Het mankend kind: een rode vlag voor iedere medicus

Klinische praktijk
Abstract
Bram J.A. Schoolmeesters
Joost A.A.M. van den Hout
A.J.P. (Peter) Joosten
Maaike P. Terra
Miranda J.C.M. Elmans-Reuvers
Christiaan J.A. van Bergen.
Download PDF

Dames en Heren,

Een mankend looppatroon bij een kind is een rode vlag totdat ernstige oorzaken middels aanvullend onderzoek zijn uitgesloten. Het mank lopen kan vele oorzaken hebben, die meestal zijn gelegen in het heupgewricht. Het stellen van de juiste diagnose wordt bemoeilijkt doordat kinderen vaak lastig te onderzoeken zijn. Daarnaast zijn sommige veelvoorkomende oorzaken moeilijk vast te stellen op beeldvormend onderzoek. Dit vergroot de kans op een ‘dokters delay’, met mogelijk ernstige consequenties voor het kind. In deze klinische les bespreken wij aan de hand van 4 casussen de meest voorkomende oorzaken van mank lopen bij kinderen.

Kernpunten
  • Een mankend looppatroon bij een kind is een rode vlag totdat ernstige oorzaken middels aanvullend onderzoek zijn uitgesloten.
  • Verwijs een mankend kind met koorts of verhoogde infectieparameters direct door naar een kinderorthopeed of de SEH vanwege mogelijke infectieuze artritis.
  • Vermijd bij het vermoeden van epifysiolyse van het caput ossis femoris belasting van het aangedane been en verwijs spoedig naar een kinderorthopeed om verder afglijden van de epifyse te voorkomen.
  • Omdat epifysiolyse van het caput ossis femoris en de ziekte van Perthes bilateraal kunnen optreden, is het van belang om bij een kind met een van deze aandoeningen beide heupen gedurende de gehele groeiperiode te blijven controleren.
  • Coxitis fugax is een diagnose per exclusionem, waarbij opnieuw aanvullend onderzoek en verwijzing naar de tweede lijn geïndiceerd is als de klachten langer dan 2 weken aanhouden.

artikel

Patiënt A, een 6-jarige jongen, bezocht de huisartsenpost, omdat hij sinds 1 dag bij belasten pijn had aan het rechter been. 2 dagen eerder was hij van zijn fiets gevallen. Bij lichamelijk onderzoek door de dienstdoende huisarts waren alle bewegingen van de heup pijnlijk. De huisarts verwees patiënt daarom door naar de SEH. Aldaar zagen wij bij lichamelijk onderzoek een niet-zieke jongen zonder koorts, die mank liep met zijn rechter been in exorotatie. Bij functieonderzoek was zowel exorotatie als endorotatie van de rechter heup pijnlijk en beperkt. Aan het linker been vonden wij geen bijzonderheden. De infectieparameters in het bloed waren niet afwijkend. Op de conventionele röntgenopname waren geen evidente afwijkingen zichtbaar, maar echografisch onderzoek van de rechter heup liet intra-articulair vocht zien. Vanwege de pijn besloten wij patiënt ter observatie op te nemen op de afdeling Kindergeneeskunde. 2 dagen later was de pijn spontaan afgenomen. Wij stelden de diagnose ‘coxitis fugax’ en ontsloegen patiënt naar huis. Bij poliklinische controle na 1 week had hij geen klachten meer.

Patiënt B is een 8-jarige jongen die op het spreekuur van de huisarts kwam, omdat hij sinds 1 week pijn had aan het linker bovenbeen. De pijn was begonnen na een val op zijn linker knie, waarbij hij een schaafwond had opgelopen. Zijn moeder gaf aan dat hij sindsdien steeds meer sleepte met het linker been. Bij lichamelijk onderzoek zag de huisarts een niet-ziek kind zonder koorts, met beperkte exorotatie van de linker heup. De huisarts weet dit aan spierpijn in het been na de val.

