Elf jaar obducties wegens de ziekte van Creutzfeldt-Jakob in Nederland

Onderzoek
Abstract
Casper Jansen
Maaike Schuur
Wim G.M. Spliet
Willem A. van Gool
Cornelia M. van Duijn
Annemieke J.M. Rozemuller

Samenvatting

Doel

Het beschrijven van onze ervaringen met de diagnostiek van de ziekte van Creutzfeldt-Jakob (CJD) en andere prionziekten in Nederland over een periode van 11 jaar (1997-2007).

Opzet

Retrospectief.

Methode

In de periode 1997-2007 werden in het Nederlands Surveillance Centrum voor Prionziekten in Utrecht 280 obducties bij patiënten met waarschijnlijke of mogelijke CJD verricht. Van alle patiënten registreerden wij klinische gegevens, uitkomsten van aanvullende onderzoeken, zoals eeg, MRI en liquoronderzoek, en bevindingen bij neuropathologisch onderzoek. Retrospectief werd het aandeel van verschillende aandoeningen binnen deze groep berekend.

Resultaten

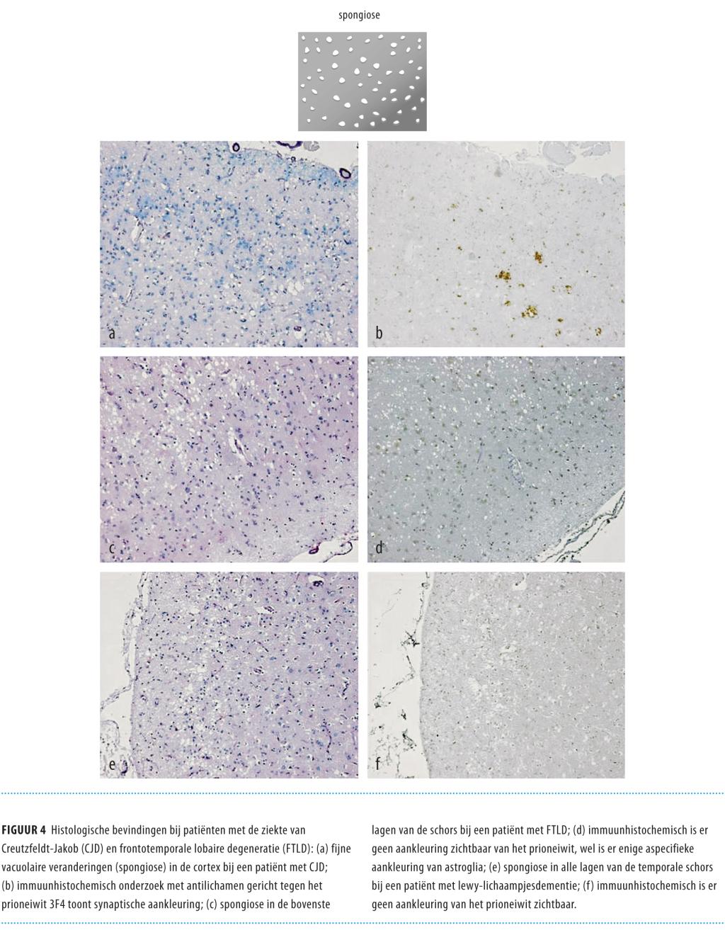
Bij 146 patiënten (52%) met waarschijnlijke of mogelijke CJD werd een prionziekte vastgesteld. Hiervan ging het in 133 gevallen (91%) om de sporadische vorm. Twee keer werd de diagnose ‘variant-CJD’ gesteld (met als oorzaak boviene spongiforme encefalopathie). Bij 5 patiënten werd een iatrogene vorm van CJD gevonden en bij 6 patiënten een genetische vorm. Bij 134 patiënten (48%) werd een andere diagnose gesteld, zoals de ziekte van Alzheimer (40%), multi-infarctdementie (13%), neoplasie (10%) en lewy-lichaampjesdementie (8%). Binnen deze groep werden periodieke ontladingen op het eeg bij 17 patiënten (13%) gevonden, het frequentst bij de ziekte van Alzheimer. De 14-3-3-eiwittest in de liquor cerebrospinalis was positief bij 28 van deze patiënten (21%), het frequentst bij vasculaire dementie en de ziekte van Alzheimer.

Conclusie

Bij onduidelijke klinische beelden die een neurodegeneratieve aandoening doen vermoeden, moet men een prionziekte overwegen. Periodieke ontladingen op het eeg en een positieve 14-3-3-eiwittest zijn alléén geen bewijs voor CJD.

Auteursinformatie

Universitair Medisch Centrum Utrecht, Nederlands Surveillance Centrum voor Prionziekten, afd. Pathologie, Utrecht.

Drs. C. Jansen, patholoog; drs. W.G.M. Spliet en prof.dr. A.J.M. Rozemuller, pathologen en neuropathologen.

Erasmus MC-Centrum, afd. Epidemiologie, Rotterdam.

Drs. M. Schuur, arts-onderzoeker (tevens: afd. Neurologie); prof. dr. C.M. van Duijn, genetisch epidemioloog.

Academisch Medisch Centrum/Universiteit van Amsterdam, afd. Neurologie, Amsterdam.

Prof.dr. W.A. van Gool, neuroloog.

Contact drs. C. Jansen (c.jansen@umcutrecht.nl)

Verantwoording

Dr. F. Baas, Academisch Medisch Centrum te Amsterdam, en dr. M. Verbeek, Radboud Universiteit te Nijmegen, verstrekten en analyseerden de liquordata.
Drs. G. Jansen, neuropatholoog, verrichtte diagnostiek en inspanningen voor het prionlab tot 2002.
Belangenconflict: geen gemeld. Financiële ondersteuning: het onderzoek naar de ziekte van Creutzfeldt-Jakob wordt gesteund door het Rijksinstituut voor Volksgezondheid en Milieu (RIVM).
Aanvaard op 26 februari 2009

Heb je nog vragen na het lezen van dit artikel?
Check onze AI-tool en verbaas je over de antwoorden.
ASK NTVG

Ook interessant

Reacties