Een vrouw met een toenemende nierfunctiestoornis

Gepubliceerd:

135 deelnemers

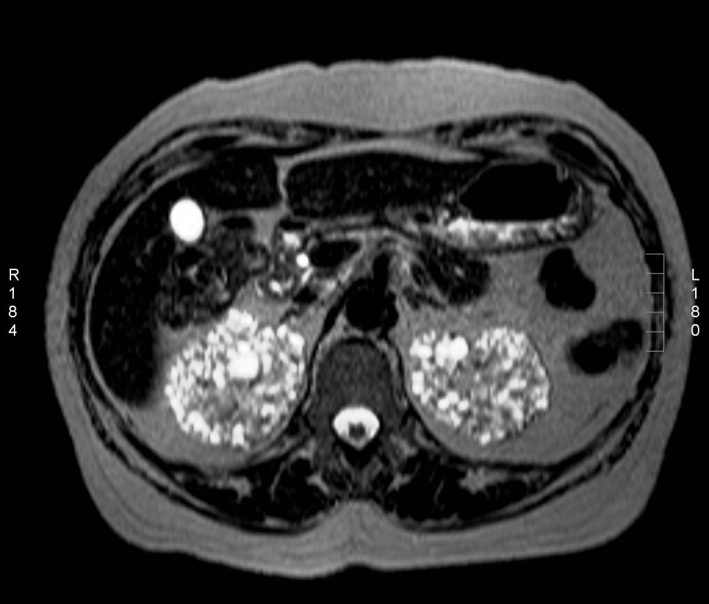
Een 57-jarige vrouw met hypothyreoïdie kwam ter controle op de polikliniek Interne Geneeskunde. Zij werd behandeld met levothyroxine. Verder had zij een bipolaire stoornis waarvoor ze al meer dan 15 jaar lithium gebruikte. Haar reeds bestaande nierfunctiestoornis verergerde: laboratoriumonderzoek toonde een serumconcentratie creatinine van 170 μmol/l en een geschatte glomerulaire filtratiesnelheid van 39 ml/min (volgens de ‘modification of diet in renal disease’(MDRD)-formule). Bij echografie zagen we multipele kleine cysten in beide nieren. De niergrootte was niet-afwijkend en er was geen stuwing te zien. Bij MRI-onderzoek werden in beide nieren zowel corticaal als medullair multipele cysten gezien, waarvan de meeste 1-2 mm groot waren (klik op de afbeelding voor volledige weergave).
Wat is uw diagnose?
Antwoord