Eructonesius: een onbekende uitingsvorm van myocardiale ischemie

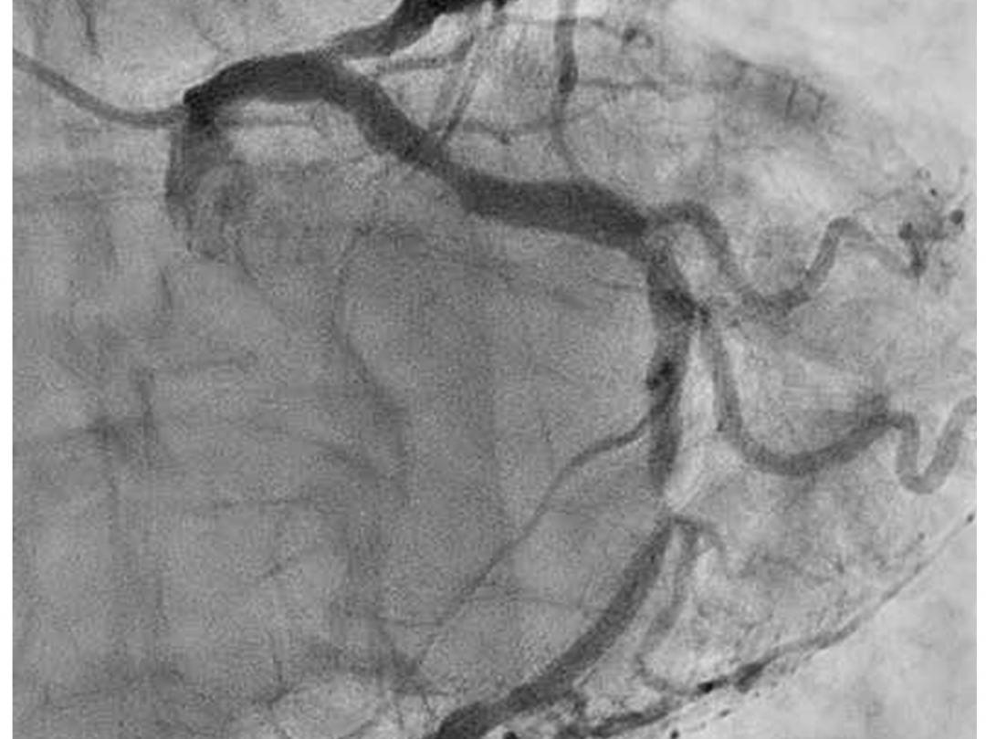
Angiogram van de A. coronaria sinistra.
Abstract
Bert Zwaenepoel
Karl Dujardin

Samenvatting

Achtergrond

Bij myocardiale ischemie is een tijdige diagnose belangrijk. Vaak verschijnen patiënten echter met atypische klachten. Eructonesius, oftewel het frequent opboeren van lucht, is een aspecifieke klacht. Deze klacht kan beschouwd worden als een pijnloze equivalent van angina pectoris.

Casus

Een 86-jarige man met gekende arteriële hypertensie wordt verwezen vanwege een lang aanslepende eructonesius. Aanvankelijk betrof het een geïsoleerde klacht, alleen uitgelokt door inspanning, maar na verloop van tijd ontstond deze ook in rust. Gastro-intestinale controle bleek geruststellend. Pas nadat er ook retrosternale klachten met uitstraling naar de linker arm ontstonden, werd de patiënt voor cardiologische controle verwezen. Hierbij werd een kritische stenose van de ramus circumflexus vastgesteld. Na angioplastiek was de patiënt klachtenvrij.

Conclusie

Myocardiale ischemie uit zich niet steeds in typische angina pectoris. Ook vage klachten kunnen een uiting zijn van de aandoening. Zeker indien er andere aanwijzingen voor een onderliggend cardiaal probleem zijn, dient myocardiale ischemie vrij laagdrempelig in de differentiaaldiagnose opgenomen te worden.

Auteursinformatie

AZ Delta, afd. Cardiologie, Roeselare, België: dr. B. Zwaenepoel, aios cardiologie en dr. K. Dujardin, cardioloog.

Contact B. Zwaenepoel (bert.zwaenepoel@ugent.be)

Belangenverstrengeling

Belangenconflict en financiële ondersteuning: geen gemeld.

Auteur Belangenverstrengeling
Bert Zwaenepoel ICMJE-formulier
Karl Dujardin ICMJE-formulier
Heb je nog vragen na het lezen van dit artikel?
Check onze AI-tool en verbaas je over de antwoorden.
ASK NTVG

Ook interessant

Reacties