Appendagitis epiploica: een onderbelichte zelflimiterende acute buikaandoening

Onderzoek
Abstract
A.C. van Breda Vriesman
J.C.A. de Mol van Otterloo
J.B.C.M. Puylaert
Download PDF

Samenvatting

Doel

Beschrijven van de klinische bevindingen en het vaststellen van het natuurlijke beloop bij patiënten met appendagitis epiploica.

Opzet

Retrospectief.

Methode

Onderzoek van de klinische gegevens uit de medische dossiers van alle patiënten met appendagitis epiploica, bij wie met echografie en CT de diagnose werd gesteld in het Medisch Centrum Haaglanden, locatie Westeinde, in de periode juni 1988-oktober 2001.

Resultaten

De studiegroep bestond uit 49 patiënten, 38 mannen en 11 vrouwen, met een mediane leeftijd van 41 jaar. De hoofdklacht was focale buikpijn met een mediane diagnostische vertraging bij de patiënt van 2 dagen, gelokaliseerd in het linker onderkwadrant (n = 34), rechter onderkwadrant (n = 8), rechter bovenkwadrant (n = 6), of linker bovenkwadrant (n = 1) van de buik. Behalve misselijkheid en braken bij 2 patiënten waren andere klachten afwezig. Leukocytose en verhoogde bezinkingssnelheid van de erytrocyten werden gevonden bij respectievelijk 21 en 26 van de patiënten, en tekenen van peritonitis bij 53. Bij 2 patiënten werd de juiste diagnose op klinische gronden overwogen. Bij alle patiënten was er een ongecompliceerd spontaan herstel onder conservatieve behandeling; het merendeel was klachtenvrij binnen 9 dagen.

Conclusie

Door toegenomen gebruik van beeldvormende diagnostiek bij patiënten met acute buikklachten wordt appendagitis epiploica aanzienlijk vaker gediagnosticeerd dan voorheen. Klinisch wordt de aandoening meestal niet onderkend door de afwezigheid van onderscheidende symptomen. De ziekte heeft een goedaardig natuurlijk beloop, en een juiste diagnose met echografie en CT voorkomt een onnodige operatie en behandeling.

artikel

Inleiding

Appendices epiploicae zijn kleine gesteelde vetaanhangels aan de buitenzijde van het colon (figuur 1). De exacte functie van deze appendices is onbekend, maar gedacht wordt aan een rol bij het afdekken en het inperken van een lokale ontsteking, vergelijkbaar met de functie van het omentum, en aan vetopslag als energiereserve.1 Door torsie of knikken van de steel van de appendix of door spontane veneuze trombose kan een appendix epiploica ischemisch worden en infarceren.2 3 Vanwege de daaropvolgende steriele ontsteking is dit ziektebeeld ‘appendicitis epiploica’ genoemd, maar om verwarring te voorkomen met ontsteking van de appendix vermiformis wordt dit vaak vervangen door ‘appendagitis epiploica’.2

De klinische presentatie van patiënten met appendagitis epiploica is beschreven als aspecifiek, vergelijkbaar met die van vaak voorkomende acute buikaandoeningen zoals appendicitis of sigmoïddiverticulitis.3 4 Het is dan ook begrijpelijk dat de juiste diagnose op basis van klinische bevindingen slechts zelden wordt gesteld. Een foutieve diagnose kan resulteren in operatie, ziekenhuisopname of antibiotische therapie. Geen van deze behandelingen lijkt geïndiceerd, aangezien het natuurlijk beloop van appendagitis epiploica als goedaardig is beschreven,4-6 hoewel er in de literatuur ook een enkele patiënt gemeld is met een gecompliceerd verloop.7 8

Met echografie en computertomografie is men goed in staat appendagitis epiploica te diagnosticeren.1 5 6 9 Toenemende aandacht voor de aandoening in de radiologische literatuur suggereert dat appendagitis epiploica, tot voor kort beschouwd als zeer zeldzaam, vaker voorkomt dan algemeen wordt aangenomen.

Wij verrichtten onderzoek met als doel het beschrijven van de klinische bevindingen en het vaststellen van het natuurlijke beloop van deze aandoening.

patiënten en methoden

In ons ziekenhuis (een algemeen perifeer stadsziekenhuis met 600 bedden) is het beleid erop gericht om in principe bij alle patiënten met acute of subacute buikpijnklachten aanvullend echografisch onderzoek te verrichten. Jaarlijks worden om deze reden ongeveer 1500 buikechografieën verricht, waarbij in de regel de gehele buik wordt onderzocht.

