Hoe kom je van de uiteenlopende klinische verschijnselen tot de diagnose?

Diagnostische uitdagingen van het vetemboliesyndroom

Klinische praktijk
Abstract
Romke Rozema
Peter J. van der Mast
Mostafa El Moumni
Elizabeth A. Boonstra
Bram Jacobs
H.P.A.M. (Jeroen) Poos

Toets voor nascholing (verlopen)

Aan dit artikel was een toets gekoppeld waarmee je nascholingspunten kon verdienen.

Bekijk de toets

Dames en Heren,

In 1873 beschreef de Duitse chirurg Ernst von Bergmann als eerste de klinische diagnose ‘vetemboliesyndroom’ als zelfstandig ziektebeeld.1 Destijds verbonden aan de universiteit van Tartu, publiceerde hij in het Berliner Klinische Wochenschrift de plotselinge achteruitgang van een patiënt die was opgenomen wegens een comminutieve femurfractuur na een val van het dak. De toestand van deze patiënt was mogelijk veroorzaakt door de aanwezigheid van traumatische vetembolie.

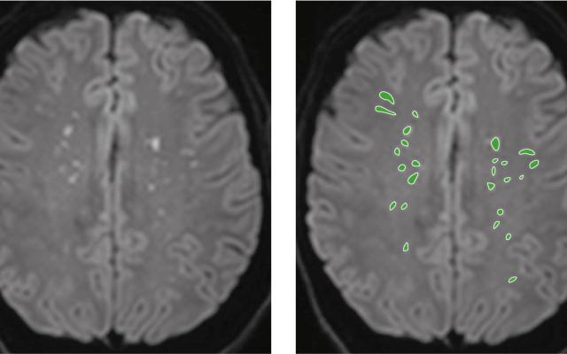
Het vetemboliesyndroom bij fracturen ontstaat waarschijnlijk door circulerende vetdeeltjes die afkomstig zijn uit het beenmerg en die emboliseren in de longen en de hersenen. Dit heeft respiratoire insufficiëntie en neurologische uitvalsverschijnselen tot gevolg. Wij beschrijven de diagnostische werkstroom bij twee patiënten die na een traumatische femurfractuur het vetemboliesyndroom ontwikkelden.

Patiënt A, een 24-jarige man, werd na een eenzijdig motorongeval opgevangen op de Spoedeisende Hulp van ons ziekenhuis. De patiënt was met de motor uit de bocht gegleden en hierbij tegen een…

Auteursinformatie

Rijksuniversiteit Groningen-Universitair Medisch Centrum Groningen, Groningen.

Afd. Traumachirurgie: R. Rozema, BSc, coassistent; drs. E.A. Boonstra en dr. M. El Moumni, traumachirurgen; drs. H.P.A.M. Poos, traumachirurg (tevens: Medisch Centrum Leeuwarden, afd. Heelkunde, Leeuwarden).

Afd. Anesthesiologie: drs. P.J. van der Mast, anesthesioloog (thans: Ommelander Ziekenhuis Groningen, afd. Anesthesiologie, Delfzijl).

Afd. Neurologie: dr. B. Jacobs, neuroloog.

Contact R. Rozema, BSc

Belangenverstrengeling

Belangenconflict en financiële ondersteuning: geen gemeld.

Verantwoording

De radiologische afbeeldingen en het manuscript werden beoordeeld door neuroradioloog drs. B. Dorgelo en thoraxradioloog dr. G.J. de Jonge, afd. Radiologie, Rijksuniversiteit Groningen-Universitair Medisch Centrum Groningen.

Auteur Belangenverstrengeling
Romke Rozema ICMJE-formulier
Peter J. van der Mast ICMJE-formulier
Mostafa El Moumni ICMJE-formulier
Elizabeth A. Boonstra ICMJE-formulier
Bram Jacobs ICMJE-formulier
H.P.A.M. (Jeroen) Poos ICMJE-formulier
Heb je nog vragen na het lezen van dit artikel?
Check onze AI-tool en verbaas je over de antwoorden.
ASK NTVG

Ook interessant

Reacties