Een vrouw met pulmonale klachten na re-spondylodese

Röntgenbeeld
Abstract
Julia G.L. Olislagers
Roy T.M. Sprooten
Frits M.E. Franssen

Casus

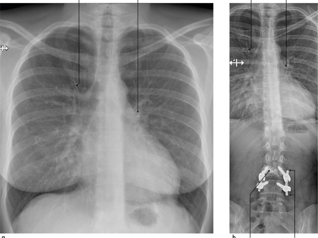
Een 36-jarige vrouw zonder pulmonale voorgeschiedenis kwam bij de huisarts met sinds vijf weken bestaande hoestklachten en dyspneu. Vanwege het vermoeden van een pneumonie kreeg zij een kuur amoxicilline. Omdat de klachten aanhielden, liet de huisarts een X-thorax verrichten (figuur a). Vanwege een afwijkend longbeeld werd de patiënte verwezen naar de polikliniek Longziekten. Aldaar meldde zij behalve hoesten en dyspneu ook thoracale pijn aan de linkerzijde. Bij lichamelijk onderzoek was er geen sprake van tachypneu en waren de longgeluiden niet afwijkend. We vergeleken de thoraxfoto met een röntgenfoto van de wervelkolom die een jaar eerder was verricht (figuur b)…

Auteursinformatie

MUMC+, afd. Longziekten, Maastricht: drs. J.G.L. Olislagers, arts-assistent longziekten; dr. R.T.M. Sprooten en prof.dr. F.M.E. Franssen, longartsen.

Contact J.G.L. Olislagers (juliaolislagers@ziggo.nl)

Belangenverstrengeling

Belangenconflict en financiële ondersteuning: er zijn mogelijke belangen gemeld bij dit artikel. ICMJE-formulieren met de belangenverklaring van de auteurs zijn online beschikbaar bij dit artikel.

Auteur Belangenverstrengeling
Julia G.L. Olislagers ICMJE-formulier
Roy T.M. Sprooten ICMJE-formulier
Frits M.E. Franssen ICMJE-formulier
Dit artikel is gepubliceerd in het dossier
Huisartsgeneeskunde
Astma en COPD
Heb je nog vragen na het lezen van dit artikel?
Check onze AI-tool en verbaas je over de antwoorden.
ASK NTVG

Ook interessant

Reacties