Covid-19 vertroebelt onze denkwijze

Een jongen met een zeldzame longziekte

Klinische praktijk
Abstract
Tessa A.G. van Gansewinkel
Rick de Rooy
Gideon Latten
Jasenko Krdzalic
Philippe R. Rosias
Download PDF

Samenvatting

Achtergrond

In tijden van corona wordt bij een patiënt met luchtwegklachten bij wie op de CT-scan van de thorax afwijkingen met een matglas-aspect worden gezien, al snel gedacht aan covid-19.

Casus

Op het (voorlopige) hoogtepunt van de coronacrisis wordt een 12-jarige jongen tweemaal in het ziekenhuis opgenomen vanwege ernstige luchtwegklachten. De CT-scan van de thorax toont afwijkingen met een matglas-aspect. Aanvankelijk wordt gedacht aan een covid-19-pneumonie. Er blijkt echter sprake te zijn van een zeldzame interstitiële longziekte.

Conclusie

Door de verhoogde waakzaamheid op covid-19 ligt een tunnelvisie op de loer. Artsen moeten ook tijdens een gezondheidscrisis bedacht blijven op alternatieve diagnosen.

artikel

Inleiding

Op het (voorlopige) hoogtepunt van de coronacrisis wordt een 12-jarige jongen tweemaal in het ziekenhuis opgenomen vanwege ernstige luchtwegklachten. De CT-scan van de thorax toont afwijkingen met een matglas-aspect. Aanvankelijk wordt gedacht aan een covid-19-pneumonie. Er blijkt echter sprake te zijn van een zeldzame interstitiële longziekte. In dit artikel beschrijven we deze casus in meer detail en laten we zien hoe de verhoogde waakzaamheid op covid-19 onze denkwijze kan vertroebelen.

Ziektegeschiedenis

Patiënt, een 12-jarige jongen met autisme en obesitas, werd op het hoogtepunt van de coronacrisis verwezen naar de Spoedeisende Hulp vanwege sinds 3 weken bestaande intermitterende koorts, progressieve dyspneu, hoesten, algehele malaise en gewichtsverlies. Hij had geen contact gehad met een met het SARS-CoV-2-virus besmet persoon. De overige gezinsleden hadden geen klachten. Zijn moeder werkte in de zorgsector en in huis werd niet gerookt.

Bij lichamelijk onderzoek zagen wij een matig zieke jongen met een matig verhoogde ademarbeid, tachypneu (35 slagen/min) en een verlaagde perifere zuurstofsaturatie (88%). Hij was hemodynamisch stabiel en had geen koorts. Bij auscultatie hoorden wij basaal over de longen beiderzijds crepitaties. Laboratoriumonderzoek toonde een niet-afwijkend bloedbeeld, inclusief leukocytendifferentiatie, een lage CRP-concentratie (11 mg/l), een verhoogde LDH-concentratie (586 U/l) en een verhoogde concentratie van D-dimeren (940 ug/l). De röntgenfoto van de thorax toonde beiderzijds geringe alveolaire consolidaties. Op basis van deze bevindingen, de oxygenatieproblemen en een mogelijk risicocontact via de moeder dachten wij aan een covid-19-pneumoie. Patiënt werd opgenomen en behandeld met ceftriaxon en azitromycine volgens de geldende richtlijnen.1

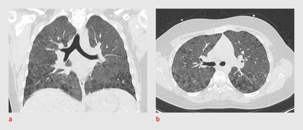
De uitslag van de PCR op nasofaryngeale uitstrijken voor het SARS-CoV-2-virus en andere respiratoire virussen (influenzavirus type A en B, humaan metapneumovirus, para-influenzavirus type 3, respiratoir syncytieel virus type A en B, Mycoplasma pneumoniae) was bij herhaling negatief. Vanwege een onveranderd klinisch beeld en de kans op een fout-negatieve PCR-uitslag werd een lagedosis-CT-scan van de thorax verricht. Deze toonde beiderzijds afwijkingen met een matglas-aspect en enkele kenmerken die niet overeenkwamen met het klassieke beeld van een covid-19-pneumonie bij volwassenen (zie figuur). De CO-RADS-score was 4, wat betekent dat de afwijkingen pasten bij covid-19 of andere infectie.2 De behandeling werd gecontinueerd. Patiënt bleef koortsvrij en herstelde langzaam. Na een opnameduur van 7 dagen kon hij ontslagen worden uit het ziekenhuis.

