Een tiener met een traumatisch enkelletsel

D6645_F0
Abstract
Wesley W.E.S. Theunissen
Arvid W.J. Wieland

Casus

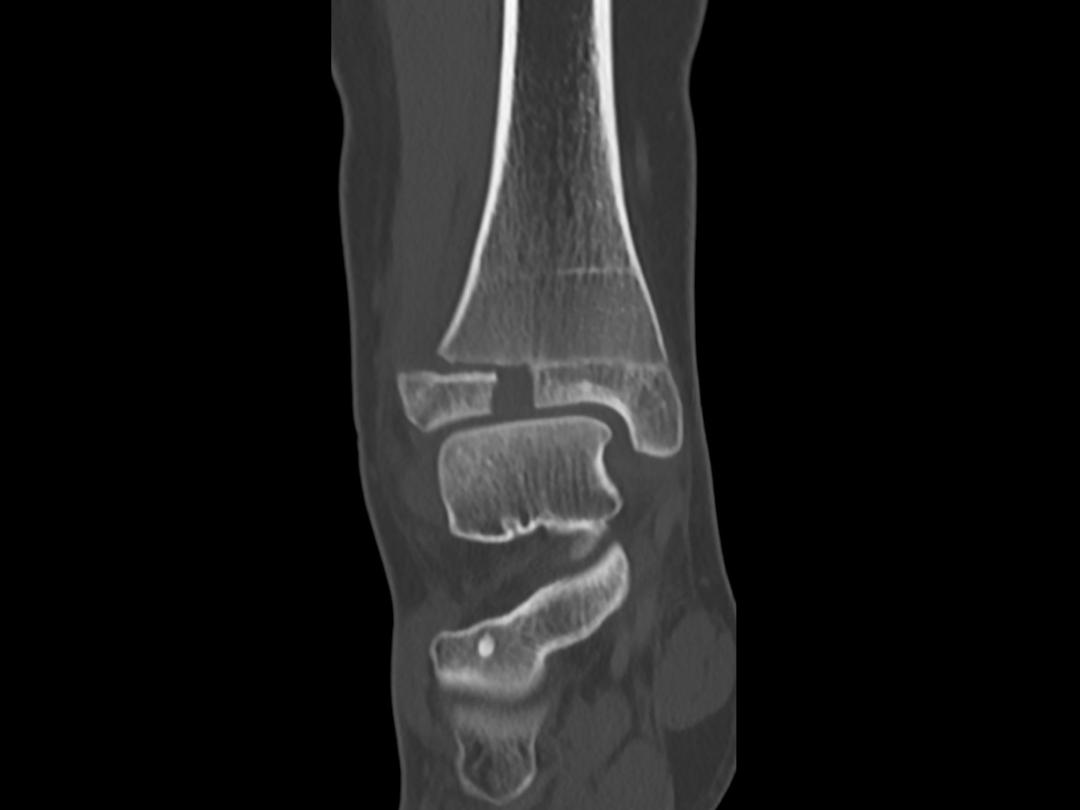
Een 13-jarig meisje kwam op de polikliniek Traumachirurgie vanwege een pijnlijke rechter enkel. Eerder die dag had ze de enkel verzwikt. Sindsdien kon ze de rechter voet niet meer belasten. Bij lichamelijk onderzoek was er sprake van zwelling en drukpijn aan de anterolaterale zijde van het enkelgewricht. Een röntgenfoto van de enkel liet een fractuur zien door de groeischijf van de distale tibia waarbij de epifyse naar anterolateraal was verplaatst (figuur a en supplement 1). Een aanvullende CT-scan van de enkel liet een Salter-Harris-type-III-fractuur zien; het gewrichtsoppervlak had een onderbreking van 8 mm (figuur b en supplement 2). Dit type fractuur wordt een Tillaux-fractuur genoemd. Wij behandelden de patiënte operatief met een open repositie en schroeffixatie (supplement 3 en 4).

Een Tillaux-fractuur is een relatief zeldzame enkelfractuur die voorkomt bij kinderen van 12-14 jaar. In deze leeftijdsperiode sluit de groeischijf van de distale tibia gefaseerd…

Auteursinformatie

VieCuri Medisch Centrum, afd. Chirurgie, Venlo: drs. W.W.E.S. Theunissen, aios orthopedie; drs. A.W.J. Wieland, traumachirurg.

Contact W.W.E.S. Theunissen (wesley.theunissen@gmail.com)

Belangenverstrengeling

Belangenconflict en financiële ondersteuning: geen gemeld.

Auteur Belangenverstrengeling
Wesley W.E.S. Theunissen ICMJE-formulier
Arvid W.J. Wieland ICMJE-formulier
Dit artikel is gepubliceerd in het dossier
Huisartsgeneeskunde
Heb je nog vragen na het lezen van dit artikel?
Check onze AI-tool en verbaas je over de antwoorden.
ASK NTVG

Ook interessant

Reacties