Een bolronde afwijking op de longfoto

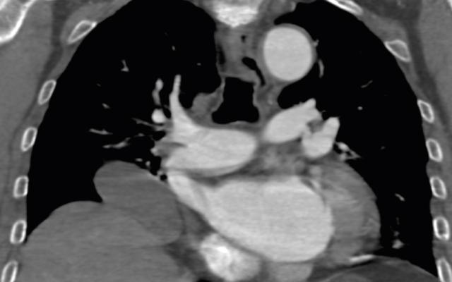
CT scan
Abstract
Floor J.A. van Deudekom
Anneloek Rauwerdink
Vincent S. Westendorp

Casus

Een 80-jarige man, bekend met cognitieve stoornissen na ernstig hersenletsel, werd op de polikliniek Geriatrie gezien in verband met achteruitgang van de cognitie. Hij was enkele weken eerder op de SEH geweest in verband een influenza A-infectie. Op de longfoto waren toen infiltratieve afwijkingen gezien, maar ook een bolronde afwijking. Op de polikliniek had hij geen klachten meer van kortademigheid, slikstoornissen of hoesten. De bloeddruk (117/67 mmHg), polsfrequentie (83/min) en zuurstofsaturatie (100%) waren niet afwijkend. Ook verder lichamelijk onderzoek bracht geen afwijkingen aan het licht. Als verklaring voor de bolronde afwijking dacht de geriater aan een restafwijking na de…

Auteursinformatie

OLVG, locatie Oost en West, Amsterdam. Afd. Geriatrie: dr. F.J.A. Van Deudekom, geriater; afd. Radiologie: drs. A. Rauwerdink, aios radiologie; afd. Cardiologie: drs. V.S. Westendorp, aios cardiologie.

Contact F.J.A. van Deudekom (F.J.A.vanDeudekom@olvg.nl)

Belangenverstrengeling

Belangenconflict en financiële ondersteuning: geen gemeld.

Auteur Belangenverstrengeling
Floor J.A. van Deudekom ICMJE-formulier
Anneloek Rauwerdink ICMJE-formulier
Vincent S. Westendorp ICMJE-formulier
Heb je nog vragen na het lezen van dit artikel?
Check onze AI-tool en verbaas je over de antwoorden.
ASK NTVG

Ook interessant

Reacties