Als coeliakie niet beter wordt

Klinische praktijk
Abstract
Roy L.J. van Wanrooij
E. Andra Neefjes-Borst
B. Mary E. von Blomberg
Chris J.J. Mulder
Gerd Bouma
Download PDF

artikel

Dames en Heren,

Coeliakie is een chronische darmziekte veroorzaakt door intolerantie tegen gliadine, een eiwit dat voorkomt in tarwe, rogge en gerst. Hierdoor ontstaat een chronische ontstekingsreactie in de dunne darm die leidt tot vlokatrofie en dientengevolge het optreden van diarree, buikpijn en malabsorptie. Tijdens deze ontstekingsreactie ontstaan er antistoffen tegen zowel gliadine als weefseltransglutaminase, een enzym dat uit cellen vrijkomt als gevolg van weefselschade. Hierdoor is er bij coeliakie zowel sprake van een voedingsintolerantie als van een auto-immuunaandoening.

Een glutenvrij dieet leidt meestal tot een snelle verbetering van de klachten met verdwijnen van de antistoffen en volledig herstel van de dunne darmmucosa. Bij een kleine groep patiënten persisteren of recidiveren de klachten echter, ondanks een strikt glutenvrij dieet.1 Dit kan diverse oorzaken hebben die wij aan de hand van de volgende casussen illustreren.

Patiënt A is een 62-jarige vrouw met coeliakie waarvoor zij sinds 1 jaar een glutenvrij dieet volgt. Onderzoek dat bij presentatie van de klachten 1 jaar geleden werd verricht toonde volledige vlokatrofie in de duodenumbiopten en sterk verhoogde serumwaarden van weefseltransglutaminaseantistoffen (TGA). Initieel leidde het glutenvrij dieet tot sterke verbetering van haar diarreeklachten. 7 maanden na het begin van het dieet ontstonden er echter toenemende klachten van diarree met daarbij gewichtsverlies.

Wij namen de patiënt op. Bij opname woog zij 49 kg bij een lengte van 1,63 m (BMI: 18,4 kg/m2). Bloedonderzoek liet tekenen van malabsorptie zien: naast een hypoalbuminemie van 29 g/l (referentiewaarde: 35-52) bestonden er deficiënties van zowel vetoplosbare als wateroplosbare vitamines, ijzer en zink. Bij gastroduodenoscopie zag het duodenumslijmvlies er glad en atrofisch uit (figuur 1). Bij histologisch onderzoek van het duodenum viel op dat de darmvlokken waren beschadigd, passend bij actieve coeliakie (stadium IIIB volgens de marsh-classificatie; voor uitleg zie kader). Antistoffen tegen weefseltransglutaminase waren evenwel niet meer aantoonbaar. Derhalve dachten wij differentiaaldiagnostisch aan andere oorzaken van vlokatrofie. Onderzoek naar een infectieuze oorzaak gaf geen positieve bevindingen. Met name waren er geen aanwijzingen voor de ziekte van Whipple (veroorzaakt door Tropheryma whipplei) en giardiasis (veroorzaakt door Giardia lamblia). Evenmin werden er aanwijzingen gevonden voor andere, zeldzamere oorzaken van vlokatrofie, zoals samengevat in de tabel.

Figuur 1
Figuur 2

Op basis van de combinatie van persisterende vlokatrofie, ondanks goede dieettrouw, en afwezigheid van andere dunnedarmziekten werd de diagnose ‘refractaire coeliakie’ gesteld. Refractaire coeliakie kan bij een klein deel van de patiënten een voorbode zijn van een agressief T-cellymfoom. Daarom werd hiernaar uitgebreid onderzoek ingezet. Immunofenotypering van de lymfocyten uit het dunne-darmepitheel liet echter geen afwijkende lymfocyten zien. Beeldvorming van het abdomen middels een MRI-scan liet evenmin aanwijzingen voor een lymfoom zien.

