Een dentale oorzaak van orbitale cellulitis

Man met hand tegen het hoofd
Abstract
Birgit P. van Lieshout
G.K.P. (Koen) Bittermann
Peter J. Ringens
Lauretta A.A. Vaassen
Download PDF

Samenvatting

Achtergrond

Orbitale cellulitis is een potentieel levensbedreigend ziektebeeld. Daarnaast kan er door compressie op de n. opticus irreversibele schade en permanent visusverlies optreden. Tijdige herkenning en adequate behandeling is onontbeerlijk. Volledig klinisch en dentaal onderzoek gecombineerd met aanvullende beeldvormende onderzoeken zijn essentieel.

Casus

Wij beschrijven een 53-jarige patiënt met een orbitale cellulitis. De patiënt ging klinisch achteruit tijdens behandeling met een oraal antibioticum. Een CT-scan van de orbita gaf onvoldoende informatie om een dentogene oorzaak vast te kunnen stellen. Na verwijzing naar de mka-chirurg werd een unilaterale sinusitis van dentogene oorsprong vastgesteld. Na verwijdering van de ontstoken gebitselementen en behandeling met een intraveneus antibioticum herstelde de patiënt volledig.

Conclusie

Bij een volwassene met een unilaterale orbitale cellulitis dient men differentiaaldiagnostisch te denken aan een dentogene oorzaak en is consultatie van de mka-chirurg raadzaam. Een dentogene oorzaak kan worden vastgesteld op basis van het klinisch beeld in combinatie met het juiste aanvullende onderzoek.

Kernpunten
  • Orbitale cellulitis kan leiden tot visusverlies en levensbedreigende ziekte.
  • Bij een unilaterale sinusitis moet worden gezocht naar een dentogene oorzaak.
  • Bij volwassenen met een orbitale cellulitis kan uitgebreide diagnostiek ernstige complicaties voorkomen.
  • Bij een gelijktijdige sinusitis en orbitale cellulitis moet beeldvormend onderzoek worden verricht van alle neusbijholten, inclusief de bovenkaak.
  • Ook bij patiënten zonder dentale klachten of recente tandheelkundige behandeling kan een dentogene infectie aanwezig zijn.

artikel

Orbitale cellulitis kan door compressie van de n. opticus irreversibele schade en permanent visusverlies veroorzaken. Tijdige herkenning en adequate behandeling is daarom onontbeerlijk. De klinische beoordeling en aanvullende beeldvormende onderzoeken zijn hierin onmisbaar. Alle mogelijke oorzaken van een orbitale cellulitis moeten in overweging worden genomen, zoals wij laten zien aan de hand van deze casus.

Ziektegeschiedenis

Patiënt, een 53-jarige man bekend met hypertensie, had sinds enkele dagen klachten van het linker oog. Hij kon het linker oog minder goed bewegen; met name de abductie en elevatie waren beperkt. Daarbij had hij een zwelling van het onderooglid, diplopie, neusobstructieklachten en rinorroe. Differentiaaldiagnostisch dacht de huisarts aan pre- of postseptale cellulitis, waarbij een postseptale cellulitis het waarschijnlijkst was gezien de beperkte oogbewegingen en diplopie. De patiënt werd daarom verwezen naar de oogarts. Bij het oogheelkundig onderzoek waren de pupillen isocoor en zij reageerden symmetrisch goed op licht. De oogarts stelde vast dat er sprake was van een postseptale cellulitis van het linker oog. De kno-arts werd geconsulteerd en deze constateerde een pussige rinorroe aan de linkerzijde. De kno-arts concludeerde dat een sinusitis de oorzaak was van de orbitale cellulitis. De patiënt kreeg orale antibiotica voorgeschreven, namelijk amoxicilline/clavulaanzuur 825/125 mg 3 dd. Daarnaast werd de patiënt behandeld met neusspoeling met een NaCl-oplossing en xylometazolineneusspray 1 mg/ml 3 dd.

Vier weken later verslechterde het klinisch beeld. Er ontstond proptosis, diplopie en toename van de zwelling van het linker onderooglid (figuur 1). Een CT-scan van de orbita liet aan de linkerzijde een pansinusitis zien (figuur 2). De patiënt werd verwezen naar de polikliniek Mondziekten, Kaak- en Aangezichtschirurgie om een eventuele dentale oorzaak op te sporen.

