Conservatief of operatief behandelen?

Proximale humerusfracturen

Klinische praktijk
Abstract
Herman Frima
R. Marijn Houwert
Reinier B. Beks
Mark van Heijl
Detlef van der Velde
Frank J.P. Beeres
Download PDF

Samenvatting

Proximale humerusfracturen komen steeds vaker voor.

Patiënten met een proximale humerusfractuur worden van oudsher conservatief behandeld. De laatste decennia zijn echter diverse nieuwe implantaten voor osteosynthese en protheses van de schouder ontwikkeld en is de operatieve behandeling van proximale humerusfracturen toegenomen.

Recente literatuur waarin de conservatieve en de operatieve behandeling van proximale humerusfracturen vergeleken wordt, laat echter geen verschil zien in functionele uitkomsten. De trend om vaker operatief te behandelen berust dus niet op wetenschappelijk bewijs.

In dit artikel presenteren wij de huidige stand van zaken en proberen wij een genuanceerd beeld te geven van wie niet, maar ook wie mogelijk wél profiteert van een operatieve behandeling van de proximale humerusfractuur.

Kernpunten

In Nederland worden patiënten met een proximale humerusfractuur in het algemeen conservatief behandeld.

De laatste decennia zijn nieuwe implantaten ontwikkeld en worden proximale humerusfracturen, ondanks een gebrek aan wetenschappelijk bewijs daarvoor, steeds vaker operatief behandeld.

Niet tot weinig gedislokeerde proximale humerusfracturen en proximale humerusfracturen bij oudere en multimorbide patiënten dienen conservatief te worden behandeld.

Luxatiefracturen, open fracturen, pathologische fracturen van de proximale humerus en proximale humerusfracturen bij multitraumapatiënten dienen operatief te worden behandeld.

Verder onderzoek is nodig om vast te stellen wat de beste behandeling is voor jonge en actieve patiënten met een gedislokeerde proximale humerusfractuur.

artikel

Casus

U bent 60 jaar en tijdens uw jaarlijkse wintersportvakantie in Zwitserland valt u op uw rechter schouder. Een röntgenfoto laat een proximale humerusfractuur met valgusimpactie en een gedislokeerd tuberculum majus zien (figuur 1a). U krijgt het advies en aanbod om een operatie te ondergaan. Vervolgens telefoneert u met een bevriende traumachirurg in Nederland voor aanvullend advies. Die zegt dat, gezien de huidige literatuur, een operatie niet nodig is en adviseert een conservatieve behandeling. Is er dan niemand gebaat bij een operatieve behandeling van zijn of haar proximale humerusfractuur? Waarom krijgt u dan in Zwitserland toch een operatie aangeboden? Welke patiënten kunnen wél baat hebben bij een operatie? 

Het doel van dit artikel is om bovenstaande vragen te beantwoorden en een genuanceerd beeld te schetsen van de huidige stand van zaken bij de behandeling van de proximale humerusfractuur.

Epidemiologie, diagnostiek en classificatie

De incidentie van proximale humerus- en claviculafracturen in Nederland neemt toe: van 93 per 100.000 in 2004 tot 115 per 100.000 in 2012.1 Met een groeiende bevolking en toenemende vergrijzing zullen proximale humerusfracturen in de toekomst nog vaker voorkomen; zij zullen niet alleen medisch, maar ook maatschappelijk een toenemende belasting zijn voor ons gezondheidszorgsysteem.

Van oudsher wordt gesproken over ‘subcapitale humerusfracturen’. Deze naamgeving is gewijzigd in ‘proximale humerusfracturen’, aangezien veel fracturen van de proximale humerus niet alleen subcapitaal zijn, maar meer fragmenten van de humeruskop betreffen. De proximale humerus breekt meestal volgens een kenmerkend patroon van 2 tot 4 fragmenten. Deze fragmenten zijn de humeruskop met het gewrichtsvlak, tuberculum majus, tuberculum minus en de humerusschacht (figuur 1). Deze fracturen ontstaan meestal door een val met uitgestrekte arm of direct op de schouder. Bij klinische verdenking op een proximale humerusfractuur wordt een röntgenopname gemaakt in 2 richtingen. Bij gedislokeerde intra-articulaire fracturen heeft CT toegevoegde waarde.

