Casus
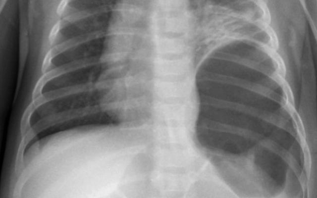
Een 3,5 maanden oud meisje, met een blanco voorgeschiedenis, werd verwezen naar de SEH vanwege een plotseling ontstane kreunende ademhaling. Wij zagen een wakker, bleek meisje met een kreunende ademhaling zonder verdere tekenen van verhoogde ademarbeid. De saturatie was 93-95%, zonder extra zuurstof. Over de longen hoorden we verminderd ademgeruis links, met links basaal-ventraal darmgeluiden in de thorax; over de buik hoorden we spaarzame peristaltiek. De lever was 5 cm onder de ribbenboog palpabel. Aanvullend werd een thoraxfoto gemaakt. Deze liet onverwachts een hernia diaphragmatica links zien met een gevulde dikkedarmlis in de thoraxholte en een verplaatsing van het…
Reacties