2 weken later bezocht patiënt opnieuw de huisarts, omdat de pijn in het bovenbeen toenam en zich uitbreidde naar de linker heup. Vanwege de aanhoudende pijn en de toename van de klachten verwees de huisarts patiënt door naar de spoedpoli Kinderorthopedie. Aldaar toonde het bloedonderzoek een licht verhoogde bezinking (33 mm na 1 h), zonder verhoging van de overige infectieparameters. Conventionele röntgenopnames van het bekken en het linker bovenbeen lieten geen afwijkingen zien. Wij vermoedden een subacute artritis of osteomyelitis en verrichtten aanvullend een MRI-scan van het bovenbeen en de heup, waarop in het linker proximale femur T2-hyperintense afwijkingen te zien waren, die passen bij een Brodie-abces met omringend beenmergoedeem in het kader van subacute osteomyelitis (figuur 1).

Figuur 1
Subacute osteomyelitis bij een jongen van 8 jaar door een infectie met Kingella kingae
Figuur 1 | Subacute osteomyelitis bij een jongen van 8 jaar door een infectie met Kingella kingae
Coronale beelden van de MRI-scan van beide heupgewrichten laten T2-hyperintense afwijkingen zien in het linker proximale femur, die passen bij een Brodie-abces met omringend beenmergoedeem in het kader van subacute osteomyelitis.

Wij behandelden patiënt gedurende 6 weken met clindamycine, maar dit resulteerde niet in verbetering van de klachten. Wij herhaalden daarom het MRI-onderzoek, waarop nu een geringe toename van het abces te zien was. Wij besloten om het abces operatief te ontlasten. De peroperatief afgenomen kweken waren positief voor Kingella kingae . Patiënt werd aanvullend behandeld met clindamycine gedurende 6 weken. Hij herstelde voorspoedig en had bij de laatste controle 1 jaar na de operatie geen klachten meer.

Patiënt C, een 8-jarige jongen, werd door de huisarts verwezen naar de polikliniek Orthopedie vanwege pijn in de linker lies die sinds 4 weken bestond. Bij lichamelijk onderzoek op de polikliniek zagen wij een kind dat mank liep en zijn linker heup in flexiestand hield. Het functieonderzoek van de linker heup toonde een flexiecontractuur van 10°, een beperkte exorotatie tot 30° en een beperkte endorotatie tot 20°. Aan de rechter zijde was exorotatie mogelijk tot 70° en endorotatie tot 50°. De röntgenopname van het bekken liet een afplatting van de epifyse van de linker heup zien, die past bij de ziekte van Perthes (figuur 2).

Figuur 2
De ziekte van Perthes bij een 8-jarige jongen
Figuur 2 | De ziekte van Perthes bij een 8-jarige jongen
Röntgenopname van het bekken, waarop een afplatting van de epifyse van de linker heup te zien is, passend bij de ziekte van Perthes, Herring-type B.

Wij adviseerden om de heup te ontlasten. In de daaropvolgende maanden verslechterde echter zowel het klinisch als het radiologisch beeld, met een verdere afplatting en sclerose van het caput ossis femoris (figuur 3). Op het preoperatieve artrogram werd een ‘hinge abduction’ gezien – een gevolg van de ziekte van Perthes waarbij het craniolaterale deel van het caput ossis femoris uitsteekt buiten het acetabulum. Mede gezien de relatief late presentatie besloten wij een correctie-osteotomie van het proximale femur te verrichten om de positie van het femur ten opzichte van het acetabulum te verbeteren.

Figuur 3
Progressie en behandeling van de ziekte van Perthes
Figuur 3 | Progressie en behandeling van de ziekte van Perthes
Röntgenopnames van het bekken. (a) Ondanks ontlasten van de heup is een half jaar na de diagnose verdere afplatting en sclerose van het caput ossis femoris opgetreden. (b) Status 3 maanden na correctie-osteotomie van het linker proximale femur, waarbij de positie van het femur ten opzichte van het acetabulum is verbeterd.

Bij controle 3 maanden na de operatie liep patiënt zonder pijn en was op de controlefoto een geconsolideerde osteotomie te zien (zie figuur 3). Wij zullen de controles vervolgen totdat patiënt is uitgegroeid.

