Een man met recidiverende buikpijnaanvallen

Wat is de diagnose?
Abstract
Sarah Rhöse
Bob J. van Wely
Bart P. Ramakers
Leestijd
2 minuten
Citeren

Casus

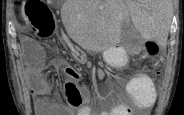
Een 56-jarige man had acute pijn links boven in de buik. Hij was bekend met aanvalsgewijze buikklachten. Een CT-scan van het abdomen toonde, naast een fors gedilateerd colon transversum, ook een congenitale variant van de lever: de rechter en linker leverkwab waren in twee separate delen aanwezig (figuur 1a en 2a). Bij laparotomie waren er aanwijzingen voor een langer bestaande, mogelijk intermitterende torsie van het colon transversum, waarvoor we een transversumresectie met primaire anastomose verrichtten. Tevens legden we een beschermend dubbelloops ileostoma aan. Pathologisch onderzoek toonde geen specifieke afwijkingen. 8 maanden later, 6 dagen na het opheffen…

Auteursinformatie

Ziekenhuis Bernhoven, Uden.

Afd. Intensive Care: S. Rhöse, MSc, arts-assistent; dr. B.P. Ramakers, internist-intensivist.

Afd. Chirurgie: dr. B.J. van Wely, chirurg.

Contact S. Rhöse, MSc (s.rhose@gmail.com)

Belangenverstrengeling

Belangenconflict en financiële ondersteuning: geen gemeld.

Verantwoording

Dr. M.J.A. Gondrie, radioloog, Ziekenhuis Bernhoven, beoordeelde de radiologische beelden.

Auteur Belangenverstrengeling
Sarah Rhöse ICMJE-formulier
Bob J. van Wely ICMJE-formulier
Bart P. Ramakers ICMJE-formulier
Reacties

Ook interessant

Gratis Ask NTVG uitproberen?

Maak met 2 klikken een gratis account aan

Account aanmaken

Heb je al een account of een abonnement? Inloggen

Altijd toegang tot alle publicaties van het NTVG?

Abonneer vandaag nog!

Online toegang tot alle artikelen
Gepersonaliseerde alerts voor artikelen en dossiers
Artikelen voor opleiding en nascholing mét geaccrediteerde toetsen
Onbeperkt luisteren naar de NTVG-podcast
Antwoorden op al je vragen via de AI-toepassing 'Ask NTVG'

Neem het digitaal ntvg abonnement

€ 15,93 per maand!

Ik wil digitaal
NTVG nummer 3 2026
NTVG nummer 4 2026
NTVG nummer 5 2026