Een klinisch dilemma

Neoplastische cysten van het pancreas

Klinische praktijk
Abstract
Myrte Gorris
Marco J. Bruno
Djuna L. Cahen
Paul Fockens
Hjalmar C. van Santvoort
Jeanin E. van Hooft
Marc G. Besselink
Citeren

Dames en Heren,

Door de stijgende levensverwachting en het sterk toegenomen gebruik van beeldvormende onderzoeken worden cysten van het pancreas steeds vaker per toeval ontdekt. Het merendeel van deze cysten is onschuldig, maar zij kunnen ook maligne of premaligne zijn. Kennis van de juiste diagnostiek en behandeling is daarom van belang. In dit artikel bespreken wij aan de hand van 3 casussen het diagnostische traject volgens de nieuwe Europese richtlijn.

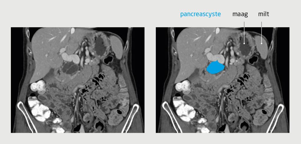
Patiënt A, een 77-jarige, actieve, fitte vrouw met hypertensie en claustrofobie, wordt vanwege buikpijn door de huisarts naar het ziekenhuis verwezen voor echografie van het abdomen. Daarbij wordt een pancreascyste vastgesteld. Aanvullend CT-onderzoek van het abdomen toont een cyste met een diameter van 46 mm en septaties, maar geeft geen duidelijkheid over het type cyste (figuur 1). Patiënt vertelt ons dat zij last heeft van een zeurende pijn boven in de buik. Haar eetlust is goed, de ontlasting is onveranderd en het gewicht is stabiel. De familieanamnese is negatief voor pancreasproblemen.

Figuur 1
Pancreascyste met septaties bij patiënt A
Figuur 1 | Pancreascyste met septaties bij patiënt A
Coronale CT-opname van het abdomen tijdens de portaal veneuze fase van een 77-jarige vrouw, waarop een pancreascyste te zien is met een diameter van 46 mm en septaties.

Omdat MRI-onderzoek niet mogelijk is vanwege claustrofobie, ondergaat patiënte endoscopische ultrasonografie. Daarbij wordt in de pancreaskop een multiloculaire cyste gezien met een diameter van 43 mm en meerdere septaties (figuur 2). De wand van de cyste is niet verdikt en er is geen nodus zichtbaar in de cyste. Om onderscheid te kunnen maken tussen een mucineuze en een niet-mucineuze…

Auteursinformatie

Amsterdam UMC, Amsterdam. Amsterdam Gastroenterology Endocrinology Metabolism, afd. Maag-Darm-Leverziekten: drs. M. Gorris, arts-onderzoeker (tevens: Cancer Center Amsterdam, afd. Chirurgie); prof.dr. P. Fockens, mdl-arts. Cancer Center Amsterdam, afd. Chirurgie: prof.dr. M.G. Besselink*, chirurg. Erasmus MC, afd. Maag-Darm-Leverziekten, Rotterdam: prof.dr. M.J. Bruno en dr. D.L. Cahen, mdl-artsen. St. Antonius Ziekenhuis, afd. Hepato-Pancreato-Biliaire Chirurgie, Nieuwegein: prof.dr. H.C. van Santvoort, chirurg (tevens: UMC Utrecht, Regionaal Academisch Kankercentrum Utrecht). LUMC, afd. Maag-Darm-Leverziekten, Leiden: prof.dr. J.E. van Hooft, mdl-arts.

* Namens de Dutch Pancreatic Cancer Group (DPCG).

Contact M.G. Besselink (m.g.besselink@amsterdamumc.nl)

Belangenverstrengeling

Belangenconflict en financiële ondersteuning: er zijn mogelijke belangen gemeld bij dit artikel. ICMJE-formulieren met de belangenverklaring van de auteurs zijn online beschikbaar bij dit artikel.

Verantwoording

Drs. Marnix P.M. Kop, radioloog (Amsterdam UMC, Amsterdam), beoordeelde de radiologische beelden.

Auteur Belangenverstrengeling
Myrte Gorris ICMJE-formulier
Marco J. Bruno ICMJE-formulier
Djuna L. Cahen ICMJE-formulier
Paul Fockens ICMJE-formulier
Hjalmar C. van Santvoort ICMJE-formulier
Jeanin E. van Hooft ICMJE-formulier
Marc G. Besselink ICMJE-formulier
Dit artikel is gepubliceerd in het dossier
Huisartsgeneeskunde

Ook interessant

Reacties

Gratis Ask NTVG uitproberen?

Maak met 2 klikken een gratis account aan

Account aanmaken

Heb je al een account of een abonnement? Inloggen

Altijd toegang tot alle publicaties van het NTVG?

Abonneer vandaag nog!

Online toegang tot alle artikelen
Gepersonaliseerde alerts voor artikelen en dossiers
Artikelen voor opleiding en nascholing mét geaccrediteerde toetsen
Onbeperkt luisteren naar de NTVG-podcast
Antwoorden op al je vragen via de AI-toepassing 'Ask NTVG'

Neem het digitaal ntvg abonnement

€ 15,93 per maand!

Ik wil digitaal
NTVG nummer 2 2026
NTVG nummer 3 2026
NTVG nummer 4 2026