Patiënt D is een 12-jarige jongen die de huisarts bezocht, omdat hij sinds een aantal weken pijn in de linker lies ervoer. Patiënt had een opvallend mankend looppatroon, waarbij hij zijn linker been ontzag. Bij lichamelijk onderzoek was endorotatie van de linker heup beperkt. Hij had geen koorts. De huisarts liet röntgenopnames van het bekken maken, inclusief een anteroposterieure en een Lauenstein-opname (figuur 4). De radioloog beoordeelde deze beelden als niet afwijkend, waarop de huisarts de diagnose ‘tendomyogene klachten’ stelde.

Figuur 4
Progressie van de epifysiolyse van het caput ossis femoris bij een 12-jarige jongen
Figuur 4 | Progressie van de epifysiolyse van het caput ossis femoris bij een 12-jarige jongen
Röntgenfoto’s van beide heupgewrichten laten progressie zien van de epifysiolyse van het caput ossis femoris in de loop van 6 maanden. (a) Anteroposterieure röntgenfoto ten tijde van eerste presentatie, waarop geen afwijkingen zichtbaar zijn; de lijn van Klein loopt beiderzijds door de epifyse. (b) De gelijktijdig vervaardigde Lauenstein-opname toont een subtiel afgegleden epifyse van het caput ossis femoris. (c) Op de röntgenfoto 6 maanden later is duidelijk sprake van epifysiolyse van het caput ossis femoris; de lijn van Klein ligt beiderzijds buiten de epifyse. (d) De Lauenstein-opname na 6 maanden bevestigt de epifysiolyse aan beide kanten, links meer dan rechts.

Een half jaar later verwees de huisarts patiënt alsnog naar de poli Kinderorthopedie, omdat de pijn toenam en nu in beide liezen aanwezig was. Er was geen sprake van koorts. Bij lichamelijk onderzoek zagen wij een jongen die mank liep met zijn linkerbeen in exorotatie. Zowel bij extensie van de heup in buikligging als bij 90° flexie van de heup, waren beide heupen 10° geëxoroteerd en was er geen endorotatie mogelijk. Bij passieve flexie van de heupen trad spontane exorotatie van de geflecteerde heup op (het Drehmann-teken), wat gezien kan worden bij epifysiolyse van het caput ossis femoris, ‘hinge abduction’ of osteoartritis van het heupgewricht. We lieten nieuwe röntgenopnames maken, waarop nu beiderzijds epifysiolyse van het caput ossis femoris te zien was (zie figuur 4). In retrospect waren hier linkszijdig al tekenen van zichtbaar op de eerste Lauenstein-opname.