Hierop werd gestart met immuunsuppressieve therapie in de vorm van prednison in combinatie met een purine-antagonist (tioguanine). Na 6 weken was de diarree verdwenen, de serumwaarde van albumine gestegen tot 32 g/l en het gewicht met 4 kg toegenomen. De dosering prednison kon worden afgebouwd en de onderhoudsbehandeling met een lage dosis tioguanine werd gecontinueerd. Biopten, die 1 jaar na start van behandeling werden genomen, toonden op histologisch beeld volledig herstel van de mucosa (figuur 2).

Figuur 3

Patiënt B, een 66-jarige vrouw, was 12 jaar eerder gediagnosticeerd met coeliakie. Zij was met het volgen van een glutenvrij dieet klinisch goed hersteld en de coeliakie-gerelateerde antistoffen in het serum waren verdwenen. In verband met toenemende diarree sinds 9 maanden en ondergewicht van 44 kg bij een lengte van 1,65 m (BMI: 16,2 kg/m2) werd patiënt elders opgenomen. Een duodenumbiopt liet een totale afwezigheid van darmvlokken zien (marsh-stadium IIIC; zie figuur 2). Patiënt werd naar ons verwezen voor nadere analyse.

Bloedonderzoek liet geen aanwezigheid van coeliakie-gerelateerde antistoffen zien. Bij gastroduodenoscopie zagen wij een sterk afwijkend duodenum met uitgebreide ulceraties. Dit laatste wordt bij coeliakie normaliter nooit gezien. Daarom zetten wij uitgebreid onderzoek in naar andere oorzaken van vlokatrofie. In tegenstelling tot patiënt A liet immunofenotypering van de intra-epitheliale lymfocyten uit het duodenum wel een grote populatie afwijkende (aberrante) T-cellen zien (figuur 3). Van deze cellen is bekend dat ze een hoog risico hebben om te evolueren tot een agressief T-cellymfoom. Aanvullende beeldvorming middels een MRI-scan liet geen aanwijzingen voor een lymfoom zien.

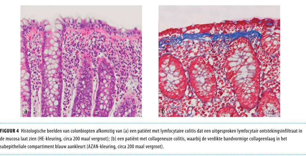
Figuur 4

Op basis van deze bevindingen stelden wij de diagnose ‘refractaire coeliakie met een aberrante T-celpopulatie’. Vanwege de aanwezigheid van deze premaligne aberrante T-cellen kreeg patiënte een 5-daagse intraveneuze behandeling met het chemotherapeuticum cladribine. 3 maanden na de cladribinekuur werd er vlokherstel in het duodenum waargenomen en tot op heden, 3 jaar later, heeft patiënte geen diarree meer en heeft zich geen lymfoom ontwikkeld.

Patiënt C, een 38-jarig vrouw bij wie 5 jaar eerder coeliakie was gediagnosticeerd, werd naar ons doorverwezen in verband met persisterende diarree. De diagnose ‘coeliakie’ was gesteld op basis van aanwezigheid van TGA, alsmede aanwezigheid van vlokatrofie in het duodenumbiopt. Een strikt glutenvrij dieet had geleid tot een aanzienlijke verbetering van haar klachten en tot verdwijnen van de antistoffen. Desondanks hield zij meer dan 5 keer daags dunne ontlasting, ook vaak ’s nachts, zonder bijmenging van bloed of slijm.

Hierop verrichtten wij een gastroduodenoscopie. De afgenomen duodenumbiopten lieten volledig herstel van de vlokken zien. Feceskweken waren negatief. De aanwezigheid van pancreasinsufficiëntie als oorzaak voor de diarree werd uitgesloten middels elastasebepaling in de feces. Met een H2-ademtest werden lactasedeficiëntie en bacteriële overgroei uitgesloten. Derhalve dachten wij differentiaaldiagnostisch aan een oorzaak in het colon als verklaring voor de persisterende diarree. Patiënt onderging een ileocoloscopie. Hierbij werden macroscopisch geen afwijkingen gezien. Biopten uit het colon lieten echter een prominent aanwezig lymfocytair infiltraat zien in het epitheel, passend bij microscopische colitis (figuur 4). Er werd begonnen met behandeling met een lokaal werkend glucocorticoïd in de vorm van budesonide, waarna de defecatie volledig normaliseerde tot eenmaal daags goed gevormde ontlasting.

