Het effect van hyperbare zuurstoftherapie

Cerebrale arteriële luchtembolie

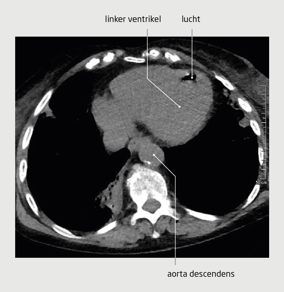
Röntgenbeeld
Abstract
Marloes S. Geers
Simone van der Sar-van der Brugge
Anouk G.W. van Norden
Rob A. van Hulst
Ingrid C.F. De Backer

Samenvatting

Achtergrond

Bij een iatrogene gasembolie is gas aanwezig in de vasculaire structuren, meestal als gevolg van een medische procedure. Zowel arteriële als veneuze gasembolieën kunnen klachten veroorzaken; gasembolieën in de coronairvaten of de cerebrale arteriën kunnen leiden tot een hart- of herseninfarct.

Casus

Een 79-jarige vrouw onderging een CT-geleide longbiopsie. Enkele minuten later ontwikkelde ze neurologische klachten. Na toediening van zuurstof verbeterde het klinisch beeld aanvankelijk, maar later verslechterde het opnieuw. Op basis van het klinisch beeld werd de werkdiagnose ‘luchtembolie’ gesteld. De patiënte werd behandeld met hyperbare zuurstoftherapie. Daarna herstelde ze volledig.

Conclusie

Een luchtembolie is een zeldzame, maar potentieel levensbedreigende complicatie. Vroegtijdige herkenning kan leiden tot eerdere behandeling en een betere prognose. De behandeling bestaat uit stabilisatie volgens de ABCDE-methodiek en toediening van 100% zuurstof. Bij patiënten met neurologische of circulatoire problemen is het advies om zo snel mogelijk contact op te nemen met een centrum waar hyperbare zuurstoftherapie kan worden geboden.

Auteursinformatie

Erasmus MC, afd. Longgeneeskunde, Rotterdam: M.S. Geers, MSc, aios longgeneeskunde. Amphia ziekenhuis, Breda. Afd. Longgeneeskunde: drs. S. van der Sar-van der Brugge en dr. I.C.F. De Backer, longartsen. Afd. Neurologie: dr. A.G.W. van Norden, neuroloog. Amsterdam UMC, afd. Anesthesiologie, Amsterdam: prof.dr. R.A. van Hulst, anesthesioloog en hoogleraar hyperbare en duikgeneeskunde.

Contact M.S. Geers (m.geers@erasmusmc.nl)

Belangenverstrengeling

Belangenconflict en financiële ondersteuning: er zijn mogelijke belangen gemeld bij dit artikel. ICMJE-formulieren met de belangenverklaring van de auteurs zijn online beschikbaar bij dit artikel.

Auteur Belangenverstrengeling
Marloes S. Geers ICMJE-formulier
Simone van der Sar-van der Brugge ICMJE-formulier
Anouk G.W. van Norden ICMJE-formulier
Rob A. van Hulst ICMJE-formulier
Ingrid C.F. De Backer ICMJE-formulier
Heb je nog vragen na het lezen van dit artikel?
Check onze AI-tool en verbaas je over de antwoorden.
ASK NTVG

Ook interessant

Reacties