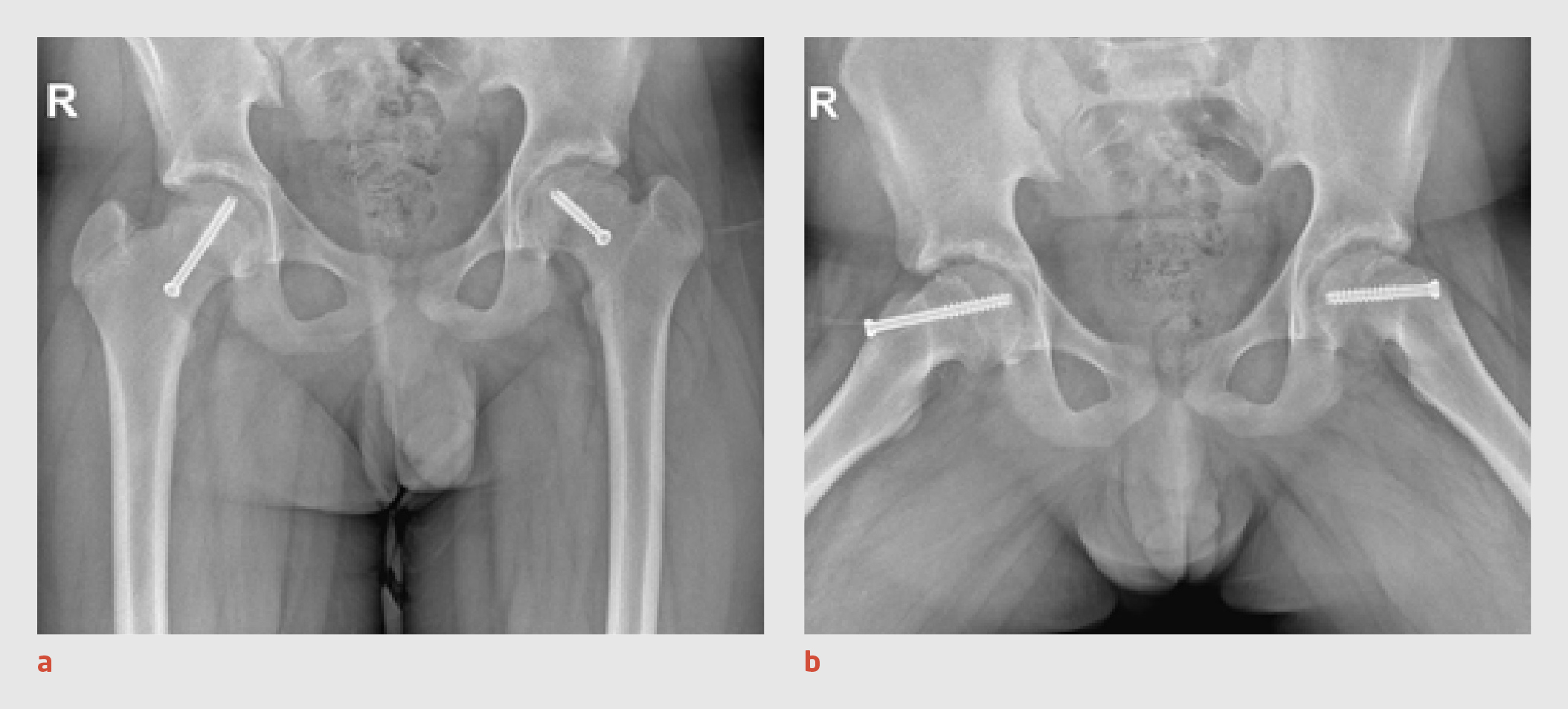
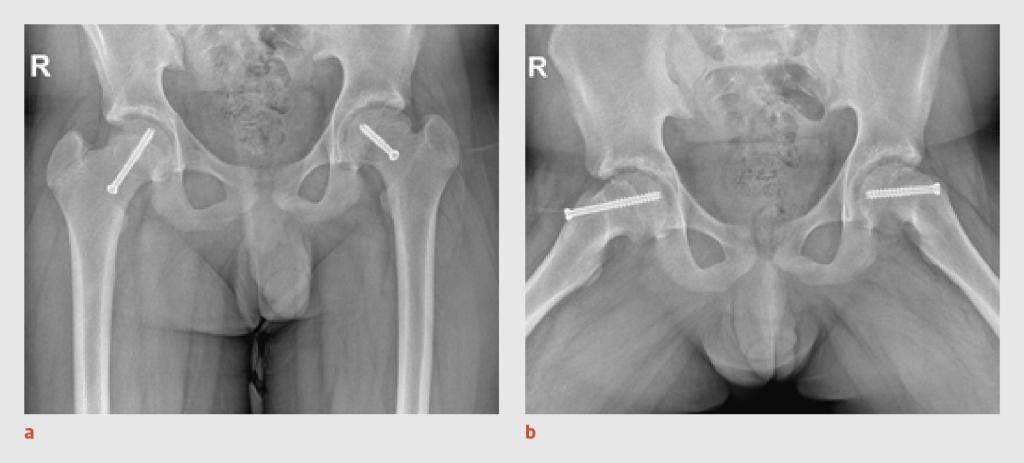
Wij schreven bedrust voor en opereerden patiënt de volgende dag, waarbij beiderzijds de epifyse van het caput ossis femoris werd gefixeerd middels percutane schroeven. Postoperatief moest patiënt 6 weken mobiliseren met krukken. Bij poliklinische controle na 1 jaar had patiënt een blokkadegevoel van de linker heup bij bukken en was er in beide heupen maximaal 10° endorotatie mogelijk. Het Drehmann-teken was beiderzijds aanwezig. Herhaalde röntgenopnames lieten de bekende standsafwijking van het caput ossis femoris zien, met een geringe sclerose van het acetabulum beiderzijds (figuur 5).