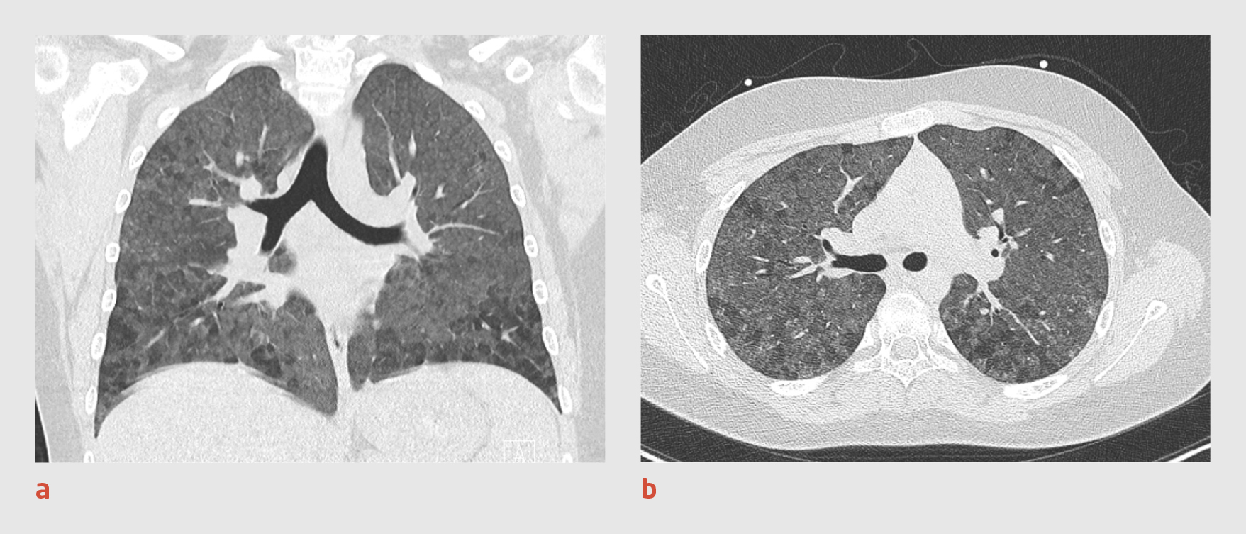
Figuur
 
Figuur |  
Blanco CT-scans van de thorax van een 12-jarige patiënt. (a) Op de coronale opname zijn beiderzijds afwijkingen met een matglas-aspect zichtbaar. De bovenste longvelden zijn vrijwel volledig aangedaan, de onderste longvelden in mindere mate. (b) Op de transversale opname is te zien dat deze afwijkingen zowel centraal als perifeer gelegen zijn en dat deze in contact komen met de pleura visceralis.

8 dagen later bezocht patiënt opnieuw de SEH, omdat zijn klachten waren verergerd. De uitslagen van het laboratoriumonderzoek waren niet veranderd. Vanwege het vermoeden van een longembolie bij een covid-19-pneumonie werd een CT-scan van de thorax verricht, waarbij intraveneus contrastmiddel werd toegediend. Op de scan was geen longembolie te zien. De afwijkingen met een maglas-aspect waren in omvang zelfs afgenomen, wat niet past bij progressie van covid-19. Ditmaal werden er onscherp begrensde, centrilobulaire noduli met een matglas-aspect gezien, met dynamische hyperinflatie (‘airtrapping’), perilymfatische noduli en symmetrische lymfadenopathie. Deze bevindingen pasten bij een niet-infectieuze, granulomateuze longziekte of een zeldzame, extrinsieke allergische alveolitis, conform een CO-RADS-score van 1.2-4 Vanwege aanhoudende respiratoire instabiliteit werd patiënt overgeplaatst naar de afdeling Intensive Care Kinderen.

Bij navraag bleek dat bij patiënt zo’n 30 parkieten en papegaaien in huis wonen. Differentiaaldiagnostisch dachten wij nu aan een extrinsieke allergische alveolitis of de papegaaienziekte (psittacose). Wij behandelden patiënt met doxycycline, totdat duidelijk werd dat de uitslag van de PCR voor Chlamydia psittaci negatief was. In het bloed werden precipitinen van het type IgG tegen parkieten en papegaaien gevonden. Wij stelden de waarschijnlijkheidsdiagnose ‘extrinsieke allergische alveolitis’. In de eerste zes dagen is continue respiratoire ondersteuning nodig middels hoge flow zuurstoftherapie (OptiflowTM, Fisher & Paykel Healthcare Ltd). Nadien kan deze gestaakt worden en is er langzame maar gestage respiratoire verbetering. Vanwege persisterende oxygenatieproblemen in slaap en bij inspanning behoeft patiënt een Oxymask, waarvoor hij van de Kinder-IC naar de Kinderafdeling wordt overgeplaatst. Na 26 dagen heeft hij geen zuurstofnood meer en kan hij het ziekenhuisverlaten.

