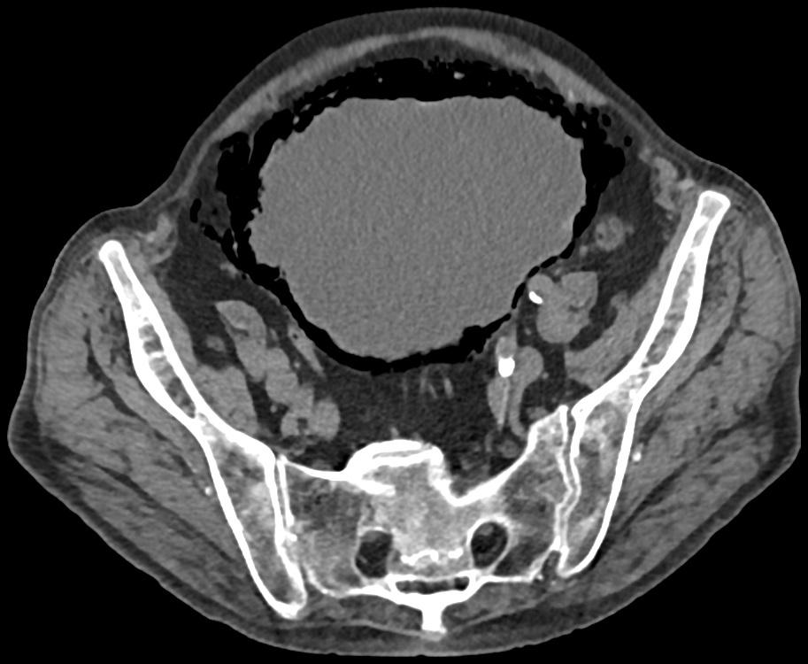
Gepubliceerd: Week 36 - 2018 197 deelnemers Een 74-jarige man komt op de Spoedeisende Hulp na een val van de trap. Bij toeval worden op een CT-scan opvallend uitgebreide, curvilineaire, ovale luchtconfiguraties in de blaaswand gezien. Wat is uw diagnose? Antwoord emfysemateuze cystitis bezoar enterovesicale fistel emfysemateuze pyelonefritis Antwoord controleren