining een effectieve behandeling. Er is onder andere een bewezen effect bij postvirale en posttraumatische reukstoornissen en bij de ziekte van Parkinson. Zo laat 63 tot 85% van de patiënten met een postvirale reukstoornis een significant meetbare verbetering zien na reuktraining.10 Van de patiënten met een posttraumatische reukstoornis laat 33% een meetbare verbetering zien.10

Reuktraining houdt in dat de patiënt twee keer per dag twintig seconden lang aan vier verschillende geurflesjes ruikt. Na twaalf weken kan gestopt worden als de patiënt weer goed ruikt of overgestapt worden op een geurset met vier nieuwe geuren. Het is belangrijk dat de reuktraining dan nog minstens twaalf extra weken wordt gecontinueerd. Dit vergt nogal wat inspanning van de patiënt en deze dient hierover goed geïnformeerd te worden. Thuisarts.nl beschrijft deze training en geeft op zijn website ook tips voor patiënten met een verminderde reuk. Er is na het ontstaan van de eerste klachten geen uiterste termijn waarbinnen met de training moet worden begonnen. Wel lijkt het logisch dat reuktraining minder effectief kan zijn als het reukverlies al vele jaren aanwezig is. Bij een congenitale origine is er dan ook geen rol voor reuktraining.

Hoe reuktraining de olfactorische functie precies verbetert, is nog onbekend. Het is waarschijnlijk afhankelijk van de etiologie van de specifieke reukstoornis, waarover eveneens veel onbekend is. De meeste studies laten vooral verbetering zien in het onderscheiden en herkennen van geuren. De geurdrempel, gedefinieerd als de laagste concentratie waarbij de geur nog waarneembaar is, verbetert doorgaans niet met reuktraining. Er wordt gedacht dat reuktraining vooral centraal in het brein effect heeft; functionele MRI-scans laten corticale veranderingen zien na reuktraining.

Naast het instellen van een therapeutische behandeling is het van belang de patiënt goed te adviseren. Patiënten worden geïnstrueerd over het belang van goed functionerende rookmelders, eventueel een gasmelder en goed te letten op de houdbaarheidsdatum op de verpakking. Daarnaast kunnen voedingsadviezen en tips gegeven worden.6

Aanbeveling voor de huisarts

De anamnese is de basis voor het classificeren en achterhalen van de oorzaak van een reukstoornis. Bij een duidelijke posttraumatische of postvirale oorzaak, zoals covid-19, moet reuktraining geadviseerd worden. Als er aanwijzingen zijn voor een chronisch inflammatoire oorzaak, zoals allergische rinitis of chronische rinosinusitis, moet de neus geïnspecteerd worden en behandeling volgens de landelijke richtlijnen plaatsvinden. Daarnaast is het van belang de patiënt goed te instrueren en adviseren.

Bij twijfel over de oorzaak, ernstige klachten of onvoldoende verbetering na behandeling kan een verwijzing naar de kno-arts zinvol zijn.

Beste collega’s, een reukstoornis is een veelvoorkomende klacht met een grote diversiteit aan oorzaken waarover nog veel onbekend is. Een reukstoornis heeft gevolgen voor de veiligheid en kwaliteit van leven van een patiënt. Het is belangrijk om de oorzaak van een reukstoornis te achterhalen. Dit omdat de behandeling hiervan afhankelijk is, en omdat een reukstoornis een uiting kan zijn van diverse progressieve ziekten. Voor de meeste perceptieve reukstoornissen is reuktraining een effectieve behandeling die voor iedere patiënt eenvoudig uit te voeren is.

Literatuur
  1. Ohla K, Veldhuizen MG, Green T, et al. A follow-up on quantitative and qualitative olfactory dysfunction and other symptoms in patients recovering from COVID-19 smell loss. Rhinology. 2022;60:207-17. doi:10.4193/Rhin21.415. Medline
  2. De Bruijn SFTM. Idiopathische intracraniële hypertensie. Tijdschrift voor Neurologie & Neurochirurgie. 2011;112:47.
  3. Schmidt C, Wiener E, Hoffmann J, et al. Structural olfactory nerve changes in patients suffering from idiopathic intracranial hypertension. PLoS One. 2012;7:e35221. doi:10.1371/journal.pone.0035221. Medline
  4. Becker NJ, Enge S, Kreutz KM, et al. Lumbar puncture rapidly improves olfaction in patients with idiopathic intracranial hypertension: A cohort study. Cephalalgia. 2020;40:429-36. doi:10.1177/0333102420908875. Medline
  5. Croy I, Nordin S, Hummel T. Olfactory disorders and quality of life—an updated review. Chem Senses. 2014;39:185-94. doi:10.1093/chemse/bjt072. Medline
  6. Postma EM, De Vries YC, Boesveldt S. Smaak- en reukverandering na oncologische behandeling. Ned Tijdschr Geneeskd. 2017;161:D748 Medline.
  7. Du W, Xu Z, Wang W, Liu Z. A case of anosmia and hypogeusia as a complication of propofol. J Anesth. 2018;32:293-6. doi:10.1007/s00540-018-2461-4.
  8. Adelman BT. Altered taste and smell after anesthesia: cause and effect? Anesthesiology. 1995;83:647-9. doi:10.1097/00000542-199509000-00041. Medline
  9. Schepens EJA, Blijleven EE, Boek WM, et al. Prednisolone does not improve olfactory function after COVID-19: a randomized, double-blind, placebo-controlled trial. BMC Med. 2022;20:445. doi:10.1186/s12916-022-02625-5.
  10. Pekala K, Chandra RK, Turner JH. Efficacy of olfactory training in patients with olfactory loss: a systematic review and meta-analysis. Int Forum Allergy Rhinol. 2016;6:299-307. doi:10.1002/alr.21669. Medline
Auteursinformatie

Amsterdam UMC, locatie Vrije Universiteit, Amsterdam. Afd. KNO/Hoofd-halschirurgie: drs. P. Kemp, aios KNO. Afd. Radiologie en Nucleaire Geneeskunde: drs. A. Bucker, radioloog.Vijf Meren Kliniek, Hoofddorp: drs. M. Gerdes, kno-arts.

Contact P. Kemp (p.kemp@amsterdamumc.nl)

Belangenverstrengeling

Belangenconflict en financiële ondersteuning: geen gemeld.

Auteur Belangenverstrengeling
Pieter Kemp ICMJE-formulier
Amber Bucker ICMJE-formulier
Maarten Gerdes ICMJE-formulier
Dit artikel is gepubliceerd in het dossier
Huisartsgeneeskunde
Public Health
Heb je nog vragen na het lezen van dit artikel?
Check onze AI-tool en verbaas je over de antwoorden.
ASK NTVG

Ook interessant

Reacties