Figuur 1
Voorbeelden van proximale humerusfracturen
Figuur 1 | Voorbeelden van proximale humerusfracturen
De proximale humerus breekt meestal volgens een kenmerkend patroon van 2 tot 4 fragmenten. (a) fractuur met 3 fragmenten; (b) fractuur met 2 fragmenten; (c) fractuur met 4 fragmenten.

Proximale humerusfracturen kunnen worden geclassificeerd volgens de indeling van Neer,2 van de AO/OTA of van Hertel. Geen van deze classificaties is duidelijk de betere. Deze classificaties vertonen alle drie een aanzienlijke inter- en intraobserver-variabiliteit.3,4

Behandeling

De behandeling van proximale humerusfracturen is van oudsher conservatief vanwege slechte resultaten van operatieve behandeling met conventionele implantaten.5 Conservatieve behandeling bestaat uit immobilisatie in een polysling of mitella gedurende 4-6 weken. Na 2-3 weken begint de patiënt met pendelbewegingen en na 6 weken gaat hij of zij actief oefenen onder begeleiding van een fysiotherapeut.6 Met de komst van nieuwere, zogenoemde ‘hoekstabiele’ implantaten en protheses is er een trend ontstaan om sneller te gaan opereren. De vraag is of deze trend gerechtvaardigd is en of de resultaten met deze nieuwere implantaten inderdaad beter zijn dan die van de conservatieve behandeling.

Conservatieve versus operatieve behandeling

De laatste jaren is er veel onderzoek gepubliceerd over de behandeling van proximale humerusfracturen.6-12 De meest toonaangevende studie tot op heden is de PROPHER-trial, een Engelse gerandomiseerde, gecontroleerde trial (RCT).8 In deze studie werden patiënten met een gedislokeerde proximale humerusfractuur van ten minste het collum chirurgicum (zie uitleg) gerandomiseerd tussen een conservatieve en een operatieve behandeling. Als de patiënt lootte voor een operatieve behandeling was het de keuze van de behandelend chirurg welk implantaat hij zou gebruiken: een plaatosteosynthese, penosteosynthese of een hemiprothese. Na 2 jaar was er geen verschil tussen de twee groepen in de uitkomsten op de Oxford Shoulder Score en de Short-Form 12. Hieruit volgt de begrijpelijke conclusie dat de trend dat gedislokeerde proximale humerusfracturen steeds vaker operatief behandeld worden, niet berust op wetenschappelijk bewijs voor een betere uitkomst.

Er kunnen echter wel een paar kanttekeningen geplaatst worden bij de PROPHER-studie. Van de 1250 patiënten die aanvankelijk gescreend werden, zijn er uiteindelijk slechts 250 gerandomiseerd. Onder de geëxcludeerde patiënten waren er 87 met ‘een duidelijke operatie-indicatie’, zonder dat deze indicatie werd toegelicht; dit is een duidelijk voorbeeld van selectie. Verder werden de 109 geopereerde patiënten geopereerd door 66 verschillende chirurgen in 30 verschillende klinieken. 82 patiënten kregen een plaatosteosynthese, 4 een penosteosynthese en 10 een hemiprothese. Deze diversiteit in behandeling en vooral het grote aantal verschillende chirurgen met een lage ‘case load’ (nog geen 2 operaties per chirurg) doet twijfels rijzen bij de expertise en ervaring van de chirurgen in deze studie. Zo liet een recente publicatie zien dat de case load per chirurg waarschijnlijk van invloed is op het resultaat van de behandeling bij patiënten met een proximale humerusfractuur.10

Geen verschil in functionele uitkomsten

Ook de meest recent gepubliceerde systematische review en meta-analyse van RCT’s en observationele studies toont geen verschil aan in de functionele uitkomst na conservatieve dan wel operatieve behandeling van proximale humerusfracturen (figuur 2).6

