Casus
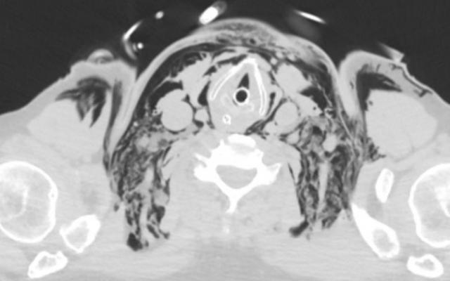
Een 65-jarige man onderging een oesofaguscardiaresectie vanwege een distaal oesofaguscarcinoom. Postoperatief was er sprake van een aanhoudende lage zuurstofsaturatie. Op de 5e dag na de operatie kreeg patiënt een nasale siliconen zuurstofsonde (CH10; diameter: 3,3 mm) in het linker neusgat. Direct nadat patiënt zuurstof 6 l/min kreeg toegediend, klaagde hij over hevige pijn aan het linker oor. In enkele minuten ontstond fors subcutaan emfyseem in de linker gelaatshelft en daarna de hals (figuur 1a). Patiënt had een inspiratoire stridor en raakte respiratoir insufficiënt, waarop hij geïntubeerd en mechanisch beademend werd. De zuurstofsuppletie via de neus werd gestopt. Binnen enkele…
Reacties