Een complicatie bij chronische lymfatische B-celleukemie

Progressieve multifocale leuko-encefalopathie

Klinische praktijk
Abstract
Caroline R. van Kernebeek
Esra Ünal
Cees G. Schaar
H.P. (Paul) Bienfait
Download PDF

Progressieve multifocale leuko-encefalopathie (PML) is een zeldzame infectieuze oorzaak van subacute neurologische uitvalsverschijnselen. PML wordt veroorzaakt door een reactivatie van het JC-virus en treedt vrijwel alleen op bij patiënten met een verminderde afweer. De diagnostiek van PML wordt bemoeilijkt doordat de radiologische afwijkingen aspecifiek zijn. Daarnaast kan een PCR van de liquor op het John Cunningham(JC)-virus in een vroeg stadium van PML negatief zijn, zoals bij onze patiënt het geval was.

Samenvatting

Achtergrond

Progressieve multifocale leuko-encefalopathie (PML) is een zeldzame infectieuze oorzaak van subacute neurologische uitvalsverschijnselen en komt met name voor bij patiënten met een verminderde afweer. PML wordt veroorzaakt door een reactivatie van het JC-virus.

Casus

Een 79-jarige man met in de voorgeschiedenis chronische lymfatische B-celleukemie (CLL) kwam naar ons ziekenhuis met neurologische uitvalsverschijnselen van de linker lichaamshelft. Aanvankelijk stelden wij de diagnose ‘herseninfarct in de rechter hemisfeer’. 2 maanden later namen de uitvalsverschijnselen toe en zagen wij op een MRI-scan van de hersenen een toename van de wittestofafwijkingen. Vanwege het vermoeden van op PML verrichtten wij een PCR van de liquor op het John Cunningham-virus, die negatief was. Met histopathologisch onderzoek van een hersenbiopt bevestigden wij de diagnose ‘PML’, 4 maanden na de eerste beoordeling.

Conclusie

PML is een zeldzame oorzaak van subacute neurologische uitvalsverschijnselen. De diagnostiek van PML wordt bemoeilijkt doordat een PCR van de liquor op het JC-virus in een vroeg stadium van PML negatief kan zijn. Bij twijfel over de diagnose is histopathologisch onderzoek van een hersenbiopt noodzakelijk.

Kernpunten
  • Progressieve multifocale leuko-encefalopathie (PML) is een zeldzame oorzaak van subacute neurologische uitvalsverschijnselen.
  • PML wordt veroorzaakt door reactivatie van het JC-virus
  • PCR van de liquor op het JC-virus kan in een vroeg stadium van PML negatief zijn.
  • Een hersenbiopsie blijft een noodzakelijk diagnosticum bij PML wanneer de PCR van de liquor op het JC-virus negatief is.

artikel

Inleiding

Ziektegeschiedenis

Patiënt, een 79-jarige man, kwam naar ons ziekenhuis vanwege verminderde kracht en coördinatie van zijn linker arm en been. Deze klachten waren in 1 week geleidelijk ontstaan. Patiënt had sinds 8 jaar een chronische lymfatische B-celleukemie (CLL), waarvoor hij reeds behandeld was met chloorambucil, rituximab, cyclofosfamide, vincristine en prednison. Een CT-scan van de hersenen liet hypodense afwijkingen zien in de rechter hemisfeer. Daarop stelden wij de diagnose ‘herseninfarct’ (figuur 1).

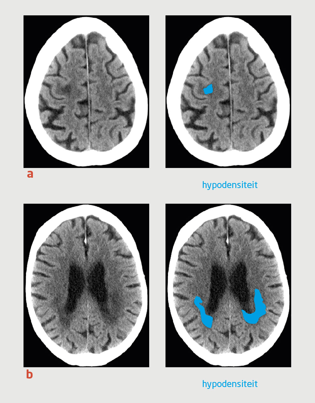
Figuur 1
 
Figuur 1 |  
CT-scan van de hersenen van een 79-jarige man met subacute neurologische uitvalsverschijnselen van de linker lichaamshelft. (a) Er is een hypodensiteit in de rechter hemisfeer te zien, waarbij alleen de witte stof is aangedaan. (b) Ook zijn er hypodensiteiten in beide hemisferen zichtbaar, welke goed kunnen passen bij vasculaire schade van oudere datum.

2 maanden later namen wij patiënt op vanwege toenemend krachtverlies in de linker lichaamshelft. Een CT-scan van de hersenen toonde een toename van het hypodense gebied rechts frontopariëtaal, zonder betrokkenheid van de cortex. Een aanvullende MRI-scan van de hersenen liet geen diffusierestrictie zien (figuur 2). Het laboratoriumonderzoek toonde geen aanwijzingen voor progressie van de CLL. Differentiaaldiagnostisch dachten wij aan PML of een glioom.

