Een toevalsbevinding bij een vrouw met buikpijn

Wat is de diagnose?
Abstract
A.C. (Teun) van den Heijkant
Jeroen E.H. Ponten
Edith M. Willigendael

Casus

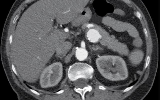
Een 73-jarige vrouw met hypertensie presenteerde zich op de Spoedeisende Hulp met acuut ontstane, hevige buikpijn die continu sinds 10 h aanwezig was. Daarnaast was zij misselijk en had zij gebraakt. Bij lichamelijk onderzoek zagen wij een zieke vrouw met pijn, maar zonder koorts. Patiënte was hemodynamisch stabiel. Peri-umbilicaal gaf zij percussie- en loslaatpijn aan. Laboratoriumonderzoek toonde geen afwijkingen. De klinische symptomen pasten bij een acute buik. Differentiaaldiagnostisch dachten wij aan coprostase, mogelijk op basis van een ruimte-innemend proces, of ischemie van het mesenterium. Op röntgenopnamen van de thorax en van het abdomen werd rechtszijdige coprostase gezien, zonder een…

Auteursinformatie

Catharina Ziekenhuis, afd. Chirurgie, Eindhoven.

Contact A.C. van den Heijkant (teun.vd.heijkant@cze.nl)

Verantwoording

Belangenconflict en financiële ondersteuning: geen gemeld.
Aanvaard op 31 mei 2012

Auteur Belangenverstrengeling
A.C. (Teun) van den Heijkant ICMJE-formulier
Jeroen E.H. Ponten ICMJE-formulier
Edith M. Willigendael ICMJE-formulier
Heb je nog vragen na het lezen van dit artikel?
Check onze AI-tool en verbaas je over de antwoorden.
ASK NTVG

Ook interessant

Reacties