Figuur 5

Beschouwing

Coeliakie

Coeliakie is in de westerse wereld de meest voorkomende oorzaak van vlokatrofie, met een prevalentie van 0,6%.2 Bij deze patiënten bindt gliadine, een onderdeel van het gluten dat voorkomt in tarwe, rogge en gerst, aan een HLA-DQ2.5- of HLA-DQ8-molecuul. Dit complex wordt op de celmembraan van zogenaamde antigeenpresenterende cellen tot expressie gebracht en herkend door T-lymfocyten, waardoor een immunologische respons in de dunne darm ontstaat.3 Aanwezigheid van deze erfelijke HLA-factoren is noodzakelijk om de ziekte te kunnen ontwikkelen. Alle 3 beschreven patiënten waren inderdaad positief voor HLA-DQ2.5.

Voor bepaling van de mate van vlokatrofie wordt de gemodificeerde marsh-classificatie gebruikt zoals beschreven in het uitlegkader. De duodenale schade kan tot ernstige malabsorptie leiden met het optreden van gewichtsverlies, hypoalbuminemie, anemie, osteoporose en andere vitaminedeficiënties, zoals de eerste 2 casussen illustreren. Overigens hoeft dit niet altijd het geval te zijn. Dit blijkt uit het rijke palet aan klinische verschijningsvormen van coeliakie, variërend van de klassieke vorm met ernstige malabsorptie tot asymptomatische vormen die veelal bij toeval door middel van screeningsonderzoek worden gevonden.

Tijdens de ontstekingsreactie worden er antilichamen tegen zowel gliadine als het enzym weefseltransglutaminase gevormd. Weefseltransglutaminase-antistoffen (TGA) kunnen behalve met een ELISA ook worden aangetoond met een immunofluorescentietest op weefsel, de zogenaamde endomysiumantistoffen (EMA). De aanwezigheid van IgA-TGA en IgA-EMA is, met name in combinatie, zeer sensitief (98%) en specifiek (100%) voor het aantonen van de aanwezigheid van coeliakie.4 Gliadine-antistoffen zijn aspecifiek en bepaling daarvan heeft geen plaats meer in de diagnostiek. Overigens dient bij een negatieve testuitslag het serum-IgA te worden bepaald, omdat geïsoleerde IgA-deficiënties relatief vaak voorkomen bij coeliakiepatiënten waardoor de test fout-negatief kan zijn. Tot slot zijn er incidenteel ‘seronegatieve’ coeliakiepatiënten beschreven, bij wie coeliakie-gerelateerde antistoffen in het bloed onmeetbaar zijn, hoewel deze wel in de darmmucosa worden aangetoond.4

Persisteren of recidiveren van klachten

In het merendeel van de patiënten resulteert het volgen van een glutenvrij dieet binnen enkele weken tot maanden in een afname van klachten. De mate van therapietrouw kan in het algemeen goed vervolgd worden door de antistoftiters te bepalen. Bij een deel van de coeliakiepatiënten persisteren of recidiveren de klachten ondanks een strikt glutenvrij dieet.1 Dit kan verschillende oorzaken hebben (figuur 5).

Figuur 6

Aangezien (onbewuste) gluteningestie de meest voorkomende oorzaak is van niet-reagerende coeliakie dienen eerst de TGA- en EMA-titers bepaald te worden, eventueel gevolgd door evaluatie door een gespecialiseerde diëtiste. Zeker in de initiële fase van het glutenvrij dieet kunnen patiënten, door schade aan de enterocyt, last hebben van een secundaire lactose-intolerantie. Verder kan pancreasinsufficiëntie ook steatorroe veroorzaken en kunnen parasitaire infecties en bacteriële overgroei van de dunne darm ook gepaard gaan met diarree, buikpijn en vlokatrofie. Indien deze aandoeningen onwaarschijnlijk dan wel uitgesloten zijn, is herhaling van de gastroduodenoscopie geïndiceerd.