Figuur 2
 
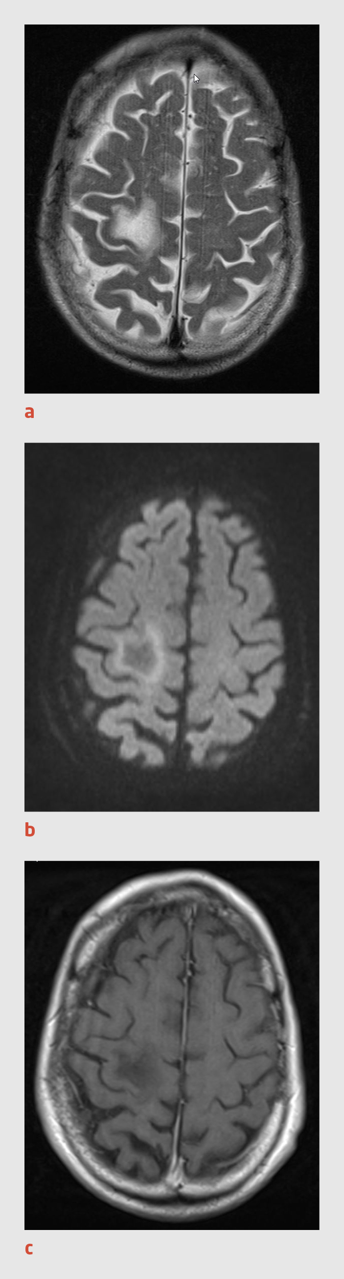
Figuur 2 |  
MRI-scans van de hersenen van een 79-jarige man, waarop een afwijkend gebied in de subcorticale witte stof rechts frontopariëtaal is te zien met (a) een hyperintens signaal op de T2-gewogen opname, (b) een verhoogd signaal aan de periferie op de diffusie-gewogen B1000-opname en (c) een hypo-intens signaal op de T1-gewogen opname, zonder aankleuring na toediening van gadolinium.

Wij toonden het JC-virus aan in het bloed, maar de PCR van de liquor was negatief. Vanwege het sterke vermoeden van PML verrichtten wij een hersenbiopsie. Histopathologisch onderzoek van het biopt bevestigde uiteindelijk de diagnose ‘PML’.

7 maanden na de eerste beoordeling namen wij patiënt opnieuw op, dit keer vanwege pneumosepsis. Gezien de slechte conditie van patiënt stelden wij een palliatief beleid in, waarna hij enkele dagen later overleed.

Beschouwing

PML is een zeldzame infectieziekte die wordt veroorzaakt door reactivatie van het JC-virus, waardoor multifocale afwijkingen in de witte stof ontstaan. Een primaire infectie met het JC-virus verloopt meestal asymptomatisch en minimaal de helft van alle volwassenen heeft antilichamen tegen het virus in het bloed.1 Na een primaire infectie blijft het virus latent aanwezig en kan het reactiveren bij een verminderde afweer. De exacte pathofysiologie van PML is niet bekend, maar een gestoorde cellulaire afweer lijkt een voorwaarde te zijn. Naar schatting krijgt 0,07% van de patiënten met een hematologische maligniteit PML.2

Lang stond PML bekend als een zeldzame complicatie van lymfo- en myeloproliferatieve ziekten. In de jaren vóór de introductie van hiv-combinatietherapie was PML een belangrijke oorzaak van neurologische complicaties bij hiv-patiënten. Sinds de introductie van afweeronderdrukkende therapie treedt PML ook op als complicatie van deze therapie. In de literatuur wordt beschreven dat PML vooral voorkomt bij patiënten die natalizumab gebruiken, maar ook bij gebruik van glucocorticoïden, cyclofosfamide, fludarabine, rituximab, alemtuzumab en ibrutinib.3 Deze laatste middelen worden frequent gebruikt bij de behandeling van CLL. PML kan kort na de behandeling ontstaan, maar ook jaren later en zonder dat er aanwijzingen zijn voor progressie van de ziekte. PML kan ook ontstaan bij CLL-patiënten die niet behandeld zijn.4

Diagnostiek

De neurologische uitvalsverschijnselen bij patiënten met PML zijn afhankelijk van de locatie van de wittestofafwijkingen. Vaak hebben patiënten met PML neurologische uitval van een arm, been of een deel van het gezichtsveld, waarbij niet precies duidelijk is wanneer de klachten zijn ontstaan. De differentiaaldiagnose van subacute neurologische uitvalsverschijnselen met meerdere wittestofafwijkingen op de CT-scan is breed. Als de patiënt ook een afweerstoornis heeft, dan wordt PML waarschijnlijker.