Figuur 5
Operatief gefixeerde epifyse van het caput ossis femoris
Figuur 5 | Operatief gefixeerde epifyse van het caput ossis femoris
Röntgenopnames van het bekken. (a) Anteroposterieure opname 1 jaar na schroeffixatie van het caput ossis femoris beiderzijds. (b) Gelijktijdige Lauenstein-opname.

Beschouwing

Mank lopen bij een kind kan vele oorzaken hebben, waarvan de meeste zijn gelegen in het heupgewricht. Een overzicht van de verschillende mogelijke oorzaken per leeftijdscategorie is gegeven in de tabel.

Tabel 1
Differentiaaldiagnose bij een mank lopend kind per leeftijdscategorie, uitgezonderd trauma
Tabel 1 | Differentiaaldiagnose bij een mank lopend kind per leeftijdscategorie, uitgezonderd trauma

Lichamelijk onderzoek Het mankend looppatroon dat bij heupaandoeningen veel voorkomt, kenmerkt zich door exorotatie van de heup en een verkorte standfase van de aangedane zijde. De patiënt zal de heup vaak in lichte flexiestand houden – de Bonnetse stand – om de pijn door het vocht in het heupgewricht te verminderen. Pijn in de lies is karakteristiek voor een heupaandoening, maar vaak wordt de pijn aangegeven in het bovenbeen of alleen in de knie. Endorotatie van het heupgewricht is vaak pijnlijk en beperkt.

Naast de leeftijd bij presentatie, kunnen de duur van de klachten, specifieke symptomen als koorts en bevindingen bij beeldvormend onderzoek en bloedonderzoek helpen om onderscheid te maken tussen de verschillende oorzaken. Gezien de complexiteit van de heupaandoeningen bij kinderen, adviseren we om ieder kind met een onverklaard mankend looppatroon te verwijzen naar een kinderorthopeed.

Wij zullen de 4 relatief veelvoorkomende oorzaken van mank lopen bij kinderen, die we illustreerden met onze patiëntbeschrijvingen, nu in meer detail bespreken.

Coxitis fugax

Epidemiologie

Coxitis fugax is de meest voorkomende oorzaak van heupklachten bij kinderen. Het komt het vaakst voor bij kinderen van 3-8 jaar.1 De incidentie van coxitis fugax is ongeveer 7,6 per 10.000 kinderen per jaar.2

Diagnostiek

Coxitis fugax is een diagnose per exclusionem. Het is van belang om andere, ernstigere oorzaken van heupklachten bij een kind uit te sluiten, met name infectieuze artritis (zie de tabel). Koorts en algemene malaise passen niet bij coxitis fugax en zijn indicaties voor een spoedverwijzing naar de tweede lijn. Bij het maken van een onderscheid tussen coxitis fugax en septische artritis kunnen de Kocher-criteria helpen.3 Een patiënt scoort 1 punt voor elk van de 4 aanwezige Kocher-criteria (onbelastbaar been; koorts > 38,5°C; bezinking > 40 mm na 1 h; en leukocytenaantal > 12,0 x 109/l), wat resulteert in een risicoscore van 1-4, met een bijbehorende kans dat de klachten op artritis berusten van respectievelijk 3, 40, 93 en 99%.

Behandeling en prognose

Coxitis fugax is een zelflimiterende aandoening die binnen 10-14 dagen in remissie gaat. Coxitis fugax hoeft dan ook niet behandeld te worden, anders dan met ontstekingsremmende pijnstillers op geleide van de pijn. Wel wordt geadviseerd het aangedane been tijdelijk beperkt te belasten, bijvoorbeeld door gedurende 2 weken niet te rennen.

Infectieuze artritis

Epidemiologie

De incidentie van septische artritis en osteomyelitis is ongeveer 8 per 100.000 kinderen per jaar. Infectieuze artritis komt het vaakst voor bij kinderen jonger dan 5 jaar en vaker bij jongens dan bij meisjes.4