Figuur 2
Proximale humerusfractuur conservatief of operatief behandelen?
Vergelijking van de resultaten van conservatieve versus operatieve behandeling
Figuur 2 | Proximale humerusfractuur conservatief of operatief behandelen? | Vergelijking van de resultaten van conservatieve versus operatieve behandeling
Forestplot van de functionele uitkomsten van de behandeling, gemeten met de Constant-Murley-score (bewerking van een eerder gepubliceerde figuur).2

De functionele uitkomst werd gemeten met de Constant-Murley score.13 Dit is een score tussen 0 en 100 die wordt opgebouwd uit subscores voor de pijn, de functionaliteit en de kracht van de schouder; een hogere score staat voor een betere functionele uitkomst. In deze meta-analyse werden studies geïncludeerd waarin de conservatieve en operatieve behandeling (osteosynthese of prothese) met elkaar waren vergeleken. Zowel RCT’s als observationele studies werden geïncludeerd en methodologisch beoordeeld volgens de MINORS-criteria.6 De in- en exclusiecriteria van deze studie zijn weergegeven in de tabel.

Tabel
In- en exclusiecriteria voor studies in een meta-analyse2
Voor deze meta-analyse werden RCT’s en observationele onderzoeken naar de behandeling van proximale humerusfracturen gebruikt
Tabel | In- en exclusiecriteria voor studies in een meta-analyse2 | Voor deze meta-analyse werden RCT’s en observationele onderzoeken naar de behandeling van proximale humerusfracturen gebruikt

Volgens deze meta-analyse geeft operatieve behandeling van proximale humerusfracturen een hoger risico op majeure re-interventies en een lager risico op een non-union gevonden. Een sensitiviteits-analyse toonde geen verschil aan voor implantaat, studies die na 2005 waren gepubliceerd of studies van hoge kwaliteit (arbitrair gedefinieerd als MINORS > 16). Gezien de gemiddelde leeftijd van de geïncludeerde patiënten (68 jaar, met een relatief kleine standaarddeviatie) lijken deze resultaten vooral van toepassing op de ‘oudere’ patiënt. Verder is opvallend dat 75% van de geanalyseerde patiënten vrouw was, wat bijdraagt aan de ontwikkeling van een stereotype voor de patiënt met een proximale humerusfractuur: ouder en van het vrouwelijke geslacht.6,14 In het ontwikkelen van een stereotype patiënt en het projecteren van deze stereotypie op de gehele populatie, schuilt echter een gevaar. Het kan andere, niet-vergelijkbare patiënten tekort doen.

Wij concluderen dat er in ieder geval genoeg wetenschappelijk bewijs is voor het uitgangspunt dat patiënten met een niet tot weinig gedislokeerde proximale humerusfractuur en oudere of multimorbide patiënten met een proximale humerusfractuur conservatief behandeld dienen te worden.

Wie dan toch operatief behandelen?

Is er dan niemand gebaat bij een operatieve behandeling van zijn of haar proximale humerusfractuur? Wie doet het wél beter na een operatie?

Met de komst van hoekstabiele implantaten zijn er naast de bekende conservatieve behandeling nieuwe behandelmogelijkheden ontwikkeld met bijvoorbeeld plaat- of penosteosynthese (figuur 3).8-10 Deze ontwikkeling heeft ook geleid tot minimaal-invasieve technieken die voordelen bieden boven de klassieke open behandeling van fracturen, maar zijn deze technisch lastig en hebben een langere leercurve. Een prothese kan uitkomst bieden bij de behandeling van proximale humerusfracturen. De voordelen van operatie zijn een vroege functionele nabehandeling, minder kans op non-union en een anatomische reconstructie of prothese, wat in theorie zou moeten leiden tot een betere functioneel resultaat.6,10

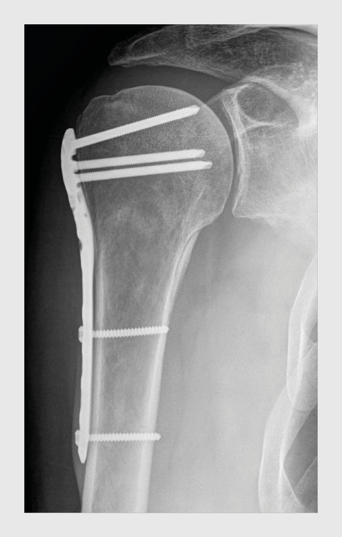
Figuur 3
 
Figuur 3 |  
Röntgenfoto van de rechter schouder van de patiënt in figuur 1a, 2 dagen na osteosynthese met een Philos-plaat.