Bij patiënten met neurologische uitvalsverschijnselen zal meestal in eerste instantie een CT-scan van de hersenen verricht worden. Bij patiënten met PML kunnen op de scan een of meerdere hypodensiteiten in de witte stof zichtbaar zijn, waarbij de cortex vrijwel gespaard blijft. In retrospect waren zulke hypodensiteiten ook zichtbaar op de eerste CT-scan van onze patiënt (zie figuur 1a). Er waren echter ook afwijkingen te zien die goed bij ischemische schade kunnen passen (zie figuur 1b). Op een MRI-scan zijn de wittestofafwijkingen bij PML te zien als een hyperintens signaal op de T2-gewogen opname en de FLAIR-opname en als een hypo-intens signaal op de T1-gewogen opname. Deze afwijkingen hebben geen massawerking en kleuren normaliter niet aan na toediening van gadolinium (zie figuur 2). Geïsoleerde wittestofafwijkingen op een CT- of MRI-scan maken cerebrale ischemie onwaarschijnlijker. Omdat de afwijkingen niet aankleuren na toediening van contrast, is een maligniteit eveneens onwaarschijnlijk.

Het JC-virus kan met PCR worden aangetoond in de liquor van de patiënt. Aangezien het JC-virus bij veel mensen latent aanwezig is, kan bijmenging van bloed tijdens de lumbaalpunctie een fout-positieve uitslag van de PCR geven. PCR op het JC-virus heeft een hoge sensitiviteit (75-95%) en specificiteit (96%). Desondanks komt een negatieve PCR-uitslag in een vroeg stadium van PML regelmatig voor.5-7

Histopathologisch onderzoek van een hersenbiopt is de gouden standaard om de diagnose ‘PML’ te stellen. Daarbij is de trias van demyelinisatie, bizarre astrocyten en afwijkende celkernen bewijzend voor PML. Met immuunhistochemische kleuring en PCR kan het JC-virus ook aangetoond worden in het hersenbiopt (figuur 3).3 Een hersenbiopsie is niet zonder risico’s. Bij voorkeur wordt de diagnose daarom gesteld op basis van de anamnese, het lichamelijk onderzoek, een MRI-scan van de hersenen en een PCR van de liquor. Hersenbiopsie is noodzakelijk wanneer het klinisch beeld of de afwijkingen op de MRI-scan niet goed bij PML passen, of wanneer de PCR van de liquor negatief is.6

Figuur 3
 
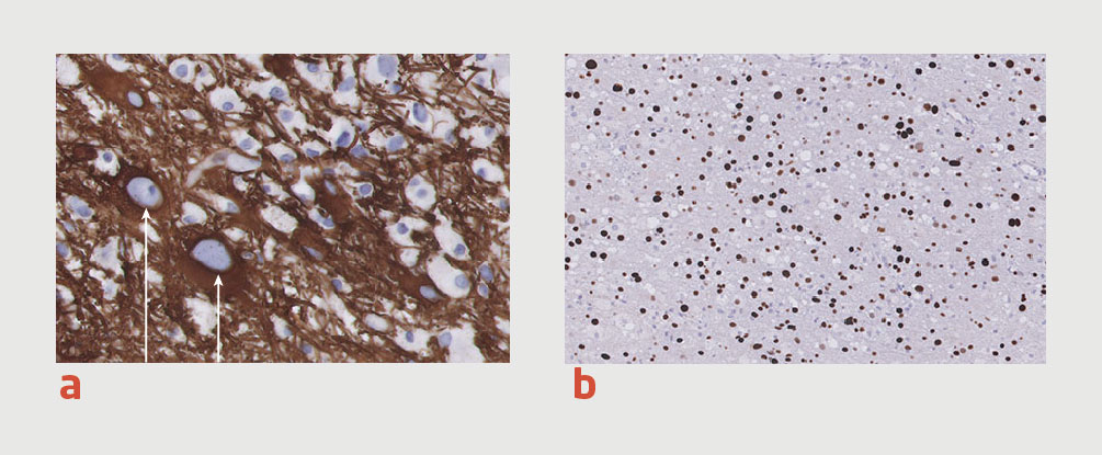
Figuur 3 |  
Histopathologische coupes van een hersenbiopt. (a) Na aankleuring met ‘glial fibrillary acidic protein’ zijn grote blauwe celkernen met uitlopers in donkerbruin cytoplasma te zien. Dit zijn de afwijkende astrocyten (microscopische vergroting: 250 x). (b) Na immuunhistochemische kleuring op polyomavirus (SV40) zijn bruingekleurde virale kerninclusies zichtbaar (microscopische vergroting:200 x).

