Een vrouw met een hypofysesteen

Wat is de diagnose?
Abstract
Louise S. van Galen
Suat Simsek

Casus

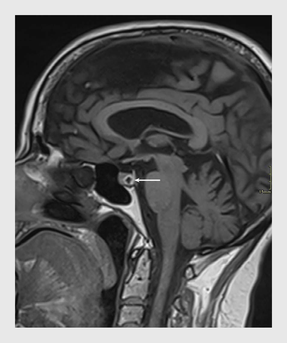
Een 78-jarige patiënte met in de voorgeschiedenis diabetes mellitus type 2, een herseninfarct en auto-immuunhypothyreoïdie kwam op de Spoedeisende Hulp vanwege plotselinge nystagmus, duizeligheid en braken, zonder visusverlies. Omdat de klachten acuut waren ontstaan en vanwege het eerdere herseninfarct verrichtten wij een CT-scan van de hersenen. De scan liet geen bloeding of nieuwe ischemische schade zien. Wij namen de patiënte op en er volgde een MRI-scan van de hersenen om eventuele vertebrobasilaire ischemie op te sporen. Op de MRI werd dorsaal in de sella turcica een hypofysesteen gezien, zonder aanwijzingen voor compressie op het chiasma opticum (figuur).

Een hypofysesteen…

Auteursinformatie

Noordwest Ziekenhuisgroep, afd. Interne Geneeskunde, Alkmaar: dr. L.S. van Galen, aios interne geneeskunde; dr. S. Simsek, internist-endocrinoloog.

Contact L.S. van Galen (lo.vangalen@amsterdamumc.nl)

Belangenverstrengeling

Belangenconflict en financiële ondersteuning: geen gemeld.

Auteur Belangenverstrengeling
Louise S. van Galen ICMJE-formulier
Suat Simsek ICMJE-formulier
Heb je nog vragen na het lezen van dit artikel?
Check onze AI-tool en verbaas je over de antwoorden.
ASK NTVG

Ook interessant

Reacties