Een toevalsbevinding bij een vrouw met buikpijn

Gepubliceerd:

159 deelnemers

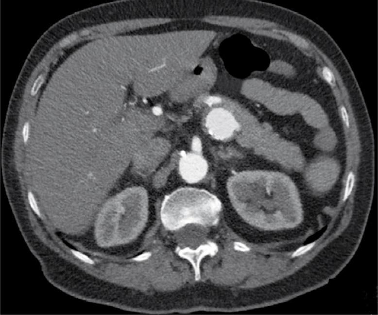
Een 73-jarige vrouw met hypertensie presenteerde zich op de SEH met hevige buikpijn die continu sinds 10 h aanwezig was. Ook was zij misselijk en had zij gebraakt. Bij lichamelijk onderzoek zagen wij een zieke vrouw met pijn, zonder koorts. Patiënte was hemodynamisch stabiel. Peri-umbilicaal gaf zij percussie- en loslaatpijn aan. Laboratoriumonderzoek toonde geen afwijkingen.
Wat is uw diagnose?
Antwoord