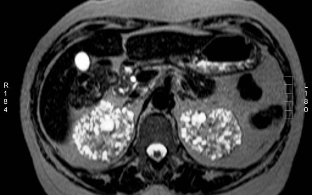
Dit artikel is alleen beschikbaar als PDF.Lees de PDF Artikelinformatie Online verschenen op 4 februari 1963 Citeer dit artikel als Ned Tijdschr Geneeskd. 1963;107:489-94 Heb je nog vragen na het lezen van dit artikel? Check onze AI-tool en verbaas je over de antwoorden. ASK NTVG Ook interessant Diagnose in beeld Een vrouw met een toenemende nierfunctiestoornis Beeldquiz Een vrouw met een toenemende nierfunctiestoornis Stand van zaken Acute nierfunctiestoornissen door niet-steroïde anti-inflammatoire farmaca Meer gerelateerd … Reacties Login om een reactie te plaatsen
Reacties