Een vrouw met acute dyspneu

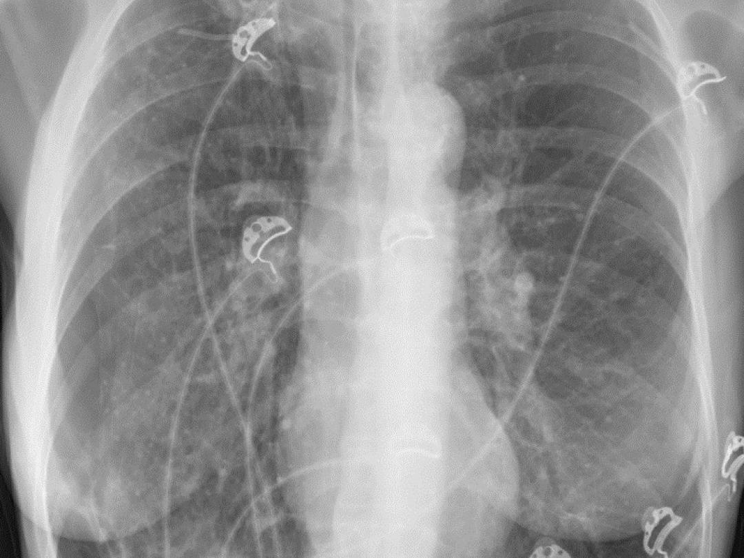
Röntgenfoto van een ribbenkast.
Abstract
Liz A.M. Leenders
Sergino L. Röntgen
Jean P.F.H.A. Simons

Casus

Een 54-jarige vrouw kwam op de SEH vanwege plotselinge dyspneu en pijn aan rechterzijde van de thorax. In de voorgeschiedenis had zij onder andere een pneumothorax aan rechterzijde waarvoor zij was behandeld met pleurodese, een voor maligniteit verdachte afwijking in de rechter bovenkwab waarvoor zij was bestraald en COPD in stadium GOLD 4 met emfyseem. Wij zagen een dyspnoïsche vrouw met een ademfrequentie van 24 per minuut en een zuurstofsaturatie van 99%. Zij had geen abdominale klachten. Bij longauscultatie was er verminderd ademgeruis aan de rechterzijde. Bij onderzoek van het abdomen was sprake van hypersonore percussie; bij palpatie was…

Auteursinformatie

Elisabeth-TweeSteden ziekenhuis, Tilburg. Afd. Spoedeisende Hulp: drs. L.A.M. Leenders, arts-assistent SEH; drs. S.L. Röntgen, SEH-arts. Afd. Longgeneeskunde: dr. J.P.F.H.A. Simons, longarts.

Contact S.L. Röntgen (s.rontgen@etz.nl)

Belangenverstrengeling

Belangenconflict en financiële ondersteuning: geen gemeld.

Auteur Belangenverstrengeling
Liz A.M. Leenders ICMJE-formulier
Sergino L. Röntgen ICMJE-formulier
Jean P.F.H.A. Simons ICMJE-formulier
Heb je nog vragen na het lezen van dit artikel?
Check onze AI-tool en verbaas je over de antwoorden.
ASK NTVG

Ook interessant

Reacties