Trombose en trombopenie na covid-19-vaccinatie

Klinische praktijk
Abstract
Karin Beelen
Judith Schouten
Myrte C. de Boer
Marlies Oostendorp
Roelie T.W. Tijssen
André J. Vlot
Download PDF

Samenvatting

Achtergrond

‘Vaccine-induced immune thrombotic trombocytopenia’ (VITT) is een zeldzaam ziektebeeld dat gepaard kan gaan met atypische klachten. Hoewel de prevalentie van VITT erg laag is, is het ziektebeeld bij meerdere vectorvaccins beschreven.

Casus

We beschrijven een casus van een 63-jarige vrouw met verwardheid en buikpijn na vaccinatie met het AstraZeneca-vaccin. Laboratoriumonderzoek toonde een trombocytopenie. Bij CT-onderzoek werden cerebrale veneuze sinustrombose en trombose van de V. renalis en V. adrenalis gezien. De diagnose ‘VITT’ werd bevestigd op basis van een positieve uitslag van de ‘heparin-induced thrombocytopenia’(HIT)-test. Na behandeling met immuunglobulines en een niet-heparineachtig anticoagulans verdween de buikpijn, verbeterden de cognitieve klachten en steeg het trombocytenaantal.

Conclusie

Tijdige herkenning en adequate behandeling volgens de recentelijk gepubliceerde leidraad zijn van belang om morbiditeit en mortaliteit te voorkomen.

artikel

Inleiding

Hoewel het risico op ‘vaccine-induced immune thrombotic trombocytopenia’ (VITT) na vaccinatie tegen covid-19 extreem klein is, is dit nieuwe ziektebeeld in potentie levensbedreigend. Patiënten met VITT kunnen zich presenteren met atypische klachten, zoals blijkt uit de casus die wij in dit artikel beschrijven.

Ziektegeschiedenis

Patiënte, een 63-jarige vrouw met een blanco voorgeschiedenis, kwam op de SEH vanwege verwardheid en buikpijn. 3 dagen ervoor had zij de huisartsenpost bezocht, omdat zij last had van een krampende pijn in de linker flank. De pijn was geduid als passend bij een niersteenkoliek en patiënte was behandeld met morfine i.m. en diclofenac. Er was geen laboratoriumonderzoek verricht. Een dag geleden had zij de SEH bezocht vanwege buikpijn en misselijkheid. Echografie van het abdomen had geen afwijkingen laten zien. Laboratoriumonderzoek had de volgende uitslagen getoond (referentiewaarden tussen haakjes): CRP: 44 mg/l (< 10); leukocytenaantal: 12,0 x 109/l (4,0-1,0); en trombocytenaantal: 103 x 109/l (150-400). In het urinesediment waren erytrocyten aangetroffen (1+). De klachten waren geduid als passend bij obstipatie door morfinegebruik.

Hoewel de buikpijn was afgenomen, kreeg patiënte de avond vóór het tweede SEH-bezoek last van cognitieve klachten en apraxie. Zij was traag en initiatiefloos. Uit de heteroanamnese bleek dat zij geen pre-existente geheugenstoornis had. Ook had zij geen hoofdpijn of visusklachten. Bij navraag bleek dat patiënte 12 dagen geleden was gevaccineerd tegen covid-19 met het AstraZeneca-vaccin. Patiënte had geen risicofactoren voor het ontwikkelen van veneuze trombo-embolieën en zij had nooit heparine toegediend gekregen.

Tabel
Laboratoriumwaarden bij bezoek aan de SEH en bij ontslag
Tabel | Laboratoriumwaarden bij bezoek aan de SEH en bij ontslag

Bij lichamelijk onderzoek zagen wij een niet-zieke, niet-adipeuze vrouw. Er waren geen tekenen van hemodynamische instabiliteit en de buik was soepel. Bij neurologisch onderzoek was sprake van desoriëntatie, traagheid, onvermogen tot rekenen en geheugenstoornissen. Laboratoriumonderzoek toonde een verlaagd trombocytenaantal (77 x 109/l) en een toegenomen CRP-concentratie (143 mg/l); de nierfunctie, PT en APTT waren niet afwijkend, net als de concentratie fibrinogeen. In de bloeduitstrijk werden geen fragmentocyten gevonden (tabel).