Persisterende duodenale afwijkingen

Indien er, ondanks een strikt glutenvrij dieet en in afwezigheid van TGA en EMA, sprake blijft van histologische afwijkingen in het duodenum, zoals bij patiënt A en B, zal de initiële diagnose ‘coeliakie’ moeten worden heroverwogen. Hierbij dient te worden nagegaan of coeliakie-specifieke antistoffen aanwezig waren tijdens diagnose, of er sprake is van een passend HLA-DQ-genotype en of er klinisch, dan wel histologisch herstel op een glutenvrij dieet is geweest. Hoewel coeliakie de meest voorkomende oorzaak van vlokatrofie is, kunnen ook auto-immune enteropathie – onlangs nog beschreven in het Tijdschrift–, immuundeficiënties, infecties met Giardia lamblia of met Tropheryma whipplei vlokatrofie veroorzaken. Deze en zeldzamere oorzaken, zoals vermeld in de tabel, dienen te worden geëvalueerd. Na het uitsluiten van deze oorzaken kan worden gesproken van ‘refractaire coeliakie’.

Refractaire coeliakie

Refractaire coeliakie is een zeldzame aandoening die wordt gedefinieerd als ‘coeliakie met persisterende klachten en vlokatrofie ondanks het volgen van een strikt glutenvrij dieet, waarbij de antistoftiters genormaliseerd zijn en andere aandoeningen zijn uitgesloten’. Binnen de diagnose ‘refractaire coeliakie’ wordt nog onderscheid gemaakt in 2 typen op basis van de aan- of afwezigheid van een monoclonale ‘aberrante’ T-celpopulatie in het dunne-darmepitheel. Verondersteld wordt dat deze abnormale T-cellen kunnen ontaarden in een agressief lymfoom, het enteropathie-geassocieerd T-cellymfoom.5

Deze populatie cellen is afwezig bij refractaire coeliakie type I (RCD1) en deze patiënten hebben geen verhoogd risico op het ontwikkelen van een dergelijk T-cellymfoom. De oorzaak van RCD1 is onbekend, en is een diagnose per exclusionem. RCD1-patiënten worden behandeld met immuunsuppressieve medicamenten, zoals prednison en purine-antagonisten. Deze combinatie leidt bij het merendeel van de RCD1-patiënten, zoals bij patiënt A, tot klinische verbetering en een niet-afwijkende 5-jaarsoverleving.6

Indien er sprake is van een monoclonale T-celpopulatie met een specifiek afwijkend fenotype (zie figuur 3) wordt er gesproken van ‘refractaire coeliakie type II’ (RCD2). De helft van de patiënten ontwikkelt binnen 5 jaar na deze diagnose een lymfoom met een infauste prognose.6 De pathogenese van RCD2 is onbekend. RCD2-patiënten worden behandeld met cladribine, een chemotherapeuticum dat apoptose van T- en B-lymfocyten induceert. Bij de helft van de patiënten, zoals bij patiënt B, leidt dit tot histologische remissie.7 Indien de behandeling niet aanslaat of het klinisch beeld bij patiënten opnieuw verslechtert, volgt eventueel autologe stamceltransplantatie. Het principe van autologe stamceltransplantatie is dat het immuunsysteem, inclusief de aberrante cellen, wordt vernietigd middels chemotherapie waarna hematologische stamcellen die voorafgaand aan de chemotherapie zijn geïsoleerd, worden teruggegeven. Deze aanpak leidt tot een sterke vermindering van het aantal RCD2-patiënten dat een enteropathie-geassocieerd T-cellymfoom ontwikkelt.7

Omdat er aanwijzingen bestaan dat een glutenvrij dieet zou beschermen tegen het ontwikkelen van een enteropathie-geassocieerd T-cellymfoom, leeft bij veel coeliakiepatiënten de angst voor het ontstaan van dit ziektebeeld wanneer het glutenvrij dieet niet strikt wordt gevolgd.8 Het absolute risico is echter zeer laag; in Nederland ontwikkelen naar schatting ongeveer 20 patiënten per jaar een enteropathie-geassocieerd T-cellymfoom.8

