Onbekend maakt onbehandeld?

Influenza-geassocieerde acute necrotiserende encefalitis

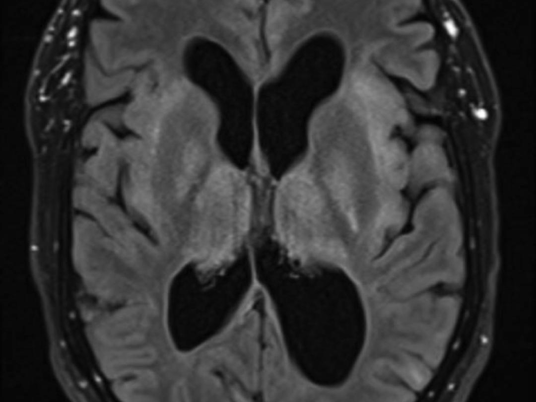
Röntgenbeeld
Abstract
Roel L.N. Huijsmans
Annemarije Braber
Christiaan Fokke
Jerome R. Lo Ten Foe
Marnix Kuindersma
Citeren

Samenvatting

Achtergrond

Influenza-geassocieerde acute necrotiserende encefalitis (ANE) is een zeer zeldzame, ernstige complicatie van een influenza-infectie.

Casus

We beschrijven een 48-jarige man die op de SEH kwam met koorts, malaise, afwerend gedrag en een verminderd bewustzijn (E4M5V2) bij een influenza A-infectie. Nadien ontwikkelde hij een insult, waarvoor intubatie en opname op de afdeling Intensive Care noodzakelijk was. Bij een persisterend comateuze toestand (E1M1V1) werd uitgebreide diagnostiek verricht. Op basis van passende neurologische symptomen, traag achtergrondpatroon op het elektro-encefalogram, klassieke bilaterale afwijkingen in de thalamus en basale kernen met necrose op de MRI en een microbiologisch bewezen infectie van het centraal zenuwstelsel door influenza A werd de diagnose ‘influenza-geassocieerde acute necrotiserende encefalitis’ gesteld.

Conclusie

Acute necrotiserende encefalitis is een ernstige complicatie van een veelvoorkomende infectie. Geadviseerd wordt om bij patiënten met een influenza-infectie en neurologische symptomen, zoals insulten, verwardheid of coma, te overwegen om vroegtijdig te beginnen met beeldvormend onderzoek met MRI en behandeling met corticosteroïden.

Auteursinformatie

Gelre ziekenhuizen, Apeldoorn en Zutphen. Afd. Intensive Care: R.L.N. Huijsmans, MSc, anios; dr. A. Braber en drs. M. Kuindersma, internisten-intensivisten. Afd. Neurologie: drs. C. Fokke, neuroloog. Afd. Medische Microbiologie en Infectiepreventie: dr. J.R. Lo Ten Foe, arts-microbioloog.

Contact M. Kuindersma (m.kuindersma@gelre.nl)

Belangenverstrengeling

Belangenconflict en financiële ondersteuning: geen gemeld.

Auteur Belangenverstrengeling
Roel L.N. Huijsmans ICMJE-formulier
Annemarije Braber ICMJE-formulier
Christiaan Fokke ICMJE-formulier
Jerome R. Lo Ten Foe ICMJE-formulier
Marnix Kuindersma ICMJE-formulier

Ook interessant

Reacties

Gratis Ask NTVG uitproberen?

Maak met 2 klikken een gratis account aan

Account aanmaken

Heb je al een account of een abonnement? Inloggen

Altijd toegang tot alle publicaties van het NTVG?

Abonneer vandaag nog!

Online toegang tot alle artikelen
Gepersonaliseerde alerts voor artikelen en dossiers
Artikelen voor opleiding en nascholing mét geaccrediteerde toetsen
Onbeperkt luisteren naar de NTVG-podcast
Antwoorden op al je vragen via de AI-toepassing 'Ask NTVG'

Neem het digitaal ntvg abonnement

€ 15,93 per maand!

Ik wil digitaal
NTVG nummer 2 2026
NTVG nummer 3 2026
NTVG nummer 4 2026