Een man met spontane ecchymosen in beide flanken

Beeld uit artikel
Abstract
Sofie de Wilde-van der Plaat
Douwe Rijpsma

artikel

Casus

Een 66-jarige man werd naar de SEH gebracht wegens pijn in de liezen en onderbuik sinds enkele dagen; hij lag met opgetrokken benen op de brancard. De pijn was spontaan begonnen en hij had geen gastro-intestinale klachten of mictieklachten. De voorgeschiedenis vermeldde een mechanische aortaklepvervanging, een liesbreukcorrectie en recent een pneumonie. Hij gebruikte onder andere fenprocoumon. De parameters voor vitale functies waren niet afwijkend. Opvallend waren ecchymosen in beide flanken (figuur 1). De darmperistaltiek was normaal, het abdomen was soepel en palpatie van onderbuik en liezen was pijnlijk. Verdere flexie van beide heupen tegen weerstand veroorzaakte toename van pijn (beiderzijds positief psoasteken). Laboratoriumonderzoek liet een normocytaire anemie zien met een Hb van 5,6 mmol/l, een INR van 5,9 en een CRP van 30 mg/l.

Op basis van het klinisch beeld en laboratoriumonderzoek dachten wij aan een bilateraal iliopsoashematoom. Een CT-scan met contrast bevestigde deze diagnose en sloot een actieve bloeding uit (figuur 2). De patiënt werd opgenomen en de fenprocoumon werd tijdelijk onderbroken maar niet gecoupeerd, vanwege de harde antistollingsindicatie en het ontbreken van een actieve bloeding.

Een spontane ecchymose in de flank– het teken van Grey Turner – is vooral bekend als symptoom van een necrotiserende pancreatitis, maar kan ook bij andere retroperitoneale bloedingen optreden. Het psoasteken wordt vooral geassocieerd met appendicitis, maar kan ook een teken zijn van een probleem van de m. iliopsoas zelf. Risicofactoren voor een spontaan iliopsoashematoom zijn leeftijd en antistolling. Verondersteld wordt dat de combinatie van microvasculaire atherosclerose en anticoagulantiagebruik tot een bloeding kan leiden bij een minimale krachtinspanning, zoals hoesten. Dit had onze patiënt gezien zijn recente pneumonie veelvuldig gedaan.