Wij verrichtten een retrospectieve analyse van de klinische gegevens uit de dossiers van alle patiënten in ons ziekenhuis bij wie de diagnose ‘appendagitis epiploica’ gesteld werd in de periode juni 1988-oktober 2001. Bij alle patiënten in onze studiegroep werd de diagnose echografisch gesteld en met CT bevestigd. De patiënten werden voor beeldvormende diagnostiek verwezen door de huisarts of door een arts van de afdeling Spoedeisende Hulp. Het klinische beloop werd bij een deel van de patiënten door een chirurg poliklinisch gevolgd, een ander deel werd terugverwezen naar de huisarts met de afspraak contact op te nemen met het ziekenhuis bij verandering, toename of aanhouden van de klachten. Bij meerdere patiënten werd het beloop tevens echografisch gecontroleerd.

Patiënten werden geïncludeerd indien: (a) de bevindingen bij echografie en CT karakteristiek waren voor appendagitis epiploica, (b) er geen aanwijzingen waren bij echografisch onderzoek of bij CT voor een alternatieve diagnose zoals appendicitis of diverticulitis, en (c) er zich in het verdere beloop geen andere diagnose aandiende.

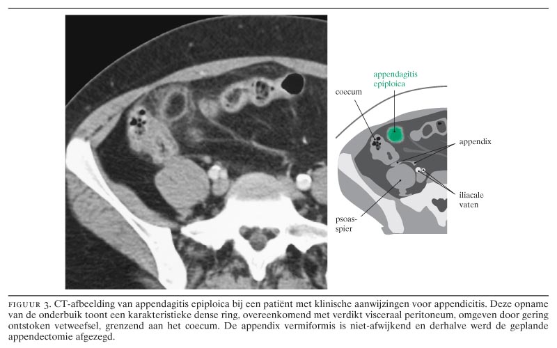
De karakteristieke echografische bevinding bij appendagitis epiploica is een 1 tot 4 cm grote intra-abdominaal gelokaliseerde massa van echorijk ontstoken vetweefsel, dat vastzit aan het colon, exact op de plek van de meeste pijnklachten (figuur 2).5 9 Met CT bevestigt men de diagnose door het aantonen van een karakteristieke dense ring in of rondom het ontstoken vetweefsel (figuur 3), hetgeen overeenkomt met oedemateus verdikt visceraal peritoneum rondom de ontstoken appendix epiploica.5 6 9

resultaten

De studiegroep bestond uit 49 patiënten met appendagitis epiploica en was opgebouwd uit 38 mannen en 11 vrouwen, met een mediane leeftijd van 41 jaar (uitersten: 13-73). De klinische bevindingen bij de patiënten staan in de tabel. Alle patiënten hadden klachten van lokale buikpijn, met een mediane periode van 2 dagen tussen het begin van de klachten tot aan het consulteren van een dokter (uitersten: 1-16). De pijn werd aangegeven in het linker onderkwadrant door 34 patiënten (69), in het rechter onderkwadrant door 8 patiënten (16), in het rechter bovenkwadrant door 6 patiënten (12) en in het linker bovenkwadrant door 1 patiënt (2). Behoudens klachten van misselijkheid en braken bij 2 patiënten (4) waren andere klachten afwezig. Geen van de patiënten noemde een duidelijke oorzaak voor de klachten of een luxerende activiteit die voorafging aan de klachten.

Lokale loslaatpijn als teken van peritoneale prikkeling was aanwezig bij 26 patiënten (53). De lichaamstemperatuur, het leukocytengetal en de bezinkingssnelheid van de erytrocyten (BSE) werden gemeten bij 34 patiënten. Bij de overige 15, die allen door de huisarts direct voor echografisch onderzoek waren verwezen, werden deze parameters niet gemeten. De mediane lichaamstemperatuur was 37,3°C (uitersten: 36,4-37,9). Het mediane leukocytengetal was 8,6 × 109/l (uitersten: 4,8-14,8) en bij 7 patiënten (21) was het leukocytengetal hoger dan 10 × 109/l. De mediane BSE was 14 mm/1e uur (uitersten: 1-38) en bij 9 patiënten (26) was de BSE hoger dan 20 mm/1e uur.

De klinische waarschijnlijkheidsdiagnose voordat echografie en CT werd verricht, luidde ‘sigmoïddiverticulitis’ bij 32 patiënten (65), ‘appendicitis’ bij 10 patiënten (20), ‘cholecystitis’ bij 2 patiënten (4), ‘salpingitis’ bij 2 patiënten (4), ‘appendagitis epiploica’ bij 2 patiënten (4) en ‘nefrolithiasis’ bij 1 patiënt (2).