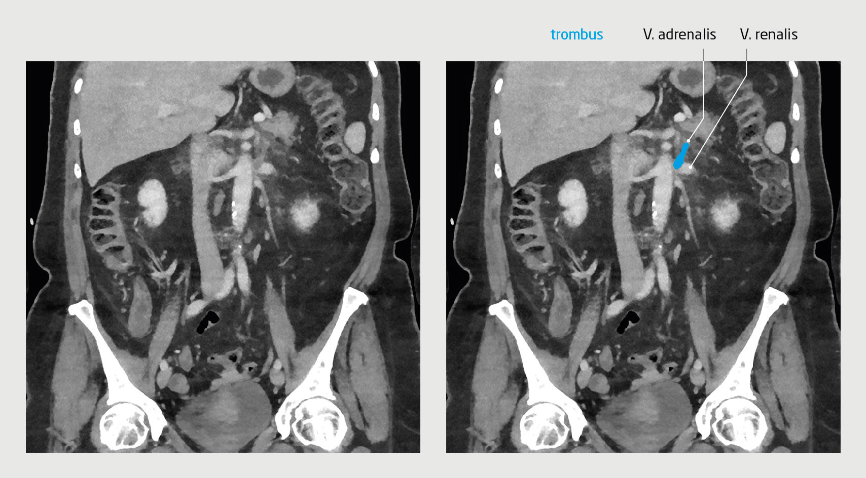
Figuur 1
Trombose van de V. renalis en V. adrenalis
Figuur 1 | Trombose van de V. renalis en V. adrenalis
Coronale CT-scan van het abdomen van een 63-jarige vrouw waarop na intraveneuze toediening van contrastmiddel trombose te zien is van de linker V. renalis en V. adrenalis.

Vanwege het klinisch beeld en het vermoeden van trombose na vaccinatie bepaalden wij geen D-dimeerconcentratie, maar verrichtten wij gericht beeldvormend onderzoek. Na intraveneuze toediening van contrastmiddel was op een CT-scan van het abdomen trombose te zien van de linker V. renalis en V. adrenalis (figuur 1). Een CT-scan van de hersenen met contrast toonde in de linker hersenhelft veneuze sinustrombose op de overgang van de sinus rectus naar de sinus transversus (figuur 2).

Figuur 2
Cerebrale veneuze sinustrombose
Figuur 2 | Cerebrale veneuze sinustrombose
Sagittale CT-scan van de hersenen van een 63-jarige vrouw waarop na intraveneuze toediening van contrastmiddel veneuze sinustrombose te zien is op de overgang van de sinus rectus naar de sinus transversus.

Met de werkdiagnose ‘VITT’ werd patiënte behandeld met fondaparinux 7,5 mg 1 dd s.c. en immuunglobulines 1 g/kg i.v. gedurende 2 dagen. Voorafgaand aan de behandeling werd bloed afgenomen voor een zogenoemde ‘heparin-induced thrombocytopenia’(HIT)-test (HPIA IgG Asserachrom ELISA, Stago BNL); de uitslag hiervan was positief (1,37; afkapwaarde: 0,17). Vervolgens werd de zogenoemde ‘heparin-induced platelet activation assay’ (HIPAA) uitgevoerd volgens de recentelijk gemodificeerde methode van Greinacher.1 Zelfs zonder toevoeging van plaatjesfactor (PF4) was de uitslag positief (reactietijd: 25 min). De reactie kon volledig worden geremd met hoge dosis heparine en het anti-FcγIIa-receptorantilichaam IV. Op basis hiervan werd de diagnose ‘VITT’ definitief gesteld.

Tijdens de ziekenhuisopname verdween de buikpijn en verbeterden de cognitieve klachten. Na 4 dagen kon patiënte uit het ziekenhuis worden ontslagen. Op dat moment was er nog sprake van lichte traagheid en had patiënte moeite met rekenen. Het trombocytenaantal was gestegen naar 111 x 109/l.

