Stressfracturen van de heup

Stressfracturen van de heup komen vaker voor bij atleten en militairen vanwege de grote afstanden die zij te voet afleggen.
Abstract
Siem A. Willems
Erik H. Pasveer
Willemijn H.F. Huijgen
Alexander P.A. Greeven

Dames en Heren,

Stressfracturen van de heup zijn relatief zeldzaam en worden veroorzaakt door repetitieve krachten op de femurhals met onvoldoende tijd om te herstellen. Dit fractuurtype komt vaker voor bij atleten en militairen vanwege de grote afstanden die zij te voet afleggen. In dit artikel beschrijven wij aan de hand van 2 patiënten de verschillende typen stressfracturen van de heup en de bijbehorende behandeling.

Patiënt A, een 74-jarige vrouw met alcoholabusus in de voorgeschiedenis, werd per ambulance naar het ziekenhuis gebracht nadat zij in huis gevallen was. De toedracht van de val was niet duidelijk.

Patiënte was geïntoxiceerd waardoor de anamnese niet betrouwbaar was. Bij lichamelijk onderzoek ervoer zij ernstige pijn bij passieve flexie van de linker heup. Ook was er sprake van sensibele uitval aan de laterale zijde van het onderbeen. Een conventionele röntgenfoto van de heup liet geen fracturen zien (figuur 1). Vanwege de pijn verrichtten wij een CT-scan van het bekken. De CT-scan liet een fractuur zien aan de laterale zijde van de rechter femurhals, passend bij een stressfractuur van het spanningstype (figuur 2).

Figuur 1
Röntgenfoto van de heup van patiënt A
Figuur 1 | Röntgenfoto van de heup van patiënt A
Een conventionele röntgenfoto van de rechter heup van een 74-jarige vrouw na een val in huis. Er zijn geen fracturen van het proximale femur of van het os pubis zichtbaar. De femurhals is echter lastig te beoordelen doordat het trochanter major deels over de femurhals projecteert. Dit komt in de praktijk vaker voor en leidt tot een lagere sensitiviteit van een conventionele röntgenfoto bij collumfracturen.
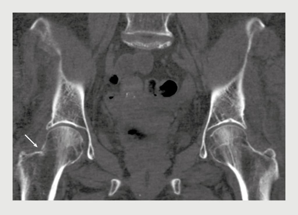
Figuur 2
CT-scan van het bekken van patiënt A
Figuur 2 | CT-scan van het bekken van patiënt A
Coronale opname van een CT-scan van het bekken van patiënt A. Er is een partiële fractuurlijn zichtbaar die haaks staat op de laterale cortex van de rechter femurhals, passend bij een stressfractuur van het spanningstype. Rond de fractuur is enige sclerose zichtbaar.

Gezien het feit dat patiënte bekend was met chronische alcoholabusus en het risico op osteoporose daardoor verhoogd was, concludeerden wij dat het ging om een insufficiëntiefractuur (zie uitleg). Osteomalacie werd minder waarschijnlijk geacht als onderliggende oorzaak van…

Auteursinformatie

HagaZiekenhuis, afd. Heelkunde, Den Haag: drs. S.A. Willems, anios; drs. E.H. Pasveer, aios; drs. W.H.F. Huijgen, radioloog; dr. Alexander P.A. Greeven, chirurg.

Contact S.A. Willems (s.willems@hagaziekenhuis.nl)

Belangenverstrengeling

Belangenconflict en financiële ondersteuning: geen gemeld.

Verantwoording

Drs. S.A. Willems en drs. E.H. Pasveer hebben een gelijke bijdrage geleverd aan dit artikel en zijn daarom gedeeld eerste auteur.

Auteur Belangenverstrengeling
Siem A. Willems ICMJE-formulier
Erik H. Pasveer ICMJE-formulier
Willemijn H.F. Huijgen ICMJE-formulier
Alexander P.A. Greeven ICMJE-formulier
Heb je nog vragen na het lezen van dit artikel?
Check onze AI-tool en verbaas je over de antwoorden.
ASK NTVG

Ook interessant

Reacties

Gratis Ask NTVG uitproberen?

Maak met 2 klikken een gratis account aan

Account aanmaken

Heb je al een account of een abonnement? Inloggen

Altijd toegang tot alle publicaties van het NTVG?

Abonneer vandaag nog!

Online toegang tot alle artikelen
Gepersonaliseerde alerts voor artikelen en dossiers
Artikelen voor opleiding en nascholing mét geaccrediteerde toetsen
Onbeperkt luisteren naar de NTVG-podcast
Antwoorden op al je vragen via de AI-toepassing 'Ask NTVG'

Neem het digitaal ntvg abonnement

€ 15,93 per maand!

Ik wil digitaal
NTVG nummer 2 2026
NTVG nummer 3 2026
NTVG nummer 4 2026