Beloop

Alle 49 patiënten werden conservatief behandeld, waarbij er geen medicijnen werden voorgeschreven. Geen van de patiënten werd geopereerd of ter observatie in het ziekenhuis opgenomen. Bij 32 patiënten werd het beloop poliklinisch gecontroleerd door een chirurg; bij allen trad er een spontaan herstel op zonder complicaties, waarbij de klachten volledig verdwenen na een mediane periode van 9 dagen, gerekend vanaf het begin van de klachten (uitersten: 3-44). Met de overige 17 patiënten werd afgesproken om contact op te nemen met het ziekenhuis bij aanhouden of veranderen van de klachten. Geen van deze patiënten werd voor klinische herbeoordeling in het ziekenhuis teruggezien, wijzend op een ongecompliceerd spontaan herstel ook in deze groep.

Bij 19 patiënten (39) werd echografisch controleonderzoek verricht na een mediane periode van 5 dagen na het stellen van de diagnose (uitersten: 1-67). In deze periode werd een langzame afname van de omvang van de ontstoken vetmassa waargenomen. Na 8 weken was de massa volledig verdwenen (n = 2).

beschouwing

Wanneer een patiënt zich presenteert met een ‘acute buik’, ziet de clinicus zich voor een complex, maar uitdagend probleem geplaatst. De differentiaaldiagnose van acute buikpijn is zeer uitgebreid, waarbij de geïndiceerde behandeling, afhankelijk van de aandoening, kan variëren van een spoedoperatie tot geruststelling van de patiënt. Bovendien is de klinische presentatie van een acute buikaandoening vaak atypisch en is een zekere diagnose, alleen op basis van klinisch onderzoek, lang niet altijd mogelijk. Om deze redenen wordt bij deze patiëntengroep in toenemende mate aanvullend beeldvormend onderzoek verricht, waarmee afwijkingen zowel kunnen worden aangetoond als uitgesloten.10 11 Dit ruimere gebruik van echografie en CT bij acute buikklachten heeft geleid tot nieuwe inzichten omtrent de epidemiologie en het natuurlijke beloop van verschillende ziektebeelden.

Betekenis van de radiologie voor de epidemiologie van appendagitis epiploica

In het tijdperk voor introductie van echografie en CT kwamen veel buikaandoeningen met een zelflimiterend karakter nooit aan het licht; wanneer de klachten niet ernstig genoeg werden geacht om een laparotomie te rechtvaardigen, werd de juiste diagnose vaak niet gesteld. In de huidige tijd, met laagdrempelig beeldvormend onderzoek, worden deze aandoeningen vaak wel opgespoord. Appendagitis epiploica lijkt een goed voorbeeld van deze ontwikkeling. De aandoening is voor het eerst beschreven aan het begin van de vorige eeuw,12 maar is daarna weinig bekend gebleven. Na de eerste vermelding van de diagnose, gesteld met CT 15 jaar geleden,13 heeft appendagitis epiploica toenemend aandacht gekregen in de literatuur en is ook in dit tijdschrift enkele jaren geleden beschreven, toen nog als ‘appendicitis epiploica’.14 Tot voor kort werd de aandoening als zeer zeldzaam beschouwd, met in totaal slechts 110 gevallen beschreven in de medische literatuur tot 1960,15 maar recent is duidelijk geworden dat de aandoening meer voorkomt dan voorheen werd aangenomen.5 6 9 In ons ziekenhuis stelden wij de diagnose bij 49 patiënten in 160 maanden tijd, omgerekend ongeveer eens per 3 maanden. Deze relatief hoge frequentie sluit aan bij publicaties waarbij appendagitis epiploica werd gevonden bij 2,3 tot 7,1 van de patiënten met een klinische diagnose ‘sigmoïddiverticulitis’ en bij 0,3 tot 1 van de patiënten met een klinische diagnose ‘appendicitis’.6 15

Kliniek

Appendagitis epiploica kan op alle leeftijden voorkomen, met een hoogste incidentie onder volwassenen mannen.2 3 Onze jongste patiënt was 13 jaar. In de literatuur is gesuggereerd dat de aandoening vaak voorkomt na een grote lichamelijke inspanning, maar geen van onze patiënten gaf deze of een andere oorzaak voor de klachten aan.5 Het belangrijkste symptoom is lokale acute of subacute buikpijn (zie de tabel), meestal links of rechts onder in de buik gelokaliseerd, hetgeen overeenkomt met de positie van het sigmoïd en het coecum, waar zich de meeste appendices epiploicae bevinden.1 Overige klachten zijn in de regel afwezig en de patiënt maakt geen zieke indruk.