Beschouwing

Het beloop van onze casus illustreert dat VITT diffuse en atypische klachten kan geven en daarom niet altijd direct herkend wordt. Bij de eerste presentatie op de SEH werd de combinatie van buikpijn, misselijkheid en een geringe trombocytopenie niet als alarmerend beschouwd. Bovendien was niet aan patiënte gevraagd of zij recentelijk was gevaccineerd. De combinatie van een dalend trombocytenaantal en neurologische klachten was de aanleiding om bij het tweede SEH-bezoek toch aan VITT te denken. De afwezigheid van fragmentocyten in de bloeduitstrijk sloot een trombotische micro-angiopathie uit.

Epidemiologie

De prevalentie van VITT wordt geschat op minder dan 1 op de 10.000 gevaccineerden.2 Het merendeel van de patiënten met VITT is vrouw én jonger dan 55 jaar. Aanvankelijk werd VITT alleen beschreven na vaccinatie tegen covid-19 met het AstraZeneca-vaccin, maar onlangs is VITT ook beschreven na vaccinatie met het Janssen-vaccin.3,4 Het is daarom aannemelijk dat VITT een zogenoemde vectorvaccin-specifieke bijwerking is.

Pathofysiologie

Het pathofysiologische mechanisme van VITT is nog niet geheel opgehelderd. Er worden antilichamen gevormd die gericht zijn tegen PF4 en de trombocyt activeren, wat leidt tot trombose én trombocytopenie. Dit mechanisme lijkt op dat van HIT, maar bij VITT is heparine geen uitlokkende factor.5,6

Klachten

Behalve typische klachten die passen bij diepveneuze trombose of een longembolie, kunnen bij VITT atypische klachten optreden, zoals buikpijn en neurologische klachten als hoofdpijn, focale klachten, epilepsie, een gestoorde visus en cognitieve klachten. Bij patiënten met een trombocytopenie kunnen ook bloedingen en petechiën voorkomen. Het is van belang om bij elke patiënt met (atypische) klachten van trombose te vragen naar recente vaccinaties.

Diagnostiek

Bij een patiënt bij wie VITT wordt vermoed moet een HIT-test worden ingezet. Zie hiervoor de recentelijk gepubliceerde leidraad ‘Diagnostiek en behandeling van patiënten met trombocytopenie met of zonder trombose na COVID-19 vaccinatie’.7 Bij VITT in een vroeg stadium kan sprake zijn van trombocytopenie zonder trombose. De HIT-test bestaat uit 2 stappen. In eerste instantie wordt een immuno-assay uitgevoerd waarbij antilichamen tegen het complex van PF4 en heparine worden aangetoond. Omdat niet alle HIT-testen gevoelig genoeg zijn om VITT aan te kunnen tonen, moet bij elke patiënt bloed afgenomen worden voor een ELISA-test via Sanquin. Bij een negatieve uitslag van de HIT-test kan de diagnose ‘VITT’ nog niet geheel worden uitgesloten.8 Als de testuitslag positief is, kan de diagnose ‘VITT’ bevestigd worden met een functionele test, zoals bij de patiënte uit de casus het geval was.

Behandeling en prognose

De behandeling van patiënten met VITT bestaat uit het intraveneus toedienen van immuunglobulines, nadat bloed is afgenomen voor de HIT-test. Hoewel heparine niet de trigger is voor trombocytenaggregatie, is antistolling in de vorm van een niet-heparineachtig anticoagulans geadviseerd, zoals argatroban, danaparoïde, een DOAC of fondaparinux. Men moet terughoudend zijn met een trombocytentransfusie; de toediening van trombocyten vindt bij voorkeur plaats na toediening van immuunglobulines.7 Bij tijdige herkenning en behandeling is de prognose – voor zover nu bekend – gunstig.

Conclusie

Vaccine-induced immune thrombotic trombocytopenia’ (VITT) is een nieuw ziektebeeld dat gepaard kan gaan met atypische klachten. Hoewel de prevalentie van VITT erg laag is, is het ziektebeeld bij meerdere vectorvaccins beschreven. Tijdige herkenning en adequate behandeling volgens de recentelijk gepubliceerde leidraad zijn van belang om morbiditeit en mortaliteit te voorkomen.

