Ingestie van corpora aliena bij kinderen

Baby
Abstract
Hilde Krom
Gijs Elshout
Catharine A. Hellingman
Angelika Kindermann
Joost van Schuppen
Merit M. Tabbers
Download PDF

Dames en Heren,

‘Ingestie van corpora aliena’ is de medische benaming voor het inslikken van lichaamsvreemde voorwerpen en kan leiden tot potentieel levensbedreigende complicaties. Aan de hand van 3 patiëntbeschrijvingen laten we zien dat het beleid bij een kind dat een lichaamsvreemd voorwerp heeft ingeslikt, afhankelijk is van het soort en de lokalisatie van het corpus alienum, de symptomen en de setting waarin de patiënt zich presenteert.

artikel

Ziektegeschiedenissen

Patiënt A is een jongen van 2 jaar oud met een blanco voorgeschiedenis die met zijn ouders bij de huisarts kwam omdat hij een helm van een legopoppetje had ingeslikt. Hij ervoer geen klachten. Bij lichamelijk onderzoek vond de huisarts geen afwijkingen, met name geen respiratoire symptomen, maag-darmproblemen, kwijlen of koorts. De huisarts voerde een expectatief beleid. Na 3 dagen vonden de ouders de helm terug in de ontlasting. Het verdere beloop was ongecompliceerd.

Patiënt B, een 6-jarig meisje met een blanco voorgeschiedenis, kwam direct met haar ouders naar de SEH, nadat zij 2 aan elkaar vastzittende, staafvormige koelkastmagneten had ingeslikt. Uit de anamnese en het lichamelijk onderzoek kwamen geen relevante bijzonderheden naar voren, met name geen respiratoire symptomen, maag-darmproblemen, kwijlen of koorts. De buikoverzichtsfoto toonde een radio-opaak, staafvormig voorwerp dat zich voorbij de maag bevond (figuur 1). Omdat het voorwerp ver voorbij de maag gelokaliseerd was, was het technisch gezien niet mogelijk om het voorwerp endoscopisch te verwijderen. Er was geen indicatie voor een chirurgische ingreep, aangezien patiënte geen klachten ervoer. Patiënte werd behandeld met macrogol 40 g/dag (2 g/kg). Ook kreeg instructies om terug te komen naar de SEH wanneer zij klachten kreeg, zoals buikpijn of melena. Binnen 48 uur werden beide magneten teruggevonden in de ontlasting. Het verdere beloop was ongecompliceerd.

Figuur 1
Ingeslikte koelkastmagneten
Figuur 1 | Ingeslikte koelkastmagneten
Buikoverzichtsfoto van patiënt B waarop voorbij de maag een radio-opaak, staafvormig voorwerp – 2 aan elkaar vastzittende koelkastmagneten – te zien is. Het is op basis van de foto niet duidelijk of het voorwerp zich in de dunne of dikke darm bevindt.