Ruim de helft van onze patiënten had peritonealeprikkelingsverschijnselen en de ontstekingsparameters in het bloed waren bij ongeveer een kwart van de patiënten verhoogd. Deze bevindingen zijn aspecifiek en bootsen de kliniek na van vaak voorkomende aandoeningen zoals appendicitis en diverticulitis, hetgeen ook in onze studie leidde tot een foutieve klinische diagnose bij vrijwel alle patiënten. Alleen bij 2 patiënten, met pijn in het linker onderkwadrant en die te jong werden geacht voor diverticulitis, was de klinische waarschijnlijkheidsdiagnose ‘appendagitis epiploica’. Een mogelijke verklaring voor de juiste klinische diagnose bij deze 2 patiënten is de inmiddels grotere bekendheid van de clinici in ons ziekenhuis met dit ziektebeeld; 1 van de 2 patiënten was namelijk assistent-geneeskundige en had de appendagitis epiploica op grond van de klinische verschijnselen bij zichzelf reeds vermoed.

Radiologische diagnose

In tegenstelling tot de klinische diagnose is de radiologische diagnose van appendagitis epiploica betrouwbaar.1 5 6 9 Echografie is bij uitstek geschikt als eerste aanvullend onderzoek bij acute buikpijnklachten omdat deze goedkoop, niet-invasief en weinig belastend voor de patiënt is. Bij appendagitis epiploica kunnen de echografische bevindingen echter subtiel zijn en vooral bij onbekendheid met de aandoening kan men haar over het hoofd zien. CT is minder onderzoekerafhankelijk dan echografie en heeft een grote sensitiviteit en specificiteit voor het diagnosticeren van appendagitis epiploica, maar impliceert het gebruik van ioniserende stralen.5 6 Het (geringe) risico van de blootstelling aan deze straling dient steeds zorgvuldig te worden afgewogen tegenover het belang van de te verkrijgen diagnostische informatie.16 Bij patiënten met acute buikklachten, bij wie een onjuiste diagnose belangrijke gevolgen kan hebben voor het beleid en de prognose, speelt deze afweging in de regel een mindere rol.11

De radiologische differentiaaldiagnose van appendagitis epiploica is beperkt, met het omentuminfarct als belangrijkste aandoening.5 Het onderscheid tussen beide is klinisch van weinig belang, aangezien de behandeling hetzelfde is.17 Ontsteking van een appendix epiploica kan ook optreden als gevolg van een locoregionale ontsteking, meestal veroorzaakt door sigmoïddiverticulitis. Deze kan met echografie en CT worden uitgesloten als men daarbij geen lokaal ontstoken divertikel vindt.18

Behandeling

In het verleden, toen appendagitis epiploica vrijwel alleen bij laparotomie werd gediagnosticeerd, bestond de behandeling uit het operatief verwijderen van de ontstoken appendix epiploica. In de periode dat de diagnose non-invasief gesteld kan worden, is duidelijk geworden dat de behandeling veilig primair conservatief kan zijn, met geruststelling van de patiënt en zelfmedicatie met analgetica ‘zo nodig’. Met dit beleid hadden al onze patiënten een volledig spontaan herstel, meestal binnen 9 dagen.

Onze studie had tekortkomingen, deels inherent aan de retrospectieve studieopzet. Niet alle patiënten werden in het ziekenhuis gecontroleerd. Bij de recentere patiëntengroep werd poliklinische controle niet meer nodig geacht, op basis van onze voorgaande ervaringen met het zelflimiterende karakter van de aandoening. Verder was het niet mogelijk het aantal fout-positieve uitslagen te bepalen (dat wil zeggen het aantal malen dat met echografie en CT de diagnose ‘appendagitis epiploica’ werd gesteld terwijl de patiënt een andere ziekte had), mede door de afwezigheid van pathologische bevestiging van de diagnose. Het verkrijgen van chirurgisch of histologisch bewijs zou een onverantwoorde belasting voor de patiënten zijn geweest bij deze aandoening die spontaan herstelt. Wij menen dat de diagnose bij al onze patiënten juist was, aangezien zowel echografie als CT werd verricht, en waarbij de diagnose werd gesteld op basis van radiologische kenmerken waarvan uit de literatuur bekend is dat ze karakteristiek zijn voor pathologisch bewezen appendagitis epiploica.

