Diagnose in beeld (392). Een vrouw met roodheid en zwelling van de mamma

Wat is de diagnose?
Abstract
J. Hagendoorn
R. Koelemij

Casus

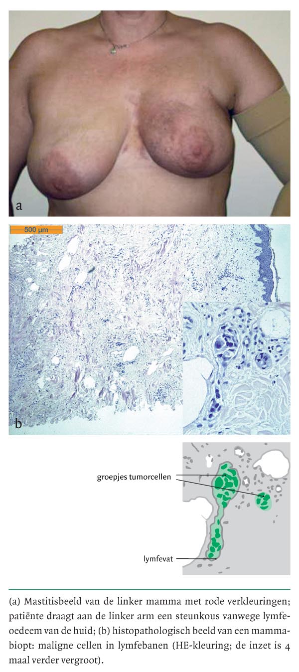
Een 40-jarige vrouw had sinds 6 weken last van roodheid van de linker mamma; de verkleuring had zich uitgebreid. Twee jaar eerder was bij haar een slecht gedifferentieerd ductaal adenocarcinoom, stadium T1cN0M0, radicaal verwijderd. De huisarts vermoedde een banale mastitis en begon met een antibiotische behandeling. Omdat de klachten niet verminderden, werd patiënte verwezen naar de dermatoloog, die haar gezien de voorgeschiedenis doorverwees. Bij lichamelijk onderzoek was er een duidelijk mastitisbeeld links met oedeem van de huid (figuur a) en een palpabele lymfeklier in de linker oksel. Een huidbiopt toonde een mastitis carcinomatosa (zie figuur b)…

Auteursinformatie

St. Antonius Ziekenhuis, afd. Algemene Chirurgie, Postbus 2500, 3430 EM Nieuwegein.

Hr.dr.J.Hagendoorn, arts; hr.dr.R.Koelemij, chirurg.

Contact hr.dr.R.Koelemij (r.koelemij@antonius.net)

Heb je nog vragen na het lezen van dit artikel?
Check onze AI-tool en verbaas je over de antwoorden.
ASK NTVG

Ook interessant

Reacties

In de rubriek 'Diagnose in beeld' worden de diagnostische dilemma’s van een vrouw met roodheid en zwelling van de linker mamma beschreven. De conclusies en aanbevelingen van de auteurs onderschrijven wij volledig: tijdige herkenning en verwijzing zijn van belang, groot belang. Echter, de beschreven casus bevat toch een aantal hinderlijke onduidelijkheden. De auteurs melden dat deze 40-jarige vrouw twee jaar eerder was behandeld in verband met een slecht gedifferentieerd ductaal carcinoom, stadium T1cN0M0. Er was toen sprake van een radicale verwijdering. Dit alles doet vermoeden dat patiënte een sparende behandeling van de linker borst heeft ondergaan en dat daarbij tevens bestraling van de linker borst is toegepast. De aangeleverde kleurenfoto doet inderdaad vermoeden dat de linker borst bestraald is geweest en dat minstens een deel van de zichtbare afwijkingen hiermee te verklaren is. Indien dit vermoeden juist is, dient dit, naar onze mening, uitdrukkelijk vermeld te worden. Het maakt het diagnostische dilemma alleen maar groter. Indien de linker borst 2 jaar tevoor niet bestraald werd, dient beter weergegeven te worden wat de optimale therapie is bij een 40-jarige patiënte met een mastitis carcinomatosa. De behandeling bestaat dan (in afwezigheid van hematogene metastasering) uit neo-adjuvante chemotherapie en locoregionale bestraling. Bij een mastitis carcinomatosa, echter, staat de (toegevoegde) waarde van chirurgie ter discussie omdat het verkrijgen van tumorvrije resectievlakken vaak niet lukt. Leids Universitair Medisch Centrum, afd. Klinische Oncologie, Leiden Prof.dr. Henk Struikmans en dr. Karen Neelis, radiotherapeuten