In de meeste studies naar de behandeling van proximale humerusfracturen worden open fracturen, luxatiefracturen, pathologische fracturen en proximale humerusfracturen bij multitraumapatiënten aangevoerd als exclusiecriteria.6,8 Hiermee lijkt het algemeen geaccepteerd te zijn dat patiënten met deze fracturen geopereerd dienen te worden, al is dit niet bij elke indicatie onderzocht. Verder worden ook jonge patiënten vaak geopereerd, hoewel dat niet wordt ondersteund door wetenschappelijk bewijs.

Luxatiefracturen zijn speciale proximale humerusfracturen waarbij het gewrichtsvlak van de humeruskop naar anterieur of posterieur geluxeerd is. Over het algemeen wordt bij deze patiënten een prothese geadviseerd als zij ouder zijn;15 bij jongere en anderszins fitte patiënten wordt een osteosynthese aanbevolen. Hoewel bekend is dat osteosynthese een hoog risico op een avasculaire kopnecrose geeft, leidt deze ingreep bij veel patiënten tot een goed functioneel resultaat. Bij 20% van de patiënten is later echter alsnog een prothese nodig.15

Dat niet-gedislokeerde proximale humerusfracturen conservatief behandeld worden, staat niet ter discussie. Ook de geriatrische patiënt met multimorbiditeit en een gedislokeerde proximale humerusfractuur wordt conservatief behandeld. Wij vinden het echter niet gerechtvaardigd om een harde leeftijdsgrens te stellen zonder te kijken naar de activiteitsgraad van de patiënt.

Een prospectieve Zwitserse studie bij patiënten met een proximale humerusfractuur die met een Philos-plaat werden behandeld, liet een goed functioneel resultaat na gemiddeld 1,5 jaar zien (gemiddelde Constant-score: 75, 91% van de contralaterale zijde).9 In deze studie werden 97 patiënten geanalyseerd die gemiddeld 62 jaar oud waren ten tijde van het ongeluk. Bij 50% van de patiënten was het traumamechanisme een ski- of snowboardongeval. 91% van de patiënten paste in ASA-klasse 1 of 2. Het gaat hier dus, in vergelijking met andere studies, om een relatief jong, fit en actief patiëntencohort. Kijk nu nog eens terug naar de casus aan het begin van het artikel: wat betekenen deze resultaten voor u, met uw gebroken schouder? Want u bent natuurlijk fit en actief.

Nadelen van opereren

Naast de algemene nadelen en complicaties van operaties in het algemeen, zoals bloeding en wondinfectie, zijn er ook operatie-specifieke complicaties. Bekende complicaties zijn schroefperforatie door de humeruskop, avasculaire kopnecrose, implantaatgerelateerde irritatie en letsel van de N. axillaris.9,10 In een studie naar deze complicaties werden 282 patiënten geanalyseerd, van wie 108 in Nederland waren geopereerd en 174 in Zwitserland.10 Bij deze analyse werden er 196 complicaties bij 127 patiënten geturfd. Bij 80 patiënten werden 132 heroperaties verricht, waaronder verwijdering van het osteosynthesemateriaal. De meest voorkomende complicatie was schroefperforatie door de humeruskop. Dit kwam voor bij 65 patiënten (23%), wat veel is in vergelijking met de 7% uit eerdere literatuur.9 De plaat werd verwijderd bij 51 patiënten (18%). Avasculaire kopnecrose komt even vaak voor bij conservatief behandelde als bij operatief behandelde patiënten.6

Verschillen Nederland en Zwitserland

Het is duidelijk dat er een verschil is tussen Nederland en Zwitserland als het gaat om de keuze voor een conservatieve dan wel operatieve behandeling van proximale humerusfracturen. Waar in Nederland 12% van de patiënten met een clavicula- of schouderfractuur operatief behandeld wordt, ligt dat getal in Zwitserland alleen al voor proximale humerusfracturen veel hoger.1,12 Een vragenlijstonderzoek onder Duitse, Oostenrijkse en Zwitserse ziekenhuizen liet zien dat in de meeste ziekenhuizen meer dan 40% van de patiënten met een proximale humerusfractuur operatief behandeld wordt.12 Doet het ene land het nu beter dan het andere?