Geen duodenale afwijkingen: onderzoek het colon

Microscopische colitis is een vorm van colitis waarbij bij endoscopie geen afwijkingen worden gezien, maar wel bij histologisch onderzoek. Microscopische colitis komt ongeveer 50 keer vaker voor bij coeliakiepatiënten dan in de gezonde populatie.9 Zoals bij patiënt C het geval was, kunnen de klachten van microscopische colitis sterk lijken op die van coeliakie en daarom dient bij persisterende klachten ondanks glutenvrij dieet altijd aan de aanwezigheid van deze aandoening te worden gedacht.

Microscopische colitis wordt histologisch onderscheiden in 2 vormen: lymfocytaire colitis en collageneuze colitis. Lymfocytaire colitis wordt gekenmerkt door een lymfocyteninfiltraat in de epitheel- en subepitheellaag van het colon, terwijl er bij collageneuze colitis sprake is van een verdikte subepitheliale collageenband, waarbij ook een ontstekingsfiltraat aanwezig kan zijn (zie figuur 4). Histologische transities tussen beide vormen suggereren een gemeenschappelijke oorzakelijke component.10 Het optreden van waterige diarree is het voornaamste symptoom, soms in combinatie met gewichtsverlies en buikpijn.

Voor patiënten met lichte klachten blijkt gebruik van loperamide soms effectief. Budesonide, een topicaal werkend glucocorticoïd met een hoog first-pass-effect in de lever waardoor nauwelijks systemische bijwerkingen ontstaan, is meestal effectief, maar na het stoppen van inname van budenoside recidiveren de klachten vaak. In ons centrum hebben we bij deze patiënten goede ervaringen met een lage dosering purine-antagonisten.

Dames en Heren, wanneer een coeliakiepatiënt persisterende of recidiverende klachten heeft, blijkt onbewuste gluteningestie meestal de oorzaak van de klachten. Bij persisterende duodenale afwijkingen moet aan andere oorzaken worden gedacht, zoals beschreven in deze les. Refractaire coeliakie is een zeldzame vorm van coeliakie die bij een deel van de patiënten leidt tot het ontstaan van een enteropathie-geassocieerd T-cellymfoom. Indien er sprake is van een intacte duodenummucosa, is microscopische colitis een vaak onderschatte en goed behandelbare oorzaak van persisterende diarree bij coeliakiepatiënten.

Leerpunten

  • Coeliakie is de meest voorkomende en meest herkende vorm van vlokatrofie.

  • Wanneer een coeliakiepatiënt ondanks het volgen van een glutenvrij dieet toch persisterende of recidiverende klachten of vlokatrofie heeft, blijkt onbewuste gluteningestie meestal de oorzaak hiervan.

  • Bij persisterende klachten ondanks een hersteld duodenum, is microscopische colitis een onderschatte en goed behandelbare oorzaak.

  • Bij het aanhouden van duodenumafwijkingen ondanks het volgen van een strikt glutenvrij dieet dienen zeldzame oorzaken te worden uitgesloten.

Uitleg

Marsh-classificatie Om bij coeliakie de mate van de vlokatrofie in duodenumbiopten histologisch te classificeren, wordt de gemodificeerde marsh-classificatie gebruikt. Een niet-afwijkend duodenumbiopt wordt afgegeven als marsh-stadium 0. Indien er in het duodenumbiopt alleen sprake is van intra-epitheliale lymfocytose, wordt er gesproken van marsh-stadium I. Is er bovendien sprake van crypthyperplasie dan wordt het biopt geclassificeerd als marsh-stadium II. Bij marsh-stadium III is er daarnaast sprake van vlokatrofie. Om de ernst van de darmschade te beoordelen, wordt nog onderscheid gemaakt tussen partiële vlokatrofie (marsh-stadium IIIA), subtotale vlokatrofie (marsh-stadium IIIB) en totale vlokatrofie (marsh-stadium IIIC). De marsh-classificatie wordt ook bij andere dunnedarmaandoeningen gebruikt, vooral bij aanwezigheid van vlokatrofie.