Beschouwing

Onze casus illustreert dat de denkwijze van artsen in tijden van corona vertroebeld kan raken, dat niet elke patiënt met luchtwegklachten bij wie op de CT-scan van de thorax afwijkingen met een matglas-aspect worden gezien per definitie covid-19 heeft, en dat voortschrijdend inzicht vaak te traag schrijdt. Tijdens een gezondheidscrisis is kwalitatieve zorg – hoe hoog die ook in het vaandel staat – niet altijd even vanzelfsprekend, te meer wetenschappelijk onderbouwde kennis (bijvoorbeeld over het virus) vaak nog grotendeels ontbreekt.

Tunnelvisie

De diagnose ‘covid-19’ steunt op PCR-onderzoek van keel- en neusuitstrijken op het SARS-CoV-2-virus. Daarnaast kunnen er afwijkingen op een CT-scan van de thorax te zien zijn die die op basis van de gestandaardiseerde, niet-gevalideerde CO-RADS-classificatie passen bij covid-19, ook wanneer de PCR-uitslag meerdere malen negatief is.2,3 Omdat de meerwaarde van CT-onderzoek bij kinderen nog ter discussie staat, heeft dit onderzoek vooralsnog geen vaste plaats in de diagnostiek van covid-19. Door een verhoogde waakzaamheid op covid-19 kan tunnelvisie ontstaan, waardoor CT-scans mogelijk onjuist geïnterpreteerd worden. Bij de patiënt uit de casus werd pas na het toedienen van contrastmiddel bij de tweede CT-scan duidelijk dat er afwijkingen waren (onscherp begrensde, centrilobulaire noduli met een matglas-aspect, dynamische hyperinflatie, perilymfatische noduli en symmetrische lymfadenopathie) die pasten bij een andere aandoening dan covid-19.2,5-7

Extrinsieke allergische alveolitis

Extrinsieke allergische alveolitis, ook wel ‘hypersensitivity pneumonitis’, duivenmelkerslong of vogelhoudersziekte genoemd, is één van de meer dan 200 verschillende vormen van diffuse interstitiële longziekten. In Westerse landen is de geschatte jaarlijkse incidentie 0,4 per 100.000 kinderen en 0,3-2,7 per 100.000 volwassenen.5-7

Bij deze longziekte ontstaat alveolaire epitheelbeschadiging door een type III- of IV-hypersensitiviteitsreactie die wordt uitgelokt door herhaalde, intensieve blootstelling aan en sensitisatie voor inhalatieallergenen – vermoedelijk de uitwerpselen van parkieten en papegaaien – die via kleine druppels (aerosolen) worden verspreid.6,7 Afwijkende herstelmechanismen kunnen vervolgens leiden tot expansie en activatie van fibroblasten, overmatige collageendepositie en een verstoorde longarchitectuur.8 De patiënt uit de casus werd door de maatregelen tijdens de coronacrisis (quarantaine en schoolsluiting) waarschijnlijk intensiever blootgesteld aan de inhalatieallergenen.

In eerste instantie hebben patiënten met extrinsieke allergische alveolitis vaak last van griepachtige klachten, gevolgd door dyspneu, algehele malaise en gewichtsverlies.6,7 Centrilobulaire noduli met een matglas-aspect in de midden- en bovenkwab van de long zijn suggestief voor extrinsieke allergische alveolitis.6,7 De diagnose steunt op de anamnese (blootstelling aan specifieke inhalatieallergenen), het klinisch beeld, bloedonderzoek (specifieke precipitinen van het type IgG) en CT-onderzoek van de thorax. Vaak zijn bronchoalveolaire lavage en longbiopsie nodig.6,7 De gemiddelde tijd tot het stellen van de diagnose is zeer variabel. Er bestaan geen gevalideerde diagnostische criteria.

