Het mooiste beeld: microscopische kunst

Fotowedstrijd

Fotowedstrijd
Lucas Mevius

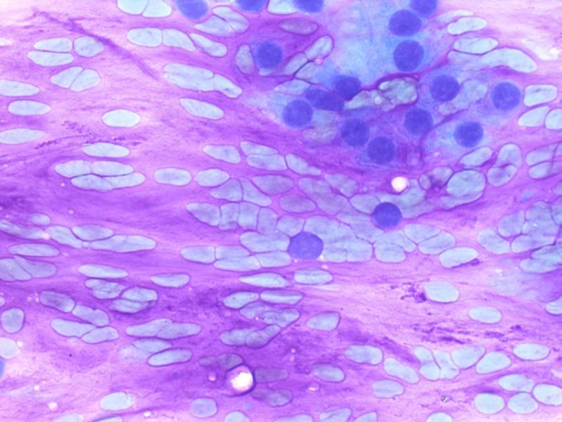
Wat is het mooiste beeld? 12 inzendingen ontving de NTvG-redactie naar aanleiding van de oproep aan pathologen om hun mooiste foto van een microscopisch preparaat in te sturen. In tegenstelling tot de fotowedstrijd van vorig jaar was de jurering dit jaar niet makkelijk. Wij hadden verwacht dat we louter…

Heb je nog vragen na het lezen van dit artikel?
Check onze AI-tool en verbaas je over de antwoorden.
ASK NTVG

Ook interessant

Reacties

Christina
Vandenbroucke-Grauls

Het winnende plaatje van deze wedstrijd is inderdaad mooi. Het was een leuk initiatief. Is het nu tijd voor een fotowedstrijd om het mooiste microscopische plaatje van bacterien?

Gratis Ask NTVG uitproberen?

Maak met 2 klikken een gratis account aan

Account aanmaken

Heb je al een account of een abonnement? Inloggen

Altijd toegang tot alle publicaties van het NTVG?

Abonneer vandaag nog!

Online toegang tot alle artikelen
Gepersonaliseerde alerts voor artikelen en dossiers
Artikelen voor opleiding en nascholing mét geaccrediteerde toetsen
Onbeperkt luisteren naar de NTVG-podcast
Antwoorden op al je vragen via de AI-toepassing 'Ask NTVG'

Neem het digitaal ntvg abonnement

€ 15,93 per maand!

Ik wil digitaal
NTVG nummer 2 2026
NTVG nummer 3 2026
NTVG nummer 4 2026