Zwanger en acuut ontstane buikpijn

Gepubliceerd:

334 deelnemers

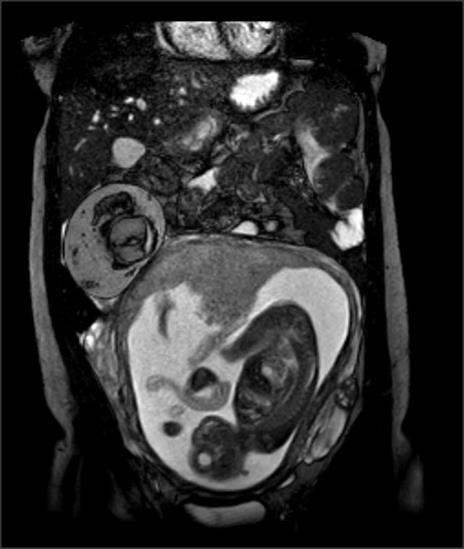
Een 23-jarige vrouw wordt bij een amenorroeduur van 21 3/7 weken door de verloskundige verwezen vanwege acuut ontstane pijn rechts onder in de buik en veelvuldig braken. Zij heeft geen vervoerspijn, bewegingsdrang of vaginaal bloedverlies.

Wat is uw diagnose?
Antwoord