Klinisch beeld vóór en na tandextractie
Klinisch beeld vóór en na tandextractie
(a) Foto van het aangezicht van een 53-jarige patiënt met een orbitale cellulitis aan de linkerzijde op het moment dat hij gedurende vier weken was behandeld met een oraal antibioticum. (b) Foto van het gezicht van dezelfde patiënt drie weken na extractie van de gebitselementen 26 en 27.
Figuur 2
CT-scan van de orbita
Figuur 2 | CT-scan van de orbita
Coronale CT-scan van de orbita van de 53-jarige patiënt. De sinus maxillaris en de etmoïdcellen aan linkerzijde zijn volledig gesluierd. Ook is zichtbaar dat de sinusitis is doorgebroken naar de orbita. Daarbij is de m. rectus inferior verdikt. Er was sprake van proptosis van de linker oogbol (niet zichtbaar op deze coupe).
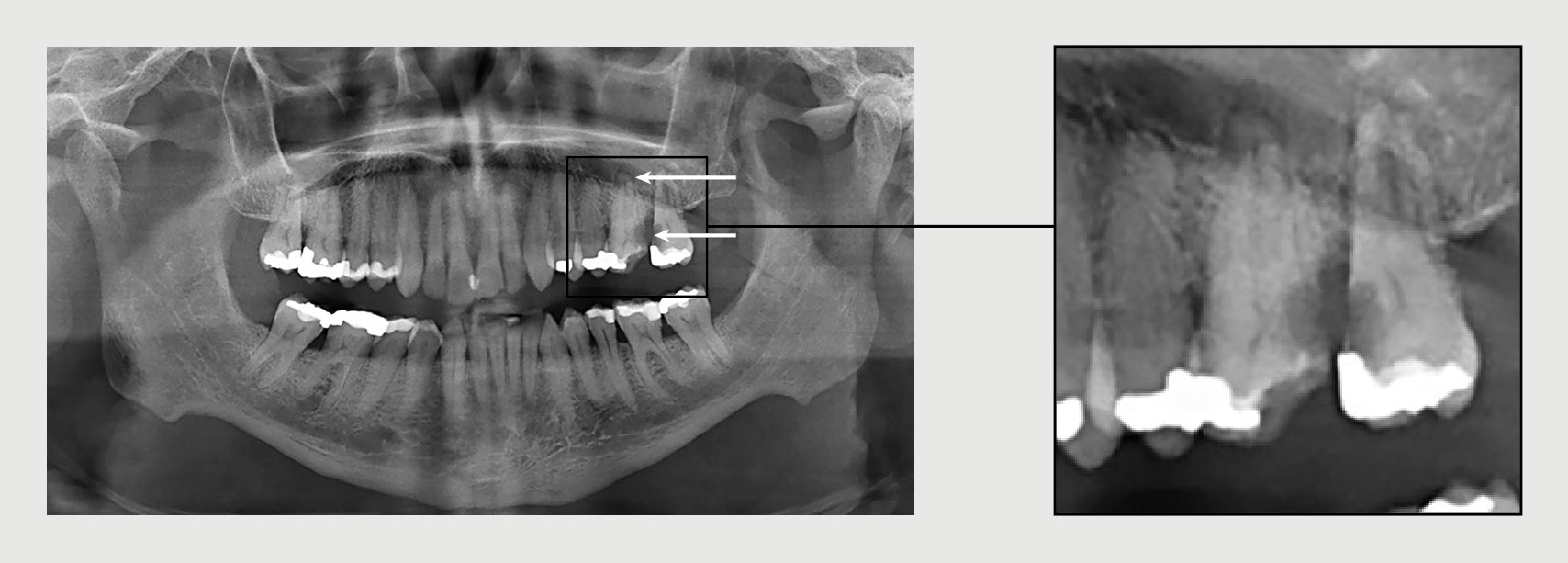
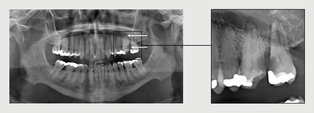
Figuur 3
Orthopantomogram
Figuur 3 | Orthopantomogram
Orthopantomogram van de patiënt. Er is een duidelijke cariës profunda te zien van gebitselementen 26 en 27 (onderste pijl). Tevens is er een radiolucente afwijking zichtbaar rond de wortelpunt van elementen 26 en 27 (bovenste pijl).

De elementen 26 en 27 werden verwijderd onder lokale anesthesie. Ter plaatse van element 26 was de wortelpuntontsteking door het bot heen gebroken naar de sinus maxillaris. Na extractie van element 26 kon de geabcedeerde sinusitis worden gedraineerd via de extractieholte. Met een kweek van de pus werden de anaerobe gramnegatieve staven Parvimonas micra en Prevotella nigrescens aangetoond. De patiënt werd behandeld met amoxicilline/clavulaanzuur 1000/200mg 4 dd intraveneus. Het ziektebeeld klaarde binnen enkele dagen zichtbaar op en na drie dagen kon de patiënt met orale antibiotica met ontslag (amoxicilline/clavulaanzuur 500/125mg 3 dd gedurende twee weken).