conclusie

Appendagitis epiploica wordt klinisch vrijwel nooit herkend. De aandoening heeft geen specifieke klinische kenmerken die onderscheid mogelijk maken met appendicitis of sigmoïddiverticulitis. Alleen bij jonge patiënten met lokale buikpijn in het linker onderkwadrant zonder andere ziekteverschijnselen kan de diagnose op klinische gronden worden gesteld. De ziekte heeft een goedaardig natuurlijk beloop en een onjuiste diagnose of onbekendheid met de aandoening bij de behandelend arts kan daardoor leiden tot onterechte ziekenhuisopname, operatie, of onnodige medicamenteuze behandeling. Met echografie is men in staat de aandoening op te sporen en, bij aanvulling met CT, een specifieke diagnose te stellen waarmee overbehandeling kan worden voorkomen. Door toegenomen beeldvormend onderzoek in de huidige tijd is duidelijk geworden dat appendagitis epiploica aanzienlijk minder zeldzaam is dan algemeen wordt aangenomen.

Belangenconflict: geen gemeld. Financiële ondersteuning: geen gemeld.

Literatuur
  1. Ghahremani GG, White EM, Hoff FL, Gore RM, Miller JW,Christ ML. Appendices epiploicae of the colon: radiologic and pathologicfeatures. Radiographics 1992;12:59-77.

  2. Thomas JH, Rosato FE, Patterson LT. Epiploic appendagitis.Surg Gynecol Obstet 1974;138:23-5.

  3. Carmichael DH, Organ jr CH. Epiploic disorders. Conditionsof the epiploic appendages. Arch Surg 1985;120:1167-72.

  4. Rao PM, Rhea JT, Wittenberg J, Warshaw AL. Misdiagnosis ofprimary epiploic appendagitis. Am J Surg 1998;176:81-5.

  5. Rioux M, Langis P. Primary epiploic appendagitis:clinical, US, and CT findings in 14 cases. Radiology1994;191:523-6.

  6. Rao PM, Wittenberg J, Lawrason JN. Primary epiploicappendagitis: evolutionary changes in CT appearance. Radiology1997;204:713-7.

  7. Lee MP. Small bowel obstruction due to epiploicappendagitis. Am J Gastroenterol 1990;85:771-2.

  8. Romaniuk CS, Simpkins KC. Case report: pericolic abscesssecondary to torsion of an appendix epiploica. Clin Radiol1993;47:216-7.

  9. Molla E, Ripolles T, Martinez W, Morote V, Rosello-SastreE. Primary epiploic appendagitis: US and CT findings. Eur Radiol 1998;8:435-8.

  10. Puylaert JBCM. When in doubt, sound it out. Radiology1994;191:320-1.

  11. Gore RM, Miller FH, Pereles FS, Yaghmai V, Berlin JW.Helical CT in the evaluation of the acute abdomen. AJR Am J Roentgenol2000;174:901-13.

  12. Briggs WA. Torsion of appendices epiploicae and itsconsequences. Am J Med Sci 1908;135:864-70.

  13. Danielson K, Chernin MM, Amberg JR, Goff S, Durham JR.Epiploic appendicitis: CT characteristics. J Comput Assist Tomogr1986;10:142-3.

  14. Meulen PH ter, Prakken WJ, Ooms HWA. Appendicitisepiploica. Ned Tijdschr Geneeskd1999;143:159-61.

  15. McGeer PL, McKenzie AD. Strangulation of the appendixepiploica: a series of 11 cases. Can J Surg 1960;3:252-7.

  16. Dixon AK, Dendy P. Spiral CT: how much does radiationdose matter? Lancet 1998;352:1082-3.

  17. Breda Vriesman AC van, Mol van Otterloo AJC de, PuylaertJBCM. Epiploic appendagitis and omental infarction. Eur J Surg2001;167:723-7.

  18. Hollerweger A, Macheiner P, Rettenbacher T, Brunner W,Gritzmann N. Colonic diverticulitis: diagnostic value and appearance ofinflamed diverticula-sonographic evaluation. Eur Radiol2001;11:1956-63.

Auteursinformatie

Medisch Centrum Haaglanden, locatie Westeinde Ziekenhuis, Postbus 432, 2501 CK Den Haag.

Afd. Radiologie: A.C.van Breda Vriesman, assistent-geneeskundige (thans: radioloog, Rijnland Ziekenhuis, Leiderdorp); dr.J.B.C.M.Puylaert, radioloog.

Afd. Chirurgie: dr.J.C.A.de Mol van Otterloo, chirurg.

Contact dr.J.B.C.M.Puylaert

Heb je nog vragen na het lezen van dit artikel?
Check onze AI-tool en verbaas je over de antwoorden.
ASK NTVG

Ook interessant

Reacties