In de eerder genoemde vergelijkende studie tussen Nederland en Zwitserland bleek dat patiënten in Nederland gemiddeld na 5 dagen worden geopereerd, in Zwitserland na een halve dag.10 In die studie was er een trend naar een minder goede repositie van het tuberculum majus in Nederland. Opvallend was ook het grotere aantal complicaties in Nederland. Verder gingen een lagere leeftijd en een anatomische repositie van het tuberculum majus gepaard met minder complicaties.10 Mogelijk dat het vaker en eerder doen van deze ingreep bijdraagt aan een lager complicatierisico.

Toekomstig onderzoek

Momenteel wordt een studieopzet geschreven voor een internationale, multicentrische, observationele cohortstudie naar de behandeling van proximale humerusfracturen. In de geplande studie worden alle patiënten met een proximale humerusfractuur prospectief geïdentificeerd. Patiënten zullen worden geïncludeerd vanuit 4 perifere ziekenhuizen uit 2 landen met een voorkeur voor een operatieve (Zwitserland) dan wel conservatieve behandelstrategie (Nederland).

Inclusie zal plaatsvinden op basis van ‘agree to disagree’.16 Hiertoe zal elke patiënt afzonderlijk worden beoordeeld door een expertpanel dat bestaat uit 6 traumachirurgen vanuit deze centra die zijn geblindeerd voor de behandeling; de behandeling begint overigens al voordat het expertpanel zijn oordeel geeft. Als de meerderheid van de Zwitserse chirurgen voor een operatieve behandeling kiest en de meerderheid van de Nederlandse chirurgen voor conservatieve behandeling, kan de patiënt worden geïncludeerd. Zodoende zullen er twee vergelijkbare groepen worden gecreëerd, waarna beide behandelingen met elkaar kunnen worden vergeleken.

Conclusie

De resultaten van de besproken meta-analyse laten zien dat patiënten met niet of weinig gedislokeerde proximale humerusfracturen conservatief kunnen worden behandeld. Ook gedislokeerde proximale humerusfracturen bij oudere, osteoporotische en multimorbide patiënten kunnen goed conservatief worden behandeld.

Andere studies laten zien dat oudere patiënten met een luxatiefractuur in aanmerking komen voor een prothese en jongere patiënten met een luxatiefractuur voor een osteosynthese. Bij patiënten met een gedislokeerde proximale humerusfractuur die nog actief en fit zijn, is er in Europa geen consensus over het te voeren beleid. Verder onderzoek moet uitwijzen voor welke patiënt een operatie zinvol is.

Literatuur
  1. Beerekamp MSH, de Muinck Keizer RJO, Schep NWL, Ubbink DT, Panneman MJM, Goslings JC. Epidemiology of extremity fractures in the Netherlands. Injury. 2017;48:1355-62. doi:10.1016/j.injury.2017.04.047. Medline

  2. Neer CS II. Displaced proximal humeral fractures. I. Classification and evaluation. J Bone Joint Surg Am. 1970;52:1077-89. doi:10.2106/00004623-197052060-00001. Medline

  3. Iordens GI, Mahabier KC, Buisman FE, et al. The reliability and reproducibility of the Hertel classification for comminuted proximal humeral fractures compared with the Neer classification. J Orthop Sci. 2016;21:596-602. doi:10.1016/j.jos.2016.05.011. Medline

  4. Majed A, Macleod I, Bull AM, et al. Proximal humeral fracture classification systems revisited. J Shoulder Elbow Surg. 2011;20:1125-32. doi:10.1016/j.jse.2011.01.020. Medline

  5. Fjalestad T, Strømsøe K, Blücher J, Tennøe B. Fractures in the proximal humerus: functional outcome and evaluation of 70 patients treated in hospital. Arch Orthop Trauma Surg. 2005;125:310-6. doi:10.1007/s00402-005-0803-9. Medline

  6. Beks RB, Ochen Y, Frima H, et al. Operative versus nonoperative treatment of proximal humeral fractures: a systematic review, meta-analysis, and comparison of observational studies and randomized controlled trials. J Shoulder Elbow Surg. 2018;27:1526-34. doi:10.1016/j.jse.2018.03.009. Medline

  7. Handoll HH, Brorson S. Interventions for treating proximal humeral fractures in adults. Cochrane Database Syst Rev. 2015;(11):CD000434 Medline.