Literatuur
  1. Leffler DA, Dennis M, Hyett B, Kelly E, Schuppan D, Kelly CP. Etiologies and predictors of diagnosis in nonresponsive celiac disease. Clin Gastroenterol Hepatol. 2007;5:445-50 Medline. doi:10.1016/j.cgh.2006.12.006

  2. Biagi F, Klersy C, Balduzzi D, Corazza GR. Are we not over-estimating the prevalence of coeliac disease in the general population? Ann Med. 2010;42:557-61 Medline. doi:10.3109/07853890.2010.523229

  3. Jabri B, Sollid LM. Tissue-mediated control of immunopathology in coeliac disease. Nat Rev Immunol. 2009;9:858-70 Medline. doi:10.1038/nri2670

  4. Lindfors K, Koskinen O, Kaukinen K. An update on the diagnostics of celiac disease. Int Rev Immunol. 2011;30:185-96 Medline. doi:10.3109/08830185.2011.595854

  5. Cellier C, Patey N, Mauvieux L, et al. Abnormal intestinal intraepithelial lymphocytes in refractory sprue. Gastroenterology. 1998;114:471-81 Medline. doi:10.1016/S0016-5085(98)70530-X

  6. Al-Toma A, Verbeek WH, Hadithi M, von Blomberg BM, Mulder CJ. Survival in refractory coeliac disease and enteropathy-associated T-cell lymphoma: retrospective evaluation of single-centre experience. Gut. 2007;56:1373-8 Medline. doi:10.1136/gut.2006.114512

  7. Tack GJ, Verbeek WH, Al-Toma A, et al. Evaluation of Cladribine treatment in refractory celiac disease type II. World J Gastroenterol. 2011;17:506-13 Medline. doi:10.3748/wjg.v17.i4.506

  8. Verbeek WH, van de Water JM, Al-Toma A, Oudejans JJ, Mulder CJ, Coupe VM. Incidence of enteropathy-associated T-cell lymphoma: a nation-wide study of a population-based registry in The Netherlands. Scand J Gastroenterol. 2008;43:1322-8 Medline. doi:10.1080/00365520802240222

  9. Stewart M, Andrews CN, Urbanski S, Beck PL, Storr M. The association of coeliac disease and microscopic colitis: a large population-based study. Aliment Pharmacol Ther. 2011;33:1340-9 Medline. doi:10.1111/j.1365-2036.2011.04666.x

  10. Pardi DS, Kelly CP. Microscopic colitis. Gastroenterology. 2011;140:1155-65 Medline. doi:10.1053/j.gastro.2011.02.003

Auteursinformatie

VU medisch centrum, Amsterdam.

Afd. Maag-, Darm- en Leverziekten: drs. R.L.J. van Wanrooij, arts-onderzoeker; prof.dr. C.J.J. Mulder en dr. G. Bouma, maag-darm-leverartsen.

Afd. Pathologie: drs. E. A. Neefjes-Borst, patholoog; dr. B.M.E. von Blomberg, medisch immunoloog.

Contact drs. R.L.J. van Wanrooij (rl.vanwanrooij@vumc.nl)

Verantwoording

Belangenconflict: geen gemeld. Financiële ondersteuning: de aanstelling van drs. R.L.J. van Wanrooij wordt gefinancierd door het Celiac Disease Consortium.
Aanvaard op 27 april 2012

Auteur Belangenverstrengeling
Roy L.J. van Wanrooij ICMJE-formulier
E. Andra Neefjes-Borst ICMJE-formulier
B. Mary E. von Blomberg ICMJE-formulier
Chris J.J. Mulder ICMJE-formulier
Gerd Bouma ICMJE-formulier
Heb je nog vragen na het lezen van dit artikel?
Check onze AI-tool en verbaas je over de antwoorden.
ASK NTVG

Ook interessant

Reacties