Dames en Heren,
In westerse landen is het pyogene leverabces het meest voorkomende leverabces. Een pyogeen leverabces ontstaat meestal secundair aan een infectie elders in het lichaam. Om de primaire infectieplaats te achterhalen is een uitgebreide anamnese noodzakelijk. In de anamnese van een patiënt met een leverabces mag geen enkele potentiële infectiehaard overgeslagen worden.
Kernpunten
Een pyogeen leverabces ontstaat meestal secundair aan een infectie elders in het lichaam.
Vroeger werd het pyogene leverabces vooral gezien bij jonge mannen met geperforeerde appendicitis, maar tegenwoordig vooral bij de oudere patiënt met meerdere comorbiditeiten.
De meest voorkomende primaire infectiehaarden zijn van colorectale of biliaire oorsprong.
Bij een leverabces met onbekende primaire infectiehaard dient een uitgebreide orofaryngeale anamnese en inspectie te worden verricht.
Fusobacterium -species zijn vooral bekend als verwekkers van het syndroom van Lemierre en orofaryngeale infecties, maar zijn mogelijk pathogeen voor het hele lichaam.
Bij een positieve kweek met Fusobacterium sp. dient echografie of CT verricht te worden om een tromboflebitis van de Vv. jugulares uit te sluiten; bij een leverabces veroorzaakt door Fusobacterium necrophorum of F. nucleatum kan colonoscopie overwogen worden.
artikel
In deze klinische les presenteren wij twee patiënten met een leverabces dat was ontstaan na een tandheelkundige ingreep, veroorzaakt door hematogene verspreiding van orale bacteriën.
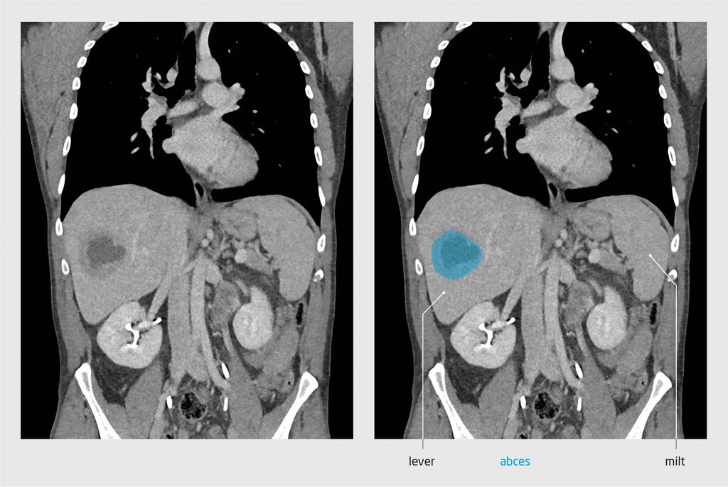
Patiënt A, een 46-jarige man met blanco voorgeschiedenis, meldde zich op de Spoedeisende Hulp met koorts, koude rillingen en dyspneu sinds 3 dagen. Bloedonderzoek toonde verhoogde leverenzymwaarden en sterk verhoogde infectieparameters. Er werden bloedkweken afgenomen. Op de X-thorax werd een mogelijk infiltraat in de rechter hilus gezien. Patiënt kreeg amoxicilline voorgeschreven bij de werkdiagnose ‘pneumonie’ en ging weer naar huis. De bloedkweek toonde 3 dagen later Fusobacterium necrophorum aan. Daarop werd patiënt opgenomen. Er werd een CT-hals/thorax/abdomen verricht, dat een leverabces met een diameter van ongeveer 5,7 cm toonde (figuur 1). De CT toonde geen tromboflebitis in de V. jugularis interna. Bij navraag bleek dat de patiënt 3 maanden eerder een wortelkanaalbehandeling had ondergaan, wat mogelijk de bron was voor het leverabces. De diagnose werd bijgesteld naar pyogeen leverabces, mogelijk syndroom van Lemierre. De patiënt werd behandeld met intraveneus cefuroxim en metronidazol. Het leverabces werd gedraineerd middels echogeleide punctie en uit het drainagevocht werd eveneens Fusobacterium necrophorum gekweekt.
Na behandeling met intraveneuze antibiotica gedurende 8 dagen was de patiënt goed opgeknapt. Hij werd naar huis ontslagen en de intraveneuze behandeling werd omgezet naar clindamycine 600 mg 3 dd per os gedurende 6 weken. Bij poliklinische controle na 6 weken werd colonoscopie verricht, waarbij geen mogelijke infectiehaard werd aangetroffen.
