Beste collega’s,
Dit artikel gaat over het herkennen van een tarsale coalitie bij mensen die een enkel verzwikt hebben. Waarin verschillen de symptomen van die bij een reguliere verzwikte enkel?
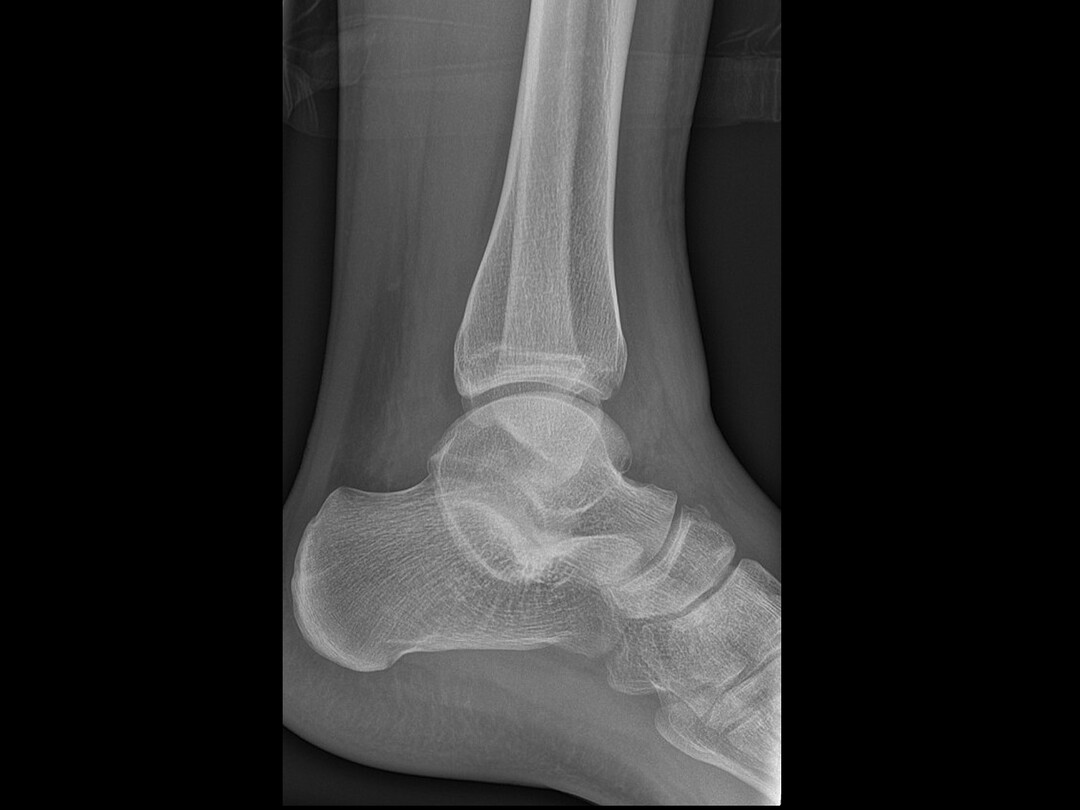
Jaarlijks worden in Nederland naar schatting honderdduizenden patiënten behandeld voor een acute enkelverzwikking op de Spoedeisende Hulp (SEH), bij de huisarts of de huisartsenpost.1 Hoewel het merendeel van deze letsels goed te diagnosticeren en te behandelen is, bestaat er een kans dat een onderliggende afwijking of een afwijkend beloop over het hoofd wordt gezien.2,3 Een voorbeeld hiervan is een gebroken of een door trauma acuut symptomatisch geworden tarsale coalitie.
Een tarsale coalitie is een genetisch bepaalde, abnormale verbinding tussen twee of meer tarsale botten.4 Deze afwijking kan symptomen nabootsen die sterk lijken op een reguliere enkelverzwikking. De…
diagnostiek van verminderde tarsale beweeglijkheid, een simpele test.
De hielkieptest
Ter aanvulling een anekdote waarmee de tarsale coalitie wat toegankelijker is voor de eerstelijns diagnostiek.
Wekenlang heb ik rondgelopen met een calcaneus en een talus in de diepe zak van mijn witte jas. Allebei echt en beide van rechts. Ze kwamen uit de doos onder de tafel van de radioloog vandaan. Onbegrijpelijke vormen, maar fijn om wat mee te spelen op rustige momenten die er genoeg waren tijdens mijn opleiding. Ze pasten precies op elkaar.
Ik weet nog waar ik was toen ik door kanteling van de calcaneus de talus kon laten draaien en besefte dat die in het lichaam onzichtbare talus al exoroterend natuurlijk het hele been meeneemt. Want bij iemand die rechtop staat heeft de enkelvork de talus zodanig in de houdgreep dat die vork en daarmee het hele been haar rotatie zal volgen. Je kunt dat zien aan je eigen knieschijf, want die kijkt ineens naar buiten als je op de buitenkant van je voet gaat staan.
De hielkieptest was geboren.
Exorotatie van het belaste been zal uitblijven bij een pathologische verbinding tussen calcaneus en talus, maar ook door een blokkade elders in de voetwortel. De zeven botten van de voetwortel gedragen zich namelijk als tandwielen in een versnellingsbak: zijn er twee met elkaar verbonden, dan zit het hele systeem vast. De voet wil misschien wel kantelen door de compensatoire souplesse in de voorvoet, maar exorotatie is er niet bij.
Ik heb gedurende mijn verdere carrière vele malen de diagnose tarsale coalitie kunnen stellen aan de hand van deze uiterst simpele test.
Koeweiden EMJ, van Empel FMM, van Horn JR, Slooff TJJH. The heel-tip test for restricted tarsal motion. Acta Orthop Scand 1989;60(4):481-482. https://actaorthop.org/actao/article/view/22672