Bij de controle bij de orthoptist vijf maanden na de tandextracties was het linker oog volledig hersteld (zie figuur 1).

Beschouwing

Postseptale cellulitis

Postseptale cellulitis is een aandoening die het vaakst voorkomt bij kinderen en jongvolwassenen.1 Dit komt doordat kinderen een kleinere schedel hebben dan volwassenen, hun paranasale sinussen en orbitale septum nog niet volledig zijn ontwikkeld en hun lamina papyracea nog dun is.2 Een postseptale cellulitis bij kinderen wordt in de meeste gevallen veroorzaakt door een sinusitis, met name een etmoïditis.

Bij volwassenen wordt echter vaak gezien dat er een andere oorzaak ten grondslag ligt aan de postseptale cellulitis, zoals bij onze patiënt, namelijk een dentogeen focus.1 Het is daarom raadzaam altijd waakzaam te zijn als bij een patiënt op hogere leeftijd een unilaterale rinosinusitis wordt geconstateerd.3

Bij unilaterale rinosinusitis kunnen meerdere oorzaken worden overwogen, zoals een eenzijdige obstructie door bijvoorbeeld een papilloom of neoplasma.3 Daarnaast heeft 40% van de unilaterale sinusitiden een dentale oorzaak.4 Laagdrempelige verwijzing naar de tandarts kan zeer belangrijk zijn voor de diagnostiek.

Het gebit als infectiebron

De wortels van de premolaren en molaren in de bovenkaak staan vaak in nauwe verbinding met de bodem van de sinus maxillaris. Bij onze patiënt is door cariës profunda in element 26 een necrotische pulpitis ontstaan met een ontsteking aan de wortelpunt. Vanuit deze apicale ontsteking is de infectie doorgebroken naar de sinus maxillaris, waarna een sinusitis is ontstaan.

Een sinusitis kan via verschillende routes tot een orbitale infectie leiden, namelijk: (a) via de weg van de minste weerstand: via het infundibulum nasale naar de ethmoïdcellen en vervolgens via een perforatie van de lamina papyracea naar de orbita en oogleden; of (b) door retrograde verspreiding via het veneuze systeem (retrograde tromboflebitis), wat kan voorkomen wanneer de kleppen in de venen van het gelaat ontbreken (figuur 4).5

Figuur 4
Van dentogene infectie naar een orbitale cellulitis
Figuur 4 | Van dentogene infectie naar een orbitale cellulitis
Weergave van twee mogelijke routes waarbij een dentogene infectie leidt tot en orbitale cellulitis. (a) De weg van de minste weerstand: de infectie rond tandwortelpunt verspreidt zich via de sinus maxillaris, het infundibulum nasi, de sinus ethmoidalis en de lamina papyracea naar de orbita. (b) Retrograde verspreiding via het veneuze systeem. De infectie rond de tandwortelpunt verspreidt zich via de v. facialis en de v. ophtalmica inferior naar de orbita.

Een infectie rond de tandwortelpunt kan chronisch en sluimerend aanwezig zijn, zonder evidente klinische symptomen. Daarom is het belangrijk dentale klachten en behandelingen in het verleden uit te vragen en in kaart te brengen.7 Een unilaterale sinusitis is een reden om de mka-chirurg of tandarts te consulteren om een dentogeen focus uit te sluiten.

Diagnostiek

Diagnostisch kan er onderscheid worden gemaakt tussen een pre- en postseptale cellulitis. Bij een preseptale cellulitis is er sprake van een infectie van het ooglid en de huid rond het oog aan de voorzijde van het orbitale septum. Bij een postseptale cellulitis bevindt de infectie zich achter het orbitale septum (figuur 5).

Figuur 5
Het orbitale septum
Figuur 5 | Het orbitale septum
Schematische weergave van een doorsnede van de orbita. Bij een orbitale infectie wordt op basis van de locatie ten opzichte van het orbitale septum onderscheid gemaakt tussen pre- en postseptale cellulitis.

De diagnostiek en behandeling van een orbitale cellulitis werd in 2017 beschreven in een klinische les in het NTvG en uiteengezet in een stroomdiagram.6 Een consult bij de tandarts of mka-chirurg wordt hierin niet benoemd. Het stroomdiagram uit 2017 houdt echter onvoldoende rekening met een eventuele dentogene oorzaak. Naar aanleiding van onze casus adviseren wij om het stroomdiagram aan te vullen met een verwijzing naar de tandarts of mka-chirurg (supplement).

Beeldvorming bij een orbitale cellulitis is onontbeerlijk, omdat de complicaties ernstige gevolgen kunnen hebben. Het is hierbij van groot belang om zowel het aangezicht als de schedel volledig in beeld te brengen met CT-scan met contrast en 1 mm-coupes.