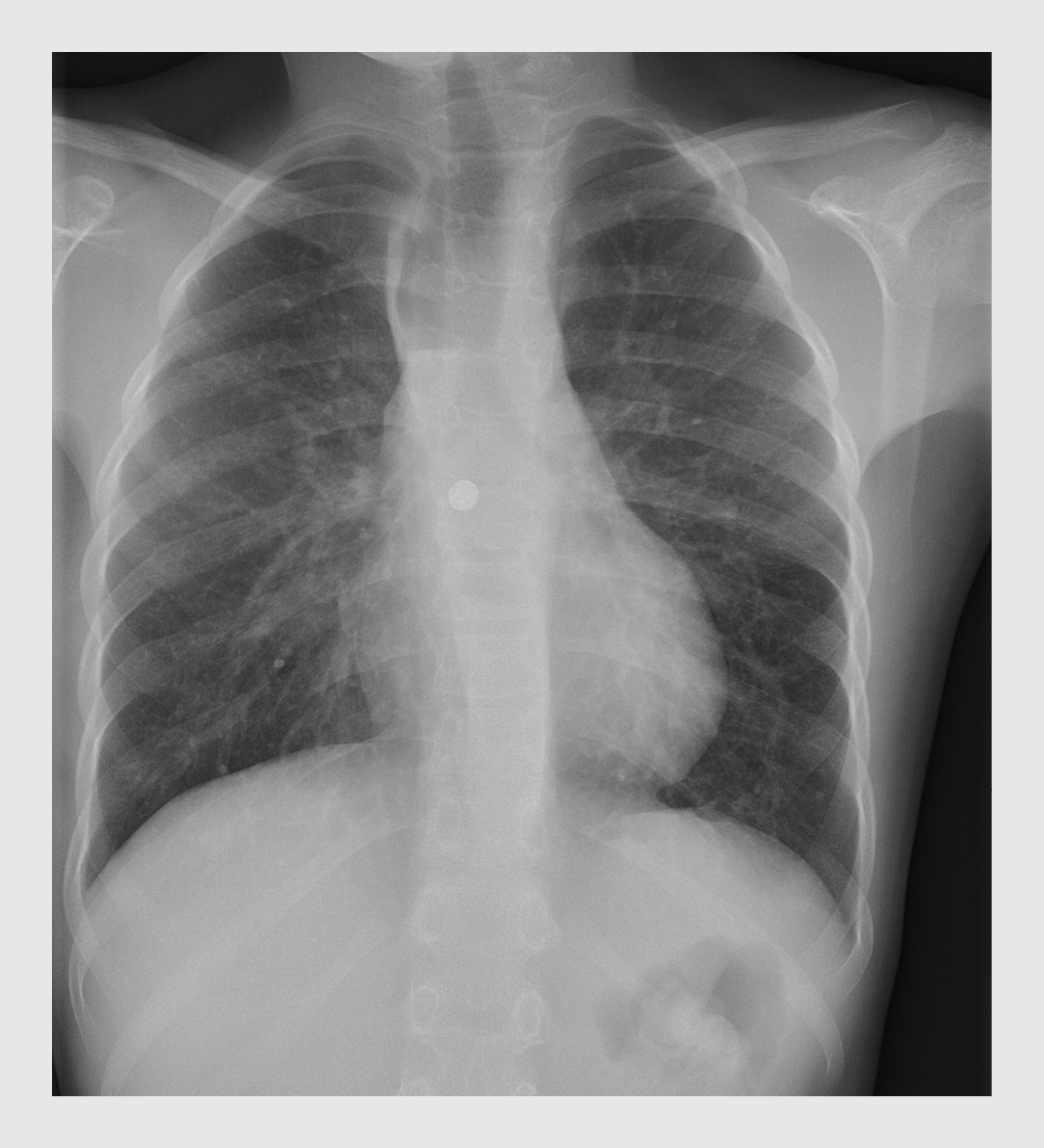
Patiënt C, een 10-jarige prematuur geboren jongen, kwam in de middag met zijn ouders naar de SEH, nadat hij in de ochtend een knoopcelbatterij had ingeslikt. Patiënt was bekend met een type A-oesofagusatresie in het kader van een VACTERL-associatie, een samengaan van aangeboren vertebrale, anorectale, cardiale, tracheo-oesofageale en renale afwijkingen en afwijkingen van de ledematen.

Hiervoor had hij een reconstructie van de oesofagus ondergaan met behulp van een jejunuminterponaat. Nadien moest de oesofagus diverse malen gedilateerd worden vanwege een naadstenose. Daarnaast had patiënt uitgebreide gedragsproblemen en sociaal-emotionele problemen, waarvoor hij 5 dagen per week psychiatrische dagbehandeling aangeboden kreeg. Hij gebruikte de volgende medicijnen: methylfenidaat 10 mg/dag en esomeprazol 10 mg/dag.