Patiënt B, een 59-jarige man die bekend was met β-thalassemie, meldde zich op de Spoedeisende Hulp met koortspieken, nachtzweten, gewichtsverlies en algehele malaise sinds een paar weken. Ook had hij een pijnlijk gevoel in de rechter bovenbuik en de rechter oksel. Bij lichamelijke onderzoek had patiënt geen koorts en werden geen afwijkingen gevonden. Laboratoriumonderzoek toonde verhoogde leverenzymwaarden en verhoogde infectieparameters. Patiënt werd opgenomen omdat vermoed werd dat hij een maligniteit had.
Vanwege de verdenking op een maligniteit werd CT verricht. De CT-scan toonde een leverabces in leversegment V (figuur 2). Daarop vond drainage van het abces door echogeleide punctie plaats. Kweek van drainagevocht toonde een Fusobacterium nucleatum aan . De behandeling bestond uit intraveneuze toediening van ceftazidim en metronidazol. Bij navraag bleek de patiënt 4 maanden eerder een kiesextractie te hebben ondergaan, wat de bron van de infectie geweest zou kunnen zijn.
Tijdens de opname knapte de patiënt langzaam op en na 4 weken werd hij naar huis ontslagen. De behandeling werd gecontinueerd met clindamycine 600 mg 3 dd per os gedurende 6 weken. Bij poliklinische controle werd een colonoscopie verricht, waarbij geen afwijkingen werden gezien.
Beschouwing
Beide patiënten hadden een leverabces dat was veroorzaakt door een Fusobacterium -species na een ongecompliceerde tandheelkundige ingreep. Het is bekend dat na een tandheelkundige ingreep endocarditis kan optreden door hematogene verspreiding van bacteriën uit de mondholte, maar onze patiënten zijn een voorbeeld van andere complicaties die kunnen optreden.
Pathofysiologie
Peridontale bacteriën kunnen zich hematogeen verspreiden na tandheelkundige manipulatie. Een van de meest gevreesde gevolgen hiervan is, zoals gezegd, een bacteriële endocarditis. Ook een infectie van een gewrichtsimplantaat kan voorkomen.1 De bekendste veroorzaker van bacteriële endocarditis is Streptococcus viridans , een grampositieve commensaal die bijvoorbeeld na manipulatie van de mondkeelholte in de bloedbaan terecht kan komen. Fusobacteriën, waaronder Fusobacterium necrophorum en F. nucleatum , zijn gramnegatieve, anaerobe bacteriën. Deze bacteriën komen voor bij zowel mensen als dieren. Het is bekend dat zij orofaryngeale infecties kunnen veroorzaken, maar mogelijk zijn ze pathogeen voor het gehele lichaam.2
F. necrophorum wordt in verband gebracht met infecties van het hoofd-halsgebied, het abdomen en de tractus urogenitalis van de vrouw. Een van de bekendste ziekten die door deze bacterie wordt veroorzaakt is het syndroom van Lemierre, een combinatie van postanginale sepsis met trombose van de V. jugularis interna. Lemierre publiceerde in 1936 een artikel waarin hij patiënten met een bacteriëmie door F. necrophorum beschrijft, de eerste vermelding van deze bacterie bij de mens.3 18 patiënten stierven aan de gevolgen van de ziekte. Zij hadden allen aanvankelijk een faryngotonsillitis die werd gevolgd door een septische tromboflebitis van de V. jugularis interna. Trombi uit de V. jugularis interna veroorzaakten vervolgens abceshaarden in het hele lichaam.3 De meeste abcessen door F. necrophorum worden gezien in de longen en de hersenen. Metastasering naar de lever is in ongeveer 2-4% van de gevallen beschreven.4
F. nucleatum is een veelvoorkomende opportunistische, commensale bacterie in de orofarynx. De verspreidingsroute van deze bacterie is hematogeen, vanuit de orofarynx of het maag-darmstelsel, bijvoorbeeld bij een diverticulitis of een coloncarcinoom.5 Deze bacterie wordt in verband gebracht met ongunstige uitkomsten van zwangerschap, gastro-intestinale ziekte en een breed spectrum aan extra-orale infecties en afwijkingen als abcessen.6
Epidemiologie
De incidentie van bacteriële endocarditis na een tandheelkundige ingreep wordt in de Verenigde Staten geschat op 1 per 14 miljoen tandheelkundige ingrepen in de gezonde populatie.7 De incidentie van gewrichtsimplantaatontstekingen na tandheelkundige ingrepen is eveneens zeer laag.1 Endocarditis veroorzaakt door gramnegatieve orofaryngeale bacteriën is zeldzaam; er zijn minder dan 120 patiënten met deze vorm van endocarditis beschreven.7 Pyogene leverabcessen ten gevolge van orofaryngeale bacteriën zijn tot nu toe nauwelijks beschreven.