Het ziektebeloop is moeilijk te voorspellen, en de morbiditeit en mortaliteit variëren aanzienlijk.7,8 De behandeling bestaat uit het vermijden van de blootstelling aan de inhalatieallergenen, wat ook bij de patiënt uit de casus leidde tot klinische verbetering tijdens de beide ziekenhuisopnames.7 Behandeling met glucocorticoïden kan op de korte termijn leiden tot klinische verbetering, maar ze is weinig effectief op de lange termijn. Patiënten met een progressieve ziekte komen in aanmerking voor behandeling met immuunmodulerende middelen (bijvoorbeeld rituximab of leflunamide) of een longtransplantatie.7

Conclusie

In tijden van corona kan de denkwijze van artsen vertroebeld raken. Door de verhoogde waakzaamheid op covid-19 wordt bij een patiënt met luchtwegklachten bij wie op de CT-scan van de thorax afwijkingen met een matglas-aspect worden gezien, al snel gedacht aan covid-19. Zodoende ontstaat een tunnelvisie. Onze casus illustreert dat artsen ook tijdens een gezondheidscrisis bedacht moeten blijven op alternatieve diagnosen.

Literatuur
  1. Stichting Werkgroep Antibioticabeleid. Medicamenteuze behandelopties bij patiënten met COVID-19 (infecties met SARS-CoV-2). https://swab.nl/nl/covid-19, geraadpleegd op 17 april 2020.

  2. Radiology Assistant. CO-RADS classification. https://radiologyassistant.nl/chest/covid-19-corads-classification, geraadpleegd op 17 april 2020.

  3. Nederlandse Vereniging voor Radiologie. Corona-virus/COVID-19 en radiologische beeldvorming. https://www.radiologen.nl/nieuws/corona-viruscovid-19-en-radiologische-beeldvorming, geraadpleegd op 18 april 2020.

  4. Xia W, Shao J, Guo Y, Peng X, Li Z, Hu D. Clinical and CT features in pediatric patients with COVID-19 infection: different points from adults. Pediatr Pulmonol. 2020;55:1169-74. doi:10.1002/ppul.24718. Medline

  5. Hime NJ, Zurynski Y, Fitzgerald D, et al. Childhood interstitial lung disease: a systematic review. Pediatr Pulmonol. 2015;50:1383-92. doi:10.1002/ppul.23183. Medline

  6. Griese M, Haug M, Hartl D, Teusch V, Glöckner-Pagel J, Brasch F; National EAA Study Group. Hypersensitivity pneumonitis: lessons for diagnosis and treatment of a rare entity in children. Orphanet J Rare Dis. 2013;8:121. doi:10.1186/1750-1172-8-121. Medline

  7. Vasakova M, Morell F, Walsh S, Leslie K, Raghu G. Hypersensitivity pneumonitis: perspectives in diagnosis and management. Am J Respir Crit Care Med. 2017;196:680-9. doi:10.1164/rccm.201611-2201PP. Medline

  8. Cottin V, Hirani NA, Hotchkin DL, et al. Presentation, diagnosis and clinical course of the spectrum of progressive-fibrosing interstitial lung diseases. Eur Respir Rev. 2018;27:180076. doi:10.1183/16000617.0076-2018. Medline

Auteursinformatie

Zuyderland Medisch Centrum, Sittard/Geleen. Afd. Kindergeneeskunde: drs. T.A.G. van Gansewinkel, anios kindergeneeskunde; dr. P.R. Rosias, kinderarts. Afd. Spoedeisende Hulp: drs. G. Latten, SEH-arts KNMG.Afd. Radiologie: drs. J. Krdzalic, radioloog. Maastricht UMC+, afd. Kindergeneeskunde, Maastricht: drs. R. de Rooy, aios kindergeneeskunde.

Contact T.A.G. van Gansewinkel (t.vangansewinkel@zuyderland.nl)

Belangenverstrengeling

Belangenconflict en financiële ondersteuning: er zijn geen belangen gemeld.

Auteur Belangenverstrengeling
Tessa A.G. van Gansewinkel ICMJE-formulier
Rick de Rooy ICMJE-formulier
Gideon Latten ICMJE-formulier
Jasenko Krdzalic ICMJE-formulier
Philippe R. Rosias ICMJE-formulier
Tunnelvisie ligt op de loer
Dit artikel is gepubliceerd in het dossier
Covid-19
Huisartsgeneeskunde
Heb je nog vragen na het lezen van dit artikel?
Check onze AI-tool en verbaas je over de antwoorden.
ASK NTVG

Ook interessant

Reacties