Figuur 2
Ingeslikte knoopcelbatterij
Figuur 2 | Ingeslikte knoopcelbatterij
Anterieur-posterieure röntgenfoto van de thorax van patiënt C waarop mid-oesofageaal een radio-opaak, rond voorwerp – een knoopcelbatterij – te zien. Patiënt is bekend met een type A-oesofagusatresie, waarvoor hij een reconstructie van de oesofagus heeft ondergaan met behulp van een jejunuminterponaat. Nadien is de oesofagus diverse malen gedilateerd vanwege een naadstenose. Als gevolg van die stenose is proximaal in de oesofagus een lucht-vloeistofspiegel zichtbaar.

Uit de anamnese en het lichamelijk onderzoek op de SEH kwamen geen relevante bijzonderheden naar voren, met name geen respiratoire symptomen, braken of passageklachten. Op de röntgenfoto van de thorax was mid-oesofageaal een knoopcelbatterij te zien (figuur 2). Omdat patiënt de knoopcelbatterij al enige tijd geleden (circa 10 uur) had ingeslikt en deze nabij de aorta gelegen was, werd de cardio-thoracaal chirurg verzocht om stand-by te staan. De kinderarts MDL verrichtte samen met de mdl-arts een gastroscopie. De knoopcelbatterij werd in de oesofagus aangetroffen, op 25 cm van de tandenrij (figuur 3). Na spoeling van de oesofagus kwam de knoopcelbatterij los te liggen en kon deze scopisch verwijderd worden. Omdat vervolgens bij inspectie van de slokdarmwand forse druknecrose en débris te zien waren, en mogelijk ook de muscularis mucosae, werd een maagsonde geplaatst. Vanwege het risico op mediastinitis werd patiënt behandeld met amoxicilline/clavulaanzuur en gentamicine intraveneus gedurende 7 dagen.

Figuur 3
Ingeslikte knoopcelbatterij
Figuur 3 | Ingeslikte knoopcelbatterij
Beelden bij gastroscopie van patiënt C. (a) In de slokdarm wordt op 25 cm van de tandenrij een knoopcelbatterij aangetroffen. (b) Na spoeling van de oesofagus komt de batterij los te liggen en kan deze verwijderd worden. (c) Na verwijdering van de batterij zijn bij inspectie van de slokdarmwand forse druknecrose en débris te zien, en mogelijk ook de muscularis mucosae.

Na de ingreep werd patiënt kunstmatig beademd en overgeplaatst naar de afdeling Kinder-IC. Aldaar had hij eenmalig koorts (38,6°C), zonder verhoging van de CRP-waarde of klinische ziekteverschijnselen. Ter controle verrichtte de kinderarts MDL 2 weken later opnieuw een gastroscopie, met ballondilatatie ter hoogte van de naadstenose. De mucosa was kwetsbaar en bloedde nog gemakkelijk, maar vertoonde ook tekenen van herstel. Na 3 dagen kon patiënt overgeplaatst worden naar een reguliere verpleegafdeling. Aanvankelijk bleef de orale voeding nog beperkt tot een vloeibaar dieet, maar al snel kon de voeding worden uitgebreid. Na 2 weken kon patiënt in goede conditie uit het ziekenhuis worden ontslagen. Tot op heden heeft hij geen klachten meer gehad.

Beschouwing

Het is niet precies bekend hoeveel mensen per jaar een lichaamsvreemd voorwerp inslikken.1 In 75% van de gevallen gaat het om een kind ≤ 5 jaar oud.2 Risicofactoren voor de ingestie van een corpus alienum bij volwassenen zijn: gevangenschap, een psychiatrische stoornis en een verstandelijke beperking.3 Het is aannemelijk dat ook kinderen met een psychiatrische aandoening (patiënt C) of een verstandelijke beperking vaker een corpus alienum inslikken.1 In tegenstelling tot volwassenen, slikken de meeste kinderen (98%) voorwerpen als munten, speelgoed, sieraden, magneten en batterijen per ongeluk in.2 Kinderen met een onderliggende slokdarmaandoening, zoals oesofagusatresie (patiënt C), eosinofiele oesofagitis, stricturen, achalasie of een andere motiliteitsstoornis van de slokdarm, hebben een verhoogd risico op impactie van het corpus alienum in de oesofagus.1