Behandeling en prognose

Er is geen bewezen effectieve behandeling voor PML bij patiënten met CLL, maar er zijn wel veel middelen in kleine groepen patiënten onderzocht.8 In de praktijk is het belangrijk om de behandeling met afweeronderdrukkende medicatie te stoppen, zodat de afweer van de patiënt kan herstellen. Recentelijk lieten kleine patiëntseries zien dat behandeling met nivolumab of pembrolizumab – monoklonale antilichamen tegen ‘programmed cell-death-1’ (PD-1) – een gunstig effect kan hebben.9,10 Verder onderzoek wordt bemoeilijkt door de lage incidentie van PML en de doorgaans slechte conditie van de patiënten. Bij patiënten met een goede conditie kan een experimentele behandeling met monoklonale antilichamen tegen PD-1 overwogen worden. Wij zagen hier bij onze patiënt van af. PML heeft bij patiënten zonder hiv en bij patiënten die nataluzimab gebruiken een snel progressief beloop.5

Bij onze patiënt had de diagnose ‘PML’ al eerder overwogen kunnen worden. Bij patiënten op hoge leeftijd is een herseninfarct een veelvoorkomende oorzaak van een hemiparese. De subacute neurologische uitvalsverschijnselen, de geïsoleerde wittestofafwijkingen en de voorgeschiedenis van onze patiënt zijn redenen om aan een andere oorzaak dan ischemie te denken. Op basis van de MRI-scan hadden wij een sterk vermoeden van PML en daarom lieten wij een hersenbiopsie verrichten. Mogelijk had een tweede liquorpunctie met PCR op het JC-virus ook duidelijkheid gegeven over de diagnose.

Conclusie

PML is een zeldzame maar ernstige neurologische aandoening. Bij een patiënt met subacute neurologische uitvalsverschijnselen en een verminderde afweer moet men de diagnose ‘PML’ overwegen. Met MRI-onderzoek en een PCR van de liquor op het JC-virus kan de diagnose vaak gesteld worden. Bij onzekerheid over de diagnose kan histopathologisch onderzoek van een hersenbiopt uitsluitsel geven. Tijdige herkenning en diagnostiek van PML biedt patiënten sneller zekerheid over de diagnose en prognose. Experimentele behandeling met monoklonale antilichamen tegen PD-1 kan overwogen worden.

Literatuur
  1. Weber T, Trebst C, Frye S, et al. Analysis of the systemic and intrathecal humoral immune response in progressive multifocal leukoencephalopathy. J Infect Dis. 1997;176:250-4. doi:10.1086/514032. Medline

  2. Power C, Gladden JG, Halliday W, et al. AIDS- and non-AIDS-related PML association with distinct p53 polymorphism. Neurology. 2000;54:743-6. doi:10.1212/WNL.54.3.743. Medline

  3. Pietropaolo V, Prezioso C, Bagnato F, Antonelli G. John Cunningham virus: an overview on biology and disease of the etiological agent of the progressive multifocal leukoencephalopathy. New Microbiol. 2018;41:179-86. Medline.

  4. Di Pauli F, Berger T, Walder A, et al. Progressive multifocal leukoencephalopathy complicating untreated chronic lymphatic leukemia: case report and review of the literature. J Clin Virol. 2014;60:424-7. doi:10.1016/j.jcv.2014.05.007. Medline

  5. Neil EC, DeAngelis LM. Progressive multifocal leukoencephalopathy and hematologic malignancies: a single cancer center retrospective review. Blood Adv. 2017;1:2041-5. doi:10.1182/bloodadvances.2017008201. Medline

  6. Berger JR, Aksamit AJ, Clifford DB, et al. PML diagnostic criteria: consensus statement from the AAN Neuroinfectious Disease Section. Neurology. 2013;80:1430-8. doi:10.1212/WNL.0b013e31828c2fa1. Medline

  7. Fong IW, Britton CB, Luinstra KE, Toma E, Mahony JB. Diagnostic value of detecting JC virus DNA in cerebrospinal fluid of patients with progressive multifocal leukoencephalopathy. J Clin Microbiol. 1995;33:484-6. Medline.

