Afwijkingen op een thoraxfoto

Wat is de diagnose?
Abstract
Pieta C. Wijsman
Wouter de Monyé

Casus

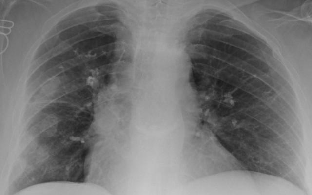
Een 59-jarige vrouw kwam op de Spoedeisende Hulp vanwege kortademigheid. Zij had ’s nachts een koude rilling gehad en een temperatuur van 38,9 °C. De voorgeschiedenis van patiënte vermeldde inzakkingsfracturen en ribfracturen. Bij lichamelijk onderzoek zagen we een niet acuut zieke vrouw met een temperatuur van 37,1 °C, een polsslag van 86/min, een ademhalingsfrequentie van 16/min en een zuustofsaturatie van 94%. Bij auscultatie van de longen hoorden wij beiderzijds midthoracaal lichte crepitaties. Bij laboratoriumonderzoek was de CRP-waarde 77 mg/l. Vanwege de verdenking op een pneumonie werd een röntgenfoto van de thorax gemaakt. Hierop werden meerdere scherp begrensde bolvormige structuren…

Auteursinformatie

Spaarne Gasthuis, Haarlem/Hoofddorp. Afd. Longziekten: drs. P.C. Wijsman, anios longgeneeskunde. Afd. Radiologie: dr. W. de Monyé, radioloog.

Contact P.C. Wijsman (pietawijsman@live.nl)

Belangenverstrengeling

Belangenconflict en financiële ondersteuning: geen gemeld.

Auteur Belangenverstrengeling
Pieta C. Wijsman ICMJE-formulier
Wouter de Monyé ICMJE-formulier
Heb je nog vragen na het lezen van dit artikel?
Check onze AI-tool en verbaas je over de antwoorden.
ASK NTVG

Ook interessant

Reacties