Figuur 1
Figuur 1
Foto’s van de flanken van een 66-jarige man met pijn in de onderbuik en liezen en spontane ecchymosen.
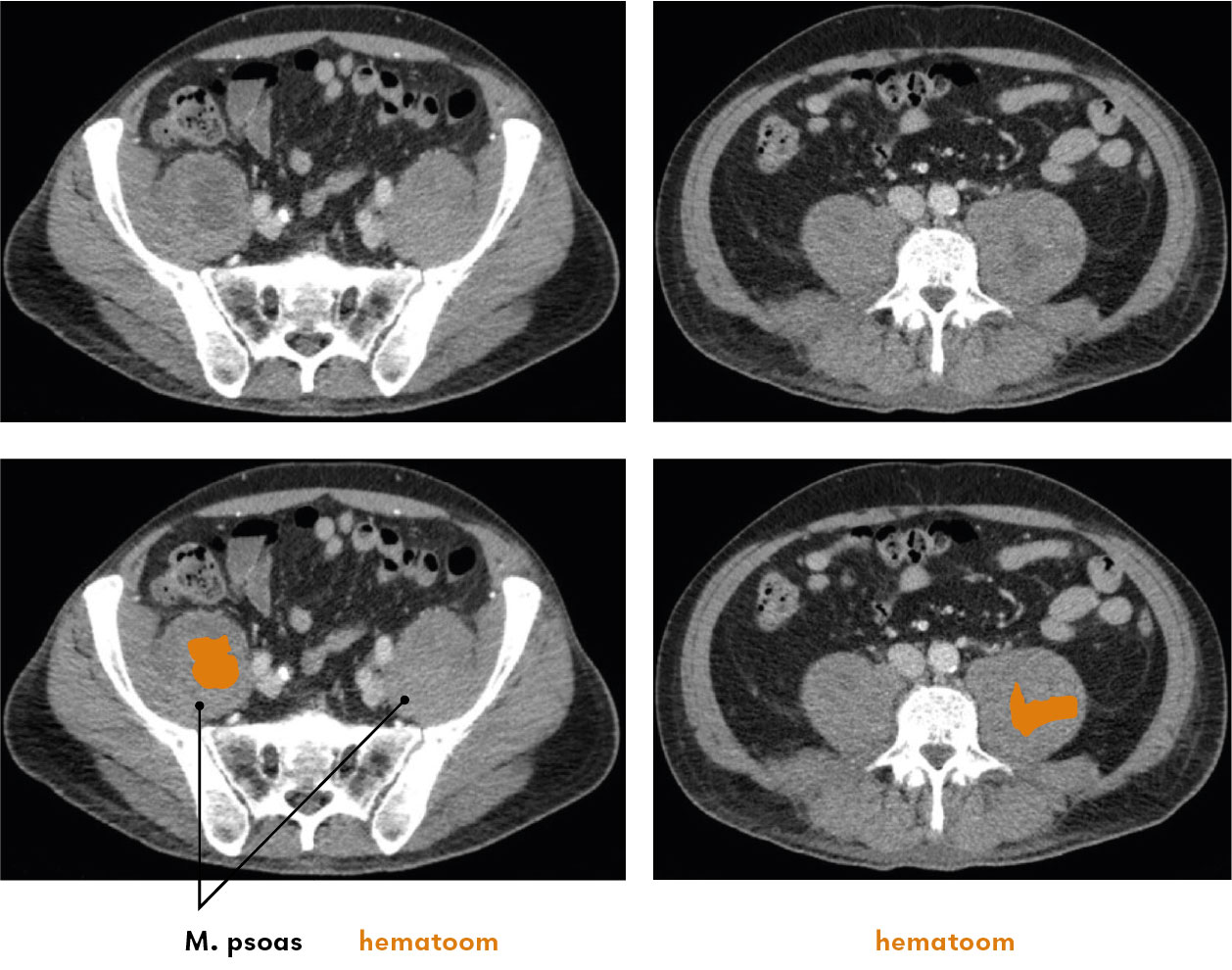
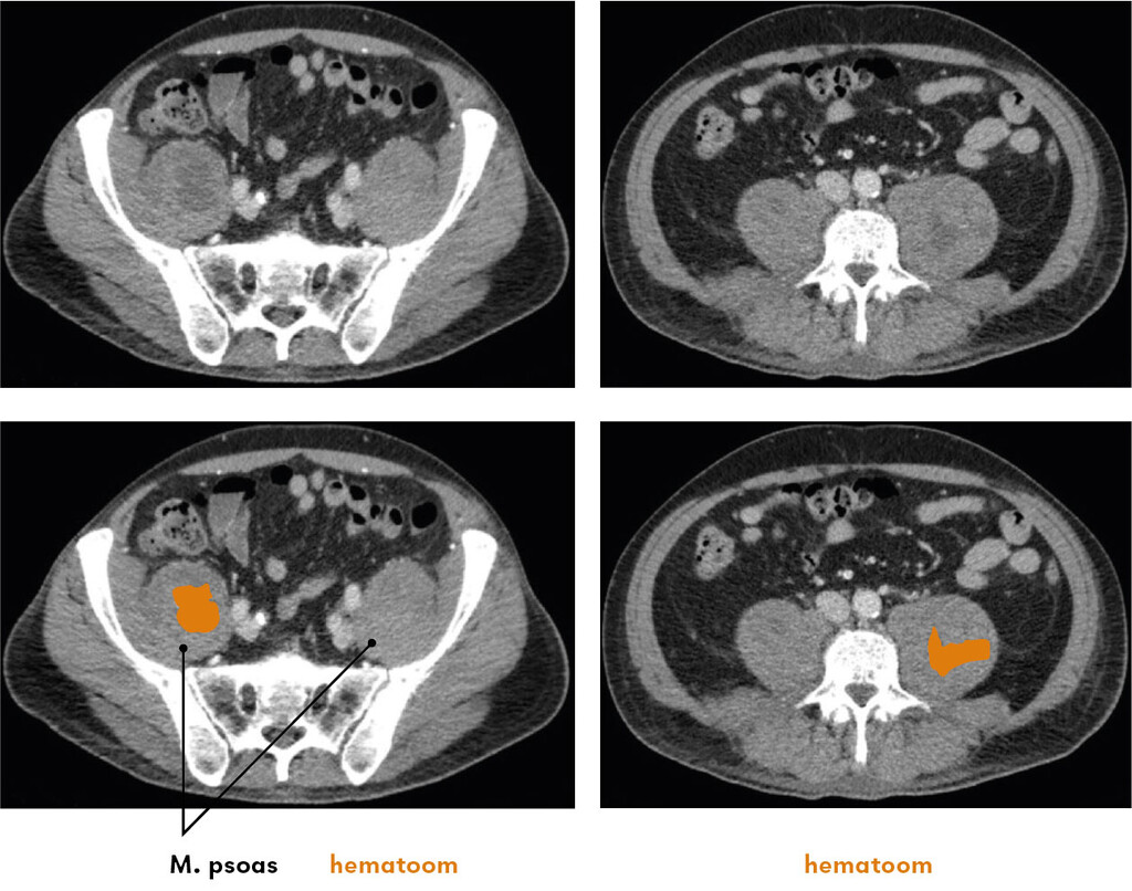
Figuur 2
Figuur 2
CT-scans met contrast (transversale coupe) van een 66-jarige man met pijn in de onderbuik en liezen en spontane ecchymosen in de flanken. Hierop is bilateraal een iliopsoashematoom te zien zonder contrastextravasaat.

Diagnose

Bilateraal iliopsoashematoom.

Auteursinformatie

Radboudumc, afd. Spoedeisende Hulp, Nijmegen: drs. S. de Wilde-van der Plaat, anios. Rijnstate ziekenhuis, afd. Spoedeisende Hulp, Arnhem: drs. D. Rijpsma, SEH-arts.

Contact S. de Wilde-van der Plaat (sofie.vanderplaat@radboudumc.nl)

Belangenverstrengeling

Belangenconflict en financiële ondersteuning: geen gemeld.

Auteur Belangenverstrengeling
Sofie de Wilde-van der Plaat ICMJE-formulier
Douwe Rijpsma ICMJE-formulier
Heb je nog vragen na het lezen van dit artikel?
Check onze AI-tool en verbaas je over de antwoorden.
ASK NTVG

Ook interessant

Reacties