Een man met recidiverende buikpijnaanvallen

Gepubliceerd:

210 deelnemers

CT-scan

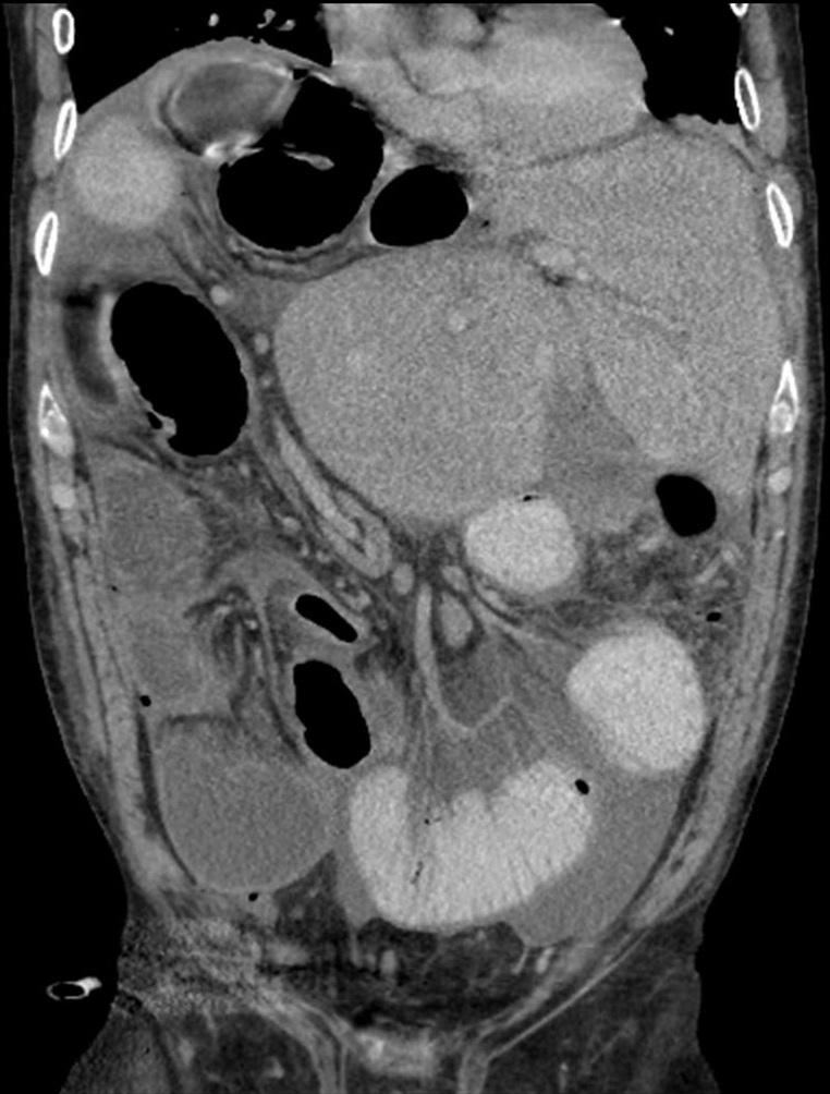
Een 56-jarige man heeft acute pijn links boven in de buik. Hij heeft vaker buikpijnaanvallen gehad. Op basis van CT wordt een langer bestaande torsie van het colon transversum vastgesteld, waarvoor patiënt wordt geopereerd. Op de CT-scan is ook een congenitale variant van de lever zichtbaar, met de rechter en linker leverkwab in twee aparte delen; de lever ligt rechts boven in de buik. Enkele maanden later wordt wegens vermoeden van een naadlekkage een nieuwe CT-scan gemaakt. Hierbij valt de lever opnieuw op.

Wat is uw diagnose?
Antwoord