Corpora aliena kunnen worden onderverdeeld in stompe voorwerpen en munten, scherpe voorwerpen, batterijen en magneten.1 Vaak (80-90%) passeren de ingeslikte voorwerpen het maag-darmkanaal zonder enige interventie (patiënt A en B). Bij 10-20% van de kinderen moet het voorwerp endoscopisch verwijderd worden (patiënt C) en bij 1% van de kinderen is een chirurgische ingreep noodzakelijk.4,5

Ingestie van een corpus alienum kan tot ernstige complicaties, zoals druknecrose, fistelvorming, darmwandnecrose of een darmwandperforatie, en zelfs tot de dood leiden.1,6-8 Binnen 2 uur na ingestie van een batterij kan door druknecrose ernstige oesofageale schade ontstaan. De meeste complicaties ontstaan binnen enkele dagen na de ingestie, maar ook weken tot maanden later kunnen complicaties optreden. Bij kinderen die een batterij hebben ingeslikt, kunnen zelfs nog complicaties ontstaan nadat de batterij al is verwijderd.1,4

Omdat er in Nederland tot voor kort geen evidencebased richtlijn was,9 was er bij zorgverleners veel onduidelijkheid over de diagnostiek en het beleid bij kinderen die een lichaamsvreemd voorwerp hebben ingeslikt. Daarom heeft een multidisciplinaire werkgroep op verzoek van de Nederlandse Vereniging voor Kindergeneeskunde (NVK) de richtlijn ‘Ingestie van corpora aliena bij kinderen van 0-18 jaar’ ontwikkeld.1 De richtlijn is in maart van dit jaar geautoriseerd door de NVK, de Nederlandse Vereniging voor Radiologie (NVvR), het Nederlands Huisartsen Genootschap, de Nederlandse Vereniging voor Spoedeisende Hulp Artsen en de Nederlandse Vereniging voor Keel-Neus-Oorheelkunde en Heelkunde van het Hoofd-Halsgebied.

Aan de hand van de casussen van patiënt A, B en C zullen wij hierna de aanbevelingen uit de nieuwe richtlijn beschrijven. De tekst komt grotendeels overeen met die uit een ander door ons geschreven artikel, dat te vinden is op de website van het NTvG (D4003).1

Anamnese en lichamelijk onderzoek

Bij patiënt A, B en C kwam uit de (hetero)anamnese naar voren dat zij een lichaamsvreemd voorwerp hadden ingeslikt. Symptomen die kunnen optreden na ingestie van een corpus alienum zijn: respiratoire symptomen (piepen, hoesten, stridor en verslikken), pijn op de borst, kwijlen, dysfagie en odynofagie, een globusgevoel, braken, buikpijn, voedselweigering, koorts en prikkelbaarheid. Bij circa 40% van de kinderen wordt niet opgemerkt dat zij een lichaamsvreemd voorwerp hebben ingeslikt.10 De afwezigheid van symptomen sluit de ingestie van een corpus alienum niet uit (patiënt A, B en C),7 maar kan wel leiden tot een vertraging in de diagnostiek en behandeling.

Aanvullend onderzoek

In de tweede of derde lijn moeten bij zowel symptomatische als asymptomatische kinderen die een lichaamsvreemd voorwerp hebben geslikt, of bij wie daarop een vermoeden is, één of meerdere röntgenfoto’s worden gemaakt. Belangrijk is dat op de – anterieur-posterieure en zo nodige laterale – röntgenfoto’s de tandenrij tot en met het abdomen zichtbaar is. In de nulde of eerste lijn moet een röntgenfoto worden gemaakt bij kinderen die een groot voorwerp (diameter > 2,5 cm of lengte > 6 cm) of een risicovol voorwerp (bijvoorbeeld een scherp voorwerp, een batterij of meerdere magneten) hebben ingeslikt, of bij wie daarop een vermoeden is, en bij kinderen bij wie symptomen optreden na ingestie van een corpus alienum (zie ‘Voor de huisarts’). Om die reden werd bij patiënt A geen röntgendiagnostiek verricht.