Wat had er anders gekund?

Aan onze patiënt werd in eerste instantie alleen een oraal antibioticum voorgeschreven, wat niet rijmt met de eerste-keusbehandeling bij verdenking op een orbitale cellulitis, zoals beschreven in het stroomdiagram dat als supplement bij dit artikel is gevoegd. Als de oogarts bij het eerste consult het probleem had herkend en de patiënt meteen had behandeld volgens het stroomschema, had de lange nasleep voor de patiënt voorkomen kunnen worden. D7193 Supplement

Bij onze patiënt werd bij de eerste CT-scan alleen de orbita afgebeeld. Als hierbij ook de maxilla inclusief de bovenelementen en sinussen afgebeeld waren, was de oorzaak waarschijnlijk eerder aan het licht gekomen.

Conclusie

Bij een volwassen patiënt met een unilaterale orbitale cellulitis als gevolg van een unilaterale sinusitis maxillaris moet differentiaaldiagnostisch altijd aan een dentogene oorzaak worden gedacht. Om de juiste diagnose te kunnen stellen moet het klinisch beeld worden herkend, tandheelkundig onderzoek worden uitgevoerd en het juiste beeldvormende onderzoek worden verricht. Door een tijdige diagnose en behandeling kunnen ernstige complicaties en een langdurig ziektebeloop worden voorkomen. Hierbij is een goede samenwerking tussen de oogarts, kno-arts, mka-chirurg en de huisarts of tandarts onontbeerlijk.

Literatuur
  1. Murphy C, Livingstone I, Foot B, Murgatroyd H, MacEwen CJ. Orbital cellulitis in Scotland: current incidence, aetiology, management and outcomes. Br J Ophthalmol. 2014;98:1575-8. doi:10.1136/bjophthalmol-2014-305222. Medline

  2. Healy GB. Chandler et al.: “The pathogenesis of orbital complications in acute sinusitis.” (Laryngoscope 1970;80:1414-1428). Laryngoscope. 1997;107:441-6. doi:10.1097/00005537-199704000-00002. Medline

  3. Rudralingam M, Jones K, Woolford TJ. The unilateral opaque maxillary sinus on computed tomography. Br J Oral Maxillofac Surg. 2002;40:504-7. doi:10.1016/S0266-4356(02)00225-5. Medline

  4. Vestin Fredriksson M, Öhman A, Flygare L, Tano K. When maxillary sinusitis does not heal: findings on CBCT scans of the sinuses with a particular focus on the occurrence of odontogenic causes of maxillary sinusitis. Laryngoscope Investig Otolaryngol. 2017;2:442-6. doi:10.1002/lio2.130. Medline

  5. Hoxworth JM, Glastonbury CM. Orbital and intracranial complications of acute sinusitis. Neuroimaging Clin N Am. 2010;20:511-26. doi:10.1016/j.nic.2010.07.004. Medline

  6. Van der Poel NA, van der Veer EG, Ebbens FA, de Win MM, Kloos RJ, Mourits MP. Diagnostiek en behandeling van orbitale cellulitis. Ned Tijdschr Geneeskd. 2017;161:D1342.

  7. Elwany S, Ibrahim AA, Hussein WKA, Medra AM, Elwany N. Ten-year experience with multidisciplinary diagnosis and treatment of odontogenic sinusitis. J Laryngol Otol. 2021;135:987-92. doi:10.1017/S0022215121002310. Medline

Auteursinformatie

MUMC+, Maastricht. Afd. Mondziekten, Kaak- en Aangezichtschirurgie: drs. B.P. van Lieshout, aios; dr. G.K.P. Bittermann, mka-chirurg; drs. L.A.A. Vaassen, mka-chirurg en hoofd-hals oncoloog (tevens: MUMC+, afd. GROW – School for Oncology and Reproduction, Maastricht). Afd. Oogheelkunde: prof.dr. P.J. Ringens, oogarts.

Contact B.P. van Lieshout (birgit.van.lieshout@mumc.nl)

Belangenverstrengeling

Belangenconflict en financiële ondersteuning: er zijn mogelijke belangen gemeld bij dit artikel. ICMJE-formulieren met de belangenverklaring van de auteurs zijn online beschikbaar bij dit artikel.

Auteur Belangenverstrengeling
Birgit P. van Lieshout ICMJE-formulier
G.K.P. (Koen) Bittermann ICMJE-formulier
Peter J. Ringens ICMJE-formulier
Lauretta A.A. Vaassen ICMJE-formulier
Heb je nog vragen na het lezen van dit artikel?
Check onze AI-tool en verbaas je over de antwoorden.
ASK NTVG

Ook interessant

Reacties