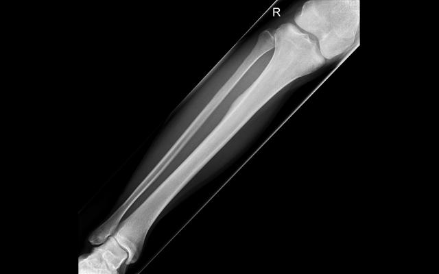
Dit artikel is alleen beschikbaar als PDF.Lees de PDF Artikelinformatie 11 februari 1878 Citeer dit artikel als Ned Tijdschr Geneeskd. 1878;22:645-7 Heb je nog vragen na het lezen van dit artikel? Check onze AI-tool en verbaas je over de antwoorden. ASK NTVG Ook interessant Diagnose in beeld Een jonge man met nachtelijke pijn in een scheenbeen Beeldquiz Een jonge man met nachtelijke pijn in een scheenbeen Nieuws Individueele en regionaire geuren van den mensch Meer gerelateerd … Reacties Login om een reactie te plaatsen
Reacties