Gaat CT de conventionele röntgendiagnostiek vervangen?

De toekomst van de CT-scan

Perspectief
Abstract
Martin J. Willemink
Annemarie M. den Harder
Pim A. de Jong
Tim Leiner
Leestijd
6 minuten
Citeren

Samenvatting

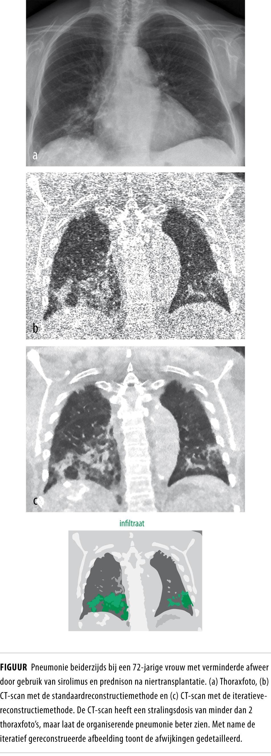
Het aantal CT-scans is gedurende de afgelopen jaren toegenomen. Om de individuele stralingsdosis te verlagen zijn nieuwe CT-technieken ontwikkeld. Met deze technieken kunnen scans gemaakt worden die de stralingsdosis van conventionele röntgenfoto’s benaderen. De röntgenstralingsdosis vormt in de toekomst dus mogelijk geen beperking meer voor het maken van CT-scans. De indicatie voor CT-scans zal hierdoor verruimen en lagedosis-CT-scans zullen in toenemende mate de conventionele röntgenfoto gaan vervangen.

Auteursinformatie

Universitair Medisch Centrum Utrecht, afd. Radiologie, Utrecht.

Drs. M.J. Willemink en drs. A.M. den Harder, arts-onderzoekers; dr. P.A. de Jong en prof.dr. T. Leiner, radiologen.

Contact drs. A.M. den Harder (a.m.denharder@umcutrecht.nl)

Belangenverstrengeling

Belangenconflict en financiële ondersteuning: ICMJE-formulieren zijn online beschikbaar bij dit artikel.

Auteur Belangenverstrengeling
Martin J. Willemink ICMJE-formulier
Annemarie M. den Harder ICMJE-formulier
Pim A. de Jong ICMJE-formulier
Tim Leiner ICMJE-formulier
Reacties

Ook interessant

Gratis Ask NTVG uitproberen?

Maak met 2 klikken een gratis account aan

Account aanmaken

Heb je al een account of een abonnement? Inloggen

Altijd toegang tot alle publicaties van het NTVG?

Abonneer vandaag nog!

Online toegang tot alle artikelen
Gepersonaliseerde alerts voor artikelen en dossiers
Artikelen voor opleiding en nascholing mét geaccrediteerde toetsen
Onbeperkt luisteren naar de NTVG-podcast
Antwoorden op al je vragen via de AI-toepassing 'Ask NTVG'

Neem het digitaal ntvg abonnement

€ 15,93 per maand!

Ik wil digitaal
NTVG nummer 3 2026
NTVG nummer 4 2026
NTVG nummer 5 2026