Late gevolgen van een auto-ongeluk

Gepubliceerd:

188 deelnemers

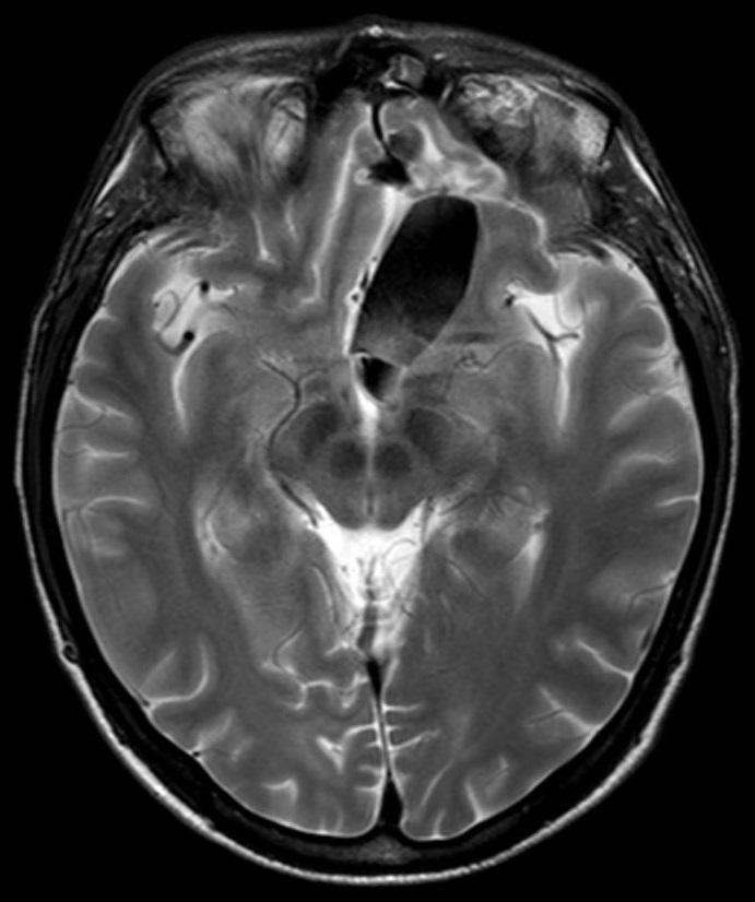
Een 41-jarige man komt na een tonisch-clonisch insult op de SEH. Vlak voor het insult heeft hij vieze smaak- en geursensaties en een licht, onwerkelijk gevoel in het hoofd gehad. 23 jaar geleden heeft hij zijn linker oog verloren bij een auto-ongeluk. Het neurologisch onderzoek is niet-afwijkend.

Wat is uw diagnose?
Antwoord