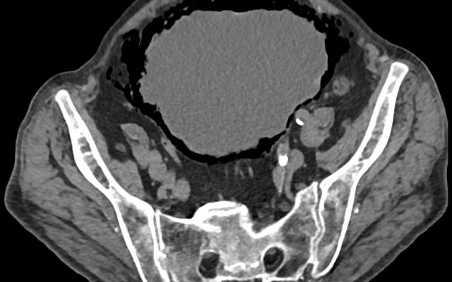
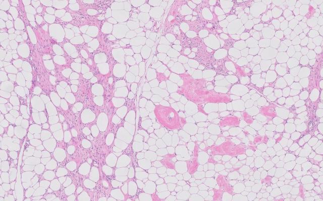
Actinomycosis van het kleine bekken

Nieuws
Scheffelaar Klots, Th.
Citeren

Samenvatting

Lees volledig artikel

Ook interessant

Reacties

Gratis Ask NTVG uitproberen?

Maak met 2 klikken een gratis account aan

Account aanmaken

Heb je al een account of een abonnement? Inloggen

Altijd toegang tot alle publicaties van het NTVG?

Abonneer vandaag nog!

Online toegang tot alle artikelen
Gepersonaliseerde alerts voor artikelen en dossiers
Artikelen voor opleiding en nascholing mét geaccrediteerde toetsen
Onbeperkt luisteren naar de NTVG-podcast
Antwoorden op al je vragen via de AI-toepassing 'Ask NTVG'

Neem het digitaal ntvg abonnement

€ 15,93 per maand!

Ik wil digitaal
NTVG nummer 2 2026
NTVG nummer 3 2026
NTVG nummer 4 2026