Diagnostiek

Een kind met infectieuze artritis oogt vaak ziek en heeft pijn in en om het gewricht, dat soms in de Bonnetse stand staat. Ongeveer 80% van de patiënten heeft koorts. Infectieuze artritis van de heup is vaak moeilijk te onderscheiden van andere heupaandoeningen. Bij bloedonderzoek zijn de infectieparameters veelal verhoogd, maar lage infectiewaarden sluiten een infectieuze artritis niet uit. Het is daarom van belang patiënten nauwgezet onder controle te houden, zolang een infectieuze oorzaak van de klachten niet is uitgesloten. Bij een vermoeden van een infectie moet indien mogelijk een kweek van het gewrichtsvocht worden afgenomen. Infecties bij jonge kinderen worden steeds vaker veroorzaakt door K. kingae . Omdat deze bacterie slecht groeit in een kweek, wordt geadviseerd om ook een PCR-bepaling op K. kingae te doen om het aantal fout-negatieve uitslagen in de diagnostiek te verkleinen.5

Behandeling en prognose

Heupklachten door infectieuze artritis moeten klinisch worden behandeld met breedspectrumantibiotica, nadat een kweek van het gewrichtsvocht is ingezet en het gewricht is gespoeld. Osteomyelitis wordt langdurig behandeld met antibiotica, waarbij breedspectrumantibiotica zijn geïndiceerd (bijvoorbeeld amoxicilline-clavulaanzuur of clindamycine) totdat de uitslag van de kweken bekend is. Soms slaat behandeling met antibiotica niet aan, bijvoorbeeld wanneer sprake is van een Brodie-abces. Het is dan noodzakelijk om het geïnfecteerde gebied operatief schoon te spoelen.

Wanneer infectieuze artritis niet of niet afdoende wordt behandeld, kan ze leiden tot aantasting van het gewrichtskraakbeen, standsafwijkingen door beschadiging van de groeischijf en avasculaire necrose door een verhoogde druk in het gewricht. De acute behandeling voor avasculaire necrose bestaat uit het verlagen van de druk in het gewricht door belasting van de heup te vermijden en chirurgische decompressie. In een latere fase kan een osteotomie worden overwogen om de stand van de heup ten opzichte van het acetabulum te optimaliseren.

Ziekte van Perthes

Epidemiologie

De ziekte van Perthes is een aandoening waarbij tijdelijke verstoring van de bloedtoevoer naar het caput ossis femoris leidt tot vormverandering van het bot en dientengevolge aanhoudende of wisselende pijn in het been. De ziekte van Perthes komt voor bij 1 op de 10.000 kinderen in Nederland en van de patiënten is 80% in de leeftijd van 4-8 jaar. De ziekte komt 5 keer vaker voor bij jongens dan bij meisjes. Familiair belaste kinderen hebben een risico van 3% om de ziekte te krijgen. Bij 8-24% van de patiënten treedt de ziekte bilateraal op.6,7

Diagnostiek

De diagnose kan worden gesteld met conventioneel radiologisch onderzoek. De Herring-classificatie kan helpen bij het inschatten van de prognose op basis van de resterende afstand tussen de epifyse en de laterale pijler van het acetabulum.8 Bij sommige patiënten is conventionele radiologie onvoldoende om een besluit te nemen over het behandeltraject. Er kan dan door middel van artrografie worden gekeken in hoeverre het caput ossis femoris binnen het acetabulum ligt en in welke mate subluxatie optreedt bij abductie. Bij bilaterale afwijkingen moet differentiaaldiagnostisch gedacht worden aan multipele epifysaire dysplasie.7

Behandeling en prognose

Bij kinderen jonger dan 8 jaar wordt veelal een conservatief beleid gevoerd. Operatief ingrijpen moet worden overwogen bij kinderen met eerste klachten van de ziekte van Perthes na de leeftijd van 8 jaar, kinderen bij wie meer dan 50% van de femurkop is beschadigd (Herring-type C) en kinderen bij wie de femurkop onvoldoende overkapping heeft door het acetabulum. Bij de meeste patiënten is operatief ingrijpen niet nodig.

