Twee pulmonale afwijkingen op de thoraxfoto

Wat is de diagnose?
Abstract
Lonneke Draaijers
I.H. (Bert) van Schelven
Yvonne Hendrix

Casus

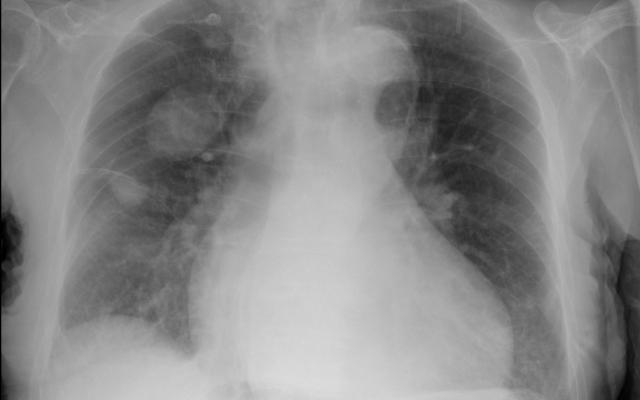
Een 89-jarige man, bekend met cognitieve stoornissen en atriumfibrilleren, werd naar de Spoedeisende Hulp gebracht nadat hij thuis op de grond was aangetroffen. Patiënt zelf had geen klachten. De tractusanamnese leverde geen bijzonderheden op, ook niet op cardiopulmonaal gebied. Bij het lichamelijk onderzoek zagen wij een koortsvrije man met een niet-afwijkende tensie en ademfrequentie. Bij auscultatie van de longen hoorden wij basaal fijne crepitaties over beide longen. Patiënt had pitting oedeem aan beide enkels en een licht verhoogde centraal-veneuze druk. Vanwege de crepitaties lieten wij een thoraxfoto maken (figuur 1). Op de thoraxfoto waren twee bolvormige pulmonale afwijkingen zichtbaar…

Auteursinformatie

Rijnstate Arnhem, Arnhem.

Afd. Interne geneeskunde: drs. L. Draaijers, arts-assistent interne geneeskunde.

Afd. Radiologie: drs. I.H. van Schelven, radioloog.

Afd. Geriatrie: drs. Y. Hendrix, klinisch geriater.

Contact drs. Lonneke Draaijers (LDraaijers@rijnstate.nl)

Belangenverstrengeling

Belangenconflict en financiële ondersteuning: geen gemeld.

Auteur Belangenverstrengeling
Lonneke Draaijers ICMJE-formulier
I.H. (Bert) van Schelven ICMJE-formulier
Yvonne Hendrix ICMJE-formulier
Heb je nog vragen na het lezen van dit artikel?
Check onze AI-tool en verbaas je over de antwoorden.
ASK NTVG

Ook interessant

Reacties