Op de röntgenfoto moet gelet worden op de lokalisatie van het corpus alienum en op tekenen van mogelijke complicaties, zoals vrij lucht in het mediastinum of in het peritoneum of subcutaan emfyseem. Bij een kind dat anamnestisch een magneet heeft ingeslikt (patiënt B), moet op de röntgenfoto tevens gelet worden op de aanwezigheid van meerdere magneten, omdat dit invloed heeft op het beleid. Om onderscheid te maken tussen een munt en een knoopcelbatterij, wordt op de röntgenfoto gelet op de aanwezigheid van een dubbele ring (‘halo sign’) (zie figuur 2).

Wanneer op de röntgenfoto te zien is dat het corpus alienum zich vlak bij de aortaboog bevindt of wanneer er sprake is van een verhoogd risico op oesofageale schade, moet voorafgaand aan de endoscopische verwijdering van het voorwerp overwogen worden om middels CT-onderzoek de lokalisatie te bepalen van het voorwerp ten opzichte van de aorta. MRI-onderzoek voorafgaand aan de endoscopische verwijdering van het voorwerp wordt afgeraden, vanwege het risico op schade door opwarming en beweging van ferromagnetisch materiaal.

Wanneer bij gastroscopie schade aan de oesofagus is vastgesteld, moet na de verwijdering van het corpus alienum MRI- of CT-onderzoek overwogen worden om fistelvorming tussen de oesofagus en de trachea of de grote arteriën uit te sluiten en om de oesofageale schade te volgen.

Behandeling

De timing van de endoscopische verwijdering van het corpus alienum is afhankelijk van het soort en de lokalisatie van het corpus alienum en van de symptomen van de patiënt. De lokalisatie van het voorwerp bepaalt ook welke specialist het voorwerp zo nodig moet verwijderen. Een stroomdiagram voor het beleid bij het vermoeden van ingestie van een corpus alienum bij een kind is te vinden in de Richtlijnendatabase en op de website van de NVK.

Op of boven het niveau van de claviculae Een corpus alienum dat zich op de röntgenfoto op of boven het niveau van de claviculae bevindt, moet door de kno-arts verwijderd worden middels starre scopie. Wanneer het kind symptomen heeft of wanneer het voorwerp scherp is of een knoopcelbatterij betreft, moet het voorwerp binnen 2 uur verwijderd worden; een knoopcelbatterij moet bij voorkeur zo snel mogelijk verwijderd worden. Wanneer het kind een cilindrische batterij of meerdere magneten heeft ingeslikt, moeten de batterij of de magneten binnen 24 uur verwijderd worden; de magneten moeten bij voorkeur zo snel mogelijk verwijderd worden. Een stomp voorwerp moet verwijderd worden indien het na 24 uur niet spontaan passeert.

Onder het niveau van de claviculae of in de maag Een corpus alienum dat zich op de röntgenfoto in de oesofagus onder het niveau van de claviculae of in de maag bevindt, moet door de kinderarts MDL endoscopisch verwijderd worden. Een corpus alienum in de oesofagus moet binnen 2 uur verwijderd worden, wanneer het kind symptomen heeft of wanneer het voorwerp scherp is of een knoopcelbatterij betreft. Wanneer het kind een cilindrische batterij of meerdere magneten heeft ingeslikt, moeten de batterij of de magneten binnen 24 uur verwijderd worden; de magneten moeten bij voorkeur zo snel mogelijk verwijderd worden. Bij een asymptomatisch kind dat een stomp voorwerp heeft ingeslikt, moet het voorwerp verwijderd worden indien het voorwerp na 24 uur niet spontaan passeert.