Als complicatie van de ziekte van Perthes kunnen coxa magna – een gedeformeerde vergroting van het caput en collum ossis femoris – en coxa vara – het ‘afzakken’ van het collum ossis femoris ten opzichte van het femur tot ze een hoek < 120° vormen – ontstaan. Deze complicaties gaan gepaard met een sterk verhoogd risico op coxartrose op vroege leeftijd. 10% van de kinderen krijgt op de leeftijd van 30-40 jaar ernstige coxartrose aan de aangedane zijde. Veelal zijn dit de patiënten bij wie de ziekte van Perthes op 8-jarige leeftijd of later is opgetreden.7

Epifysiolyse van het caput ossis femoris

Epidemiologie

Epifysiolyse van het caput ossis femoris (‘slipped capital femoral epiphysis’) is een aandoening waarbij de epifyse van het caput ossis femoris afglijdt. In Nederland komt de aandoening voor bij 11 op de 100.000 kinderen.9 De linker heup is vaker aangedaan dan de rechter, in een verhouding van 3:1. De piekincidentie ligt bij meisjes op de leeftijd van 11-13 jaar en bij jongens op de leeftijd van 13-15 jaar, maar de aandoening kan voorkomen vanaf het 6e levensjaar tot het einde van de groei. Epifysiolyse van het caput ossis femoris treedt bij ongeveer 20% van de patiënten gelijktijdig bilateraal op. Wanneer bij presentatie sprake is van een eenzijdige aandoening, glijdt bij 20% van de patiënten binnen 18 maanden toch ook de andere zijde af.10 De karakteristieke patiënt is het adipeuze, prepuberale kind met pijn in de lies, het bovenbeen of de knie.

Diagnostiek

De diagnose wordt in de dagelijkse praktijk aanvankelijk nogal eens gemist, doordat de klachten van het kind vaak lastig te interpreteren zijn. Daarom moet bij een kind met heupklachten altijd conventioneel radiologisch onderzoek met een Lauenstein-opname verricht worden. Op de anteropostieure röntgenfoto kan een lijn over het laterale collum ossis femoris worden getrokken (de lijn van Klein, zie figuur 4). Wanneer deze lijn niet door het caput ossis femoris loopt, is dit suggestief voor epifysiolyse. Epifysiolyse van het caput ossis femoris kan echter dermate subtiel zijn dat de aandoening zelfs bij beeldvormend onderzoek gemist wordt, zoals bij patiënt D.

Behandeling en prognose

Om verder afglijden van het caput ossis femoris te voorkomen, mag de patiënt het aangedane been na het stellen van de diagnose niet meer belasten. Een patiënt met instabiele epifysiolyse kan de heup niet belasten zonder krukken. Bij een patiënt met stabiele epifysiolyse zal in eerste instantie vaak gekozen worden voor een percutane schroeffixatie. Wanneer een patiënt binnen 24 uur wordt behandeld, kan voorafgaand aan de schroeffixatie een voorzichtige repositie worden overwogen. Het reponeren van het caput ossis femoris geeft een verhoogd risico op avasculaire necrose.

Het is moeilijk te voorspellen bij welke kinderen de contralaterale zijde ook afglijdt. Risicofactoren hiervoor zijn onder meer een open groeischijf (het triradiate kraakbeen) en een vergrote α-hoek (de hoek tussen de raaklijn van het benige deel van het acetabulum en een referentielijn evenwijdig aan het laterale os ilium).11 Het preventief fixeren van de contralaterale zijde is momenteel nog controversieel.

Avasculaire necrose is de vaakst voorkomende complicatie bij het niet goed of te laat behandelen van met name instabiele epifysiolyse. Avasculaire necrose kan soms pas 12 maanden na het begin van de klachten worden herkend op de röntgenfoto. Andere complicaties zijn chondrolyse en femoro-acetabulaire ‘impingement’, wat versneld leidt tot coxartrose.

Dames en Heren, in deze klinische les hebben we de diagnostische dilemma’s bij het mank lopende kind beschreven. Mank lopen bij een kind kan vele oorzaken hebben, waarvan de meeste zijn gelegen in het heupgewricht. Bij een kind met een afwijkend looppatroon moet altijd nadere diagnostiek worden verricht ter uitsluiting van een ernstige heupaandoening die aanvullende behandeling behoeft.

Literatuur
  1. Nouri A, Walmsley D, Pruszczynski B, Synder M. Transient synovitis of the hip: a comprehensive review. J Pediatr Orthop B. 2014;23:32-6.doi:10.1097/BPB.0b013e328363b5a3.Medline

  2. Krul M, van der Wouden H, Schellevis F, van Suijlekom-Smit L, Koes B. Acute niet-traumatische heupafwijkingen bij kinderen. Huisarts Wet. 2010;53:529-32.doi:10.1007/BF03089282.