Literatuur
  1. Greinacher A, Michels I, Kiefel V, Mueller-Eckhardt C. A rapid and sensitive test for diagnosing heparin-associated thrombocytopenia. Thromb Haemost. 1991;66:734-6. Medline

  2. European Medicines Agency. Vaxzevria (previously COVID-19 Vaccine AstraZeneca). www.ema.europa.eu/en/medicines/human/EPAR/vaxzevria-previously-covid-19-vaccine-astrazeneca, geraadpleegd op 30 april 2021.

  3. COVID-19 vaccine safety update. COVID-19 vaccine Janssen. Amsterdam: European Medicines Agency; 2021.

  4. Muir KL, Kallam A, Koepsell SA, Gundabolu K. Thrombotic thrombocytopenia after Ad26.COV2.S vaccination. N Engl J Med. 14 april 2021 (epub). doi:10.1056/NEJMc2105869. Medline

  5. Greinachter A, Thiele T, Warkentin TE, Wiesser K, Kyrle PA, Eichinger S. Thrombotic thrombocytopenia after ChAdOx1 nCov-19 vaccination. N Engl J Med. 9 april 2021 (epub). doi:10.1056/NEJMoa2104840. Medline

  6. Schultz NH, Sørvoll IH, Michelsen AE, et al. Thrombosis and thrombocytopenia after ChAdOx1 nCoV-19 vaccination. N Eng J Med. 9 april 2021. doi:10.1056/NEJMoa2104882. Medline

  7. Kruip MJHA, Eikenboom HCJ, Klok FA, et al. Leidraad Diagnostiek en behandeling van patiënten met trombocytopenie met of zonder trombose na COVID-19 vaccinatie. Utrecht: Nederlandse Internisten Vereniging; 2021.

  8. Scully M, Singh D, Lown R, et al. Pathologic antibodies to platelet factor 4 after ChAdOx1 nCoV-19 vaccination. N Engl J Med. 16 april 2021 (epub). doi:10.1056/NEJMoa2105385. Medline

Auteursinformatie

Rijnstate, Arnhem. Afd. Interne Geneeskunde: dr. K. Beelen, internist-oncoloog; dr. A.J. Vlot, internist-hematoloog. Afd. Neurologie: dr. J. Schouten, neuroloog. Afd. Radiologie: drs. M.C. de Boer, aios. Klinisch Chemisch en Hematologisch Laboratorium: dr. M. Oostendorp, klinisch chemicus. Afd. Spoedeisende Hulp: drs. R.T.W Tijssen, SEH-arts.

Contact K. Beelen (kbeelen@rijnstate.nl)

Belangenverstrengeling

Belangenconflict en financiële ondersteuning: geen gemeld.

Verantwoording

Dr. Leendert Porcelijn, arts (Sanquin, Amsterdam), voorzag ons van aanvullende informatie over de HIT-testen.

Auteur Belangenverstrengeling
Karin Beelen ICMJE-formulier
Judith Schouten ICMJE-formulier
Myrte C. de Boer ICMJE-formulier
Marlies Oostendorp ICMJE-formulier
Roelie T.W. Tijssen ICMJE-formulier
André J. Vlot ICMJE-formulier
Nieuw ziektebeeld: VITT
Dit artikel is gepubliceerd in het dossier
Covid-19
Heb je nog vragen na het lezen van dit artikel?
Check onze AI-tool en verbaas je over de antwoorden.
ASK NTVG

Ook interessant

Reacties

Gratis Ask NTVG uitproberen?

Maak met 2 klikken een gratis account aan

Account aanmaken

Heb je al een account of een abonnement? Inloggen

Altijd toegang tot alle publicaties van het NTVG?

Abonneer vandaag nog!

Online toegang tot alle artikelen
Gepersonaliseerde alerts voor artikelen en dossiers
Artikelen voor opleiding en nascholing mét geaccrediteerde toetsen
Onbeperkt luisteren naar de NTVG-podcast
Antwoorden op al je vragen via de AI-toepassing 'Ask NTVG'

Neem het digitaal ntvg abonnement

€ 15,93 per maand!

Ik wil digitaal
NTVG nummer 2 2026
NTVG nummer 3 2026
NTVG nummer 4 2026