Bij een symptomatisch kind met een corpus alienum in de maag moet het voorwerp binnen 2 uur verwijderd worden. Ook wanneer het voorwerp een knoopcelbatterij betreft of wanneer het kind een anatomische afwijking van het maag-darmkanaal heeft, moet het voorwerp binnen 2 uur verwijderd worden. Wanneer meerdere magneten zijn ingeslikt, moeten deze bij voorkeur zo snel mogelijk – uiterlijk binnen 24 uur – uit de maag verwijderd worden. Bij een asymptomatisch kind moet een groot stomp voorwerp (diameter > 2,5 cm of lengte > 6 cm) binnen 24 uur verwijderd worden en een magneet in elk geval binnen 24 uur, maar bij voorkeur zo snel mogelijk. Een batterij die na 1-2 weken niet spontaan passeert, moet verwijderd worden; voor stompe en scherpe voorwerpen geldt een termijn van 2-4 weken.

Voorbij de maag Een corpus alienum dat zich op de röntgenfoto voorbij de maag bevindt, moet endoscopisch verwijderd worden door de kinderarts MDL of operatief worden verwijderd door de kinderchirurg, wanneer het kind symptomen ontwikkelt of wanneer het voorwerp binnen 2-4 weken niet spontaan passeert.

Impactie Bij impactie van een stomp voorwerp of een munt in de oesofagus moet, voordat het voorwerp endoscopisch verwijderd wordt, nogmaals een röntgenfoto gemaakt worden om een onnodige endoscopische ingreep te voorkomen. Bij impactie van een batterij mag de aanvullende röntgendiagnostiek de endoscopische ingreep niet vertragen.

Verwijzing

Verwijzing naar een tweedelijnscentrum is geïndiceerd bij: (a) symptomatische kinderen bij wie wordt vermoed dat zij een lichaamsvreemd voorwerp hebben ingeslikt; (b) kinderen bij wie wordt vermoed dat zij een batterij hebben ingeslikt, ongeacht of zij hiervan klachten ervaren; en (c) kinderen bij wie op de röntgenfoto een ingeslikt corpus alienum is gezien (zie ‘Voor de huisarts’). Verwijzing naar een derdelijnscentrum met een afdeling Kinder-mdl, Kinderchirurgie en Kinder-IC is geïndiceerd bij kinderen die een lichaamsvreemd voorwerp hebben ingeslikt en een verhoogd risico hebben op ernstige complicaties, zoals bij het inslikken van een scherp voorwerp, meerdere magneten, een magneet in combinatie met een ander metalen voorwerp of bij impactie van een batterij in de oesofagus. Wanneer een kind met impactie van een batterij in de oesofagus in de buurt is van een tweedelijnscentrum, geniet het de voorkeur om aldaar het voorwerp endoscopisch te laten verwijderen door een kinderarts MDL en de patiënt later zo nodig over te plaatsen naar een derdelijnscentrum met een afdeling Kinder-IC. Verwijzing naar een derdelijnscentrum met een afdeling Kinder-IC en Cardiothoracale Chirurgie is geïndiceerd bij kinderen die een batterij hebben ingeslikt en bij wie de batterij zich ter hoogte van de aorta bevindt.

Dames en Heren, ingestie van een corpus alienum kan tot ernstige complicaties en zelfs tot de dood leiden. Recentelijk is de richtlijn ‘Ingestie van corpora aliena bij kinderen van 0-18 jaar’ geautoriseerd. Hierin wordt onder meer beschreven bij welke patiënten röntgendiagnostiek is geïndiceerd en welke kinderen doorverwezen moeten worden naar een tweede- of derdelijnscentrum. Een stroomdiagram voor het beleid bij het vermoeden van ingestie van een corpus alienum bij een kind is te vinden in de Richtlijnendatabase en op de website van de NVK.

Literatuur
  1. Krom H, Venmans LMAJ, Tabbers MM. Richtlijn ‘Ingestie van corpora aliena bij kinderen van 0-18 jaar’. Ned Tijdschr Geneeskd. 2019;163:D4281.