  3. Kocher MS, Zurakowski D, Kasser JR. Differentiating between septic arthritis and transient synovitis of the hip in children: an evidence-based clinical prediction algorithm. J Bone Joint Surg Am. 1999;81:1662-70.doi:10.2106/00004623-199912000-00002.Medline

  4. Grammatico-Guillon L, Maakaroun Vermesse Z, Baron S, Gettner S, Rusch E, Bernard L. Paediatric bone and joint infections are more common in boys and toddlers: a national epidemiology study. Acta Paediatr. 2013;102:e120-5.doi:10.1111/apa.12115.Medline

  5. Ceroni D, Cherkaoui A, Ferey S, Kaelin A, Schrenzel J. Kingella kingae osteoarticular infections in young children: clinical features and contribution of a new specific real-time PCR assay to the diagnosis. J Pediatr Orthop. 2010;30:301-4.doi:10.1097/BPO.0b013e3181d4732f.Medline

  6. Wiig O, Huhnstock S, Terjesen T, Pripp AH, Svenningsen S. The outcome and prognostic factors in children with bilateral Perthes’ disease: a prospective study of 40 children with follow-up over five years. Bone Joint J. 2016;98-B:569-75. doi:10.1302/0301-620X.98B4.36045.Medline

  7. Visser JD, Heeg M. Een consult kinderorthopedie 2: heup, infecties en congenitale deficienties. Jan Douwes Visser; 2008.

  8. Herring JA, Neustadt JB, Williams JJ, Early JS, Browne RH. The lateral pillar classification of Legg-Calvé-Perthes disease. J Pediatr Orthop. 1992;12:143-50.doi:10.1097/01241398-199203000-00001.Medline

  9. Witbreuk MM, van Royen BJ, van Kemenade FJ, Witte BI, van der Sluijs JA. Incidence and gender differences of slipped capital femoral epiphysis in the Netherlands from 1998-2010 combined with a review of the literature on the epidemiology of SCFE. J Child Orthop. 2013;7:99-105.doi:10.1007/s11832-012-0479-y.Medline

  10. Loder RT, Aronson DD, Greenfield ML. The epidemiology of bilateral slipped capital femoral epiphysis. A study of children in Michigan. J Bone Joint Surg Am. 1993;75:1141-7.doi:10.2106/00004623-199308000-00003.Medline

  11. Popejoy D, Emara K, Birch J. Prediction of contralateral slipped capital femoral epiphysis using the modified Oxford bone age score. J Pediatr Orthop. 2012;32:290-4.doi:10.1097/BPO.0b013e3182471eb4.Medline

Auteursinformatie

Amphia Ziekenhuis, Breda. Afd. Kinderorthopedie: drs. B.J.A. Schoolmeesters, promovendus (tevens: Amsterdam UMC, Amsterdam en Flinders Medical Centre, Adelaide); drs. J.A.A.M. van den Hout, drs. A.J.P. Joosten en dr. C.J.A. van Bergen, orthopedisch chirurgen. Afd. Radiologie: dr. M.P. Terra, radioloog. Huisartsenpraktijk Teteringen, Teteringen: drs. M.J.C.M. Elmans-Reuvers, huisarts.

Contact B.J.A. Schoolmeesters (scho0243@flinders.edu.au)

Belangenverstrengeling

Belangenconflict en financiële ondersteuning: er zijn mogelijke belangen gemeld bij dit artikel. ICMJE-formulieren met de belangenverklaring van de auteurs zijn online beschikbaar bij dit artikel.

Auteur Belangenverstrengeling
Bram J.A. Schoolmeesters ICMJE-formulier
Joost A.A.M. van den Hout ICMJE-formulier
A.J.P. (Peter) Joosten ICMJE-formulier
Maaike P. Terra ICMJE-formulier
Miranda J.C.M. Elmans-Reuvers ICMJE-formulier
Christiaan J.A. van Bergen. ICMJE-formulier
Bram Schoolmeesters
Heb je nog vragen na het lezen van dit artikel?
Check onze AI-tool en verbaas je over de antwoorden.
ASK NTVG

Ook interessant

Reacties