De incidentie van besmetting met Fusobacterium sp. is ongeveer 0,55 besmettingen per 100.000 mensen per jaar. F. nucleatum is verantwoordelijk voor ongeveer 61% van de bacteriëmieën door fusobacteriën, terwijl F. necrophorum gevonden wordt bij slechts 25% van de patiënten. F. necrophorum wordt vooral gezien bij een jonge, mannelijke populatie, terwijl F. nucleatum vaker voorkomt bij oudere patiënten met comorbiditeiten.5 Een leverabces door Fusobacterium sp. na tandheelkundige ingreep is sporadisch gemeld in enkele casusbeschrijvingen.5,8
Symptomen, diagnostiek en behandeling
De symptomen van een leverabces in het algemeen zijn vrij aspecifiek en kunnen bestaan uit koorts, koude rillingen, misselijkheid, braken en pijn in het rechter bovenkwadrant van de buik.9 Bij een jonge patiënt met een faryngitis en een zeer pijnlijke, gezwollen hals, al dan niet met pulmonale symptomen, kan het syndroom van Lemierre overwogen worden.
Bij verdenking op een pyogeen abces moet het abces onder echogeleiding gepuncteerd worden en van het punctaat moet een bacteriekweek ingezet worden. Als de kweek positief is voor Fusobacterium sp. dient echografie of CT verricht te worden om een tromboflebitis van de V. jugularis uit te sluiten. Bij een leverabces is het van belang alert te zijn op tromboflebitis elders in het lichaam.10 Een colonoscopie kan overwogen worden bij patiënten met een leverabces door Fusobacterium sp.
De behandeling van een pyogeen leverabces bestaat uit antibiotische therapie gedurende 6 weken op geleide van de gekweekte pathogenen. Hierbij is van belang dat het middel goed geresorbeerd wordt; de keuze van het antibioticum dient te worden afgestemd op het lokale ziekenhuisprotocol. Voor een Fusobacterium -infectie en het syndroom van Lemierre wordt dezelfde behandeling gegeven, namelijk een combinatie van metronidazol en penicilline.11
Wat had er anders gekund?
Onze patiënten hadden een ongebruikelijke verwekker van een leverabces, namelijk een Fusobacterium sp. Aanvankelijk was bij geen van beiden het leverabces in de differentiaaldiagnose opgenomen. Pas na het bekend worden van de kweekuitslag kwamen de tandheelkundige ingrepen als infectiebron in beeld. Denk bij een abces met een ongebruikelijke verwekker aan alle mogelijke primaire infectiehaarden; hierbij mogen een tandheelkundige anamnese en orofaryngeale inspectie niet worden overgeslagen.
Dames en Heren, tandheelkundige ingrepen kunnen ook andere complicaties dan alleen endocarditis veroorzaken. Waarschijnlijk werd het leverabces bij de gepresenteerde patiënten veroorzaakt door hematogene verspreiding van orale fusobacteriën na tandheelkundige manipulatie. Wees bij abcessen met een ongebruikelijke verwekker bedacht op alle mogelijke infectiehaarden.
Literatuur
Rademacher WMH, Walenkamp GHIM, Moojen DJF, Hendriks JGE, Goedendorp TA, Rozema FR. Antibiotic prophylaxis is not indicated prior to dental procedures for prevention of periprosthetic joint infections. Acta Orthop. 2017;88:568-74. doi:10.1080/17453674.2017.1340041. Medline
Afra K, Laupland K, Leal J, Lloyd T, Gregson D. Incidence, risk factors, and outcomes of Fusobacterium species bacteremia. BMC Infect Dis. 2013;13:264. doi:10.1186/1471-2334-13-264. Medline
Lemierre A. On certain septicemias due to anaerobic organisms. Lancet. 1936;1(5874):701-3. doi:10.1016/S0140-6736(00)57035-4.