  8. Kalisch A, Wilhelm M, Erbguth F, Birkmann J. Progressive multifocal leukoencephalopathy in patients with a hematological malignancy: review of therapeutic options. Chemotherapy. 2014;60:47-53. doi:10.1159/000368072. Medline

  9. Cortese I, Muranski P, Enose-Akahata Y, et al. Pembrolizumab Treatment for Progressive Multifocal Leukoencephalopathy. N Engl J Med. 2019;380:1597-605. doi:10.1056/NEJMoa1815039. Medline

  10. Walter O, Treiner E, Bonneville F, et al; Immune Checkpoint Inhibitors in PML Study Group. Treatment of Progressive Multifocal Leukoencephalopathy with Nivolumab. N Engl J Med. 2019;380:1674-6. doi:10.1056/NEJMc1816198. Medline

Auteursinformatie

Gelre ziekenhuizen, Apeldoorn. Afd. Neurologie: drs. C.R. van Kernebeek, anios neurologie (thans: aios neurologie UMCG, Groningen); drs. H.P. Bienfait, neuroloog. Afd. Interne Geneeskunde: drs. E. Ünal, anios interne geneeskunde (thans: anios mdl CWZ, Nijmegen); dr. C.G. Schaar, internist-hematoloog.

Contact C.R. van Kernebeek (c.r.van.kernebeek@umcg.nl)

Belangenverstrengeling

Belangenconflict en financiële ondersteuning: geen gemeld.

Verantwoording

Drs. Caroline R. van Kernebeek en drs. Esra Ünal hebben een gelijke bijdrage geleverd aan dit artikel. Dr. A.M. Grool, AIOS radiologie, leverde de CT- en MRI-beelden aan en dr. W.F.A. den Dunnen, patholoog, leverde de beelden van het biopt aan.

Auteur Belangenverstrengeling
Caroline R. van Kernebeek ICMJE-formulier
Esra Ünal ICMJE-formulier
Cees G. Schaar ICMJE-formulier
H.P. (Paul) Bienfait ICMJE-formulier
Heb je nog vragen na het lezen van dit artikel?
Check onze AI-tool en verbaas je over de antwoorden.
ASK NTVG

Ook interessant

Reacties

Hoewel het op grond van de leeftijd wellicht voor de hand lag om de diagnose "herseninfarct" te stellen, mag men stellen dat deze diagnose veel te gemakkelijk werd gesteld en zijn belangrijke aspecten over het hoofd gezien.  

Er zijn twee aspecten die al bij de eerste presentatie niet compatibel zijn met de diagnose "herseninfarct":

1. De hemiparese ontstond geleidelijk in een week tijd. Een stuttering stroke kan af en aan neurologische uitval geven, maar een geleidelijk in de tijd toenemende hemiparese past niet bij de diagnose "herseninfarct". Dit feit alleen had al aanleiding genoeg moeten zijn om een MRI van het brein te maken. 

2. Wat onmiddelijk in het oog springt bij het beoordelen van de CT-scan, nog voordat ik de casusbeschrijving gelezen had, is dat het gaat om een subcorticale hypodensiteit in de "hand-knob area" waarbij de cortex volledig gespaard is. Dit is in het geheel niet compatibel met de diagnose herseninfarct. Dit had zowel voor de radioloog als ook de neuroloog een rode vlag moeten zijn. Zou de anamnese niet al voldoende reden zijn om een MRI van het brein te maken, had deze CT van het brein dat zeker moeten zijn. 

Zoals Kahneman in het boek "Thinking Fast & Slow" duidelijk uit de doeken doet, zijn er twee manieren van een probleem oplossen, in dit geval diagnostiek bedrijven:

De eerste methose berust 'patroonherkenning", the "quick & dirty way", en de  de tweede methode berust op de weliswaar tragere, maar meer systematische wijze van redeneren.

Als men gebruik maakt van patroonherkenning, dan moet het patroon wel klassiek zijn voor de werkdiagnose. Zodra men aspecten ontdekt die hiermee in tegenspraak zijn moet men  overgaan op een meer systemische benadering. Dat is hier duidelijk niet gebeurd. 

Het blijft mij verwonderen dat dergelijke aspecten van diagnostiek bedrijven, waarover meerdere boeken zijn geschreven, niet nadrukkelijker in de opleiding tot basisarts en ook in de opleiding tot medisch specialist worden behandeld. 

G.J. Bonte, neuroloog, Ikazia ziekenhuis Rotterdam

Geachte collega Bonte,

Hartelijk dank voor uw reactie met daarin uw commentaar, overdenkingen en aanvullingen. Wij onderschrijven grotendeels de inhoud van uw reactie, hetgeen mede de reden was voor het publiceren van deze casus.

C.R. van Kernebeek, AIOS neurologie