  2. Kramer RE, Lerner DG, Lin T, et al; North American Society for Pediatric Gastroenterology, Hepatology, and Nutrition Endoscopy Committee. Management of ingested foreign bodies in children: a clinical report of the NASPGHAN Endoscopy Committee. J Pediatr Gastroenterol Nutr. 2015;60:562-74.doi:10.1097/MPG.0000000000000729.Medline

  3. Ikenberry SO, Jue TL, Anderson MA, et al; ASGE Standards of Practice Committee. Management of ingested foreign bodies and food impactions. Gastrointest Endosc. 2011;73:1085-91.doi:10.1016/j.gie.2010.11.010.Medline

  4. Tringali A, Thomson M, Dumonceau JM, et al. Pediatric gastrointestinal endoscopy: European Society of Gastrointestinal Endoscopy (ESGE) and European Society for Paediatric Gastroenterology Hepatology and Nutrition (ESPGHAN) Guideline Executive summary. Endoscopy. 2017;49:83-91Medline.

  5. Kindermann A, Hendriks D, van der Feen C. Ingestie van corpora aliena. In: Gijsbers CFM, Groeneweg M, Kneepkens CMF, Kokke FTM, Koot BGP, Rings EHHM, red.Werkboek Kindermaag-darm-leverziekten. 3e dr. Hfdst 17. Amsterdam: VU University Press; 2014.

  6. Thomson M, Tringali A, Dumonceau JM, et al. Paediatric Gastrointestinal Endoscopy: European Society for Paediatric Gastroenterology Hepatology and Nutrition and European Society of Gastrointestinal Endoscopy Guidelines. J Pediatr Gastroenterol Nutr. 2017;64:133-53.doi:10.1097/MPG.0000000000001408.Medline

  7. Krom H, Visser M, Hulst JM, et al. Serious complications after button battery ingestion in children. Eur J Pediatr. 2018;177:1063-70.doi:10.1007/s00431-018-3154-6.Medline

  8. Litovitz T, Whitaker N, Clark L, White NC, Marsolek M. Emerging battery-ingestion hazard: clinical implications. Pediatrics. 2010;125:1168-77.doi:10.1542/peds.2009-3037.Medline

  9. Oosterwijk PR, Meijssen MAC.Voedselbrok in de slokdarm of een voorwerp ingeslikt: wat te doen?Ned Tijdschr Geneeskd. 2017;161:D1611.

  10. Van der Feen C, Kindermann A. Ingestie van vreemde voorwerpen. Praktische Pediatrie. 2012;2:70-3.

Auteursinformatie

Emma Kinderziekenhuis, Amsterdam UMC, locatie AMC-UvA, Amsterdam. Afd. Kinder-mdl: drs. H. Krom, arts-onderzoeker; dr. A. Kindermann en dr. M.M. Tabbers, kinderartsen MDL. Afd. Radiologie en Nucleaire Geneeskunde: drs. J. van Schuppen, radioloog. Erasmus MC, afd. Huisartsgeneeskunde, Rotterdam: dr. G. Elshout, huisarts. Maastricht UMC+, afd. Keel, Neus en Oor, Maastricht: dr. C.A. Hellingman, kno-arts.

Contact H. Krom (h.krom@amsterdamumc.nl)

Belangenverstrengeling

Belangenconflict en financiële ondersteuning: er zijn mogelijke belangen gemeld bij dit artikel. ICMJE-formulieren met de belangenverklaring van de auteurs zijn online beschikbaar bij dit artikel.

Auteur Belangenverstrengeling
Hilde Krom ICMJE-formulier
Gijs Elshout ICMJE-formulier
Catharine A. Hellingman ICMJE-formulier
Angelika Kindermann ICMJE-formulier
Joost van Schuppen ICMJE-formulier
Merit M. Tabbers ICMJE-formulier
Richtlijn ‘Ingestie van corpora aliena bij kinderen van 0-18 jaar’
Informatiekader
Heb je nog vragen na het lezen van dit artikel?
Check onze AI-tool en verbaas je over de antwoorden.
ASK NTVG

Ook interessant

Reacties