Iwasaki T, Yamamoto T, Inoue K, Takaku K. A case of Lemierre’s syndrome in association with liver abscess without any other metastatic lesions. Intern Med. 2012;51:1419-23. doi:10.2169/internalmedicine.51.7364. Medline
Bytyci F, Khromenko E. Hepatic abscess caused by Fusobacterium necrophorum after a trip to the dentist. BMJ Case Rep. 2016;2016:bcr2015210235. doi:10.1136/bcr-2015-210235. Medline
Han YW. Fusobacterium nucleatum: a commensal-turned pathogen. Curr Opin Microbiol. 2015;23:141-7. doi:10.1016/j.mib.2014.11.013. Medline
Wilson W, Taubert KA, Gewitz M, et al. Prevention of infective endocarditis: guidelines from the American Heart Association: a guideline from the American Heart Association Rheumatic Fever, Endocarditis, and Kawasaki Disease Committee, Council on Cardiovascular Disease in the Young, and the Council on Clinical Cardiology, Council on Cardiovascular Surgery and Anesthesia, and the Quality of Care and Outcomes Research Interdisciplinary Working Group. Circulation. 2007;116:1736-54. doi:10.1161/CIRCULATIONAHA.106.183095. Medline
Hammami MB, Noonan EM, Chhaparia A, Khatib FA, Bassuner J, Hachem C. Denture-associated oral microbiome and periodontal disease causing an anaerobic pyogenic liver abscess in an immunocompetent patient: a case report and review of the literature. Gastroenterology Res. 2018;11:241-6. doi:10.14740/gr1006wMedline
Kaplan GG, Gregson DB, Laupland KB. Population-based study of the epidemiology of and the risk factors for pyogenic liver abscess. Clin Gastroenterol Hepatol. 2004;2:1032-8. doi:10.1016/S1542-3565(04)00459-8. Medline
Zheng L, Giri B. Gastrointestinal variant of Lemierre Syndrome: Fusobacterium nucleatum bacteremia-associated hepatic vein thrombosis: a case report and literature review. Am J Ther. 2016;23:e933-6. doi:10.1097/MJT.0000000000000084. Medline
Hannoodi F, Sabbagh H, Kulairi Z, Kumar S. A rare case of Fusobacterium Necrophorum liver abscesses. Clin Pract. 2017;7:928. doi:10.4081/cp.2017.928. Medline
Denk aan de mond(on)gezondheid als infectiebron
Veel dank voor het presenteren van deze interessante klinische les.
De gevolgtrekkingen en conclusie in het artikel zijn echter te kort door de bocht en ongefundeerd. Namelijk, dat dit een “complicatie van een tandheelkundige ingreep” zou zijn, omdat die behandeling de infectiebron was. Dat nu is helemaal niet aangetoond en epidemiologisch ook twijfelachtig.
Beide patiënten hadden respectievelijk 3 en 4 maanden geleden een endodontische behandeling en kiesextractie ondergaan. Daardoor zouden mondbacteriën via een bacteriemie, naar de lever zijn versleept.
Al heel lang is bekend dat fusobacteriën een rol spelen bij parodontitis[1]. De incidentie van bacteriemiën in het dagelijks leven is groot, met name bij mensen met een parodontitis: bijvoorbeeld bij kauwen 8-51%, tandflossen 20-58% en tandenpoetsen zelfs 33-78%.De duur van zo’n bacteriëmie na poetsen is weliswaar kort (enkele minuten), maar de cumulatieve expositie aan bacteriemiën gedurende 3-4 maanden is veel langer. Dat werd eens uitgerekend door Guntheroth tgv kauwen, tandenpoetsen, mondinfecties en uiteindelijk een tandextractie. Hij vond dat de bacteriemie 5376 minuten bedroeg waarvan slechts zes minuten ten gevolge van de tandextractie[4].
Ook Roberts berekende dat de dagelijkse cumulatieve expositie ten gevolge van baseline bacteriemie ruim vijf miljoenmaal groter was dan na een in de literatuur steeds als meest riskant geachte kiesextractie [5]
Helaas hebben de auteurs bij hun klinisch onderzoek niets gemeld over status van de mondgezondheid: Hoe was de mondhygiëne? Was er sprake van een parodontitis?
Per jaar worden in Nederland ongeveer 600.000 wortelkanaalbehandelingen verricht. Niet precies is bekend is hoeveel extracties er per jaar worden uitgevoerd, maar dat aantal ligt vele malen hoger. Grof geschat zou men kunnen aannemen dat zo’n 10-20% van alle middelbare Nederlanders in de afgelopen 3-4 maanden wel een tandheelkundige behandeling heeft ondergaan.
De conclusie moet dan ook zijn dat er gedacht moet worden aan een dentogene c.q. mondheelkundige infectiebron, meer nog dan een tandheelkundige behandeling.
De nuance zit hem in het beslist onzeker zijn van een oorzakelijk verband met een tandheelkundige ingreep. “De tandarts is onschuldig” zoals Roberts het al stelde [5].
Juiste informatie hierover door de arts aan de patiënt hierover is relevant. De collega tandarts over wie nu mogelijk onterecht het oordeel van “complicatie van zijn ingreep” is uitgesproken, heeft mijn sympathie.
Daarnaast is juiste informatie hierover aan de lezers van het NTvG belangrijk. De ondertitel van deze klinische les had dan ook beter kunnen luiden: ‘Denk aan de mond(on)gezondheid als infectiebron”.
Literatuur
Robert J.J. van Es, MKA-chirurg, Diakonessenhuis en UMC Utrecht