  8. Rangan A, Handoll H, Brealey S, et al; PROFHER Trial Collaborators. Surgical vs nonsurgical treatment of adults with displaced fractures of the proximal humerus: the PROFHER randomized clinical trial. JAMA. 2015;313:1037-47. doi:10.1001/jama.2015.1629. Medline

  9. Acklin YP, Stoffel K, Sommer C. A prospective analysis of the functional and radiological outcomes of minimally invasive plating in proximal humerus fractures. Injury. 2013;44:456-60. doi:10.1016/j.injury.2012.09.010. Medline

  10. Beeres FJP, Hallensleben NDL, Rhemrev SJ, et al. Plate fixation of the proximal humerus: an international multicentre comparative study of postoperative complications. Arch Orthop Trauma Surg. 2017;137:1685-92. doi:10.1007/s00402-017-2790-z. Medline

  11. Nowak LL, Vicente MR, McKee MD, Hall JA, Nauth A, Schemitsch EH. Orthopaedic surgeons’ opinions surrounding the management of proximal humerus fractures: an international survey. Int Orthop. 2017;41:1749-55. doi:10.1007/s00264-017-3569-0. Medline

  12. Tepass A, Blumenstock G, Weise K, Rolauffs B, Bahrs C. Current strategies for the treatment of proximal humeral fractures: an analysis of a survey carried out at 348 hospitals in Germany, Austria, and Switzerland. J Shoulder Elbow Surg. 2013;22:e8-14. doi:10.1016/j.jse.2012.04.002. Medline

  13. Constant CR, Murley AH. A clinical method of functional assessment of the shoulder. Clin Orthop Relat Res. 1987;(214):160-4 Medline.

  14. Launonen AP, Lepola V, Saranko A, Flinkkilä T, Laitinen M, Mattila VM. Epidemiology of proximal humerus fractures. Arch Osteoporos. 2015;10:209. doi:10.1007/s11657-015-0209-4. Medline

  15. Trikha V, Singh V, Choudhury B, Das S. Retrospective analysis of proximal humeral fracture-dislocations managed with locked plates. J Shoulder Elbow Surg. 2017;26:e293-9. doi:10.1016/j.jse.2017.03.035. Medline

  16. Stadhouder A, Oner FC, Wilson KW, et al. Surgeon equipoise as an inclusion criterion for the evaluation of nonoperative versus operative treatment of thoracolumbar spinal injuries. Spine J. 2008;8:975-81. doi:10.1016/j.spinee.2007.11.008. Medline

Auteursinformatie

Kantonsspital Graubünden, afd. Traumachirurgie, Chur, Zwitserland: drs. H. Frima, traumachirurg. UMC Utrecht, afd. Traumachirurgie: dr. R.M. Houwert, traumachirurg. Diakonessenhuis, afd. Chirurgie, Utrecht: drs. R.B. Beks, arts-assistent; dr. M. van Heijl, traumachirurg. St Antonius Ziekenhuis Nieuwegein, afd. Chirurgie: dr. D. van der Velde, traumachirurg. Luzerner Kantonsspital, afd. Traumachirurgie, Luzern, Zwitserland: dr. Frank J.P. Beeres, traumachirurg.

Contact H. Frima (herman.frima@ksgr.ch)

Belangenverstrengeling

Belangenconflict en financiële ondersteuning: geen gemeld.

Auteur Belangenverstrengeling
Herman Frima ICMJE-formulier
R. Marijn Houwert ICMJE-formulier
Reinier B. Beks ICMJE-formulier
Mark van Heijl ICMJE-formulier
Detlef van der Velde ICMJE-formulier
Frank J.P. Beeres ICMJE-formulier
Uitlegkader
Heb je nog vragen na het lezen van dit artikel?
Check onze AI-tool en verbaas je over de antwoorden.
ASK NTVG

Ook interessant

Reacties

Frima et al. betogen dat bij ouderen en niet-gedislokeerde fracturen een conservatieve behandeling de voorkeur geniet. Literatuur zou laten zien dat er geen verschil is in functionele uitkomsten bij conservatieve versus operatieve behandeling.
De auteurs bouwen hun artikel vooral op de conclusies van de ProFHER studie.1 Bij de conclusies die worden getrokken uit deze studie moeten echter kanttekeningen worden geplaatst. Naast de reeds aangegeven beperkingen zoals het grote aantal operateurs en excluderen van patiënten met absolute operatie-indicatie, laten Frima et al. de grote discrepantie in het aantal patiënten per Neer classificatie onbenoemd. Van de 239 geanalyseerde patiënten werden uiteindelijk 146 patiënten geïncludeerd met een Neer 1 en 2 type fractuur, types waarbij conservatieve behandeling algemeen geaccepteerd is. Slechts 37,2% van de geïncludeerde patiënten had een complexe (Neer type 3 en 4) fractuur. Deze fracturen worden in de praktijk overwogen voor operatieve interventie. Dit heeft tot gevolg dat de conclusie voor de complexe fracturen gekleurd is door de resultaten bij minder complexe fracturen.
Tevens is recent een Cochrane review verschenen waarbij de conservatieve behandeling is vergeleken met operatieve behandeling.2 In de review werden acht studies geïncludeerd. De auteurs zelf beschrijven dat er onvoldoende onderzoek is gedaan naar het effect van opereren bij subgroepen: patiënten met two-part tuberculum fracturen, fracturen bij jonge patiënten, fracturen bij hoog-energetisch trauma, luxatiefracturen en head-split fracturen, wat suggereert dat er patiëntengroepen zijn die mogelijk voordeel hebben bij een operatie. Daarnaast betreft één van de acht geïncludeerde studies de eerder besproken ProFHER studie. De overige studies zijn relatief klein ten opzichte van de ProFHER studie waardoor hun invloed op het resultaat van de review relatief beperkt is. Opvallend is dat vier van de kleinere studies concluderen dat operatieve behandeling beter is.
Tenslotte wordt in vijf van de acht artikelen de conservatieve therapie vergeleken met operatieve behandelingen die vanwege nieuwe inzichten niet meer worden uitgevoerd. Dit zou de resultaten van operatieve behandeling mogelijk negatief beïnvloeden.
Een nieuwe operatieve methode is de omgekeerde schouderprothese, een veelbelovende techniek, vooral bij complexe fracturen.3 Omdat deze prothese functie-technisch minder afhankelijk is van de rotator cuff wordt deze methode vaak gebruikt bij oudere patiënten. Chivot et al. laat zien dat bij oudere patiënten de kwaliteit van leven met een omgekeerde schouderprothese vergelijkbaar is met de conservatieve behandeling, toch is de actieve functionaliteit van deze geopereerde schouders beter.4
Wij denken dat er patiënten zijn die baat kunnen hebben bij operatieve behandeling en dat het risico bestaat dat subgroepen dit zal worden ontzegd op basis van generalisatie, methodologische onvolkomenheden en vergelijking met verouderde operatietechnieken. Meer onderzoek is nodig om dit te toetsen. Momenteel is met de beschreven studies niet bewezen dat complexe fracturen conservatief beter af zijn: gebrek aan goed bewijs is geen goed bewijs van gebrek.

1.Handoll HHG et al. The Cochrane database. 2015;(11)
2.Rangan A et al. JAMA. 2015;313(10):1037-1047
3.Boileau P et al. JSES. 2005;14:147S-161S
4.Chivot M et al. JSES. 2019;28:252-259
 

LS Blaas, TD Alta2, A v Noort2, RJ Derksen1

1 Traumachirurgie, ZMC
2 Orthopedie, Spaarne Gasthuis